Очаговый и генерализованный пародонтит. Этиология. Патогенез. Клиника. Ортопедические методы лечения пациентов с заболеваниями
Этиология
Этиология
Патогенез
Патогенез
Клиника
Лечение
этиология
Патогенез
Клиника
Клиника
Лечение
Ортопедическое лечение ГП решает следующие задачи:
Методы лечения
ОСОБЕННОСТИ ОРТОПЕДИЧЕСКОГО ЛЕЧЕНИЯ ПАРОДОНТИТА
Метод избирательного пришлифовывания. Методика Дженкельсона.
Шины
Временное шинирование
В шину включают все зубы, обеспечивая иммобилизацию по дуге.
Технология наложения шины:
Постоянное шинирование.
Несъемные шины
Съемные шины
Показания к включению зубов в шину.
Непосредственное протезирование при пародонтите
Непосредственное протезирование при пародонтите
Непосредственное протезирование при пародонтите
Непосредственное протезирование при пародонтите
СПАСИБО ЗА ВНИМАНИЕ!
1.66M
Category: medicinemedicine

ортопедия пародонтит

1. Очаговый и генерализованный пародонтит. Этиология. Патогенез. Клиника. Ортопедические методы лечения пациентов с заболеваниями

пародонта.
2022 Москва

2.

Очаговый Пародонтитзаболевание
воспалительного
характера,
сопровождающееся
деструктивным
разрушением тканей
пародонта с образованием
пародонтального кармана,
поражающее не более 30 %
зубов.
Заболевание выявляется
преимущественно у лиц в
возрасте 30-40 лет.

3. Этиология

Общие факторы:
• Эндокринные заболевания( СД, болезнь
Иценко-Кушинга, нарушения гормональной
системы)
• Нервно-соматические болезни
• Ревматизм
• Нарушения обмена веществ
• Нефропатии
• Заболевания сердечно-сосудистой системы

4. Этиология

Местные факторы
• Факторы,вызывающие гингивит
• Пломбировочный материал или мышьяковистая паста, попавшие в
межзубный промежуток(дефекты протезирования и пломбирования).
• Нарушение окклюзии, окклюзионная травма или травма
механическая. Примерами окклюзионной травмы являются патологии
прикуса, слишком раннее удаление моляров и премоляров т.д.
Примером механической травмы можно считать посттравматический
остеолиз - (расплавление костной ткани) кости.
• Супраконтакты
• Бруксизм
• Факторы,вызывающие ишемию тканей пародонта:короткие уздечки
языка и губ, нарушение прикрепления уздечек языка,губ и
тяжей,мелкое преддверие рта.
• Врожденные особенности строения пародонта.

5.

6. Патогенез

Повреждение клеток и межклеточного матрикса, коллагеновых структур вследствие
выделения лизосомальных ферментов полиморфно-ядерными лейкоцитами
Выделение плазменных и клеточных медиаторов воспаления
Нарушение микроциркуляторного русла и вследствие этого повышение сосудистотканевой проницаемости
Ухудшение трофики тканей пародонта приводит к нарушению кислородного питания
тканей и изменению энергетических процессов, обеспечивающих жизнеспособность
В результате изменения кислотности среды нарушается созревание остеобластов и
активируется созревание остеокластов, что обусловливает прогрессирующие
разрушение костной ткани.

7. Патогенез

• По мере развития пародонтита образуется пародонтальный карман.
Образование ПК связано с разрушением эпителиального
прикрепления, изъязвлением его и прорастанием в подлежащую
соединительную ткань. В дальнейшем происходит разрушение
соединительнотканного прикрепления и коллагеновых структур
круговой связки зуба. В результате лизиса этих структур образуется
грануляционная ткань, инфильтриванная макрофагами,
плазматическими клетками и лимфоцитами. В дальнейшем
наблюдается воспалительная резорбция костной ткани альвеолы. В
механизме воспалительной резорбции играет роль активация
функции остеокластов. Одновременно подавляется активность
остеобластов, т.е. нарушается остеогенез, поэтому костная ткань
замещается грануляционной тканью. Так формируется ПК и
возникает полное разрушение опорно-удерживающего аппарата
зуба, что в итоге приводит к потере зубов. В механизме образования
ПК существенную роль играют твердые зубные отложения.

