Дополнительные методы обследования стоматологического больного (без рентгенологических методов иследования)
Термодиагностика
Температурный тест.
Окрашивание
СПОСОБЫ ВЫЯВЛЕНИЯ ЗУБНЫХ ОТЛОЖЕНИЙ
Индекс Федорова-Володкиной
Индекс Грина – Вермиллиона (OHI-S, ИГР-У) (1964)
Индекс Silness-Loe
ТЭР-тест
КОСРЭ-тест
Функциональные методы обследования
Аппараты для ЭОД
Методика проведения электроодонтометрии
Функциональные методы обследования
Функциональные методы обследования
Лазерная диагностика DIAGNOdent (KaVo, Германия)
Окклюзиография - метод получения окклюзионных контактов
ОПРЕДЕЛЕНИЕ НАЛИЧИЯ СУПРАКОНТАКТОВ ПО ОККЛЮЗОГРАММЕ
ОПРЕДЕЛЕНИЕ СТОЙКОСТИ КАПИЛЛЯРОВ ПО КУЛАЖЕНКО
Лабораторные методы исследования
Лабораторная диагностика
4.85M
Category: medicinemedicine

Дополнительные методы обследования стоматологического больного (без рентгенологических методов исследования)

1. Дополнительные методы обследования стоматологического больного (без рентгенологических методов иследования)

2. Термодиагностика

• Зуб с нормальной ( неповрежденной)
пульпой реагирует на значительные
температурные отклонения.
• Индифферентная зона (зона отсутствия
реакции) для резцов составляет 30°С (50—
52°С — реакция на тепло, 17 — 22°С — на
охлаждение).

3. Температурный тест.


Тест с нагреванием. Для этого теста гуттаперчу нагревают над
пламенем, пока она не станет мягкой и блестящей, но нельзя
допускать, чтобы она дымилась (температура около 65,5 С).
Разогретую гуттаперчу помещают на среднюю треть вестибулярной
поверхности коронки.
Тест с охлаждением. Для проведения этого теста лучше всего
использовать хлорэтил, нанесенный на вату на палочке.
Возможны 6 вариантов ответной реакции:
1. отсутствие реакции (некроз пульпы, хронический апикальный
периодонтит или облитерация полости зуба в пожилом возрасте);
2. сразу преходящая реакция (здоровый интактный зуб, некариозные
поражения, кариес);
3. быстропроходящая реакция (обратимые формы пульпита –
гиперемия пульпы);
4. болевая реакция быстро возникающая от холодного,
сохраняющаяся после прекращения действия раздражителей (острый
пульпит).
5. болевая реакция быстро возникающая от горячего, сохраняющаяся
после прекращения действия раздражителей, уменьшающаяся от
холодного (острый гнойный пульпит).
6. болевая реакция медленно возникающая и нарастающая от
температурных раздражителей, сохраняющаяся после прекращения
действия раздражителей (хронические формы пульпитов).

4.

ХЛОРЭТИЛ
ВОДА

5. Окрашивание

• Используется 2% раствор
метиленового синего. Время
аппликации – 3 минуты. Цвет
зуба изменяется при наличии
кариеса и зубных отложений.
Окрашивание проводится с
целью:
• Мотивации пациента;
• Определения гигиенических
индексов;
• Дифференциальной диагностики
кариеса и некариозных
поражений;
• Определения эффективности
профилактических мероприятий.

6.

Витальное окрашивание десны
Его проводят по методике Шиллера – Писарева и используют для выявления
воспалительных изменений десны.
Смазывают десневой край раствором Шиллера – Писарева и проводят оценивание.
Интенсивная окраска десны (от бурого до тёмно-коричневого) указывает на наличие
воспаления десны.
Степень распространения воспаления определяют с помощью индекса РМА.
Йод реагирует с гликогеном, накапливающимся в зоне воспаления,
и окрашивает его в коричневый цвет

7. СПОСОБЫ ВЫЯВЛЕНИЯ ЗУБНЫХ ОТЛОЖЕНИЙ

1. Визуально: тщательное обследование зубов с
помощью зонда и зеркала.
2. Окраска зубов йодсодержащими растворами.
3. Использование воздушного пистолета для
отодвигания струей воздуха участка десны,
прилежащей к шейке зуба с целью обзора десневой
бороздки.
4. Обнаружение поддесневого зубного камня в
проходящем свете.
5. Обнаружение поддесневого зубного камня на
рентгенограмме.
6. Применение специальных
индексов гигиены
(с окрашиванием и без).

