Линчак Р.М. д.м.н. профессор
11.14M
Category: medicinemedicine

Оральные контрацептивы и риск тромбоза

1. Линчак Р.М. д.м.н. профессор

Институт медицинского образования
«ДОКТРИНА»
ОРАЛЬНЫЕ КОНТРАЦЕПТИВЫ И РИСК ТРОМБОЗА
Линчак Р.М.
д.м.н. профессор

2.

Клинический случай.
Пациентка Л., 28 лет
Жалобы: на одышку при физических нагрузках и в покое, кашель, кровохарканье. Потери сознания отрицает.
Анамнез заболевания: 10 дней до поступления – одышка, 3-4 дня – боль в грудной клетке, кашель,
кровохарканье.
Анамнез жизни: прием КОК Ярина в течение 4 месяцев.
Объективно: ИМТ 20,3 кг/м2, бледность кожных покровов, ЧСС 88 в мин., АД=95/55 мм рт.ст., акцент 2 тона над
ЛА, хрипов нет, в остальном – без особенностей.
ЭКГ: без особенностей
Д-димер: 1870 мкг/л
Эхо-КГ: размеры камер сердца в норме, ФВ 64%, зон нарушения локальной сократимости нет, систолическое
давление ЛА 54 мм рт.ст., ТР 1 ст.
УЗИ вен НК: тромб ОБВ слева с флотирующей головкой до 4,8 см

3.

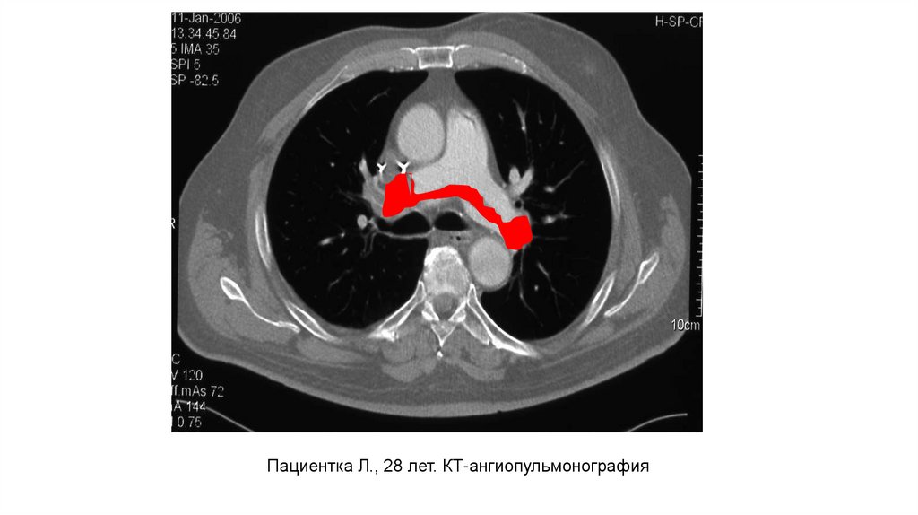
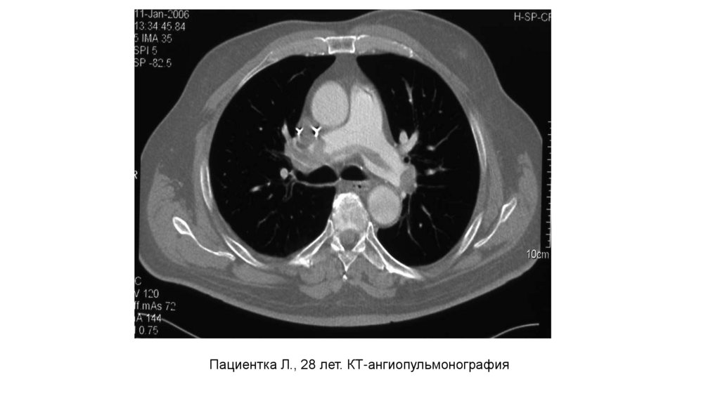
Пациентка Л., 28 лет. КТ-ангиопульмонография

4.

Пациентка Л., 28 лет. КТ-ангиопульмонография

5.

Пациентка Л., 28 лет,
Схема тромботического поражения ЛА при поступлении

6.

Пациентка С., 28 лет.
КТ-ангиопульмонография через 24 часа после ТЛТ

7.

Пациентка С., 28 лет.
КТ-ангиопульмонография через 1 мес. после ТЛТ
o
Жалоб нет
o
Эхо-КГ – норма
o
УЗИ вен НК: тромбов нет
o
Удален съемный кава-фильтр

8.