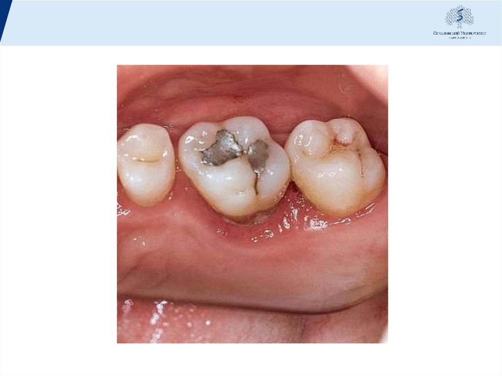
8. Клиника

• Острый очаговый пародонтит по клинической картине
весьма схож с периодонтитом и начинается с
самопроизвольных нерезких болей, кровоточивости десны,
боли при жевании, подвижности зуба. Как правило, в
анамнезе заболеванию предшествовало врачебное
вмешательство - пломбирование зубов, фиксация протезов,
ортодонтическое лечение. Осмотр подтверждает наличие
воспаления десны, кровоточивость, выделение гноя или
серозной жидкости из десневых карманов, которые
образуются в основном вследствие отека тканей. На
рентгенограмме - незначительное расширение
периодонтальной щели, вокруг корня - диффузный очаг
затемнения без нарушения контуров и структуры
компактного и губчатого вещества, за исключением
исчезновения замыкательной пластинки - твердой оболочки
на некоторых участках или по всему периметру.

9.

10.

11.

12.

13. Лечение

Лечение очагового пародонтита должно быть комплексным.
Терапевтические методы направлены на снятие
воспалительных процессов и факторов, поддерживающих это
воспаление (местное лечение — снятие зубного налета и
удаление зубного камня, медикаментозная обработка). Общего
лечения при очаговом пародонтите не требуется, так как
процесс носит местный характер.

14.

На I этапе проводят замену неправильно изготовленных пломб,
вкладок, снимают некачественные коронки и мостовидные протезы,
прекращают пользоваться некачественными съемными протезами.
Проводят комплекс медикаментозной терапии и хирургические
вмешательства. При глубоком прикусе, глубоком резцовом
перекрытии, прогении производят избирательную пришлифовку.
При этих видах аномалии развития зубочелюстной системы, при
патологической стертости группы жевательных зубов, осложненной
снижением окклюзионной высоты и дистальным смещением нижней
челюсти, в план лечения как самостоятельный этап включают
перестройку миотатического рефлекса. Для этого применяют
ортодонтические аппараты: каппы, съемные протезы с
окклюзионными накладками, позволяющие в первом случае
увеличить окклюзионную высоту и уменьшить резцовое перекрытие,
а во втором — восстановить прежнее, до заболевания, соотношение
зубных рядов.

15.

16.

17.

• На II этапе проводят лечение очага поражения.
Основополагающими моментами лечения являются выбор
конструкции лечебных аппаратов, которые: 1) снимают
травмирующее действие жевательного давления и патологическую
подвижность зубов, вовлеченных в патологический процесс; 2)
восстанавливают физиологические параметры
гистоморфологических соотношений тканей пародонта в период
функции жевания, используя конструктивные особенности
ортопедических аппаратов, позволяющих равномерно распределить
жевательное давление на пародонт пораженных и объединенных
шиной зубов с непораженным пародонтом; 3) восстанавливают
функциональное физиологическое равновесие между тканями
пародонта пораженного участка и антагонирующей группы зубов;
4) восстанавливают анатомическую форму зубов и зубных рядов, их
топографо-анатомические взаимоотношения, свойственные
физиологическим видам прикуса.

18.

