Открытый артериальный проток (ОАП)
Определение и терминология
Эпидемиология и актуальность
Этиология и патогенез
Патофизиология и гемодинамика
Клиническая картина
 Инструментальная диагностика
Критерии гемодинамической значимости (ГЗФАП)
Консервативная терапия: Показания и препараты выбора
Дополнительная медикаментозная терапия
Консервативная терапия: Противопоказания и ограничения
Хирургические и интервенционные методы
Заключение и ключевые тезисы
453.71K
Category: medicinemedicine

Открытый артериальный проток (ОАП)1

1. Открытый артериальный проток (ОАП)

Якунькин П.М

2. Определение и терминология

• ОАП (Функционирующий артериальный
проток) – персистенция фетального
сосудистого сообщения между нисходящей
аортой и легочной артерией после рождения,
не сопровождающаяся другими аномалиями
развития ССС.
• ГЗФАП (Гемодинамически значимый
функционирующий артериальный проток) –
ОАП большого диаметра со сбросом слеванаправо, вызывающий значительные
нарушения центральной и регионарной
гемодинамики, подтвержденные ЭхоКГ.
• «Гемодинамическая коарктация аорты» –
клиническая картина, идентичная коарктации,
но без органического препятствия. Возникает
из-за широкого ОАП и разницы между ОЛС и
системным сопротивлением, приводя к
обкрадыванию системного кровотока.

3. Эпидемиология и актуальность

• Частота: ~5-10% среди всех ВПС.
• Группа риска: Недоношенные новорожденные.
• Частота ГЗФАП обратно пропорциональна гестационному возрасту и массе тела.
• У детей с массой < 1500 г достигает 30-40%.
• Осложнения у недоношенных: ВЖК, легочные кровотечения, бронхолегочная
дисплазия, ретинопатии. Летальность и инвалидизация возрастают в 3 и более раза.
• Цель лечения: Своевременное выявление и закрытие ГЗФАП для предотвращения
жизнеугрожающих осложнений.

4. Этиология и патогенез

• Ключевые факторы риска:
Недоношенность – основной фактор. Морфофункциональная незрелость гладкой мускулатуры протока и
его эндотелия.
Внутриутробные инфекции (краснуха).
Генетическая предрасположенность.
Гипоксия и респираторный дистресс-синдром (РДС) у новорожденных.
Патогенез закрытия ОАП в норме:
1. После первого вдоха: ↑ PaO2 → мощное сокращение гладких мышц протока.
2. Устранение плацентарного кровотока: ↓ Циркулирующих простагландинов E2 (ПГЕ2).
3. Анатомическое закрытие: За счет пролиферации интимы и фиброза.
• Патогенез персистенции ОАП:
• У недоношенных: Низкая чувствительность к кислороду и высокая чувствительность к
вазодилатирующим ПГЕ2.
• Сопутствующая гипоксемия и ацидоз при РДС дополнительно поддерживают его открытие.

5. Патофизиология и гемодинамика

• Этапы гемодинамических нарушений:
1.Сброс слева-направо: После падения ЛСС кровь из аорты (высокое
давление) сбрасывается в ЛА (низкое давление).
2.Перегрузка объемом:
1. Легочная гиперволемия: ↑ Кровоток в малом круге → отек легких,
рецидивирующие инфекции.
2. Перегрузка левых отделов: ↑ Венозный возврат к ЛП и ЛЖ → дилатация и
недостаточность.
3.Системная гипоперфузия: Диастолическое «обкрадывание»
системного кровотока (в т.ч. почечного, мезентериального) → риск
NEC, ОПП.
4.Исход: При длительном существовании большого ОАП – развитие
необратимой легочной гипертензии (синдром Эйзенменгера).

6. Клиническая картина

• У недоношенных с ГЗФАП:
Респираторный статус: Зависимость от ИВЛ/ВЧ ИВЛ, нарастание потребности
в FiO2.
Системная перфузия: Артериальная гипотензия, метаболический ацидоз,
олигурия.
Аускультация: Шум может отсутствовать! Диагноз ставится по данным ЭхоКГ и
клинике.
• У доношенных детей и взрослых:
Малый ОАП: Асимптомно или «немой» шум.
Средний/большой ОАП:
• Симптомы СН: одышка при кормлении/нагрузке, гипотрофия, частые
бронхиты.
• Аускультация: Классический «машинный» шум во II-III межреберье слева.
• Пульс: Высокий, скачущий (большое пульсовое давление).

