Лучевая диагностика заболеваний пищевода
Введение
Рентгенанатомия пищевода
Лучевые методы исследования пищевода
Контрастирование
Пищевод в норме и ее болезни
Болезни пищевода
1. Дивертикулы пищевода
2. Желудочно-пищеводный (гастроэзофагеальный) рефлюкс – ГЭРБ
3. Грыжа пищеводного отверстия диафрагмы - ГПОД
4. Синдром Маллори—Вейсса
Синдром Маллори—Вейсса
5. Язвенный эзофагит (язва пищевода)
6. Стриктуры пищевода
7. Пищеводные мембраны и кольца
Пищеводная мембрана (Пламмера-Вильсона)
Кольцо Шацки
8. Варикозное расширение вен пищевода
9. Атрезия пищевода
10. Инородные тела пищевода
11. Ахалазия кардии пищевода
12. Склеродермия пищевода
13. Спазм пищевода (пищевод Щелкунчика)
14. Вирусный и кандидозный эзофагиты
Кандидозный эзофагит
Вирусный эзофагит
15. Пищевод Барретта (предраковое состояние)
16. Рак пищевода
СПАСИБО ЗА ВНИМАНИЕ !!!
11.93M
Category: medicinemedicine

Лучевая_диагностика_Попова_Арина_ПД_23_04

1. Лучевая диагностика заболеваний пищевода

Выполнил студент
Педиатрического факультета
Группы 23-04
Попова Арина

2. Введение

• Пищевод (Esophagus) – это полый мышечный орган, соединяющий глотку с
желудком. Представляет узкую и длинную активно действующую трубку,
вставленную между глоткой и желудком и способствующую продвижению
пищи в желудок. Он начинается на уровне VI шейного позвонка, что
соответствует нижнему краю перстневидного хряща гортани, и оканчивается
на уровне XI грудного позвонка.
• Длина пищевода 23 — 25 см.

3. Рентгенанатомия пищевода

• Пищевод исследуется в косых положениях — в правом сосковом или левом
лопаточном.
• При рентгенологическом исследовании пищевод виден как интенсивная
продольная тень между сердцем и позвоночником. После прохождения
основной массы контраста можно рассмотреть контуры стенок, просвет и
рельеф складок слизистой оболочки.
! Главное отличие живого пищевода от трупного — его положение. У трупа
пищевод имеет несколько выраженных изгибов. У живого человека эти
изгибы менее заметны из-за прижизненного мышечного тонуса.

4.

• 3 отдела:
Шейный (С6-Th1)
Грудной (Th2-Th10)
Абдоминальный (Th11-Th12)
• 5 сужений пищевода:
- Анатомические (постоянные):
Фарингеальное (С6-С7)
Бронхиальное (Th4-Th5)
Диафрагмальное (Th10-Th11)
- Физиологические (функциональные):
Аортальное (Th4)
Кардиальное (Th11)

5.

• Стенка пищевода состоит из следующих слоев:
1. Слизистая оболочка
2. Подслизистая основа
3. Мышечная оболочка
4. Адвентиция
• Слизистая оболочка имеет хорошо выраженные
продольные складки. Эпителий слизистой
оболочки плоский многослойный
неороговевающий.
• Подслизистая основа представлена рыхлой
соединительной тканью, в которой располагаются
кровеносные и лимфатические сосуды и нервы.

6. Лучевые методы исследования пищевода

• 1. Рентгенография
(дивертикула пищевода, варикозное расширение вен, бронхопищеводный свищ,
ахалазия, эзофагит, лейомиома, полип, киста)
• Эзофагография (рентгенография пищевода)(Проводится при помощи рентгенаппарата с введением контрастного вещества)
• 2. Компьютерная томография (КT)
(варикозное расширение вен, склеродермия, эзофагит, лейомиома, киста,
папиллома, полип, гемангиома, рак, метастаз рака)
• 3. Магнитно-резонансная томография (МРТ)
• 4. Ультразвуковое исследования (УЗИ)
(гемангиома, зернистоклеточная опухоль, рак)

7. Контрастирование

Позитивные КС – водная взвесь сульфата бария, йодсодержащие КС;
Нейтральные КС – вода, воздух;
Двойное контрастирование - применение рентгенопозитивного
рентгенонегативного вещества одновременно.
и

8. Пищевод в норме и ее болезни

9.