8.

Зубные отложения, окрашенные фуксином

9.

Йод окрашивает зубные отложения в коричневый цвет

10. Индекс Федорова-Володкиной

Окрашивание вестибулярной поверхности шести нижних фронтальных
зубов раствором Шиллера – Писарева или раствором Люголя
Окрашивание всей
поверхности зуба – 5 баллов
¾ поверхности – 4 балла
½ поверхности – 3 балла
¼ поверхности – 2 балла
Отсутствие окрашивания – 1 балл
1,1-1,4 балла – хорошая гигиена
1,5-1,8 – удовлетворительная
1,9-2,5 – неудовлетворительная
2,6-3,8 – плохая
3,9-5 – очень плохая

11.

12. Индекс Грина – Вермиллиона (OHI-S, ИГР-У) (1964)

Оценивается вестибулярная поверхность 16, 11, 26, 31
и на оральная поверхность 36, 46
0 – нет налета
1 – налет покрывает не более 1/3
поверхности зуба
2 – налет покрывает от 1/3 до 2/3
поверхности зуба
3 – налет покрывает более 2/3
поверхности зуба
0-0,6 балла – хорошая гигиена
0,7-1,6 – удовлетворительная
1,7-2,5 – неудовлетворительная
2,6-3,0 – плохая

13. Индекс Silness-Loe

Без окрашивания!
Определяют толщину зубного налета в пришеечной области. Исследуют
группу зубов или все зубы, в каждом зубе - вестибулярную, оральную и
контактные поверхности. Зуб высушивают и проводят кончиком зонда в
пришеечной области.
0 баллов - отложений не обнаружено;
1 балл - визуально отложения не
обнаруживаются, на кончике зонда остается
налет после проведения по поверхности зуба в
пришеечной области;
2 балла - умеренное скопление зубного налета
в десневой борозде, на поверхности десны и
зуба, видимое невооруженным глазом;
3 балла - интенсивные зубные отложения в
области десневого края и на поверхности зуба
Результат = сумма баллов / количество обследованных зубов
Не превышает 1 - в норме, при хорошем
гигиеническом состоянии, больше 1 показатель плохого гигиенического
состояния полости рта

14.

