План
Этапы построения реставрации
Профессиональная гигиена
Обезболивание
Изоляция операционного поля Коффердам
Изоляция операционного поля
Варианты полостей 1 класса по Блеку
Полость 6 класса по Блеку
Варианты строения фиссур
Динамика распространения кариозного процесса при поражении фиссур, контактной и пришеечной области
Препарирование полостей 1 класса
Препарирование полостей 1 класса
Раскрытие полости
Некротомия
Кариес-маркер- контроль препарирования
Формирование полости 1 класса по Блеку
Задание
Элементы полости 1 класса по Блеку
Границы препарирования
Варианты расположения стенок полости
Формирование скоса
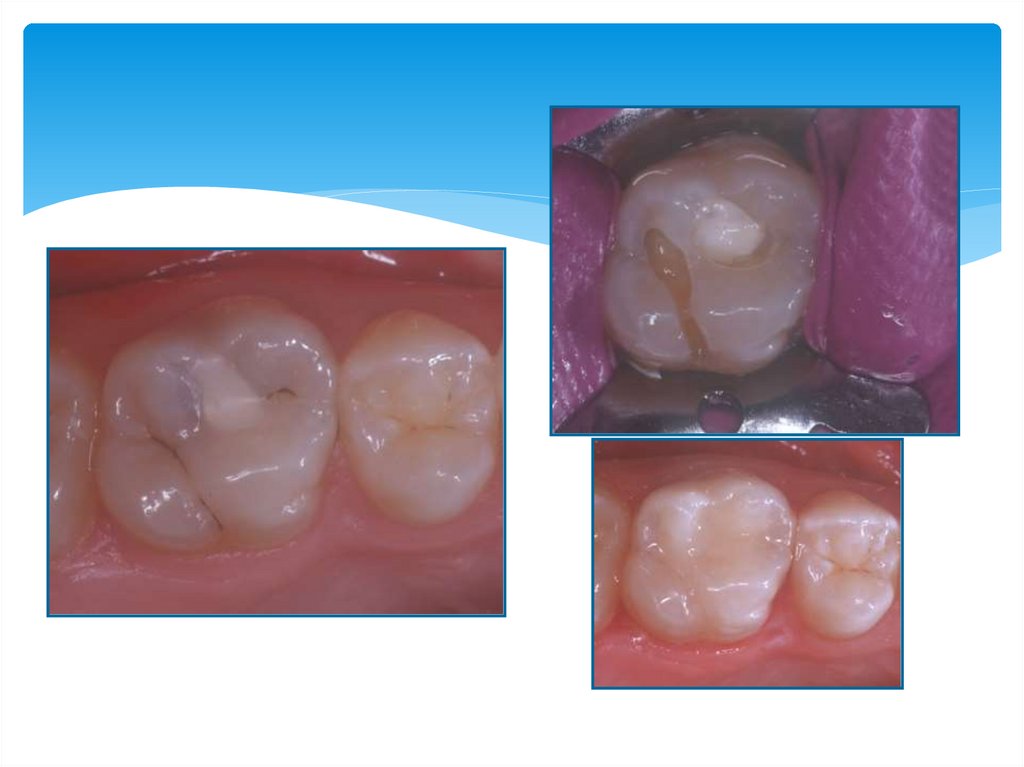
Полости 1 класса по Блеку
Построение реставрации
Медикаментозная обработка полости
Изоляция пульпы
Внесение адгезивной системы
Методы восстановления полостей I класса материалами на основе полимеров
Какой самый значимый недостаток композитов?
Полимеризационная усадка - это
Стресс полимеризационной усадки
Некомпенсированная полимеризационная усадка приводит :
Стресс полимеризационной усадки определяется
Факторы, влияющие на степень и силу полимеризационной усадки
Усадка смол
Степень наполненности композита
Фазы полимеризации
Скорость и энергия полимеризации
Скорость и энергия полимеризации
Скорость реакции полимеризации
Геометрия и размеры полости
С-фактор
Способы компенсации полимеризационной усадки материала
Способы компенсации полимеризационной усадки
Способы компенсации полимеризационной усадки
Способы компенсации полимеризационной усадки
Способы компенсации полимеризационной усадки
Способы компенсации полимеризационной усадки
Способы компенсации полимеризационной усадки
Способы компенсации полимеризационной усадки
Методы восстановления полостей I класса амальгамой
Задание: Заполните таблицу: Ошибки и осложнения при реставрации полостей1,6 классов
19.69M
Category: medicinemedicine
Similar presentations:

Принципы и этапы препарирования кариозных полостей I класса и VI класса по Блеку. Тема 3

1.

Тема 3. Принципы и этапы
препарирования кариозных полостей I
класса и VI класса по Блеку
.