• Устранение местно-действующих факторов позволяет
перейти к основному этапу ортопедического лечения
очагового пародонтита — применению постоянно
действующего иммобилизирующего аппарата.
Протяженность и вид шины зависят от степени сохранности
резервных сил зубов, пораженных пародонтитом, и
функциональных соотношений антагонирующих зубов

19.

• Если очаговый пародонтит распространяется на всю
функционально ориентированную группу зубов (переднюю,
боковую) и у этих зубов нет резервных сил (атрофия достигла
половины длины стенки альвеолы), то необходимо
переходить на смешанный вид иммобилизации. Для группы
жевательных зубов наиболее целесообразен
парасагиттальный вид иммобилизации; для группы
передних зубов — по дуге с подключением премоляров.
Наиболее целесообразным видом шин в этих случаях
являются съемные шины с системой кламмеров,
многозвеньевых кламмеров с вестибулярными отростками.

20.

21.

22.

• Шинирующий мостовидный протез дает возможность
устранить травматическую ситуацию в области боковых
зубов справа, т. е. применить первый этап лечения —
стабилизировать развитие патологического процесса в
области травматического узла. Однако при этом сохраняется
этиологический момент, который вызвал развитие
травматического узла.

23.

• При лечении отраженного травматического узла, вызванного
частичной вторичной адентией в области жевательных зубов,
применяют сочетанные виды шинирующих аппаратов,
позволяющих иммобилизовать зубы с пораженным
пародонтом, уравновесить функциональное соотношение в
группах антагонирующих зубов и заместить дефект зубного
ряда протезами, не перегружающими опорные зубы.

24.

ХРОНИЧЕСКИЙ ГЕНЕРАЛИЗОВАННЫЙ
ПАРОДОНТИТ
• Хронический ГП - одно из самых
распространённых и тяжёлых
заболеваний пародонта, которое
протекает годами, с чередованиями
периодов ремиссий и обострений и
часто приводит к значительному
нарушению функций зубочелюстной
системы из-за резорбции костной
ткани, гибели связочного аппарата и
выпадения (или удаления) зубов.
• Различают очаговый
(локализованный) пародонтит — в
этом случае поражаются только
пародонт отдельных зубов, и
генерализованный, при котором
воспалению подвергаются ткани
пародонта всей полости рта.

25. этиология

• Общие факторы: нарушения эндокринной системы и
обмена веществ (сахарный диабет, тиреотоксикоз),
заболевания желудочно-кишечного тракта (язвенная
болезнь, длительно существующие гастриты,
холециститы, колиты), заболевания крови и сердечнососудистой системы, аллергические и аутоиммунные
состояния, нарушения витаминного баланса.
• Местные факторы: Зубные отложения, травмы

26. Патогенез

• Общие заболевания снижают защитно-приспособительные
механизмы тканей и органов полости рта. Местные факторы
отягощают течение заболевания. Современные
представления о сущности воспалительно-деструктивного
процесса при генерализованном пародонтите подчеркивают
роль тканевых и микробных ферментов в нарушении
обменных процессов и трофики всего комплекса пародонта.
Большое значение имеют микроциркуляторные нарушения,
аллергические и аутоиммунные процессы,нарастающие
дистрофические и деструктивные процессы в пародонте.
Иммунологическая перестройка тканей. Увеличение
эозинофилов указывает на накопление в строме десны
комплексов антиген - антитело, а возрастание числа тучных
клеток и их активная дегрануляция свидетельствует об
изменениях уровня метаболизма в тканях пародонта.
Наблюдается резорбция кости альвеолы в виде лакунарного,
гладкого и пазушного типов резорбции.

27. Клиника

• Начальная стадия:кровоточивость, отек десны, болевые
ощущения в области десен, зуд и жжение, неприятный
запах изо рта. Можно обнаружить неглубокие
зубодесневые карманы, преимущественно в области
межзубных пространств.Зубы неподвижны, не смещены и
нет явных признаков нарушений общего состояния
организма. на рентгенограмме определяются отсутствие
компактной пластинки на вершинах межзубных
перегородок, расширение периодонтальной щели в
пришеечной области, резкие очаги остеопороза и первые
признаки деструкции костной ткани.