Норма
• Картина нормального пищевода при
рентгенологическом исследовании при тугом
наполнении и двойном контрастировании: а —
в норме пищевод при тугом наполнении имеет
диаметр около 2 см, четкие и ровные контуры;
б — после прохождения контрастной массы
выявляются продольные непрерывные складки
слизистой оболочки (до 4).

10.

• Картина нормального пищевода
при компьютерной томографии.
На всем протяжении стенка
пищевода не утолщена,
регионарные лимфатические
узлы не визуализируются: а —
верхняя треть пищевода; б —
средняя треть пищевода; в —
нижняя треть пищевода; г —
сагиттальная реконструкция.

11.

• Картина нормального пищевода
при эндоскопическом
ультразвуковом исследовании.
Стенка пищевода не утолщена,
контуры ровные,
параэзофагеальная клетчатка не
изменена, увеличенные
регионарные лимфатические узлы
не визуализируются.

12. Болезни пищевода

1. Дивертикулы пищевода. Глоточный
дивертикул (Ценкера)
2. Желудочно-пищеводный
(гастроэзофагеальный) рефлюкс – ГЭРБ
3. Грыжа пищеводного отверстия диафрагмы ГПОД
4. Синдром Маллори—Вейсса
5. Язвенный эзофагит (язва пищевода)
6. Стриктуры пищевода
7. Пищеводные мембраны и кольца
8. Варикозное расширение вен пищевода
9. Атрезия пищевода
10. Инородные тела пищевода
11. Ахалазия кардии пищевода
12. Склеродермия пищевода
13. Спазм пищевода (пищевод
Щелкунчика)
14. Вирусный и кандидозный
эзофагиты
15. Пищевод Барретта (предраковое
состояние)
16. Рак пищевода

13. 1. Дивертикулы пищевода

• Дивертикул —
это выпячивание
слизистой оболочки
через мышечный слой
пищевода.
- Истинные –
выпячиваются все слои
органа.
- Ложные – выпячивается
только слизистая
оболочка через дефект в
мышечном слое стенки.

14.

15.

По локализации:
Фарингоэзофагеальный дивертикул
(дивертикул Ценкера, ДЦ) – располагается на
задней стенке глотки;
Парабронхиальный дивертикул
(бифуркационный) – располагается в области
бифуркации трахеи;
Эпифренальный(наддиафрагмальный) –
располагается над диафрагмой.

16.

17.

• Дивертикул Ценкера - протрузия
слизистой оболочки в анатомически
«слабой» области сразу же над
перстневидно-глоточной
мышцей.
Дивертикул Ценкера не является
истинным: в стенке дивертикула нет
мышц,
присутствуют
только
слизистая оболочка и подслизистая
основа.
• Рентгенологическая
картина:
заполненное
контрастом
мешковидное выпячивание задней
стенки шейного сегмента пищевода
(С5-С6).

18. 2. Желудочно-пищеводный (гастроэзофагеальный) рефлюкс – ГЭРБ

• Гастроэзофагеальная рефлюксная
болезнь (ГЭРБ) — хроническое
заболевание пищеварительной
системы, при котором содержимое
желудка или тонкой кишки попадает
в пищевод. Из-за постоянного
раздражения кислым желудочным
соком в слизистой оболочке
пищевода формируется хронический
воспалительный процесс.

19.

Основная причина гастроэзофагеальной
рефлюксной болезни (ГЭРБ) — дисфункция
сфинктера, мышечного кольца, которое должно
плотно закрываться после прохождения пищи,
предотвращая обратный заброс желудочного
содержимого.
Пассаж бария

20. 3. Грыжа пищеводного отверстия диафрагмы - ГПОД

• Грыжа пищеводного отверстия диафрагмы
(ГПОД) — хроническое рецидивирующее
заболевание, при котором через пищеводное
отверстие диафрагмы смещается абдоминальный
отдел пищевода, кардия, верхний отдел желудка
и в крайне редких случаях петли кишечника.
• Основная причина грыжи пищеводного
отверстия диафрагмы (ГПОД) — ослабление
связок диафрагмы и пищевода.
1 — эндоскоп; 2 — грыжевые ворота;
3 — слизистая оболочка желудка

21.

