10.96M
Category: biologybiology

ССС (1)

1.

Сердечнососудистая система

2.

Сердечно-сосудистая система
включает:
Сердце
Кровеносные сосуды
Лимфатические сосуды

3.

Функции
1) Транспортная:
- трофическая;
- дыхательная;
- экскреторная .
2) Интегративная;
3) Регуляторная;
4) Защитная - участие в воспалительных и
иммунных процессах.

4.

Развитие сердечно-сосудистой
системы
Закладка кровеносных сосудов у зародыша
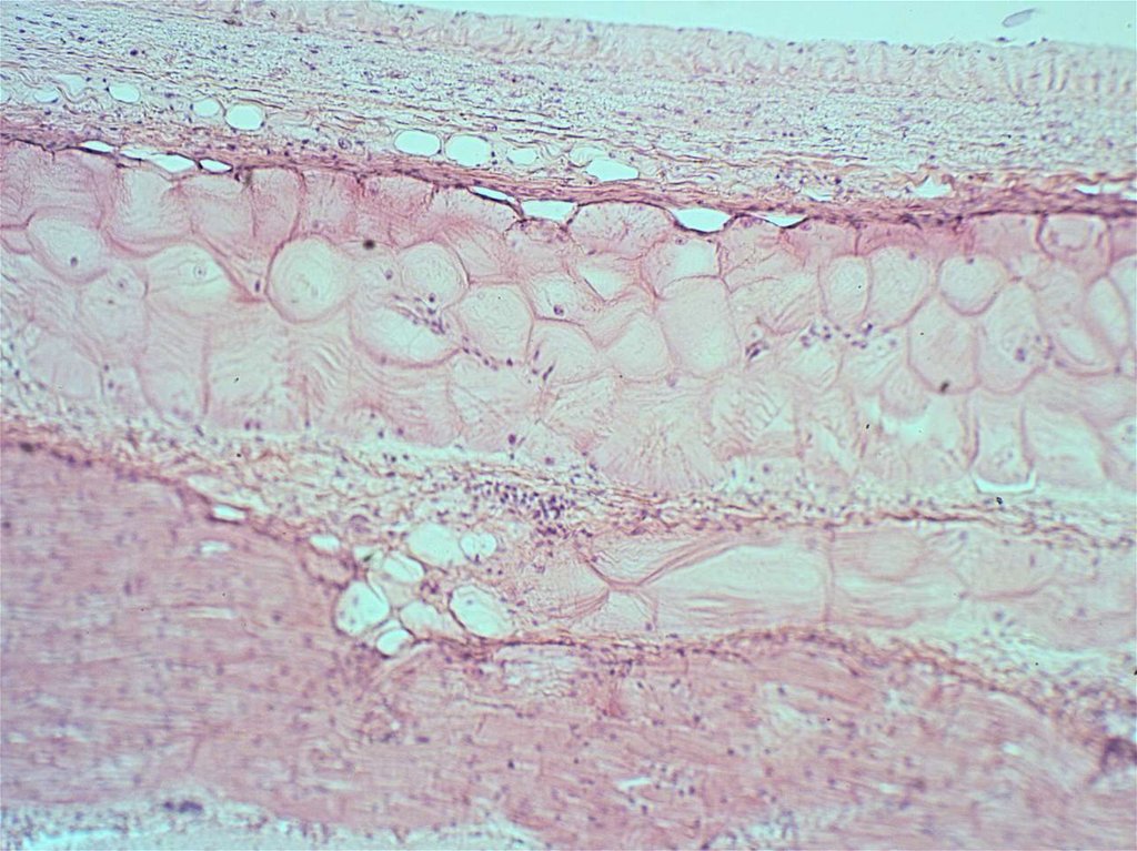
человека происходит на 3 неделе эмбриогенеза.
Различают:
первичный ангиогенез, или васкулогенез;
вторичный ангиогенез.

5.

Первичный ангиогенез
представляет собой процесс первоначального
образования
сосудистой
стенки
из
мезенхимы.
Первые кровеносные сосуды образуются в
провизорном органе - желточном мешке.
Здесь
из
мезенхимы
формируются
кровяные островки Максимова –Вольфа.

6.

Клетки кровяных островков
дифференцируются в 2 направлениях:
Гематогенная
линия
Ангиогенная
линия
Клетки
крови
Эндотелиальные
клетки

7.

Развитие кровеносных сосудов
2 – эндотелий;
3 – первичные клетки
крови

8.