28. Клиника

• Развившаяся стадия: появляются множественные
патологические зубодесневые карманы разной глубины и
формы, часто с гнойными отделениями, подвижность и
дислокация зубов, в дальнейшем формируется
травматическая окклюзия. Характерно обилие мягкого
зубного налета, над- и поддесневых зубных отложений.
Обнажение шеек и корней зубов сопровождается
гиперестезией, иногда резорбцией цемента и дентина корня.
Могут развиваться ретроградные пульпиты.
Рентгенологическая картина характеризуется выраженным
остеопорозом и деструкцией кости, преобладает
вертикальный тип резорбции с образовантем костных
карманов. Параллельно развиваются изменения со стороны
общего состояния организма-подъем температуры тела,
слабость, недомогание, увеличение и болезненность
региональных лимфоузлов

29.

В развившейся стадии пародонтита можно выделить I, II, III
степени заболевания. Критериями являются глубина
патологических карманов и степень резорбции костной ткани.
I степень: глубина карманов 3,5 мм и резорбция костной ткани
не более 1 /з длины корня зуба;
II степень: глубина карманов - до 5 мм, а резорбция костной
ткани до 1/2 длины корня;
III степень: глубина карманов более 5 мм, деструкция костной
ткани более чем на 1/2 длины корня зуба.

30. Лечение

• Представляет собой комплекс лечебных воздействий,
включает местное консервативное, физиотерапевтическое,
хирургическое и ортопедическое лечение, а также
предусматривает применение средств общего воздействия на
весь организм.

31. Ортопедическое лечение ГП решает следующие задачи:

равномерное распределение на весь зубной ряд
жевательного давления, приходящегося на отдельные зубы;
объединение в единый блок всех зубов каждой из челюстей;
устранение патологической подвижности зубов;
предупреждение смещения зубов.

32. Методы лечения

Избирательное пришлифовывание.
Временное шинирование.
Ортопедические приемы.
Применение постоянных шинирующих аппаратов и протезов.
Непосредственное протезирование и шинирование.

33. ОСОБЕННОСТИ ОРТОПЕДИЧЕСКОГО ЛЕЧЕНИЯ ПАРОДОНТИТА

Первый этап
• Лёгкая степень тяжести - ИП. Средняя степень - ИП + временное
шинирование. Тяжёлая степень - ИП + временное шинирование.
Удаление зубов при необходимости + иммедиат-протезы.
Второй этап
• Лёгкая степень тяжести - при необходимости ортопедическое
лечение.
• Средняя степень - при необходимости ортодонтическое лечение.
Постоянные шинирующие протезы.
• Тяжёлая степень - постоянные съёмные или несъёмные
шинирующие лечебные аппараты.
Третий этап (реабилитационно-профилактический)
• Регулярный (1 раз в полгода) контроль за пользованием
протезами, гигиеной полости рта и состоянием тканей
пародонта.

34. Метод избирательного пришлифовывания. Методика Дженкельсона.

Показания:
• Суперконтакты при:
• вторичной деформации зубных рядов при вторичной частичной
адентии;
• патологической стираемости;
• заболевании пародонта с наклоном зубов, поворотом зубов вокруг оси,
образованием диастем и трем.
• Синдром болевой дисфункции нижнечелюстного сустава.
• Отсутствие физиологической стираемости.

35.

Проводится избирательная пришлифовка:
• После кюретажа, медикаментозного лечения и
временного шинирования.
• Перед лоскутной операцией и открытым кюретажем
(т.е. до хирургического вмешательства).
Различают три класса:
• щечные поверхности вестибулярных бугров нижней
челюсти, вестибулярные - режущих поверхностей
резцов и клыков;
• оральные поверхности небных бугров верхней
челюсти;
• щечные поверхности небных бугров верхней
челюсти.

36.

