Лекція 10
Висипний тиф — гостра інфекційна хвороба людини з групи кров'яних інфекцій, яка спричиняється рикетсіями Провачека, передається
13.40M
Category: medicinemedicine

Висипний тиф. Малярія. Лекція 10

1. Лекція 10

Висипний тиф.
Малярія

2.

1. Висипний тиф:
Етіологія;
Епідеміологія;
Патогенез;
Клінічні ознаки;
Ускладнення;
Принципи лікування та догляду;
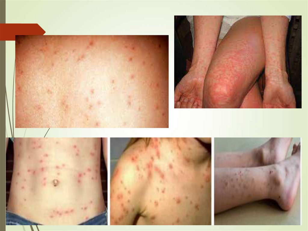
Профілактика, заходи у вогнищі інфекції.
2. Малярія:
Етіологія;
Епідеміологія та патогенез;
Сучасна епідеміологічна ситуація з малярії в Україні;
Малярійний напад, його характеристика;
Ускладнення малярії;
Методи діагностики;
Принципи лікування;
Особливості догляду на різних стадіях хвороби;
Профілактика.

3.

Дисципліни
природничогонаукового
циклу
Дисципліни циклу
професійної та
практичної
підготовки
• анатомія
• фізіологія людини;
• мікробіологія з імунологією;
• основи латинської мови з медичною
термінологією;
• фармакологія та медична рецептура;
• основи психології та міжособове
спілкування;
• основи екології та профілактичної
медицини;
• безпека життєдіяльності;
• патоморфологія та патофізіологія.
• загальний догляд за хворими та ММТ;
• клінічні дисципліни.

4. Висипний тиф — гостра інфекційна хвороба людини з групи кров'яних інфекцій, яка спричиняється рикетсіями Провачека, передається

вошами,
супроводжується ураженням судинної і нервової систем,
явищами інтоксикації та екзантемою.

5.

ХВОРОБА БРІЛЛА (лат. – morbus Brilli; син. – хвороба
Брілла-Цинсера,
спорадичний,
рецидивний,
повторний
висипний тиф) – клініко-епідеміологічний різновид вошивого
висипного тифу, що є віддаленим рецидивом інфекції, яка
тривалий час перебувала в латентному стані. Характеризується
спорадичністю захворювань за відсутності вошивості та джерела
збудника й вирізняється більш вкороченим і доброякісним
перебігом.

6.

Висипний тиф –хвороба,
відома ще за часів Гіппократа,
який терміном «тиф» (дим,
туман) позначав усі стани з
високою
гарячкою
і
потьмаренням
свідомості.
Вперше клінічну картину цієї
недуги у 1546р. описав
італійський
вчений
Фракасторо.

7.

Протягом 1913-1914 років
Станіслав фон Провачек
(австоро - угорський вчений)
дослідив
збудника
та
механізм передачі висипного
тифу. Присвятивши своє
життя
вивченню
цього
захворювання він одного
разу заразився висипним
тифом і після нетривалого
перебігу хвороби відійшов у
засвіти.

8.

Так, під час Першої і Другої світової війни епідемія
висипного тифу переросла в пандемію. Особливо
великою була кількість захворілих на території,
окупованих фашистами країнах.
Спалахи хвороби були
звичним явищем для
в’язниць, будинків
перестарілих,концентраційних таборів, в
яких з тих чи інших
причин люди були
змушені перебувати в
антисанітарних
умовах.

9.

Рикетсія Провачека
Властивості, що поєднують рикетсії із
бактеріями
однакова будова
клітини
мають ДНК і РНК
мають автономну
систему
метаболізму, власну
ферментативну
систему
хімічний склад
клітини
розмножуються
бінарним поділом
Властивості, що поєднують рикетсії із
вірусами
здатні до
внутрішньоклітинного
паразитування
не розмножуються на
штучних живильних
середовищах
погано фарбуються
аніліновими
барвниками

10.

дрібні
нерухомі
не утворюють спор і капсул
облігатні внутрішньоклітинні
паразити
утворюють білковий
ендотоксин
у довкіллі зберігаються до 5-8 міс
при низьких температурах - до
року
чутливі до дії високих температур,
дезінфікуючих розчинів

11.

Джерело інфекції
Людина, хвора Переносник
на висипний
тиф та
хворобу Брілла
Механізм зараження
Одежна,
головна воша
Трансмісивний

12.

Збудник з
випорожненнями
потрапляє на
поверхню шкіри
Виникає свербіж
після укусу,
внаслідок чого
людина втирає
екскременти воші зі
збудником у рану

13.

Інкубаційний період
(5-23 дні)
Початковий період
(4-5 днів)
Період розпалу
(10-14 днів)
Кінцевий
період

14.