Гемодинамические условия
Особенности
строения и функционирования разных
сосудов определяется гемодинамическими условиями.
Гемодинамические
условия – это условия движения
крови по сосудам.
Они определяются следующими факторами:
-
величиной артериального давления,
-
скоростью кровотока,
-
вязкостью крови,
-
местоположением сосуда в организме.

9.

Гемодинамические условия
определяют такие морфологические
признаки сосудов, как:
толщина стенки (в артериях она больше, а в
капиллярах меньше, что облегчает диффузию
веществ);
степень
развития мышечной оболочки
направления гладких миоцитов в ней;
и
соотношение в средней оболочке мышечного и
эластического компонентов;

10.

наличие или отсутствие внутренней и наружной
эластических мембран;
глубина залегания сосудов;
наличие или отсутствие клапанов;
соотношение между толщиной стенки сосуда и
диаметром его просвета;
наличие
или отсутствие гладкой мышечной
ткани во внутренней и наружной оболочках.

11.

Классификация кровеносных
сосудов
В системе кровеносных сосудов различают:
1) Артерии, по которым кровь течет от сердца
(богата кислородом, кроме легочной артерии);
2) Вены, по которым кровь возвращается к сердцу
(мало кислорода, кроме легочной вены);
3) Микроциркуляторное русло (артериолы, венулы,
капилляры,
артериоло-венулярные
анастомозы),
обеспечивающее наряду с транспортной функцией
обмен веществ между кровью и тканями.

12.

Все кровеносные сосуды можно подразделить
на сосуды, образующие:
- транспортный отдел – артерии, вены.
Функция – доставка крови.
- трофический отдел – микрососуды.
Функция – обменные процессы.

13.

Общий план строения
кровеносных сосудов
стенка артерий и вен имеет 3 оболочки:
1) внутреннюю (tunica intima, или interna);
2) среднюю (tunica media);
3) наружную (tunica externa, или adventitia).

14.

Внутренняя оболочка
1) Эндотелий – однослойный плоский
эпителий
2) Подэндотелиальный слой - из РВСТ
3) Эластические структуры:
- внутренняя эластическая мембрана – в
артериях мышечного типа ;
- сплетение или сеть эластических волокон –
в артериях эластического типа, в венах
мышечного типа

15.

Средняя оболочка
Артерии
и
вены
классифицируются
по
количественному соотношению в средней
оболочке
мышечного
и
эластического
компонентов.
гладкие миоциты (ГМ)
межклеточное вещество:
- основное аморфное вещество,
- эластические и коллагеновые волокна.

16.

Наружная оболочка
Основной компонент - рыхлая волокнистая
соединительная
ткань,
содержащая
эластические и коллагеновые волокна, а также
адипоциты.
В некоторых сосудах здесь могут находиться
также пучки миоцитов.
Сосуды
сосудов
(vasa
vasorum),
лимфатические капилляры и нервные стволы.
В венах vasa vasorum располагаются во всех
трёх оболочках.

17.

Артерии характеризуются более высокой скоростью движения
крови и высоким давлением крови
Артерии
Эластического
типа
Аорта,
легочный ствол
Смешанного
типа
Сонная,
подключичная,
подвздошная
Мышечного
Средние и
мелкие
артерии
типа

18.

Артерии эластического типа
самые крупные артерии - аорта и лёгочный
ствол.
В связи с близостью к сердцу, здесь особенно
велики перепады давления.
Поэтому требуется высокая эластичность –
способность растягиваться при систоле сердца
и возвращаться в исходное состояние при
диастоле.
Соответственно, во всех оболочках содержится
много эластических элементов.

19.

Внутренняя оболочка
Состоит из 3 слоев:
1) Эндотелий – однослойный плоский эпителий.
2) Подэндотелиальный
соединительной ткани.
слой
-
3) Сплетение эластических волокон
из
рыхлой

20.

Средняя оболочка
Важнейшим компонентом являются эластические
окончатые мембраны (40-70), образующие мощный
эластический каркас, имеющих вид цилиндров,
вставленных друг в друга.
Между ними - сеть эластических и ретикулярных
волокон, основное вещество, гладкие миоциты и
фибробласты.
Гладкие миоциты выполняют не только сократительную
функцию, но и синтезируют компоненты межклеточного
вещества
сосудистой
стенки
(протеогликаны,
гликопротеины, эластин и коллаген).
.

21.

Аорта

22.

Артерии мышечно-эластического
типа
o крупные сосуды, отходящие от аорты: сонные,
подключичные, подвздошные артерии.
o В их средней оболочке содержатся в равных
количествах эластические и мышечные
компоненты.