2. План

Препарирование полостей 1 и 6 классов по Блеку
Элементы сформированной полости.
Инструментарий.
Реставрация различными материалами.
Возможные ошибки и осложнения при лечении
кариеса, их профилактика

3. Этапы построения реставрации

1. Профессиональная гигиена полости рта.
Определение цвета.
2. Обезболивание
3. Изоляция операционного поля
4. Препарирование полости
5. Медикаментозная обработка полости
6. Внесение адгезивной системы
7. Построение реставрации- внесение материала
8. Финишная обработка и полировка

4. Профессиональная гигиена

Удаление налета и цветных пятен для определения
цвета и диагностики
Очистка поверхности фиссур
Полировка зубов после снятия зубного камня

5.

Удаление камней с
помощью
ультразвуковых
аппаратов

6. Обезболивание

7. Изоляция операционного поля Коффердам

8. Изоляция операционного поля

9.

10. Варианты полостей 1 класса по Блеку

11. Полость 6 класса по Блеку

12. Варианты строения фиссур

1
1 «Открытая» фиссура.
2. «Закрытая» фиссура.
2
3. «Закрытая», колбообразная фиссура.
3

13. Динамика распространения кариозного процесса при поражении фиссур, контактной и пришеечной области

14. Препарирование полостей 1 класса

По Блеку
Раскрытие кариозной
Полости
Расширение кариозной
полости
Некрэктомия
Формирование
кариозной полости
Финирование
Минимально-инвазивная
техника
Раскрытие кариозной
полости
Некрэктомия
Формирование кариозной
полости
Финирование

15. Препарирование полостей 1 класса

По Блеку
Минимально-инвазивно

16.

Этапы
Раскрытие кариозной
полости
Расширение кариозной
полости
Принцип профилактического
расширения Блека
Удаление нависающих краев
эмали,
не имеющих подлежащего
дентина
Препарирование фиссур,
прилегающих к кариозной
полости
Необходимые боры
Фиссурный бор
Фиссурный бор
Некрэктомия (этап
проводят
на виртуальном
симуляторе)
Удаление размягченного и
пигментированного дентина
Шаровидный бор
Формирование
кариозной
полости
Для амальгамы,
силикофосфатных
цементов: конвергирующие
стенки полости с
ретенционными пунктами
в линейных углах,
линейные углы закруглены
Стенки: фиссурные,
обратно
конусные и
конусообразные
боры.
Дно: шаровидные и
обратноконусные боры
Формирование краев
эмали.
Финирование
Для цементов скос не
формируют
Боры с красной
маркировкой

17. Раскрытие полости

18. Некротомия

19. Кариес-маркер- контроль препарирования

20. Формирование полости 1 класса по Блеку

21. Задание

Назовите все стенки
полости 1 класса, если
принцип названия стенок:
Стенка полости
называется
соответственно
поверхности коронки
зуба, к которой она
прилежит.

22. Элементы полости 1 класса по Блеку

Стенки полости:
Оральная
Вестибулярная
Мезиальная
Дистальная
Пульпарная (дно
полости)
Углы и края полости

23. Границы препарирования

24. Варианты расположения стенок полости

25. Формирование скоса

26.

27. Полости 1 класса по Блеку

28. Построение реставрации

Критерии выбора
материала:
Диагноз;
Геометрия и размеры
полости;
Гигиена полости рта.
Амальгама
Композит;
Компомер;
СИЦ;

29. Медикаментозная обработка полости

2% хлоргексидин
Не влияет на силу
адгезии
При использовании
самопротравливающих
адгезивных систем
При использовании
«сендвич-техники»

30. Изоляция пульпы

Са-содержащие
прокладки
СИЦ
Без прокладки

31. Внесение адгезивной системы

Критерии выбора
адгезивной системы:
Диагноз;
Материал;

32. Методы восстановления полостей I класса материалами на основе полимеров

Только композитом
Текучий композит
Универсальный или
пакуемый композит
«Сендвич- техника»
СИЦ
Универсальный или
пакуемый композит

33. Какой самый значимый недостаток композитов?

34. Полимеризационная усадка - это

Уменьшение в объеме
композитного
материала вследствие
реакции полимеризации
Линейная
Объемная

35.

Усадка
Bonded
Surface
Free
Surface
Adhesion
Composite
Shrinkage
Adhesive

36.

