ВІЛ-інфекція. СНІД
ВІЛ- інфекція – інфекційне захворювання, що повільно прогресує, спричиняється вірусом імунодефіциту людини, тропне переважно до
Cтатистика по ВІЛ- інфекції:
Історичні дані
Історичні дані
Етіологія
І етап Медсестринське обстеженя
ІІІ етап Планування медсестринських втручань
Лікування
Профілактика
10.70M
Category: medicinemedicine

ВІЛ-інфекція. СНІД. Лекція 11

1. ВІЛ-інфекція. СНІД

Лекція 11
ВІЛ-інфекція.
СНІД

2. ВІЛ- інфекція – інфекційне захворювання, що повільно прогресує, спричиняється вірусом імунодефіциту людини, тропне переважно до

клітин імунної системи,
характеризується тривалим перебігом з поступовим
розвитком стійких необоротних ушкоджень імунної системи
Синдром Набутого Імунодефіциту (СНІД) –
термінально – маніфестна стадія ВІЛ- інфекції, за якої
організм позбавляється імунного захисту, стає
високочутливим до будь - якої агресії(віруси, бактерії,
гриби), на цій стадії неминуче наростає смертність
переважно на тлі опортуністичних інфекцій та пухлин.
.

3.

4.

5.

6.

7.

8.

9. Cтатистика по ВІЛ- інфекції:

• У 1988 р- 55
інфікованих;
• У 1997 р- 8000
інфікованих;
• У 1999 р- 28956
інфікованих;
• У 2005 р- 100000
інфікованих.
100000
80000
60000
40000
20000
0
1988
1997
1999
2005
1988

10. Історичні дані

Перші відомості про СНІД з’ явилиь всього 2 десятиліття тому у
1981 році в США. З 1979 року в США спостерігались дивні групові
захворювання на пневмоцистну пневмонію і на саркому Капошірідкі хвороби, що виникають на тлі імунодефіциту. Майже всі хворі
(99%) були чоловіками й переважна більшість (90%) мали
гомосексуальні контакти.
У 1982 році нове захворювання отримало свою назву AIDISAcguired Imunodeficienci Sudrome (в українській абревіатурі СНІДсиндром набутого імунодефіциту).
Ураховуючи повсюдне поширення ВІЛ- інфекції, у 1986 році на
39 асамблеї ООН була затверджена міжнародна Спеціальна програма
ВООЗ із боротьби зі СНІДом та його профілактики. З цього часу всі
країни світу зобов’ язані повідомляти ВООЗ дані про виявлення
хворих на СНІД та ВІЛ- інфікованих, про заходи, що проводяться по
боротьбі з цією інфекцією, її поширенням. До 30 листопада 1988
року про випадки СНІДу повідомили ВООЗ вже 42 країни по
території.

11. Історичні дані

За даними ВООЗ , до початку 1999 року в
усьому світі було інфіковано ВІЛ близько 28 млн
людей, без урахування померлих. У 2000 році
щодня інфікувалося близько 16000 людей. До 50%
усіх інфікованих на земній кулі молоді люди у віці
від 15 до 21 року.
У 2006 році заразилося 4 млн осіб. За даними
ООН, щодня у світі ВІЛ/СНІД заражаються
приблизно 11 тисяч осіб. У групі підвищеного
ризику, як і раніше, молоді люди у віці 15- 24р.

12. Етіологія

1.
2.
3.
4.
5.
6.
7.
Збудник хвороби – вірус імунодефіциту людини (ВІЛ).
Належить до родини Retroviriadae.
У складі вірусу є унікальний фермент- зворотньої
транскриптази, за допомогою якої відбувається
зчитування генетичної інформації з РНК на ДНК.
Має тропізм до Т- лімфоцитів – хелперів.
Вірус генетично неоднорідний, має великий ступінь
мінливості.
Чутливий до: нагрівання, ефіру, етанолу,
бетапрофілактону.
Швидко інактивується під впливом звичайних
дезінфікуючих засобів, а також при температурі 56*С.

13.

14.

Епідеміологія
Джерело
збудника
Хвора людина
Вірусоносій
Механізм
передачі
Статевий
Парентеральний
Трансфузійний
Трансплацентарний
Професійний
1.
2.
Група ризику
3.
4.
5.
Наркомани.
Гомосексуальні та бісексуальні
чоловіки.
Хворі, яким часто вводять препарати
крові, особливо хворі на гемофілію.
Діти, що народжуються від матеріввірусоносіїв або хворих на СНІД.
Особи, незалежно від статі, із
невпорядкованим статевим життям

15.

16.

17. І етап Медсестринське обстеженя

ВІЛ, як і інші повільні інфекції, характеризується тривалим
інкубаційним періодом- від 2-3 тижнів до 1 року. І більшим та
повільним розвитком хвороби. Існують різні форми ВІЛінфекції- від безсимптомних до дуже тяжких клінічних форм з
нашаруванням вторинних інфекцій і злоякісних новоутворень.
Стадії хвороби
1.
2.
3.
4.
Мононуклеозоподібний синдром- гостра інфекція.
Безсимптомне носійство
Генералізовану лімфаденопатію (клінічна категорія А)
Пре- СНІД або СНІД-асоційований комплекс (клінічна
категорія В)
5. Стадія розгорнутої клініки або власне СНІД (категорія С)

18.