• Типы ГПОД
3. Смешанная
1. Скользящая (90% случаев)
· Сочетание скользящей и
· Переход "пищевод-желудок" смещается
параэзофагеальной.
вверх.
· Может возвращаться на место.
4. Врождённая
2. Параэзофагеальная
· Из-за аномалий развития.
· Часть желудка выходит рядом с пищеводом.
· Высокий риск → нужна операция.

22.

А. видна крупная скользящая грыжа над диафрагмой Б.
Скользящая грыжа

23.

24. 4. Синдром Маллори—Вейсса

• Синдром Маллори—Вейсса (желудочнопищеводный разрывно-геморрагический
синдром) — острое состояние,
сопровождающееся кровотечением из-за
продольных разрывов слизистой оболочки
пищевода и кардиального отдела желудка.
• Главная причина разрывов — локальное
повышение давления в области
пищеводно-желудочного перехода.
1 — переход плоского эпителия в
цилиндрический между желудком и
пищеводом; 2 — разрыв Маллори-Вейсса;
3 — просвет желудка

25. Синдром Маллори—Вейсса

· I ст. — Поверхностное повреждение
слизистой.
· II ст. — Разрыв до подслизистого
слоя.
· III ст. — Глубокий разрыв мышц,
кровотечение.
· IV ст. — Сквозной разрыв, угроза
жизни.

26.

27. 5. Язвенный эзофагит (язва пищевода)

• Язва пищевода — это
нарушение целостности
слизистой оболочки
пищевода с
образованием язвенного
дефекта.
• Гастроэзофагеальная
рефлюксная болезнь
(ГЭРБ) — наиболее частая
причина язвы пищевода.

28.

29. 6. Стриктуры пищевода

• Стриктура пищевода — это патологическое
сужение просвета пищевода, которое нарушает
его проходимость и нормальное продвижение
пищи в желудок. Проявляется как стойкое
уменьшение внутреннего диаметра пищеводной
трубки, что создаёт механическое препятствие
для пассажа пищевых масс.
• Основная причина стриктур (стенозов)
пищевода — повреждение слизистой с
последующим рубцеванием.
• Основные симптомы стриктуры (стеноза)
пищевода — затруднение глотания
(дисфагия), ощущение, что пища «застревает»
в горле или за грудиной. По мере
прогрессирования сужения симптомы
становятся более выраженными.

30.

• По происхождению:
• Врождённые —
обнаруживаются у
новорождённых из-за аномалий
развития (например, атрезия
пищевода).
• Приобретённые —
развиваются в течение жизни
под влиянием внешних или
внутренних факторов.
• По причине:
• Доброкачественные (рубцовый
, пептический,
посттравматический).
• Злокачественные (опухолевый,
метастатический).

31.

32. 7. Пищеводные мембраны и кольца

• Пищеводные мембраны — тонкие листки соединительной ткани, покрытые
плоским эпителием. Могут встречаться в любом месте пищевода, обычно — в
верхней его трети. Зачастую располагаются асимметрично.
• Симптомы: избирательная дисфагия (чаще твёрдая, чем жидкая), боль в грудной
клетке, носоглоточный рефлюкс.
• Пищеводные кольца — концентрические, гладкие, тонкие (3–5 мм) расширения
нормальной ткани пищевода. Состоят из трёх анатомических слоёв: слизистой
оболочки, подслизистой и мышечной массы.
• Симптомы: дисфагия и боль, когда пищевой комок задерживается между двумя
кольцами и растягивает пищевод.

33. Пищеводная мембрана (Пламмера-Вильсона)

Пищеводная мембрана (ПламмераВильсона)
• Носит название синдрома
Паттерсона—Келли
• Это заболевание наиболее
часто встречается среди
женщин среднего возраста. У
таких пациентов также можно
обнаружить лейкоплакию
ротоглотки и койлонихию.