Избирательная пришлифовка проводится в 4-5 посещений в зависимости от
суперконтактов (если контакт 2,5 мм по площади, то 5 посещений).
1 посещение
• Копировальная бумага ставится на верхней челюсти, нижнюю челюсть при этом надо двигать назад дистальная окклюзия. Пришлифовка проводится по 3 классу каплевидным или пламевидным бором, т.е.
заострить бугор, но не снимать сам бугор. После этого - ремтерапия, фтор-лак, защитные пасты.
2 посещение
• Через 3-5 дней до недели. Выверить суперконтакты на нижней челюсти в центральной окклюзии по 1
классу, бугры не снимать, а шлифовать до 45 градусов, увеличить величину окружности экватора. Затем клык и резцы с вестибулярной стороны. По режущему краю можно убрать твердые ткани, по высоте
только в одном случае, если один зуб явно ниже других зубов. Если зуб укоротить, то он все равно будет
уходить в суперконтакт.
3 посещение
• Через 10 дней проверить верхние зубы в центральной окклюзии по 2 классу.
4 посещение
• Через 5-7 дней проверить контакты в центральной окклюзии по 3 классу.
5 посещение
• Через 10-14 проверяют все три класса. Отполировать твердые ткани, всегда - ремтерапия.

37.

38. Шины

Шина - приспособление для иммобилизации (полной
неподвижности или значительно уменьшенной подвижности)
группы зубов или всего зубного ряда.
Требования, предъявляемые к шинам:
• создавать прочный блок из группы зубов, ограничивая их движения в трех
направлениях: вертикальном, вестибуло-оральном, медиолатеральном (для
передних) и переднезаднем (для боковых);
• быть жесткой и прочно фиксированной на зубах;
• не оказывать раздражающего действия на маргинальный пародонт;
• не препятствовать медицинской и хирургической терапии десневого кармана;
• не иметь ретенционных пунктов для задержки пищи;
• не создавать своей окклюзионной поверхностью блокирующих моментов движению
нижней челюсти;
• не нарушать речи больного;
• не вызывать грубых нарушений внешнего вида больного;
• изготовление шины не должно быть связано с удалением большого слоя твердых
тканей коронок зубов

39. Временное шинирование

• Временные протезы изготавливают с целью восстановить
дефекты зубных рядов и шинировать имеющиеся ,позволяет
устранить травматическое воздействие патологической
подвижности,обеспечивает равномерное распределение
жевательного давления между пародонтом зубов
включенных в шину, создает покой пораженным тканям и
способствует повышению эффективности патогенетической и
симптоматической терапии.

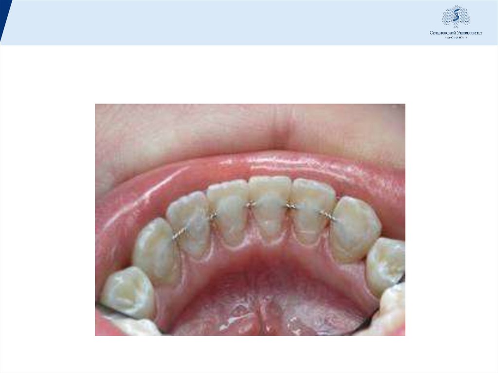
40. В шину включают все зубы, обеспечивая иммобилизацию по дуге.

Временные шины
изготавливают из
пластмассы. Различают
• капповые шины
• оральные
• вестибуло-оральные
многозвеньевые
Капповые шины охватывают окклюзионную часть
коронок зубов, их применение связано с завышением
окклюзионной высоты.
Пластмассовые шины - каппы, армированные
металлической или неметаллической арматурой и
временно фиксированные, обеспечивают наилучший
шинирующий эффект, одновременно позволяют
восстановить дефекты зубного ряда и улучшить
внешний вид пациента.
Вестибуло-оральные шины (круговые) покрывают
только часть вестибулярной поверхности зуба, не
мешают смыканию антагонистов и не оттесняют
десневой край.

41.

• Используется 2 типа материалов в зависимости от их
химического состава:
• на основе неорганической матрицы GlasSpan (США) и Fiber
Splint (Швейцария).
• на основе органической матрицы полиэтилена Ribbond
(США) и Connect (США),

42.