23.

Артерии мышечного типа
артерии среднего и мелкого калибра.
Стенка имеет 3 оболочки:
1) Внутренняя оболочка имеет 3 слоя:
- эндотелий;
- подэндотелиальный слой;
- внутренняя эластическая мембрана.

24.

Преобладающими компонентами в средней
оболочке являются гладкие миоциты, расположенные
циркулярно. Благодаря такому направлению, при их
сокращении просвет сосуда суживается, способствует
повышению кровяного давления.
Кроме миоцитов располагаются эластические волокна,
в меньшем количестве коллагеновые волокна и
основное аморфное вещество.
на границе средней и наружной оболочек в крупных
артериях мышечного типа имеется наружная
эластическая мембрана.
3) Наружная оболочка – из РВСТ, адипоциты,
кровеносные сосуды, нервные стволики.

25.

Артерия мышечного типа
эндотелий
внутренняя
эластическая
мембрана
внутренняя
оболочка
средняя
оболочка
наружная
оболочка

26.

Артерия мышечного типа

27.

По мере уменьшения диаметра сосудов
происходит:
1) уменьшение толщины сосудов;
2) уменьшение толщины всех оболочек;
3) выражен слабо или постепенно исчезает
подэндотелиальный слой;
4) исчезает наружная эластическая мембрана.

28.

Классификация вен
Вены
безмышечного
(волокнистого)
типа
со слабым
развитием
мышечных
элементов
мышечного типа
со средним
развитием
мышечных
элементов
с сильным
развитием
мышечных
элементов

29.

Вены

30.

Вены безмышечного типа
относятся вены: плаценты; костей; сетчатки
глаза; мягкой мозговой оболочки; ногтевого
ложа; трабекул селезенки; центральные вены
печени.
Отсутствие в них мышечной оболочки
объясняется тем, что кровь здесь движется
под действием силы тяжести, и ее движение
не регулируется мышечными элементами.

31.

Строение вен
состоят из:
1)
внутренней
оболочки

эндотелий,
подэндотелиальный слой, сеть эластических
волокон;
2) средняя оболочка – отсутствует или
коллагеновыми и эластическими волокнами;
3) наружной оболочки - из рыхлой волокнистой
неоформленной соединительной ткани.
Внутренняя и наружная
мембраны отсутствуют.
эластические

32.

Вена мышечного типа

33.

Отличие вен мышечного типа
от артерий мышечного типа
1) Подэндотелиальный слой в венах развит слабее,
чем в артериях.
2) Внутренняя и наружная эластическая мембраны в
венах отсутствуют.
3) Мышечная оболочка в венах развита значительно
слабее, чем в артериях. При этом часто отмечается
продольное расположение гладких миоцитов.
4) Границы между оболочками в венах выражены
менее отчетливо, чем в артериях.
5) В венах толстой оболочкой является наружная
адвентициальная оболочка.
6) В значительном числе вен имеются клапаны,
которые препятствуют обратному току крови.

34.

Отличительные черты строения артерий и вен

35.

36.

Оболоч
ки
Артерия
эластического типа
Артерия мышечного
типа
Вена мышечного
типа
Внутрен
няя
1) Эндотелий
1) Эндотелий
1) Эндотелий
2) Подэндотелиаль
ный слой
2) Подэндотелиаль
ный слой
2) Подэндотелиал
ьный слой
3) Сплетение
эластических
волокон
3) Внутренняя
эластическая
мембрана
3) Сеть
эластических
волокон
Средняя - Окончатые
эластические
мембраны
- Гладкие миоциты
- Основное
аморфное
вещество
- Гладкие миоциты
- Основное
аморфное
вещество
Гладкие миоциты
Основное
аморфное
вещество
Наруж
ная
- РВСТ
- РВСТ
- Сосуды сосудов
- Наружная
эластическая
мембрана
- РВСТ

37.

Микроциркуляторное русло
это
комплекс
кровеносных
сосудов,
обеспечивающих
регуляцию
кровенаполнения
органов, транскапиллярный обмен и дренажнодепонирующую функцию.
включает:
артериолы;
капилляры;
венулы;
артериоло-венулярные анастомозы.

38.

Артериолы
имеют диаметр 50-100 мкм. В их строении
сохраняются 3 оболочки, но они выражены
слабее, чем в артериях.
В области отхождения от артериолы капилляра
находится гладкомышечный сфинктер, который
регулирует кровоток. Этот участок называется
прекапилляром.
Функции: 1) трофическая; 2) «краны сосудистой
системы».

39.