І етап Медсестринське обстеження
пацієнти
збуджені,
ейфоричні
“червоні очі на
червоному
обличчі”
гіперемія шиї,
верхньої
частини тулуба
«кролячі очі»
симптом КіаріАвцина
симптом
ГовороваГодельє

15.

16.

порушення
свідомості,
галюцинації
розеольознопетехіальний
висип (на 4-5
день)
висип змінює
колір – “цвіте”
Локалізація
висипу: під-,
надключичні
ямки, грудна
клітка, спина
гепатоспленомегалія

17.

розеольозногеморагічні

18.

19.

20.

ІІ етап
Медсестринський діагноз:
- Підвищення температури тіла
- Мерзлякуватість
- Головний біль
- Неспокій
- Говірливість
- Дратівливість
- Ейфорія
- Порушення психіки
- Шум у вухах
- Біль в суглобах і попереку
- Нудота, блювання
- Одутлість та гіперемія обличчя
- Висип
- «П’яне обличчя»
- «Кролячі очі»

21.

абсцеси,
флегмони
пролежні
гангрена
нижніх
кінцівок
некроз
тканин
порушеня
кровообігу і
дихання
тромбоз вен,
тромбофлебіт

22.

ІІІ етап
Планування медсестринських втручань
1. Підготовка пацієнта до лабораторних
2. та інструментальних досліджень
3. Взяття матеріалу для лабораторного дослідження

23.

Основний
метод –
серологічний
(РЗК, РНГА)

24.

Лікування в умовах
стаціонару;
Суворий ліжковий
режим;
Чітке виконання
призначень лікаря,
дотримання
кратності та техніки
введення
медикаментів
згідно протоколу
лікування;

25.

Ліжковий
режим,
індивідуальний
сестринський
пост
Постійне
спостереження
та контроль за
поведінкою
пацієнта і його
станом
Контроль за
дотриманням
ліжкового режиму
до 6-7 дня
нормальної t тіла
Ретельний
огляд
пацієнта та
його одягу
на
педикульоз
При гарячці холодні компреси
на голову (або
міхур з льодом),
багато пиття, 2-3 л
на добу
Чітке
виконання
лікарських
призначень

26.

V етап. Оцінювання результатів
медсестринських втручань та їх корекція
1. Встановлення факту досягнення мети – видужання
пацієнта та відновлення його здоров’я
2. Підготовка пацієнта до виписки
3. Контрольне взяття аналізів та їх правильне
трактування
4. Рекомендації щодо дотримання дієти, режиму праці
та відпочинку

27.

Неспецифічна
• Виявлення пацієнтів та ізоляція в
перші 4 дні хвороби;
• Виписка перехворілих після
одужання не раніше 12 дня
нормальної температури;
• Санітарна обробка пацієнта,
дезінсекція одягу, дезінфекція
транспорту;
• Систематичний огляд декретованих
груп населення на педикульоз;
• Боротьба з завошивленістю;
• Санітарно-просвітницька робота
серед населення.
Специфічна
• Вакцини мають обмежене використання

28.

Малярія - гостра протозойна хвороба з
трансмісивним механізмом передачі збудника, що
характеризується нападами гарячки,
гемолітичною анемією, гепатолієнальним
синдромом та схильністю до рецидивів.

29.

30.

Статистика випадків малярії в
Україні
40
38
35
30
25
19
20
15
9
10
5
0
2020
2021
2020
2021
2022 (І півріччя)
2022 (І півріччя)

31.

32.

Вважається, що людина та малярія
розвивалися разом. Найбільш ймовірно,
батьківщиною малярії є Західна (P.
falciparum) та Центральна Африка (P.
vivax).
Термін «малярія» (mala aria –
погане повітря) був уведений лише в
1560 р. і попри свою неточність
прижився й використовується досі.
Пріоритет відкриття збудників
малярії
належить
французькому
військовому лікарю Шарлю Луї
Альфонс Лаверану, який у 1880 р.
виявив паразитів у крові пацієнтів –
перший випадок, коли найпростіші були
ідентифіковані як причина хвороби.

33.

Малярія завжди була і є однією з найнебезпечніших
хвороб людини. Вона приводила до занепаду великі
країни, знищувала народи, вирішувала результати
війн. До відомих жертв, що найбільш ймовірно
померли від малярії, належать: Олександр
Македонський, Аларіх (король готів), Атилла
(король гунів), Чингісхан, святий Августин,
італійський поет Данте, імператор Священної
Римської імперії Карл V, Христофор Колумб,
Олівер Кромвель, лорд Байрон та багато ін.

34.

Pl. vivax
Pl. malariae
Pl. ovale
Pl. falciparum

35.