34. Кольцо Шацки

• Кольцо Шацки — симметричное
фиброзное утолщение
подслизистого слоя толщиной
1—3 мм в месте перехода
плоского эпителия в столбчатый
в нижней части пищевода.
Кольцо можно обнаружить при
эндоскопии над
диафрагмальным вдавлением.

35. 8. Варикозное расширение вен пищевода

• Варикозное расширение вен
пищевода (варикоз пищевода, ВРВ пищевода)
— патологическое изменение сосудов в
стенках пищевода, при котором их просвет
увеличивается, а стенка выпячивается.
Обычно развивается в нижней трети
пищевода.
• Главный механизм — портальная
гипертензия.
• Варикозное расширение вен пищевода: часто
бессимптомно, но опасно кровотечением.

36.

37. 9. Атрезия пищевода

• Атрезия пищевода —
врождённый порок
внутриутробного
развития, при
котором пищевод не
сообщается с желудком.
• Атрезия пищевода
проявляется
слюнотечением, пеной из
носа или рта,
затруднением глотания,
рвотой, синюшностью
кожи и нарушениями
дыхания.

38.

39.

40. 10. Инородные тела пищевода

• Инородные тела пищевода — это
застрявшие в пищеводе крупные
непрожёванные куски пищи и случайно
или преднамеренно проглоченные
предметы.
• Некоторые симптомы инородных тел
пищевода: боль в нижней части горла
или за грудиной, усиленное
слюноотделение, дискомфорт при
глотании, срыгивание, нарушение
дыхания.

41.

• Инородные тела застревают на уровне перстнещитовидной мышцы или
пищеводно-желудочного соединения, при этом в первом случае возникает
риск асфиксии, во втором — перфорации пищевода

42.

43. 11. Ахалазия кардии пищевода

• Ахалазия кардии пищевода — это
хроническое заболевание, при
котором нарушается моторика
пищевода, а нижний пищеводный
сфинктер (клапан между пищеводом
и желудком) не расслабляется
должным образом при глотании.
• Основные симптомы – дисфагия,
регургитация, боль в груди, изжога.

44.

45.

46. 12. Склеродермия пищевода

• Склеродермия пищевода (склеродермический эзофагит) — это
неэрозивные или эрозивные изменения пищевода, возникающие на
фоне системной склеродермии — аутоиммунного заболевания
соединительной ткани.
• Основные симптомы склеродермии пищевода (склеродермического
эзофагита) — нарушение глотания из-за замещения мышечного слоя
пищевода фиброзной соединительной тканью.

47.

48.

• (Слева) На рентгенограмме пищевода, выполненной во время рентгеноскопии у женщины 29 лет с дисфагией и одышкой, визуализируется
расширенный, атоничный пищевод со стриктурой в дистальных отделах. Перистальтика пищевода полностью отсутствует. (Справа) На КТ
органов грудной клетки у этой же пациентки определяется интерстициальный фиброз, а также визуализируется в значительной степени
расширенный пищевод; оба обнаруженных изменения являются следствием склеродермии.

49.

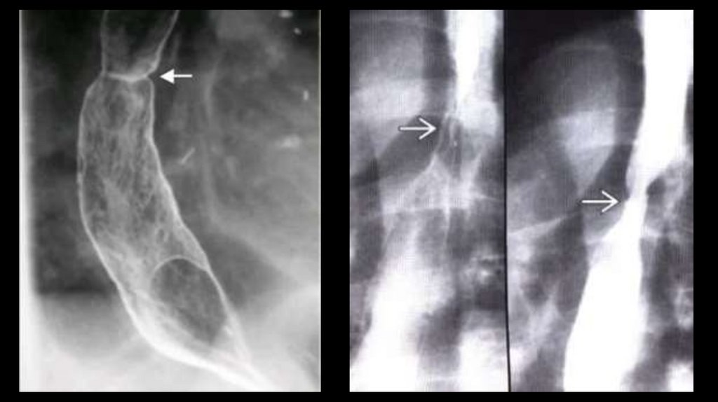
(Слева) На рентгенограмме, полученной во время рентгеноскопии пищевода у молодой женщины с дисфагией, визуализируется растянутый
пищевод с наличием в его просвете уровня «жидкость-газ», определяющегося (при рентгеноскопии) в течение длительного времени, что
свидетельствует о задержке содержимого в пищеводе. Определяется также стриктура дистального отдела пищевода. (Справа) На рентгенограмме,
выполненной через некоторое время этой же пациентке, визуализируется растянутая двенадцатиперстная кишка на фоне функционального
сужения ее третьей части. У пациентов со склеродермией часто обнаруживается дилятация и атония двенадцатиперстной кишки.