43. Технология наложения шины:

1.Предварительная абразивная обработка поверхности зубов для создания ретенционных пунктов.
2.Протравливание поверхности зубов.
3.Нанесение бонда на поверхность зубов.
4.Поэтапное прикладывание ленты к зубному ряду с заведением в межзубной промежуток и
засвечиванием поверхности.
5.В завершение шина покрывается тонким слоем композита с последующей полировкой. При
изготовлении шины, из гигиенических соображений, необходимо оставлять открытыми
придесенные промежутки между зубами.

44.

45. Постоянное шинирование.

Постоянные шины применяют как
лечебные аппараты для иммобилизации
зубов на продолжительное время. Больной
такими шинами пользуется постоянно.
В зависимости от топографии дефекта
зубного ряда, распространенности и
степени деструкции пародонта постоянные
конструкции могут быть
• Съемными
• несъемными
• комбинированными.

46. Несъемные шины

К положительным свойствам несъемных шин относится:
• их способность обеспечивать блокирование системы в трех направлениях:
вертикальном, трансверзальном, медиодистальном;
• оставляя открытым десневой карман (исключение - блок полных коронок),
делают его доступным для медикаментозной и хирургической (кюретаж) терапии;
• больные быстро привыкают к несъемным шинам, а фонетические нарушения
возникают редко и быстро устраняются без помощи врача.
Отрицательные свойства несъемных шин:
• необходимость препарирования зубов, сопровождающееся грубой травмой
эмали и дентина;
• применение штифтовых шин предусматривает удаление пульпы, что при
пломбировании каналов порождает опасность развития верхушечного
периодонтита;
• несъемные шины трудно накладываются при веерообразном расхождении зубов;
• конструкции колпачковых шин непрочны и разрываются по линии пайки, имеет
место расцементировка;
• несъемные шины ухудшают гигиену полости рта.

47.

48.

• Кольцевая шина. Представляет собой
набор спаянных металлических колец,
которые, надеваясь на зубы,
обеспечивают их прочную фиксацию.
• Полукольцевая шина. Полукольцевая
шина отличается от кольцевой
отсутствием полного кольца с внешней
стороны зубного ряда. Это позволяет
добиться большей эстетичности
конструкции при соблюдении
технологии, схожей с созданием
кольцевой шины.
• Колпачковая шина. Представляет собой
ряд спаянных между собой колпачков,
надевающихся на зубы, покрывающих
его режущую кромку и внутреннюю
часть (со стороны языка). Колпачки
могут быть цельнолитыми или
изготавливаться из отдельных
штампованных коронок, которые затем
спаиваются между собой.

49.

• Вкладочная шина. Метод напоминает
предыдущий с той разницей, что
вкладыш-колпачок имеет выступ,
который устанавливается в углубление
на верхушке зуба, что усиливает его
фиксацию и всей конструкции шины в
целом. Так же, как и в предыдущем
случае шина крепится к полным
коронкам для придания максимальной
устойчивости конструкции.
• Коронковая и полукоронковая шина.
Полнокоронковая шина используется
при хорошем состоянии десны, т.к. риск
ее травматизации коронкой велик.
Обычно используют
металлокерамические коронки

50.

• Интердентальная (межзубная) шина.
Современный вариант шины по методике
представляет собой соединение двух соседних
зубов специальными вживляемыми вставками,
которые взаимно укреплят соседние зубы.
Могут использоваться различные материалы,
однако в последнее время предпочтение
отдается фотополимерам, стеклоиономерному
цементу, композитным материалам.
• Шина Треймана, Вайгеля, Струнца, Мамлока,
Когана, Бруна и др. Некоторые из этих
«именных» шин уже потеряли свою
актуальность, некоторые были подвергнуты
модернизации.
• Несъемные шины-протезы являются особой
разновидностью шин. Они объединяют в себе
решение двух задач: лечение заболеваний
пародонта и протезирование отсутствующих
зубов.

51.