Життєвий цикл плазмодія
складається з двох фаз:
Cпорогонії - статевої
фази в організмі
комара
Шизогонії - безстатевої
фази в організмі
людини (поділяється
на тканинну і еритроцитарну стадії)

36.

37.

Кров’яні форми малярійних
плазмодіїв
1 - нормальні
еритроцити
2 - кільцевидні
трофозоїти
3 – 6 – трофозоїти
різного віку
7 – шизонти
8 – морули
9 – гамонти жіночі
10 – гамонти
чоловічі

38.

Епідеміологія
Джерело і
резервуар збудника
хвора людина,
особливо на тропічну малярію
гаметоносій
Механізм
передачі
трансмісивний
можливий
парентеральний
помірний клімат
1,5-2 міс
Сезонність
у субтропіках
3-6 міс
тропікицілорічно
через укус самки
комара
роду Anopheles
•переливання крові,
взятої у хворого малярією
•інфіковані шприци
(наркомани, в стаціонарах)
• від матері до плоду
Сприйнятливість
майже 100%.

39.

Звичайний комар
Малярійний комар

40.

• 10-14
днів
• 8-16
днів
• 11-18
днів
Триденна
малярія
Овалемалярія
Тропічна
малярія
Чотириденна
малярія
• 20-40
днів

41.

І етап. Медсестринське обстеження
Напади гарячки (малярійні пароксизми)
Збільшення печінки
Збільшення селезінки
Анемія (гемолітична)

42.

Стадія
ознобу
Стадія жару
Стадія
потовиділення

43.

Стадія
ознобу:
Людина не
може
зігрітись
Болі в
м’язах і
попереку
Шкіра бліда,
“гусяча”
Тривалість
2-4 год
Акроціаноз

44.

45.

• гіперемія
обличчя;
• ін'єкція судин
склер;
• температура
тіла 40-41℃;
• тривалість 6 -14
год
• шкіра гаряча,
гіперемійована;
• субіктеричність
склер і шкіри
при повторах
приступів;
• спрага
• сухість
слизових
оболонок;
• язик
обкладений
білим
нальотом;
• тахікардія,
гіпотензія

46.

47.

критичне зниження температури тіла
профузна пітливість
гіпотензія з розвитком колапсу

48.

49.

50.

51.

ІІ етап
Медсестринський діагноз
- Гіпертермія
- Головний біль
- Блювання
- Задишка
- Кашель
- Кровохаркання
- Біль за грудиною
- Судоми
- Висип
- Порушена хода

52.

Розрив
селезінки
Малярійна
кома
Гемоглобінурійна
гарячка
Інфекційнотоксичний
шок

53.

ІІІ етап
Планування медсестринських втручань
1. Підготовка пацієнта до лабораторнрого та
інструментального дослідження
2. Взяття матеріалу для лабораторного дослідження

54.

• товста крапля
Паразитоскопія • мазок крові
(мікроскопічний • до етіотропного
лікування, на
метод)
висоті гарячки, в
динаміці
• метод парних
Серологічний сироваток
• допоміжний

55.

56.

ІV етап
Реалізація плану медсестринських втручань
1. Спостереження за пацієнтом та вирішення його проблем
2. Виконання лікарських призначень

57.

58.

59.

Дотримання режиму:
Суворий ліжковий режим
під час нападу гарячки
Контроль за
самопочуттям
Контроль за
температурою, пульсом
АТ, ЧДР
Стадія ознобу:
Вкривання ковдрами
Обкладання грілками
Гаряче пиття
Стадія жару:
Холод на магістральні
судини
Міхур з льодом
Обтирання
Стадія потовиділення:
Змінити постільну і
натільну білизну
Запобігання
переохолодження
Комфортні умови для
відпочинку пацієнта

60.

V етап
Оцінювання результатів
медсестринських втручань та їх корекція
1. Встановлення факту досягнення мети –
видужання пацієнта та відновлення його
здоров’я
2. Підготовка пацієнта до виписування
3. Контрольне взяття аналізів та їх правильне
трактування
4. Рекомендації щодо дотримання дієти,
режиму праці та відпочинку
5. Санітарно-просвітницька робота

61.

Своєчасне виявлення, ізоляція,
лікування пацієнтів і паразитоносіїв
малярії
Мікроскопічне обстеження крові,
прибулих з ендемічнонебезпечних регіонів
Пацієнти з гарячкою
невстановленої етіології протягом
5 днів обстежуються на малярію
Дотримання правил виписки,
облік в КІЗ
Виїжджаючим в ендемічні зони
проводиться індивідуальна
хіміопрофілактика
Боротьба з комарами

62.

63.

64.

65.

66.