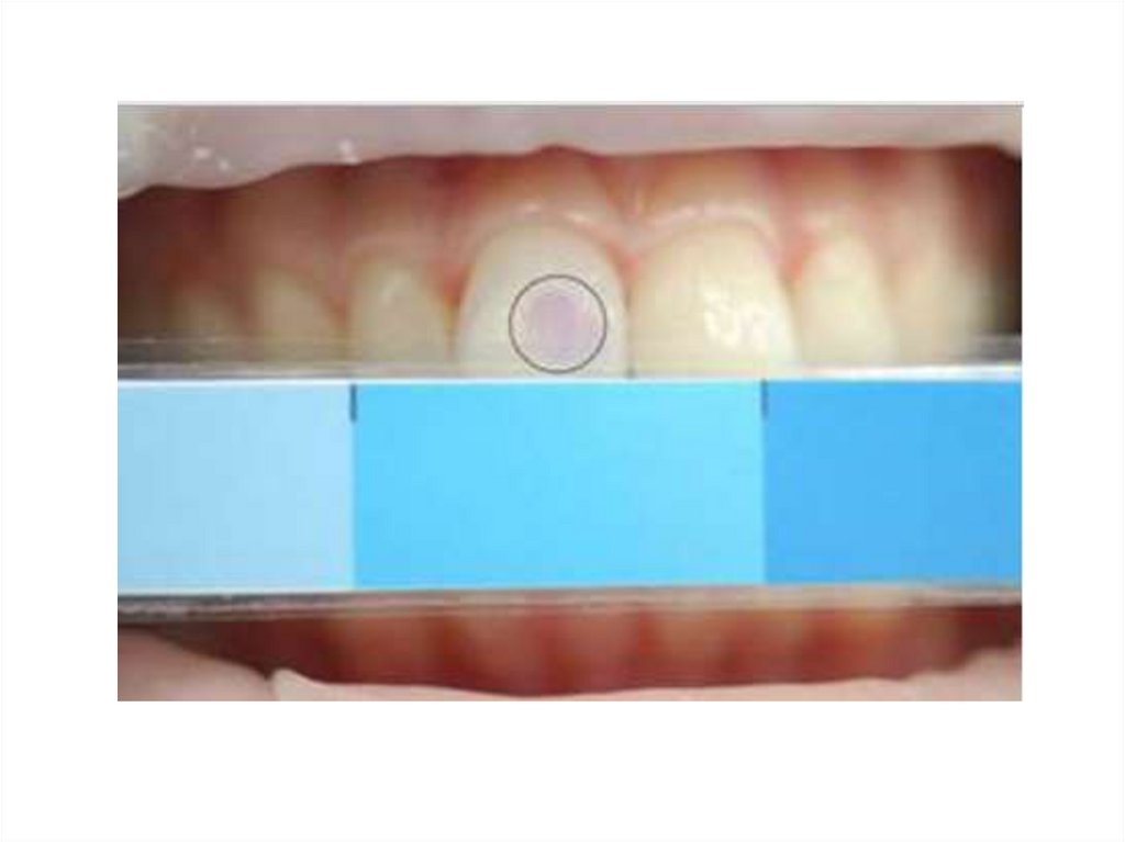
15. ТЭР-тест


Тест эмалеваой резистентности позволяет определить степень
кислотоустойчивости эмали.
Методика: на предварительно промытую дистиллированной водой и
высушенную вестибулярную поверхность центрального верхнего резца
стеклянной палочкой наносят одну каплю 1 Н соляной кислоты диаметром
2 мм. Через 5 сек. кислоту смывают дистиллированной водой и
поверхность зуба высушивают. Глубину микродефекта травления эмали
оценивают по интенсивности его прокрашивания 1% раствором
метиленового синего. Остатки красителя снимают с поверхности зуба
сухим ватным тампоном одним стирающим движением. Протравленный
участок оказывается окрашенным в синий цвет. Интенсивность окраски
зависит от глубины повреждения эмали, ее оценивают с помощью
эталонной десятипольной шкалы синего цвета, в которой каждая полоска
соответствует 10%.
Интенсивность окрашивания протравленного участка эмали до 30%
характеризует нормальную кислотоустойчивость зубов. Показатели ТЭР
от 40% и выше, напротив, указывают на низкую устойчивость эмали.
Снижение кислотоустойчивости эмали, определяемое по результатам
ТЭР, является неблагоприятным прогностическим показателем.

16.

17.

18. КОСРЭ-тест

• Клиническое определение скорости реминерализации эмали предназначен для
использования при проведении массовых мероприятий по профилактике и
лечению кариеса зубов.
Методика: предварительно заготавливают кислотный буфер с pH 0,49 и 2,0%
раствор метиленового синего. Поверхность эмали исследуемого зуба
тщательно очищают от налета, затем просушивают струей воздуха. После
этого на поверхность эмали зуба стеклянной палочкой наносят каплю
солянокислого буфера с pH 0,49. По истечении 60 сек. деминерализующий
раствор удаляют ватным тампоном. Последующее промывание водой не
требуется. На протравленный участок эмали зуба на 60 сек. наносят ватный
шарик, пропитанный 2,0% раствором метиленового синего. Затем ватный
шарик убирают и приступают к тщательному удалению излишков краски
(используют только сухие ватные тампоны). Податливость эмали к действию
кислоты (процесс деминерализации) оценивают по интенсивности окрашивания
протравленного участка эмали зуба, о степени которого судят по
десятипольной шкале синего цвета. Спустя сутки проводят повторное
прокрашивание протравленного участка эмали зуба, не воздействуя
предварительно деминерализующим раствором. Если протравленный участок
эмали зуба окрашивается, то эту процедуру повторяют через сутки. Утрата
способности протравленного участка эмали зуба прокрашиваться расценивают
как полное его восстановление. По тому, на какой день протравленный участок
эмали зуба утрачивает способность прокрашиваться, и судят о
реминерализующих свойствах слюны.

19.