• Область применения несъемных конструкций ограничена
включенными дефектами. Опорный зуб должен быть
достаточно устойчивый, иметь достаточно костной опоры.

52. Съемные шины

Шинирующие свойства съемных шин обеспечиваются различной комбинацией
непрерывных опорно-удерживающих и перекидных кламмеров, а также разной
формы окклюзионных накладок. Распространению их способствовала разработка
методик параллелометрии, точного литья на огнеупорных моделях, применение
хромокобальтовых сплавов и сплавов из благородных металлов.
Съемные шины могут применяться для шинирования одной какой-либо группы
зубов или всего зубного ряда. При иммобилизации передних зубов шину
желательно доводить до премоляров, а при шинировании боковых - до клыков.
Съемные шины могут включаться в конструкцию дугового протеза как его
составляющая часть. Это шины-протезы:
• шина типа непрерывного кламмера;
• шина-каппа;
• единая шина для всего зубного ряда.

53.

• Шина Эльбрехта. Сплав каркаса эластичный, но достаточно
прочный. Это обеспечивает защиту от подвижности зубных
рядов во всех направлениях, кроме вертикального, т.е. не
дает защиты при жевательной нагрузке.
• Шина Эльбрехта с т-образными кламмерами в области
передних зубов. Такая конструкция позволяет добиться
дополнительной фиксации зубной дуги. Однако эта
конструкция годиться лишь при минимальной подвижности
зубов и отсутствии выраженного воспаления пародонта,

54.

55.

• Съемная шина с литой каппой. Это модификация шины
Эльбрехта, позволяющая снизить подвижность резцов и
клыков в вертикальном (жевательном) направлении. Защита
обеспечивается наличием специальных колпачков в области
передних зубов, которые и снижают жевательную нагрузку на
них.
• Круговая шина. Она может быть обычной или с
когтевидными отростками. Используется при невыраженной
подвижности зубов, т.к. значительное отклонение зубов от
своей оси приводит к сложностям при попытке надевания
или снятия протеза.

56.

Преимущеста: легко поддаются очистке, меньше
нарушают гигиену полости рта. Нарушения эстетики
минимальны.
можно применять их для профилактики функциональной
перегрузки пародонта, при дефектах зубных рядов с
признаками заболевания пародонта, но без
патологической подвижности зубов.
Изготовление съемных шин производится в лаборатории,
в полости рта больного манипуляции сокращаются. Это
также относится к достоинствам этого вида шинирования.
К недостаткам таких шин относится то, что при
изготовлении их требуется большая точность:
обязательное применение параллелометрии и точного
литья на огнеупорных моделях. При нарушении точности
наложения и снятия шины возможна перегрузка
пародонта отдельных зубов.

57. Показания к включению зубов в шину.

• Показания к включению зубов в шину зависят от величины
атрофии зубной альвеолы и формы заболевания пародонта
• . Зубы с подвижностью III степени подлежат удалению.
Необходимо удалить зубы с подвижностью II степени, если
имеется атрофия более 2/3 лунки. Зубы с подвижностью I
степени при атрофии лунки более чем на половину при
пародонтитах удаляют, а при пародонтозе их нужно включить в
шину. При хронических периапикальных изменениях зубы с
подвижностью I степени и с хорошо пломбированными
корневыми каналами подлежат шинированию. При плохой
обтурации корневого канала зуб может быть включен в шину
только при отсутствии изменений верхушечного периодонта и
спокойного клинического течения (отсутствие болей до лечения
и через 3-4 недели после него). В случае обострения
хронического периодонтита, зуб не включается в шину. Зубы с
подвижностью II степени и хроническими околоверхушечными
очагами, даже если каналы хорошо пломбированы,
шинированию не подлежат. Наличие свищевого хода является
противопоказанием к включению зуба в шинирующий блок,
даже если канал запломбирован.