Усадка

37. Стресс полимеризационной усадки

Напряжение, которое остается в тканях зуба и
материале по завершении реакции полимеризации

38. Некомпенсированная полимеризационная усадка приводит :

ОТРЫВ ЭМАЛЕВЫХ ПРИЗМ
НАРУШЕНИЕ КРАЕВОГО ПРИЛЕГАНИЯ РАЗГЕРМЕТИЗАЦИЯ , МИКРОПОДТЕКАНИЕ,
ВТОРИЧНЫЙ КАРИЕС
ОТЛОМ БУГРА
БОЛЬ ПРИ НАКУСЫВАНИИ
ЧУВСТВИТЕЛЬНОСТЬ К ТЕРМИЧЕСКИМ
РАЗДРАЖИТЕЛЯМ

39. Стресс полимеризационной усадки определяется

n
- МОДУЛЕМ ЭЛАСТИЧНОСТИ КОМПОЗИТА
МАКРОНАПОЛНЕНЫЙ – 23х103 МПА
МИКРОНАПОЛНЕНЫЙ – 10Х103 МПА
n
- МОДУЛЕМ ЭЛАСТИЧНОСТИ ТКАНЕЙ ЗУБА
ДЕНТИН - 5,25 Х 103 МПА
ЭМАЛЬ – 9 Х 103 МПА
n
- СКОРОСТЬЮ ПОЛИМЕРИЗАЦИИ

40. Факторы, влияющие на степень и силу полимеризационной усадки

ВИД (ТИП) МАТРИЦЫ СМОЛЫ.
СТЕПЕНЬ НАПОЛНЕННОСТИ КОМПОЗИТА
СКОРОСТЬ ПОЛИМЕРИЗАЦИИ И
ИНТЕНСИВНОСТЬ ИСТОЧНИКА СВЕТА.
ГЕОМЕТРИЯ И РАЗМЕРЫ ПОЛОСТИ

41. Усадка смол

БИС-ГМА
4,4%
УДМА
4,4%
ТЭГ-ДМА
13,8%
ММА
20,6%

42. Степень наполненности композита

Низконаполненные;
Средней степени
наполненности;
Высоко наполненные
композиты.
Усадка высокая;3-5%
2,5-3%
Усадка низкая 1-3%

43. Фазы полимеризации

Фотополимеров
Прегелевая фаза
Послегелевая
Гелевый пункт
Самоотверждаемых композитов
Прегелевая фаза
Послегелевая фаза
Гелевый пункт

44. Скорость и энергия полимеризации

Е = интенсивность
светового потока (мВт)
Х время
полимеризации ( с)

45. Скорость и энергия полимеризации

Е = интенсивность
светового потока (мВт)
Х время
полимеризации ( с)

46. Скорость реакции полимеризации

Прегелевую фазу удлиняет:
-снижение интенсивности светового потока: SOFTстарт, пульсирующий режим.
-засвечивание порции материала через стенку зуба
-засвечивание порции материала на расстоянии
более 1 см от поверхности

47.

С-фактор
Bonded
Surface
Free
Surface
Adhesion
Composite
Shrinkage
Adhesive

48. Геометрия и размеры полости

С - фактор - это отношение поверхности бондинга к
свободной поверхности реставрации
V - класс С -фактор= 1/5
IV - класс С - фактор = 2/4
III - класс С - фактор = 3/3
II - класс С - фактор = 4/2
I, V - классы С - фактор = 5/1

49. С-фактор

50. Способы компенсации полимеризационной усадки материала

ВНЕСЕНИЕ МАТЕРИАЛА СЛОЯМИ, уменьшая
количество стенок ,
ПРИНЦИП УДЛИНЕНИЯ ПРЕГЕЛИЕВОЙ ФАЗЫ
ПРИМЕНЕНИЕ АДГЕЗИВНЫХ СИСТЕМ 4 –5
ПОКОЛЕНИЙ
ПРИМЕНЕНИЕ ТЕКУЧИХ МАТЕРИАЛОВ
ТЕХНИКА БЕРТОЛОТТИ
«СЕНДВИЧ» - ТЕХНИКА
ПРИМЕНЕНИЕ НЕПРЯМЫХ РЕСТАВРАЦИЙ
(ВКЛАДОК, НАКЛАДОК, ВИНИРОВ)
ТЕХНИКА ПОСТБОНДИНГ

51. Способы компенсации полимеризационной усадки

52. Способы компенсации полимеризационной усадки

53. Способы компенсации полимеризационной усадки

54. Способы компенсации полимеризационной усадки

55. Способы компенсации полимеризационной усадки

56. Способы компенсации полимеризационной усадки

57. Способы компенсации полимеризационной усадки

58.

59. Методы восстановления полостей I класса амальгамой

Препарирование под
контролем кариес- индикатора
по Блэку
Медикаментозная обработка
полости
Изоляция пульпы
Выбор адгезивной системы
Пломбирование амальгамой
Проверка окклюзионных
соотношений
Полировка во второе
посещение

60. Задание: Заполните таблицу: Ошибки и осложнения при реставрации полостей1,6 классов

Этап лечения
Раскрытие
полости
Расширение
полости
Некрэктомия
Формировани
е полости и
Финирование
краев
Ошибки,
осложнения
Причины
Профилактика
возникновени
я ошибки и
осложнения
English     Русский Rules