Капилляры
наиболее многочисленные и самые тонкие
сосуды, по которым кровь транспортируется
из артериального звена в венозное.
по строению подразделяются на 3 типа:
1) соматического – диаметр 4-7 мкм;
2) висцерального (фенестрированного) – диаметр
7-11 мкм;
3) синусоидного (перфорированного) – диаметр
20-30 мкм.

40.

Органная специфичность капилляров
1-эндотелиоцит
Соматический
тип
2-базальная
мембрана
3-фенестры
Фенестрированный
тип
4-щели (поры)
5-перицит
6-адвентициальная
клетка
Синусоидный
тип
7-контакт
эндотелиоцита
8-нервное
окончание

41.

Строение капилляров
Стенка кровеносных капилляров имеет 3 слоя:
1) Внутренний слой - эндотелиоциты, расположенные на
базальной мембране.
2) Средний слой – перициты. На этих
заканчиваются вегетативные нервные окончания.
клетках
3) Наружный слой - адвентициальные клетки, играющие
роль камбия.
Функции перицитов: изменение просвета капилляров; источник гладкомышечных
клеток; контроль пролиферации эндотелиальных клеток при регенерации капилляра;
синтез компонентов базальной мембраны; фагоцитарная функция.

42.

1) Соматического типа или непрерывные, они
находятся в коже, легких, скелетной и сердечной
мышцах, ЦНС. Для них характерен непрерывный
эндотелий (1) и непрерывная базальная мембрана (4).

43.

2) Фенестрированного или висцерального типа
(локализация – эндокринные железы, ворсинки
кишечника, почки). Для них характерно наличие в
эндотелии сужений – фенестр (6) и непрерывной
базальной мембраны (4).

44.

3) Перфорированного или синусоидного типа
(красный костный мозг, селезенка, печень). В
эндотелии этих капилляров имеются отверстия (7),
есть они и в базальной мембране, которая может
вообще отсутствовать.

45.

46.

Венулы
Венулы
делятся:
на
собирательные; мышечные.
посткапиллярные;
Посткапиллярные венулы образуются в
результате слияния нескольких капилляров,
имеют такое же строение, как и капилляр, но
больший диаметр (12-30 мкм) и большое
количество перицитов.

47.

В собирательных венулах (диаметр 30-50 мкм),
которые образуются при слиянии нескольких
посткапиллярных венул, уже имеются 2 выраженные
оболочки:
внутренняя
(эндотелиальный
и
подэндотелиальный слои) и наружная – РВСТ.
Гладкие миоциты появляются только в крупных
венулах, достигающих диаметра 50 мкм. Эти венулы
называются мышечными и имеют диаметр до 100
мкм.

48.

Микроциркуляторное русло
кровеносный капилляр
артериоло-венулярный анастамоз
артериола
венула

49.

Микроциркуляторное русло

50.

Артериоло-венулярные анастомозы

51.

Сердце
является центральным
лимфообращения.
органом
Стенка сердца имеет 3 оболочки:
- внутренняя – эндокард;
- средняя – миокард;
- наружная – эпикард.
крово-
и

52.

Развитие сердца
Развивается из 2 источников:
- эндокард образуется из мезенхимы и
вначале имеет вид 2 сосудов – мезенхимных
трубок, которые в дальнейшем сливаются с
образованием эндокарда;
- миокард и мезотелий эпикарда развиваются из
миоэпикардиальной пластинки – части
висцерального листка спланхнотома.

53.

Функции сердца
1) насосная функция – постоянно сокращаясь,
поддерживает постоянный уровень артериального
давления;
2)
эндокринная
функция
натрийуретического фактора;

выработка
3) информационная функция – сердце кодирует
информацию в виде параметров артериального
давления, скорости кровотока и передает ее в
ткани, изменяя обмен веществ.

54.

Строение эндокарда
В соответствии со своим происхождением
эндокард напоминает по строению стенку сосуда
(артерии).
В нем выделяют следующие слои:
1) эндотелий – однослойный плоский эпителий;
2) подэндотелиальный слой – РВСТ;
3)
мышечно-эластический
слой
образован
гладкими миоцитами и сетью эластических
волокон, аналог средней оболочки сосудов.
4) наружный соединительно-тканный слой. Он
связывает эндокард с миокардом и продолжается
в его строму.

55.

Миокард
образован
поперечно-полосатой
сердечной
мышечной тканью, структурными элементами
которой являются кардиомиоциты.
Совокупность
кардиомиоцитов
рассматривать как паренхиму миокарда.
можно
Строма представлена прослойками рыхлой
волокнистой неоформленной соединительной
ткани, которые в норме выражены слабо.