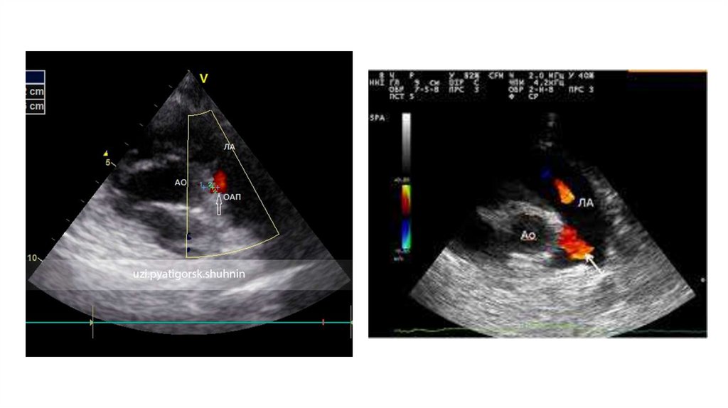
7.  Инструментальная диагностика

Инструментальная диагностика
• ЭхоКГ – золотой стандарт. Ключевые задачи:
1.Визуализация протока: Доступы – высокий парастернальный по короткой
оси, супрастернальный.
2.Измерение диаметра: В В-режиме или ЦДК в самом узком месте.
3.Оценка сброса: ЦДК и спектральный допплер (непрерывный
турбулентный поток).
4.Оценка гемодинамической значимости:
1. Легочная гиперперфузия: Размер ЛП (ЛП/Ао > 1.4-1.5), размер ЛЖ
(КДР ЛЖ).
2. Системная гипоперфузия: Оценка диастолического кровотока в
нисходящей/брюшной аорте (антеградный/нулевой/ретроградный).
5.Исключение сочетанной патологии: Коарктации аорты, других ВПС.

8.

9. Критерии гемодинамической значимости (ГЗФАП)

Критерий
Легкая степень
Умеренная
степень
Тяжелая степень
< 1.5
1.5 – 3.0
> 3.0
< 1.5
1.5 – 2.0
> 2.0
Антеградный
Отсутствует
(нулевой)
Ретроградный
А.
Характеристи
ка протока
Диаметр ОАП
(мм)
B. Легочная
гиперперфузи
я
ЛП/Ao
C. Системная
гипоперфузия
Кровоток в
нисходящей
аорте

10. Консервативная терапия: Показания и препараты выбора

Показания:
Основное: ГЗФАП у недоношенных новорожденных.
Цель: Фармакологическое закрытие протока для стабилизации состояния и избежания хирургического вмешательства.
Параметр
Ибупрофен
Индометацин
Статус
Препарат выбора
(УУР А)
Альтернативный
препарат
Преимущества
Лучший профиль
безопасности,
меньше влияет на
почечный и
мезентериальный
кровоток
Сопоставимая
эффективность
Путь введения
Пероральный, в/в
Пероральный, в/в
Эффективность
~70-85% после
первого курса
~70-85%

11. Дополнительная медикаментозная терапия

• Не заменяет закрытие протока, но стабилизирует
состояние при СН.
• Диуретики («петлевые»):
• Препарат: Фуросемид.
• Цель: Уменьшение гиперволемии малого круга, отека легких.
• Инотропная поддержка:
• Показание: При систолической дисфункции ЛЖ и артериальной
гипотензии.
• Препараты: Дофамин, добутамин.
• Респираторная поддержка: Адекватная ИВЛ для
коррекции гипоксемии и ацидоза.

12. Консервативная терапия: Противопоказания и ограничения

• Абсолютные противопоказания к назначению НПВП:
• Почечная недостаточность (олигурия, анурия, повышение
креатинина).
• Подтвержденный или подозреваемый НЭК.
• Активное кровотечение (внутричерепное, легочное),
коагулопатии, тромбоцитопения (< 50-60 тыс.).
• Выраженная гипербилирубинемия (риск вытеснения
билирубина из связи с альбумином).
• Важное ограничение:
• Не применяется у доношенных новорожденных, детей
старшего возраста и взрослых, так как после неонатального
периода проток теряет чувствительность к ПГ.

13. Хирургические и интервенционные методы

• Показания:
Неэффективность или противопоказания к консервативной
терапии у недоношенных.
Гемодинамически значимый ОАП у доношенных, детей и
взрослых.
• Методы:
1. Эндоваскулярное закрытие (Метод выбора у детей
> 6 мес. и взрослых):
1. Установка окклюдеров или спиралей через
катетер.
2. Высокая эффективность (>95%), минимальная
инвазивность.
2. Хирургическое закрытие:
1. Перевязка или клипирование ОАП.
2. Доступ: торакотомия/торакоскопия.
3. Основной метод у глубоко недоношенных,
нестабильных пациентов, когда эндоваскулярный
метод невозможен.

14. Заключение и ключевые тезисы

1.Патогенез ОАП тесно связан с недоношенностью, гипоксией и дисбалансом
вазоактивных веществ (ПГЕ2/O2).
2.Консервативная терапия НПВП – стартовый метод выбора для
недоношенных с ГЗФАП.
3.Ибупрофен обладает наилучшим соотношением эффективности и
безопасности.
4.Лечение проводится курсами, необходим тщательный мониторинг диуреза,
функции ЖКТ и коагуляции.
5.При неэффективности двух курсов НПВП или наличии противопоказаний
показано хирургическое вмешательство.
6.У доношенных и взрослых консервативная терапия неэффективна, метод
выбора – эндоваскулярное закрытие.
English     Русский Rules