ПАТОЛОГОАНАТОМИЧЕСКОЕ И ПАТОФИЗИОЛОГИЧЕСКОЕ ИССЛЕДОВАНИЕ ИЗМЕНЕНИЙ ПРИ ЗАБОЛЕВАНИЯХ ОРГАНОВ ДЫХАНИЯ
Нарушения внешнего дыхания проявляются изменением частоты, глубины и периодичности дыхательных движений
Нарушения внешнего дыхания
Нарушения внешнего дыхания
Типы патологического дыхания
Патогенез
Клинико-морфологические формы
ХРОНИЧЕСКИЕ НЕСПЕЦИФИЧЕСКИЕ ЗАБОЛЕВАНИЯ ЛЕГКИХ (ХНЗЛ)
ХНЗЛ
Хроническая обструктивная болезнь легких (ХОБЛ) –
Осложнения и исходы хронического обструктивного бронхита
Внелегочные проявления бронхоэктатической болезни – «барабанные палочки» и «часовые стекла»
Эмфизема легких
7.41M
Category: medicinemedicine

Патологоанатомическое и патофизиологическое исследование изменений при заболеваниях органов дыхания

1. ПАТОЛОГОАНАТОМИЧЕСКОЕ И ПАТОФИЗИОЛОГИЧЕСКОЕ ИССЛЕДОВАНИЕ ИЗМЕНЕНИЙ ПРИ ЗАБОЛЕВАНИЯХ ОРГАНОВ ДЫХАНИЯ

Государственное бюджетное профессиональное образовательное учреждение
«КУЗБАССКИЙ МЕДИЦИНСКИЙ КОЛЛЕДЖ»
ПАТОЛОГОАНАТОМИЧЕСКОЕ И
ПАТОФИЗИОЛОГИЧЕСКОЕ ИССЛЕДОВАНИЕ
ИЗМЕНЕНИЙ ПРИ ЗАБОЛЕВАНИЯХ ОРГАНОВ
ДЫХАНИЯ
Сидорова О.Д.

2. Нарушения внешнего дыхания проявляются изменением частоты, глубины и периодичности дыхательных движений

1) Брадипноэ - снижение ЧД менее 12 циклов в минуту.
• при рефлекторном снижении активности дыхательного
центра
•при непосредственном действии на него патогенных
факторов: гипоксии, наркотиков и т.д.
2) Апноэ - остановка дыхания может возникать в тех же
случаях, что и брадипноэ.
3) Тахипноэ - увеличение ЧД более18 циклов в минуту.
Обычно сопровождается снижением глубины дыхания, т.е.
возникает частое поверхностное дыхание. При этом
происходит вентиляция мертвого пространства, а не альвеол.

3. Нарушения внешнего дыхания

4) Гиперпноэ - глубокое дыхание может сопровождаться
увеличением его частоты.
Приводит к гипервентиляции легких и гипокапнии
(понижению содержания углекислого газа в крови).
5) Диспноэ - одышка, т.е. чувство (ощущение) нехватки
воздуха и связанная с ним потребность усилить дыхание.
• инспираторная - когда затрудняется и усиливается вдох
(например, при дифтерии, спазме голосовой щели, отеке
гортани, пневмотораксе),
•экспираторная - когда затрудняется и усиливается
выдох (спазм бронхиол во время приступа бронхиальной
астмы, при эмфиземе легких).

4. Нарушения внешнего дыхания

6) Периодическое патологическое дыхание характеризуется сравнительно большими паузами между
актами вдоха вследствие расстройства регуляции
дыхания.
Оно возникает при интоксикациях, тяжелой гипоксии,
коматозных состояниях (диабетической, уремической
комах) и т.д.

5. Типы патологического дыхания

6.

Острые пневмонии – группа различных
по
этиологии,
патогенезу
и
морфологическим проявлениям
острых
воспалительных
болезней
с
преимущественным
поражением
респираторных отделов легкого.

7.

ТЕРМИНАЛЬНАЯ БРОНХИОЛА
ДЫХАТЕЛЬНЫЕ БРОНХИОЛЫ
АЛЬВЕОЛЯРНЫЕ ХОДЫ
АЛЬВЕОЛЯРНЫЕ МЕШОЧКИ

8.