1 стадія:
Збільшення лімфатичних вузлів (нагадує
інфекційний мононуклеоз
Екзантема
Гарячка
Інтоксикаційний синдром
Гепатоспленомегалія
Можливий кандидоз слизових оболонок
Стан нормалізується через 1-6тижнів

19.

20.

21.

22.

23.

24.

3 стадія
Персистуюча генералізована лімфаденопатія
(клінічна категорія А)
Збільшення різних груп лімфатичних вузлів більше 1 місяця
Гематологічні порушення (відносний лімфоцитоз)
Часті ГРВІ
Герпетичні ураження
Гепатоспленомегалія

25.

Рецидивуючий герпес

26.

27.

4 стадія
Пре-СНІД (клінічна категорія В)
Гарячка понад до 1 місяця нез’ясованої етіології
Діарея
Втрата маси тіла до 10%
Гноячкові ураження шкіри
Кандидоз ротової порожнини
Волосиста лейкоплакія язика

28.

Волосиста лейкоплакія язика

29.

Стоматит, хейліт

30.

31.

32.

Контагіозний молюск

33.

5 стадія
Власне СНІД (клінічна категорія С)
Критерії СНІДу:
1) Великі:
o Гарячка більше 1 місяця
o Діарея більше 1 місяця
o Втрата маси тіла більше 10%
2) Малі:
Полілімфаденопатія
Рецидиви герпесу
Сверблячі дерматози
Кандидоз ротоглотки
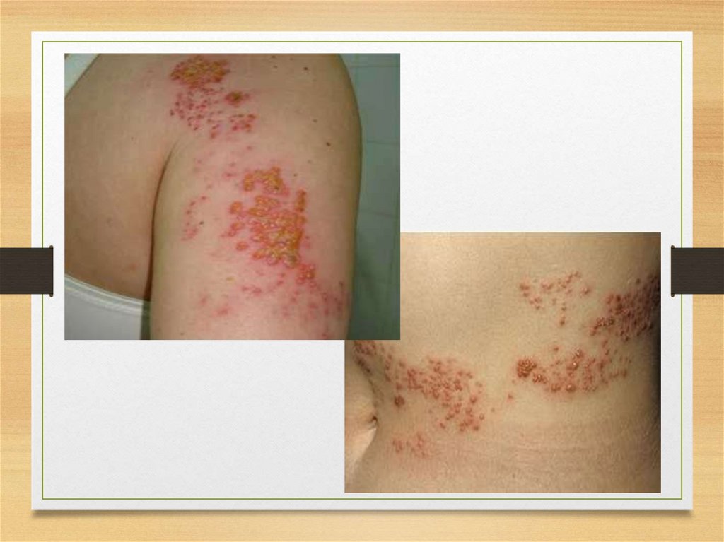
Оперізуючий герпес
Пневмоцистна пневмонія
Саркома Капоші

34.

35.

36.

37.

38.

39.

40.

41.

ІІ етап
Медсестринський діагноз
Підвищення температури тіла
Астеновегетативні прояви
Катаральні прояви
Лімфаденопатія
Гепатоспленомегалія
Ураження шкіри та слизових оболонок
Волосиста лейкоплакія язика
Оперізувальний герпес
Анорексія
Головний біль
Порушення сну
Порушення пам’яті
Спастичні парези

42. ІІІ етап Планування медсестринських втручань

1.
Збирання епідеміологічного
анамнезу (наркоманія,
працівники секс-індустрії,
внутрішньовенні
маніпуляції).
2.
Наявність тривалого
збільшення периферичних
л/в, втрати маси тіла, тривалі
проноси та гарячку.
3.
Серологічний метод
(виявлення в крові антитіл
до вірусу СНІДу шляхом
імуноферментного аналізу
(ІФА) або імуноблотингу
4.
Швидкісні тести.

43.

44.

ІV етап
Реалізація медсестринських втручань
1.Спостереження за пацієнтом
2.Вирішення його проблем
3.Виконання лікарських призначень

45.

Антиретровірусна
терапія

46. Лікування

У лікуванні хворих на СНІД важливе
місце займає боротьба з вторинними
інфекціями.
Бактрим, метронідазол, пентамідин- у разі
пневмоцистної інфекції.
Амфотерицин В- проти грибків.
Імуномодулятори- тимолін, левамізон.
АБ- проти різних бактерій.
Симптоматичне лікування.

47. Профілактика

1. Широка санітарно-освітня робота серед населення.
2. Використання презервативів.
3. Одноразові голки при вживання наркотиків, татуювання
або пірсингу.
4. Правильна стерилізація медичного інструментарію.
5. Медичні сестри, лаборанти, які контактують із кров’ю та
іншими біологічними рідинами пацієнтів, зобов’язані
користуватись індивідуальними засобами захисту
(спецодяг, фартухи, подвійні рукавички, захисні
окуляри, маски).
6. Ретельний контроль донорської крові.

48.

49.

50.

51.

52.

53.

54.

55.

Дякую
за увагу!
English     Русский Rules