Протравленный участок эмали зуба у разных людей восстанавливается в
различные сроки. При использовании КОСРЭ-теста степень податливости
эмали зубов к действию кислоты (деминерализацию, или растворимость,
эмали) выражают в процентах, а реминерализующую способность слюны
— в сутках. Для устойчивых к кариесу людей характерны низкая
податливость эмали зубов к действию кислоты (ниже 40%) и высокая
реминерализующая способность слюны (от 24 ч. до 3 сут.), а для
подверженных кариесу — высокая податливость эмали зубов к действию
кислоты (выше или равная 40%) и низкая реминерализующая способность
слюны (более 3 сут.). Определить устойчивость зубов к кариесу можно в
любом возрасте, начиная с 6–7 лет. Данный способ оценки устойчивости
зубов к кариесу предназначен для решения вопроса об объеме и
содержании противокариозных мероприятий. В условиях организованных
контингентов результаты этого теста служат основанием для решения
вопроса о кратности посещения пациентом врача-стоматолога.

20.

Специальные методы исследования
• электоодонтометрия;
• трансиллюминация;
• рентгенологические исследования;
• лабораторные методы исследования;
• лазерно-иммунофлюорисцентные
методы исследования.

21. Функциональные методы обследования

Электроодонтодиагностика (ЭОД) определение электровозбудимости
пульпы зуба

22.

• Электроодонтометрия- измерение
минимальной силы тока, на которую
«реагирует» пульпа или ткани
периодонта.
• Применяют в случаях бессимптомного
течения кариеса, для
дифференциальной
диагностики с болезнями
пульпы и
апикальным периодонтитом.
• Методика Рубина Л.Г.

23. Аппараты для ЭОД


ЭОД является важным диагностическим инструментом при определении жизнеспособности
пульпы и, соответственно, выбора метода лечения. Входит в перечень обязательных
аппаратов стоматологической клиники/кабинета. К сожалению очень мало клиник имеют
данный аппарат. Конструкция и принцип работы очень примитивные, т.е. это регулятор силы
тока (а не напряжения, как некоторые пишут) и амперметр, точнее микроамперметр.
Напряжение подаваемое на зуб составляет 24 В, хотя сейчас есть аппараты подающие 10 В
или другое напряжение. Обычно ток постоянный, но бывают аппараты и с переменным током.
Суть метода заключается в реакции пульпы зуба на ток начиная с 2-6 мкА 24 В (если зуб
здоровый) и выше (если зуб поражён кариесом или произошло осложнение кариеса). На рынке
представлено большое количество аппаратов ЭОД, стоимость заоблачная, учитывая что этот
аппарат состоит из регулятора тока и амперметра. Самые дешёвый аппарат российского
производства стоит примерно 12000 рублей: ЭОТ-01 (Аверон) [РУ № ФСР 2012/13364].
Стоимость остальных начинается с 20000 руб: аппарат электромеханический для
одонтодиагностики, апекслокации и терапии заболеваний пульпы зуба и периодонта АЭ-01
«ЭндоЭст» 26000 руб [РУ № ФСР 2010/08780]; аппарат для электроодонтодиагностики пульпы
зуба в комплекте с электродами «ПульпЭст» (PulpEst) [РУ № РЗН 2015/3393] 20000 руб;
аппарат для электроодонтодиагностики ИВН-01-«Пульптест-Про» [РУ № ФСР 2010/09348]
стоящий, для своего функционала, безумно дорого 27000 руб.
Кроме российских есть ещё аппараты американского производства: аппарат для определения
местоположения апекса и витальности пульпы Elements Diagnostic [РУ № ФСЗ
2009/03616] 170000 руб.(!); тестер Digitest II (Parkell) [РУ № РЗН 2013/312] 38000 руб;
Gentle Pulse Pulp Vitality Tester (Parkell) [РУ № РЗН 2013/312] 15000 руб.
Таким образом 7 аппаратов можно купить и использовать на территории РФ: АЭ-01, ЭОТ01, ПульпЭст, ИВН-01-«Пульптест-Про», Elements Diagnostic, Gentle Pulse и Digitest II.

24.