КЛАССИФИКАЦИЯ ОСТРЫХ ПНЕВМОНИЙ
1. Первичные (самостоятельные)
2. Вторичные (осложнения иных
заболеваний)
Согласно клинико-анатомическим и
патогенетическим особенностям
1. Крупозная (долевая)
2. Очаговая (бронхопневмония)
3. Интерстициальная (межуточная)

9. Патогенез

• Первичные, при отсутствии у больного какой - либо
легочной патологии или заболеваний других органов,
способствующих ее возникновению или способных
осложниться
пневмонией,
например,
крупозная
пневмония,
микоплазменная
пневмония,
болезнь
легионеров.
Первичные острые пневмонии являются самостоятельными
заболеваниями.
• Вторичные, которые развиваются у людей, страдающих
хроническими заболеваниями бронхолегочной системы, а
также являются осложнениями соматических или других
инфекционных заболеваний с локализацией первичного
аффекта вне легких.
Вторичные пневмонии встречаются значительно чаще
первичных, и имеют разнообразную этиологию. Следует
отметить, что почти все случаи внутрибольничных
пневмоний относятся к вторичным.

10. Клинико-морфологические формы


Паренхиматозная пневмония
(крупозная) – воспалительный
экссудат в альвеолах,
Бронхопневмония (очаговая) –
экссудат в бронхах и альвеолах,
Межуточная пневмония
(интерстициальная) –
клеточный инфильтрат в строме
легкого.

11.

Крупозная пневмония – острое инфекционноаллергическое заболевание, характеризующееся
поражением
доли
легкого
фибринозным
воспалительным процессом.
В процесс могут вовлекаться несколько долей
легкого и плевра.
Возбудители:
Пневмококк
(Streptococcus
pneumoniae)
Палочка Фридлендера (Klebsiella pneumoniae)

12.

13.

14.

15.

16.

17.

ОСЛОЖНЕНИЯ
Легочные:
1. Карнификация, т.е. организация (замещение соединительной
тканью) фибринозного экссудата в альвеолах. Макро – участок ткани
легкого похож на мясо: красный и плотный.
2. Абсцесс – формирование полости, заполненной гноем.
3. Эмпиема плевры – развитие гнойного воспаления в плевральной
полости
4. Гангрена легкого – характеризуется выраженными некротическими
изменениями в легочной ткани, летальность близка к 100%
Внелегочные:
Связаны с генерализацией инфекционного агента
1. лимфогенной (гнойный медиастенит, гнойный перикардит)
2. гематогенной (перитонит, гнойный менингит, абсцесс мозга , острый
язвенный эндокардит и т.д.)

18.

19.

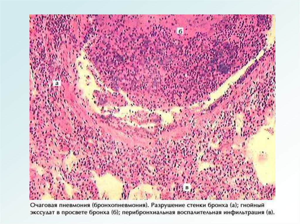
Бронхопневмония (очаговая)
• Составляет 62-70% острых пневмоний.
• Чаще - вторичная, самостоятельным
заболеванием является только у детей
раннего возраста и лиц пожилого и
старческого возраста.
• Полиэтиологична.
• Возникает на фоне снижения иммунитета.

20.

МОРФОЛОГИЯ
БРОНХОПНЕВМОНИИ
1.Очаговое воспаление (бронхиолит +
альвеолит)
2.Эмфизема
3.Ателектаз

21.

22.

23.

ОСЛОЖНЕНИЯ
Легочные:
1. Карнификация
2. Абсцесс
3. Гангрена
4. Плеврит с возможным развитием эмпиемы плевры
Внелегочные:
Связаны с генерализацией инфекционного агента
1. лимфогенной (гнойный медиастенит, гнойный
перикардит)
2. гематогенной (перитонит, гнойный лептоменингит,
абсцесс мозга , острый язвенный эндокардит и т.д.)

24.

ИНТЕРСТИЦИАЛЬНАЯ (МЕЖУТОЧНАЯ)
ПНЕВМОНИЯ
Воспаление развивается преимущественно в
межуточной
ткани
со
вторичным
накоплением экссудата в просветах альвеол.

25.

26.

ХРОНИЧЕСКИЕ НЕСПЕЦИФИЧЕСКИЕ
ЗАБОЛЕВАНИЯ ЛЕГКИХ (ХНЗЛ)
• Группа болезней легких различной этиологии, патогенеза
и
морфологии,
характеризующихся
развитием
хронического кашля с выделением мокроты и
пароксизмальным
или
постоянным
затруднением
дыхания, которые не связаны со специфическими
инфекционными заболеваниями.
• Группа процессов, характеризующихся хроническими
воспалительными изменениями в органах дыхания
или их последствиями.

27. ХРОНИЧЕСКИЕ НЕСПЕЦИФИЧЕСКИЕ ЗАБОЛЕВАНИЯ ЛЕГКИХ (ХНЗЛ)

ХНЗЛ
• Обструктивные
• Рестриктивные
1. Хронический бронхит
2. Бронхоэктатическая
болезнь
1. Хроническая пневмония
2. Хронический абсцесс
3. Интерстициальные
болезни легких
3. Хроническая
обструктивная
эмфизема
4. Бронхиальная астма

28. ХНЗЛ

Пнемосклероз
Гипертрофия правого
желудочка («легочное
сердце»)
ЛСН

29.