58. Непосредственное протезирование при пародонтите

• Непосредственное (послеоперационное) протезирование полости рта отличается
тем, что создание протеза происходит до удаления, а его наложение — на
операционном столе или в стоматологическом кресле по окончании операции (не
позднее 24 часов с момента ее окончания).
• Показания к применению непосредственных протезов достаточно широки.
Первым из них нужно назвать удаление зубов или острую травму их коронковой
части, приводящую к отлому коронок. При этом нужно выделить, по крайней
мере, пять ситуаций:
• потеря или травма передних зубов, особенно у преподавателей, лекторов,
актеров;
• одномоментное множественное удаление зубов, как правило, при заболеваниях
пародонта. Наряду с устранением дефектов внешнего вида, дикции, жевания
врач преследует цель предотвратить функциональную перегрузку пародонта
сохранившихся зубов;
• удаление зубов у детей, у которых в результате этого могут возникнуть
деформации альвеолярных частей и тел челюстей;
• образование двусторонних концевых дефектов зубного ряда при глубоком
прикусе или заболеваниях височно-нижнечелюстного сустава;
• удаление последней пары зубов-антагонистов.
• В обоих последних случаях происходит одномоментная потеря фиксированной
межальвеолярной высоты, что осложняет функционирование височнонижнечелюстного сустава и жевательных мышц.

59. Непосредственное протезирование при пародонтите

Основными целями ортопеда в
послеоперационном периоде являются:
• замещение дефектов и воссоздание целостности
зубных рядов;
• восстановление нарушенных функций жевания,
глотания и речи;
• профилактика функциональной перегрузки
пародонта, жевательных мышц, височнонижнечелюстного сустава;
• психосоциальная адаптация пациента.

60. Непосредственное протезирование при пародонтите

Методика непосредственного
протезирования съемной конструкции
заключается в следующем:
до удаления зубов снимают рабочий и вспомогательный оттиски, по которым получают модели челюстей и готовят
восковые шаблоны, если без них нельзя составить модели в центральном соотношении;
модели челюстей гипсуют в артикулятор в центральном соотношении и срезают на них зубы, подлежащие удалению. Нужно
щадяще относиться к альвеолярному гребню модели в области срезаемых зубов. Не следует увлекаться их гравировкой,
поскольку трудно предугадать характер и распространение атрофических процессов;
на рабочей модели челюсти после нанесения границ частичного съемного пластиночного протеза техник-лаборант проводит
постановку искусственных зубов и заканчивает создание протеза;
затем следует удаление зубов у пациента, через 20—30 мин. после которого проводят наложение протеза. Следует отметить,
что отек слизистой оболочки в ране и вокруг нее мешают точному прилеганию протеза к тканям протезного ложа и часто
вызывает повышение межальвеолярной высоты на искусственных зубах. Поэтому в данное посещение больного не следует
заниматься исправлением окклюзии. Это надо сделать в последующие дни, когда воспалительный отек исчезнет.

61. Непосредственное протезирование при пародонтите

Методика непосредственного протезирования съемной конструкции заключается в следующем:
до удаления зубов снимают рабочий и вспомогательный оттиски, по которым получают модели челюстей и готовят
восковые шаблоны, если без них нельзя составить модели в центральном соотношении;
модели челюстей гипсуют в артикулятор в центральном соотношении и срезают на них зубы, подлежащие удалению. Нужно
щадяще относиться к альвеолярному гребню модели в области срезаемых зубов. Не следует увлекаться их гравировкой,
поскольку трудно предугадать характер и распространение атрофических процессов;
на рабочей модели челюсти после нанесения границ частичного съемного пластиночного протеза техник-лаборант проводит
постановку искусственных зубов и заканчивает создание протеза;
затем следует удаление зубов у пациента, через 20—30 мин. после которого проводят наложение протеза. Следует отметить,
что отек слизистой оболочки в ране и вокруг нее мешают точному прилеганию протеза к тканям протезного ложа и часто
вызывает повышение межальвеолярной высоты на искусственных зубах. Поэтому в данное посещение больного не следует
заниматься исправлением окклюзии. Это надо сделать в последующие дни, когда воспалительный отек исчезнет.

62. СПАСИБО ЗА ВНИМАНИЕ!

English     Русский Rules