25. Методика проведения электроодонтометрии


Зуб изолируют от слюны и тщательно высушивают ватными шариками. Пассивный электрод
располагают в руке больного. При исследовании интактных зубов, а также зубов, покрытых
пломбами, активный электрод помещают на чувствительные точки зуба:
На фронтальных зубах — середина режущего края;
У премоляров — вершина щечного бугра;
У моляров — вершина переднего щечного бугра;
В кариозных зубах активный электрод помещают на дно кариозной полости.
Электроодонтодиагностика имеет широкое применение в стоматологии. Согласно работам
профессора Л.Р. Рубина на зубах расположены чувствительные точки, с которых
раздражение вызывается при наименьшей силе тока:
На фронтальных зубах данные точки расположены на средине режущего края, у
жевательных зубов — на вершине переднего щечного бугра. ЭОД проводят путем нанесения
проводящей среды на высушенный заранее зуб и размещения наконечника зонда
электрического тестера пульпы на поверхности зуба, ближайшей к рогу пульпы. Затем
пациенту необходимо передать конец проводящего зонда для завершения контура и
условиться, что тот отпускает его, (в некоторых аппаратах нажимает кнопку) когда
почувствует покалывание. Использование такого рода тестов нежелательно для пациентов с
кардиостимуляторами. Следует соблюдать осторожность при использовании теста
электрической пульпы на зубе, прилегающем к металлическим реставрациям, так как они
могут создавать электрическую проводимость и давать ложноотрицательные результаты.
При наличии выраженных периапикальных изменений (периодонтит, радикулярная киста)
электровозбудимость может полностью отсутствовать.

26.

ПОРОГОВЫЕ ЗНАЧЕНИЯ СИЛЫ ТОКА В ЗАВИСИМОСТИ ОТ СОСТОЯНИЯ
ПУЛЬПЫ ЗУБА
Нозологическая форма
Пороговые значения силы тока

1
Интактный зуб
2-6 мк А
2
Кариес
2-10 мк А
3
Гиперемия пульпы
12-18 мк А
4
Острый пульпит
20-30 мк А
5
Гнойный пульпит
30-60 мк А
6
Хронический пульпит
40-60 мк А
7
Хронический язвенный
60-90 мк А
8
Хронический гиперпластический
50-70 мк А
9
Некроз пульпы (сухой)
60-80 мк А
10
Некроз пульпы (влажный)
100 мк А
11
Хронический апикальный периодонтит
Более 100 мк А

27. Функциональные методы обследования

Люминесцентная диагностика - метод
базируется на способности тканей и их
клеточных элементов излучать свет
определенного цвета при действии на них
ультрафиолетовых лучей ( первичная
или собственная флюоресценция
веществ).
Твердые ткани зубов под воздействием
УФО приобретают способность к
люминесценции, и в норме эмаль и
дентин излучают сине - голубой свет.

28.

29. Функциональные методы обследования

Трансилюминация - метод похож на
люминесцентный и обоснован на
способности свечения твердых
тканей зубов под воздействием
света зеленого цвета.
Деминерализованные в результате
кариозного процесса твердые ткани
зуба ( эмаль и дентин) выглядят в
зеленом свете коричневыми. При
пульпите коронка зуба становится
темной .

30.

31.

32.

33. Лазерная диагностика DIAGNOdent (KaVo, Германия)


После предварительного очищения и высушивания поверхностей
зубов применяется лазерное флуоресцентное устройство. Прибор
содержит лазерный диод (длинна волны 650 нм), как активирующее
световое устройство и фото-диод, комбинированный с
длиннофокусным фильтром, как обнаружитель.
Активирующий свет пропускается при помощи оптического волокна
(пучок из 9 волокон) на зуб и, собираясь концентрически вокруг него,
помогает обнаружению кариозного очага. Длиннофокусный фильтр
абсорбирует обратно возбуждение и передает длинноволновое
флуоресцентное свечение.
Цифровой дисплей прибора показывает максимальную интенсивность
флюоресценции (в единицах по отношению к калибровочному
стандарту) в момент исследования.
Прибор имеет конический фиброоптический наконечник (насадку) для
обнаружения фиссурного кариеса и цилиндрическую насадку для
обнаружения кариеса на гладких поверхностях

34.

Лазерный прибор DIAGNOdent
с насадками

35.