Хроническая обструктивная болезнь
легких (ХОБЛ) –
Группа хронических заболеваний легких,
характеризующихся увеличением
сопротивления воздухоносных путей
прохождению воздуха, вызванного
частичной или полной их обструкцией, от
трахеи до респираторных бронхиол.

30. Хроническая обструктивная болезнь легких (ХОБЛ) –

ХРОНИЧЕСКИЙ БРОНХИТ
ИЗБЫТОЧНОЙ
ХАРАКТЕРИЗУЕТСЯ
ПРОДУКЦИЕЙ
СЛИЗИ
БРОНХИАЛЬНЫМИ ЖЕЛЕЗАМИ, ЧТО ПРИВОДИТ К
ПОЯВЛЕНИЮ
“ПРОДУКТИВНОГО”
КАШЛЯ
В
ТЕЧЕНИЕ 3 МЕСЯЦЕВ 2 ГОДА ПОДРЯД.
Возникает в результате затянувшегося острого
бронхита
или
длительного
слизистую оболочку
воздействия
на
бронхов биологических,
химических и физических факторов.

31.

КЛАССИФИКАЦИЯ ХРОНИЧЕСКОГО
БРОНХИТА
В
зависимости от
обструкции:
1. обструктивный
2. необструктивный
наличия
бронхиальной
Морфологические формы хронического
бронхита:
1. катарально-слизистая
2. катарально-гнойная
3. полипозная
4. деформирующая

32.

МОРФОЛОГИЯ ХРОНИЧЕСКОГО БРОНХИТА
МАКРОСКОПИЧЕСКИ: СТЕНКИ БРОНХОВ УТОЛЩАЮТСЯ ЗА СЧЕТ
ФИБРОЗА И ГИПЕРПЛАЗИИ ЖЕЛЕЗ (Симптом гусиного пера).

33.

МОРФОЛОГИЯ ХРОНИЧЕСКОГО БРОНХИТА
МИКРОСКОПИЧЕСКИ:
Гиперплазия и гипертрофия слизистых желез в
подслизистой основе крупных бронхов и слизистых клеток
– в мелких бронхах.
2. Метаплазия мерцательного эпителия в многослойный
плоский.
3. Отек и клеточная инфильтрация слизистой оболочки и
подслизистой основы.
4. Перибронхиальный фиброз.
5. Закупорка просвета бронха слизью.
1.
В итоге происходит постепенное сужение просвета
бронха и деформация стенки.

34.

35.

36.

Гиперплазия слизистых желез

37.

Осложнения и исходы хронического
обструктивного бронхита
• Бронхоэктазы
• Эмфизема
• Пневмосклероз
• Хроническое легочное сердце

38. Осложнения и исходы хронического обструктивного бронхита

Проявляется хроническим, преимущественно
эндобронхиальным нагноением.

39.

Бронхоэктаз – расширение одного или нескольких
бронхов с разрушением эластического и
мышечного слоев бронхиальной стенки.
Могут быть:
1. цилиндрическими,
2. мешотчатыми,
3. варикозными.

40.

Препарат кафедры патологической анатомии ПМГМУ им. Сеченова

41.

Внелегочные проявления
бронхоэктатической болезни –
«барабанные палочки» и «часовые стекла»

42. Внелегочные проявления бронхоэктатической болезни – «барабанные палочки» и «часовые стекла»

Исходы и осложнения
бронхоэктатической болезни:
• Легочное кровотечение.
• Абсцессы легкого.
• Эмпиема легкого.
• Легочная гипертензия, что ведет к легочному сердцу
и хронической легочно-сердечной недостаточности.
• Вторичный АА-амилоидоз вследствие
рецидивирующих нагноений содержимого
бронхоэктазов, что ведет к хронической почечной
недостаточности.

43.

Эмфизема легких
Это патологическое состояние, которое
характеризуется необратимым увеличением
объема легочной паренхимы, расположенной
дистальнее терминальных бронхиол, и
деструкцией их стенок без явного фиброза.

44. Эмфизема легких

ТИПЫ ЭМФИЗЕМЫ
ТЕРМИНАЛЬНАЯ БРОНХИОЛА
ДЫХАТЕЛЬНЫЕ БРОНХИОЛЫ
АЛЬВЕОЛЯРНЫЕ ХОДЫ
АЛЬВЕОЛЯРНЫЕ МЕШОЧКИ
ЦЕНТРОАЦИНАРНАЯ
ЭМФИЗЕМА
ПАНАЦИНАРНАЯ ЭМФИЗЕМА

45.