50. 13. Спазм пищевода (пищевод Щелкунчика)

• «Пищевод щелкунчика» (синоним — сегментарный спазм пищевода) —
нарушение моторики пищевода, при котором наблюдаются сокращения
дистальной части пищевода высокой амплитуды и большой длительности.
Некоторые симптомы: дисфагия, сильная боль в груди. Заболевание может
протекать бессимптомно.
• «Пищевод щелкунчика» — доброкачественное, непрогрессирующее
заболевание, не приводящее к серьёзным осложнениям.

51.

52.

53. 14. Вирусный и кандидозный эзофагиты

• Вирусный и кандидозный эзофагиты — формы инфекционного эзофагита,
вызванного воздействием патогенных агентов. Основная причина —
ослабление иммунной системы, на фоне которого активизируются вирусы
или грибы
• Вирусный эзофагит. Основная причина — вирус простого герпеса (ВПГ)
или цитомегаловирус (ЦМВ).
• Кандидозный эзофагит. Основная причина — грибы рода Candida, в
норме присутствующие в организме, но активизирующиеся при ослаблении
иммунитета.

54. Кандидозный эзофагит

55.

(Слева) Продольно ориентированные бляшки слизистой оболочки, характерные для
кандидозного эзофагита. (Справа) На рентгенограмме пищевода с двойным контрастированием
визуализируются дефекты наполнения, расположенные продольно, которые обусловлены
наличием бляшек. Рентгеноскопия с двойным контрастированием является очень точным
методом в выявлении характерных поражений пищевода при кандидозе: бляшек, язв, и менее
типичных проявлений кандидозного эзофагита.

56. Вирусный эзофагит

57.

58. 15. Пищевод Барретта (предраковое состояние)

• Пищевод Барретта (метаплазия Барретта) — предраковое состояние. Это
патологическое изменение слизистой оболочки пищевода, при котором типичный
многослойный плоский эпителий дистального отдела пищевода замещается на
атипичный цилиндрический (кишечного типа).
• Опасность заболевания — риск развития злокачественной опухоли —
аденокарциномы.

59.

• Основная причина —
гастроэзофагеальная
рефлюксная болезнь
(ГЭРБ).
• Специфических
симптомов у пищевода
Барретта нет —
перерождение клеток
происходит незаметно для
пациента. Однако патология
возникает на фоне других
заболеваний
пищеварительной системы,
и симптомы могут быть
характерны для них.

60.

61. 16. Рак пищевода

• Рак пищевода — это злокачественное
новообразование, которое
формируется из эпителия внутренней
оболочки пищевода. Заболевание
заключается в перерождении клеток
слизистой оболочки пищевода и
последующем формировании опухоли.
• Основная причина возникновения рака
пищевода — раздражение или
повреждение слизистой пищевода
механическими, химическими или
термическими агентами.

62.

По данным рентгенологического исследования условно выделяют
• А) экзофитные формы (полиповидная форма плоскоклеточного рака, аденокарцинома);
• Б) эндофитные формы (инфильтративный тип плоскоклеточного рака)
При прорастании рака пищевода в соседние органы диагностируются пищеводнотрахеальные и пищеводно-бронхиальные свищи.

63.

64.

65. СПАСИБО ЗА ВНИМАНИЕ !!!

English     Русский Rules