56.

57.

Типы кардиомиоцитов
различают 3 типа:
1) Типичные (сократительные, или рабочие)
кардиомиоциты.
2) Атипичные (клетки проводящей системы).
3) Секреторные предсердные кардиомиоциты.

58.

Типичные кардиомиоциты
Основную массу миокарда составляют рабочие
кардиомиоциты,
они
имеют
прямоугольную
форму
и
соединяются друг с другом с помощью
специальных контактов – вставочных дисков.
За счет этого они образуют функциональный
синцитий;
имеют 1 ядро, расположенное в центре клетки.

59.

Проводящие, или атипичные
кардиомиоциты
формируют проводящую систему сердца, которая
обеспечивает
ритмическое
координированное
сокращение его различных отделов.
проводящая система сердца включает:
1) синусно-предсердный узел (узел Киса – Флека),
2) предсердно-желудочковый
узел
(атриовентрикулярный узел, Ашоффа – Тавары),
3) предсердно-желудочковый пучок (пучок Гиса) и их
разветвления (волокна Пуркинье).

60.

Проводящие кардиомиоциты
3 типа:
1) Пейсмекерные клетки – водители ритма
(Р-клетки).
2) Переходные клетки.
3) Клетки пучка Гиса и волокна Пуркинье.

61.

ПРОВОДЯЩАЯ СИСТЕМА СЕРДЦА
Переходные клетки
Синусные пейсмекеры
(водители ритма)
Проводящие клетки волокон Пуркинье

62.

Пейсмекерные клетки
Р-клетки
(пейсмекерные
синусный узел.
клетки)
образуют
Способны
к
спонтанной
деполяризации
образованию электрического импульса.
и
Волна деполяризации передается через нексусы
типичным кардиомиоцитам предсердия, которые
сокращаются.
Генерация импульсов Р-клетками происходит с
частотой 60-80/мин;

63.

Переходные кардиомиоциты
Промежуточные (переходные) кардиомиоциты
предсердно-желудочкового
узла
передают
возбуждение на рабочие кардиомиоциты, а
также на 3-й вид атипичных кардиомиоцитов –
клетки-волокна Пуркинье.
Переходные кардиомиоциты также способны
самостоятельно генерировать электрические
импульсы, однако их частота ниже, чем частота
импульсов, генерируемых пейсмекерными
клетками, и составляет 30-40/мин;

64.

Клетки волокна Пуркинье
3-й тип атипичных кардиомиоцитов, из которых
построены пучок Гиса и волокна Пуркинье.
Основная функция клеток-волокон – передача
возбуждения от промежуточных атипичных
кардиомиоцитов
рабочим
кардиомиоцитам
желудочка.
Кроме
того,
эти
клетки
способны
самостоятельно генерировать электрические
импульсы с частотой 20/мин и менее;

65.

Атипичные кардиомиоциты отличаются от
сократительных кардиомиоцитов:
1) Практически не способны к сокращениям – из-за
низкого содержания миофибрилл, митохондрий, Ттрубочек и L – канальцев.
2) Обладают повышенной возбудимостью.
3) Между этими кардиомиоцитами
щелевидных
контактов.
Поэтому
происходит возбуждение.
больше
быстрее

66.

Секреторные кардиомиоциты
располагаются в предсердиях;
основной
функцией
этих
натрийуретического гормона.
клеток
является
синтез
Он выделяется в кровь тогда, когда в предсердие поступает
большое количество крови, т.е. при угрозе повышения
артериального давления.
Выделившись в кровь, этот гормон действует на канальцы
почек, препятствуя обратной реабсорбции натрия в кровь из
первичной мочи.
При этом в почках вместе с натрием из организма выделяется
вода, что ведет к уменьшению объема циркулирующей крови
и падению артериального давления.

67.

Сердце
Эндокард
Миокард
Волокна Пуркинье
Сократительный
кардиомиоцит

68.

69.

эндокард
адипоцит
Проводящий кардиомиоцит
(клетки волокна Пуркинье)

70.

Сократительный кардиомиоцит
вставочный диск
ядро

71.

Эпикард
• наружная оболочка сердца, он
висцеральным листком перикарда.
является
• Эпикард состоит из 2 листков: внутреннего слоя,
представленного
рыхлой
волокнистой
неоформленной
соединительной
тканью;
наружного – однослойного плоского эпителия
(мезотелий).

72.

Спасибо за внимание
English     Русский Rules