Эмфизема
Снижается эластичность
альвеол, атрофируются
межальвеолярные
перегородки,
уменьшается
число
альвеол, что приводит к
увеличению количества
остаточного воздуха в
легких и повышению
воздушности их ткани.

46.

Классификация
1. Первичные – развиваются без предшествующего
поражения бронхов:
• Идиопатическая необструктивная
• Старческая
2. Вторичные – предшествует поражение бронхов с их
обструкцией:
• Острая обструктивная обратимая. Наблюдается при
удушении, утоплении, аспирации сыпучих веществ, в
период приступа бронхиальной астмы.
• Хроническая эмфизема – наиболее частая в практике:
а. хроническая диффузная
б. хроническая очаговая

47.

48.

49.

50.

Источники развития рака:
1. Эпителий бронхов
2. Альвеолярный эпителий
3. Эпителий бронхиальных желез

51.

Классификация рака легкого
По локализации:
1. Центральный (прикорневой)
2. Периферический
3. Смешанный (массивный)
По отношению к полости бронха:
Экзофитный (эндобронхиальный)
Эндофитный (перибронхиальный)
Разветвленный
По гистогенезу (гистологические формы):
1. Плоскоклеточный (эпидермоидный)
2. Аденокарцинома (железистый)
3. Недифференцированный анапластический
4. Железисто-плоскоклеточный

52.

53.

ИНТЕРСТИЦИАЛЬНЫЕ БОЛЕЗНИ ЛЕГКИХ
– группа болезней, которые характеризуются первичным
развитием
воспалительного
процесса
в
межальвеолярной
соединительной
ткани
с
последующим
диффузным
пневмофиброзом
респираторного отдела.

54.

Наиболее известные формы ИБЛ:
1. Идиопатический фиброзирующий
альвеолит – болезнь Хаммена-Рича
2. Экзогенный аллергический альвеолит.
3. Токсический фиброзирующий альвеолит

55.

56.

57.

БОЛЕЗНИ ОРГАНОВ ДЫХАНИЯ
1.Выберите термин, обозначающий воспаление всех слоев стенки бронха:
1)эндобронхит;
2)мезобронхит;
3)панбронхит;
4)перибронхит.
2.Выберите признаки, характерные для крупозной пневмонии:
1)поражается целая доля легкого;
2)воспаление начинается с бронхов;
3)пневмония протекает в 4 стадии;
4)вызывается пневмококками.
3.Что является причиной уплотнения легкого в фазу опеченения:
1)карнификация;
2)накопление фибрина в альвеолах;
3)спадение легочной ткани.
4.Какие 2 признака характеризуют стадию прилива крупозной пневмонии:
1)гиперемия;
2)усиление диапедеза эритроцитов;
3)воспалительный отек;
4)образование гнойного экссудата.
5.Какие элементы экссудата преобладают в стадию серого опеченения крупозной
пневмонии:
1)фибрин;
2)лейкоциты;
3)эритроциты.

58.

6.Какие элементы экссудата преобладают в стадию красного опеченения крупозной
пневмонии:
1)фибрин;
2)лейкоциты;
3)эритроциты.
7.Выберите признак, характерный для бронхопневмонии:
1)поражается сегмент легкого;
2)вызывается стафилококком;
3)протекает в 4 стадии;
4)воспаление начинается с бронхов.
8.Укажите 2 внелегочных осложнения крупозной пневмонии при лимфогенном
распространении:
1)гнойный менингит;
2)перитонит;
3)медиастинит;
4)перикардит.
9.Назовите легочные осложнения при крупозной пневмонии:
1)карнификация;
2)абсцесс;
3)гангрена;
4)серое опеченение.
10.Какое из перечисленных заболеваний имеет существенное значение в развитии
рака легкого:
1)крупозная пневмония;
2)бронхопневмония;
3)хронический бронхит;
4)интерстициальная пневмония.

59.

11.Что такое коллапс легкого:
1)активное спадение респираторного отдела легких;
2)сдавление легких со стороны плевральной полости.
12.Какие процессы лежат в основе формирования легочного сердца при ХНЗЛ:
1)склероз сосудов малого круга;
2)гипоксия;
3)гнойное расплавление экссудата в альвеолах;
4)лейкоцитарная инфильтрация.
13.Что такое ателектаз легкого:
1)активное спадение респираторного отдела легких;
2)сдавление легких со стороны плевральной полости.
14.Какое изменение эпителия слизистой оболочки бронхов имеет существенное
значение в развитии рака легкого:
1)атрофия;
2)десквамация;
3)метаплазия;
4)гиперплазия бокаловидных клеток.
15. Изменения со стороны сердца при ХНЗЛ:
1)Бычье сердце
2)Тигровое сердце
3)Легочное сердце
4)Волосатое сердце

60.

Спасибо за внимание
English     Русский Rules