Протиепідемічні заходи,
спрямовані на джерело збудника:
виявляють пацієнтів і паразитоносіїв, ізолюють їх у недоступних для
укусу комарів кімнатах і санують;
виписують перехворілих зі стаціонару не раніше як через 2-3доби після
звільнення організму від паразитів (контролюється дослідженням крові);
за перехворілими і паразитоносіями встановлюють диспансерний нагляд
протягом 2років (періодичні огляди і паразитологічне дослідження крові);
встановлюють епідеміологічне спостереження за населенням (передусім за
пацієнтами з гарячкою понад 5діб, збільшенням печінки або селезінки,
анемією нез’ясованої етіології та пацієнтами, які прибулими з ендемічних
регіонів) з мікроскопією товстої краплі крові;
особам, які перехворіли на малярію заборонено бути донорами .

67.

Обов’язковому обстеженню на
малярію
підлягають:
пацієнти з високою температурою
тіла нез’ясованої етіології, що
триває понад 5 діб;
особи з клінічними ознаками
малярії (гепатоспленомегалія,
анемія);
пацієнти, в яких періодично
підвищується температура тіла з
невідомих причин;
особи, які перенесли малярію
протягом останніх 3 років, у разі
підвищення температури тіла;
реципієнти крові, якщо у них
підвищилася температура тіла без
видимої причини через 3 міс. після
переливання крові.

68.

Заходи, спрямовані на розрив
механізму передачі збудника:
в осередку малярії проводять дезінсекцію
шляхом ліквідації місць виплоду комарів,
знищення їхніх личинок (хімічним і
біологічним способами) й дорослих
комарів у приміщеннях (механічним і
хімічним способами);
запобігають укусам людей комарами
шляхом механічного захисту (сітки на
вікнах, запони над ліжками), застосування
репелентів, встановлення зообар’єрів
(розміщення худоби, яка відволікає
комарів від людини, на шляху польоту
комарів від водоймища до населеного
пункту);
усі ріжучі та колючі інструменти
багаторазового медичного призначення
підлягають обов’язковій стерилізації, а
одноразового – вміщенню в спеціальні
контейнери з подальшою утилізацією.

69.

Заходи, спрямовані на сприйнятливість
організму:
Особам, які виїжджають в
ендемічні осередки малярії
рекомендовано індивідуальну
хіміопрофілактику. Препарати,
які наявні в аптечній мережі
України, - хлорохін(делагіл).
Мефлохін(ларіам), хлоридин,
малярон – сучасні засоби, які
можна
придбати
після
прибуття в ендемічні райони
навіть в аптеках аеропорту.

70.

71.

72.

73.

1. Пацієнт скаржиться на озноб, гарячку, профузне потовиділення, що посторюються
кожні 3 дні. З анамнезу відомо, що тиждень тому повернувся з Африки. Об’єктивно
спостерігається: температура тіла 40℃, шкіра обличчя гіперемована, у легенях жорстке
дихання, живіт пальпаторно безболісний, печінка та селезінка збільшені. Для якого
захворювання характерні ці симптоми?
A
Висипного тифу
B
Лептоспірозу
C
Малярії
D
Вірусного гепатиту
E
Грипу
2. У вагітної, яка місяць тому повернулась з відрядження до Африки, кожного третього
дня відмічається підвищення температури тіла до 39,2°С, що закінчуються рясним
потовиділенням. Вкажіть метод діагностики, який треба використати для підтвердження
діагнозу:
A
Паразитоскопічний
B
Серологічний
C
Бактеріологічний
D
Біологічний
E
Клінічний

74.

3. У хворого на висипний тиф на 2-й день хвороби на кон’юнктиві нижніх
повік з’явилась висипка. Назвіть основний елемент висипки:
A
Пустула
B
Розеола
C
Папула
D
Везикула
E
Пляма
4. До сільської амбулаторії звернулася жінка віком 20 років зі скаргами на
загальне нездужання протягом останніх 2 днів, підвищення температури
тіла до 39℃, озноб, сильний головний біль, ломоту в тілі. Об’єктивно
спостерігається: шкіра обличчя та шиї гіперемійована, обличчя одутле,
склери очей червоні та блискучі. Попередній діагноз: висипний тиф. На який
день захворювання характерна поява висипу у разі
цього захворювання?
A
5-9 день
B
8-10 день
C
4-5 день
D
1-3 день
E
7-10 день

75.

Питання для закріплення матеріалу:
Назвіть види збудника малярії.
Яке жерело збудника?
Які цикли розвитку проходять
плазмодії в організмі людини і
комара?
Механізм передачі малярії.
Стадії малярійного
пароксизму.
Який основний метод
діагностики малярії?
Що таке індивідуальна
хіміопрофілактика і кому вона
рекомендована?

76.

ДЯКУЮ
ЗА
СПІВПРАЦЮ!
English     Русский Rules