Комбинированные оральные контрацептивы и риск тромбоза
Факты
o
Первый КОК был применен в 1960 г. (Enovid®)1;
o
1960-е – начало 1970 –х гг. появляются публикации об увеличении риска ВТЭО в 3-5 раз на фоне приема КОК. Основная
причина – высокая доза эстрогена, приводящая к повышению уровня факторов свертывания крови VII, IX, X, XII и XIII, а
также снижению антикоагулянтных факторов - белка S и антитромбина1,2;
o
1970-е гг. доза эстрогена в КОК постепенно снижалась. Многими исследователями установлено, что низкая доза
этинилэстрадиола ассоциируется с уменьшением риска венозного тромбоза3,4
o
1980-е -1990-е гг. – с целью уменьшения побочных эффектов синтезированы гестагены 2-го (левоноргестрел) и 3-го
(гестоден, дезогестрел, норгестимат) поколений. Рядом работ показано, что гестагены 3-го поколения увеличивают
риск ВТЭО по сравнению с гестагенами 2-го поколения5,6
1. Oral contraception and thrombo-embolic disease. J R Coll Gen Pract 1967;13:267-79.
2. Inman WH, BMJ 1968;2:193-9.
3. Anonymous. Lancet. 1995. Vol. 346. P. 1575–1582.
4. Lidegaard O. et al. Ugeskr Laeger. 2001. Vol. 163(34). P. 4549–4553.
5. Van Hylckama et al. MEGA case-control study. BMJ 2009;339:b2921.
6. Kemmeren JM et al. BMJ 2001;323:131-4

9.

Комбинированные оральные контрацептивы и риск тромбоза
Факты
Риск ВТЭО у женщин, принимающих КОК, увеличивается при наличии других факторов риска:
Тромбофилии (мутации ф. V Лейден, дефицита протеина С и S, антитромбина III) в 21,5 – 30,2 раза1-2
Курения в 3,6 – 9,5 раза 3,4
Приема НПВП в 4,4 – 11,2 раза5,6
Ожирения в 2,9 – 6,3 раза7,8
1.
2.
3.
4.
Van Vlijmen E.F. etv al. J Thromb Haemost. 2016, 14(7): 1393–1403.
Bergendal A. et al. Obstet Gynecol. 2014, 124(3): 600–609.
Lidegaard O. Am J Obstet Gynecol. 1999;180(6 Pt 2): 357-363.
Lewis M. et al. Contraception. 1997; 56(3):129-140
5.
6.
7.
8.
Meaidi A. et al. BMJ 2023;382:e074450 | doi: 10.1136/bmj-2022-074450
Ungprasert P et al. Rheumatology (Oxford) 2015;54:736-42.
Кузина И.А., и др. РМЖ. Медицинское обозрение. 2021;5(9):598-604.
Abdollahi M Thrombogenicity. 2003 Mar;89(3): 493-8.

10.

Комбинированные оральные контрацептивы и риск тромбоза
В зависимости от длительности приема
Отношение
шансов, OR
Перерыв в
терапии >
//
Bergendal A., et al. Association of Venous Thromboembolism With Hormonal Contraception and Thrombophilic Genotypes. Obstet Gynecol. 2014, 124(3): 600–609.
2-4 недель

11.

Стратификация риска ВТЭО перед операцией
Шкала Каприни
Профилактические дозы НМГ

12.

Противозачаточные гормональные средства
Классификация ВОЗ:
1. комбинированные пероральные контрацептивы и мини-пили;
2. гормональный пластырь;
3. влагалищное кольцо;
4. медроксипрогестерона ацетат;
5. комбинированные инъекционные контрацептивы;
6. внутриматочные контрацептивы – внутриматочная спираль: медьсодержащие, ВМС с
левоноргестрелом;
7. имплантаты с норгестрелом;
8. таблетки для экстренной контрацепции.
Медицинские критерии приемлемости использования методов контрацепции ВОЗ. Адаптированный документ. 4-е изд. 2009

13.

Противозачаточные гормональные средства
Классификация ВОЗ:
Гормональные контрацептивы ВЫСОКОГО риска ВТЭО
Комбинированные продукты
Эстроген
Ярина
Гестаген
Джес
Оральные
Норэтистерон
50 микрограмм этинилэстрадиола
Левоноргестрел
Дезогестрел
Гестоден
Дроспиренон
Ципротерон
20-40 мкг этинилэстрадиола
Пластыри
33,9 мкг этинилэстрадиола/24 часа
Норелгестромин
Вагинальные кольца
15 микрограмм этинилэстрадиола/24 часа
Этоногестрел
Диане-35
Линдинет
Новинет
Марвелон
Ригевидон
Дивина
Vinogradova Y et al. Use of combined oral contraceptives and risk of venous thromboembolism: nested case-control studies using the QResearch and CPRD databases. BMJ 2015;350

14.