36. Окклюзиография - метод получения окклюзионных контактов

Воск: В норме в
ортогнатическом прикусе
на всех контактах
сохраняется тончайший
слой воска. При наличии
чрезмерных контактов в
воске образуются
отверстия.
Копировальная бумага:
(8-200мкр) В области
фронтальных зубов
контакт -линейный. В
области боковых зубов
контакт точечный
(множественный)

37. ОПРЕДЕЛЕНИЕ НАЛИЧИЯ СУПРАКОНТАКТОВ ПО ОККЛЮЗОГРАММЕ

Этап 2
Этап 1
Этап 3

38.

Устройство для окклюдографии
T-Scan III

39.

Исследование окклюзионных контактов
зубов, возникающие при смыкании
с помощью устройства T-Scan III

40.

41.

Определение стойкости капилляров десен
по методике В.И. Кулаженко проводят специальным
прибором, представляющим собой вакуумный аппарат
для лечения пародонта.
Определение стойкости капилляров десны основано
на принципе учёта времени, в течение которого
образуется гематома на десне. Диаметр вакуумного
наконечника и величина вакуума постоянны.
При создании вакуума в системе стерильный
наконечник прикладывают к десне и к нему подключают
вакуум путём открытия крана. Через прозрачный
наконечник наблюдают образование гематомы.
В норме на фронтальном участке гематомы
образуются за 50-60 сек, в боковых участках – 70-80 сек.
При пародонтите время образования гематомы
уменьшается в 3-5 раз в зависимости от степени
тяжести заболевания.

42. ОПРЕДЕЛЕНИЕ СТОЙКОСТИ КАПИЛЛЯРОВ ПО КУЛАЖЕНКО

Вакуумный аппарат
Вакуумная
гематома

43.

• Реография – бескровный метод исследования
кровоснабжения органов и тканей, основанный на
регистрации изменений сопротивления тканей
при прохождении через них тока высокой
частоты. Используется для изучения
микроциркуляции мягких тканей при пластических
операциях, костной ткани при гнойновоспалительных процессах и травме.

44.

• Полярография –
электрохимический
метод изучения
окислительновосстановительных пр
оцессов, т.е. трофики и
репаративных свойств
тканей. Исследование
для оценки степени
тяжести
воспалительных
процессов, контроля за
назначенным
лечением, прогноза
возможных
осложнений.

45. Лабораторные методы исследования

• Общий клинический анализ крови.
• Биохимическое исследование крови и
мочи.
• Микроскопические методы
исследования.
• Цитологический метод
• Биопсия.
• Бактериологическое исследование.

46. Лабораторная диагностика

Проводится для выявления патогенных микроорганизмов при болезнях
периодонта и заболеваниях СОПР. Анализируется состав зубного налета,
содержимое периодонтальных карманов. Различают следующие методы
диагностики:
Бактериологическое исследование с последующей бактериологической
дифференцировкой и типизацией микроорганизмов, изучаются культуры
бактерий.
Микроскопическое исследование с использованием световых микроскопов.
Содержимое периодонтальных карманов рассматривается в темном поле или
применяется фазово-контрастная микроскопия (хорошо выявляются
спирохеты).
Молекулярно-биологические методы исследования (Polymerase Chain Reaction
PCR метод и метод гибридизации). Исследуются не живые бактерии, а
молекулы бактерий, упрощена процедура взятия и транспортировки материала.
Очень точный, но дорогостоящий метод.
При заболеваниях СОПР производится забор материала с языка, слизистой
щек, с элементов поражения и других участков. Материал исследуется на
дисбактериоз, кандидоз, туберкулез, сифилис. При сифилисе – бледная
трепонема со дна язвы, при туберкулезе микобактерия туберкулеза, при
язвенно-некротических поражениях – фузобактерии, спирохеты.
Цитологическое исследование проводится при заболеваниях СОПР. Мазокотпечаток, мазок-соскоб, осадок промывной жидкости.
Туберкулезная язва – в мазке гигантские клетки Лангханса; опоясывающий
лишай – в мазках везикулярной жидкости, окрашенных по Морозову или
Романовскому-Гимзе, – гигантские клетки с эозинофильными внутриядерными
включениями

47.

РЕНТГЕНОЛОГИЧЕСКИЕ
ИССЛЕДОВАНИЯ В СТОМАТОЛОГИИ –
ТЕМА СЛЕДУЮЩЕЙ ЛЕКЦИИ
English     Русский Rules