Противозачаточные гормональные средства
Классификация ВОЗ:
Гормональные контрацептивы ПРОМЕЖУТОНОГО риска ВТЭО
Комбинированные продукты
Эстроген
Гестаген
Микрогинон
Оральные
20-40 мкг этинилэстрадиола
Норэтистерон
Левоноргестрел
Норгестимат
Натуральный эстроген
Диеногест
Номегестрола ацетат
Три-регол
Ригевидон
Содержащие только Прогестин
Инъекции Медроксипрогестерон
Vinogradova Y et al. Use of combined oral contraceptives and risk of venous thromboembolism: nested case-control studies using the QResearch and CPRD databases. BMJ 2015;350

15.

Противозачаточные гормональные средства
Классификация ВОЗ:
Гормональные контрацептивы НИЗКОГО риска ВТЭО
Содержащие только Прогестин
Оральные
Норэтистерон
Левоноргестрел
Дезогестрел
Импланты
Этоногестрел
Внутриматочная спираль
Левоноргестрел
Vinogradova Y et al. Use of combined oral contraceptives and risk of venous thromboembolism: nested case-control studies using the QResearch and CPRD databases. BMJ 2015;350

16.

23 вопроса/ клинические ситуации, для которых обсуждается вопрос целесообразности
тестирования на тромбофилии, существующие доказательства рекомендаций экспертов и
комментарии по клиническому применению

17.

Прием КОК, тестирование на тромбофилию и алгоритм действий
o
Женщинам, перенесшим ВТЭО на фоне приема КОК, мы рекомендуем тестирование на тромбофилию с
целью определения продолжительности лечения антикоагулянтами. Мы предлагаем бессрочную
антикоагулянтную терапию женщинам с тромбофилией и прекращение приема антикоагулянтов
женщинам без тромбофилии (слабая рекомендация)
Для пациентов с первым ВТЭ и при наличии преходящих или обратимых ФР, кот.
Повышают риск ВТЭ ≤ 10 раз (в т.ч. прием КОК) пероральная АК-терапия
неопределенно долго
IIa
C
Konstantinides S.V. et al. 2019 ESC Guidelines on the diagnosis and management of acute pulmonary embolism. European Heart Journal (2019) 00,1-61
o
Женщинам общей популяции, которые планируют применение КОК, мы НЕ рекомендуем тестирование
на тромбофилию (сильная рекомендация)
Middeldorp S. American Society of Hematology 2023 Guidelines for Management of Venous Thromboembolism: Thrombophilia Testing

18.

Прием КОК, тестирование на тромбофилию и алгоритм действий
o
Женщинам с семейным анамнезом ВТЭ и неизвестным семейным статусом тромбофилии, которые
планируют использование КОК, мы НЕ рекомендуем тестирование на тромбофилию (средняя
рекомендация)
o
Женщинам с семейным анамнезом ВТЭ и наличием в семейном анамнезе тромбофилии ВЫСОКОГО
риска (дефицит естественных антикоагулянтов, гомозиготы фф. II или V, комбинация гетерозтигот фф. II и
V), которые планируют использование КОК, мы рекомендуем тестирование на тот же вариант тромбофилии.
При выявлении тромбофилии мы рекомендуем избегать приема КОК (средняя рекомендация)
o
Женщинам с семейным анамнезом ВТЭ и наличием в семейном анамнезе тромбофилии НИЗКОГО
риска, которые планируют использование КОК, мы НЕ рекомендуем тестирование на тробмофилию
(средняя рекомендация)
Middeldorp S. American Society of Hematology 2023 Guidelines for Management of Venous Thromboembolism: Thrombophilia Testing

19.

Тактика в отношении КОК у женщин различного риска ВТЭО
Middeldorp S. American Society of Hematology 2023 Guidelines for Management of Venous Thromboembolism: Thrombophilia Testing

20.

Тактика в отношении КОК у женщин различного риска ВТЭО
ВТЭО, острый период
и первые 3 мес.
Перенесенное ВТЭО в
анамнезе
Семейный анамнез
ВТЭО
Тромбоз
поверхностных вен
Тромбофилия
высокого риска
Не следует
использовать
(4)
Не следует
использовать
(4)
Не следует
использовать
(3)
Не следует
использовать
(3)
Не следует
использовать
(4)
3
- теоретический или доказанный риск, в целом, превосходит преимущества метода
4
- Неприемлемо высокий риск для здоровья при использовании данного метода контрацепции
Сухих Г.Т. Национальные медицинские критерии приемлемости методов контрацепции 2023. – 272 с.
English     Русский Rules