История болезни. Фиброзно-кавернозный туберкулёз.
Паспортные данные:
Жалобы
Анамнез заболевания
Анамнез жизни
Объективное обследование
Система органов кровообращения
Система органов пищеварения
Мочевыделительная система
Данные лабораторных методов исследования:
Данные инструментальных исследований
Лечение
Лечение
951.50K
Category: medicinemedicine

История болезни. Фиброзно-кавернозный туберкулёз

1. История болезни. Фиброзно-кавернозный туберкулёз.

Подготовила: Овчинникова
Анастасия Владиславовна ОС-408
Екатеринбург, 2025

2. Паспортные данные:

Ф.И.О.: пациент В.
Пол: мужской
Возраст: 02.04.1969 (56 лет)
Профессия: неработающий
Дата поступления: 25.12.2024

3. Жалобы

Предъявляет жалобы на общую слабость, кашель со слизистой
мокротой, одышку при ходьбе до 500м, повышение температуры до
37,5С, снижение аппетита, потерю массы тела около 5кг за 2
недели.

4. Анамнез заболевания

Туберкулез легких выявлен в апреле 2022 г. До этого болел в
течение года. К врачу не обращался. Страдает алкоголизмом.
Первичный диагноз: инфильтративный туберкулез обоих легких в
фазе распада и обсеменения МБТ + МЛУ HRSE (изониазид,
рифампицин, стрептомицин, этамбутол). С 14.04.22 по 08.12.22
лечился в стационаре.

5. Анамнез жизни

1. Перенесенные заболевания:
В детстве – редкие ОРВИ , детские заболевания больной не помнит.
2. Профессиональный анамнез: с 1989 по 2016 работал на строительно-ремонтных
работах (побелка, покраска)
3. Наследственность: не отягощена, в семье туберкулезом никто не болел
4. Аллергологический анамнез: аллергических реакций на лекарственные средства,
пыль ,пищевые продукты, шерсть животных ,растения нет.
5. Жилищно-бытовые условия удовлетворительные
6. Питание нерегулярное, диету не соблюдает
7. Вредные привычки: курит по 1,5 пачек в день с 15 лет; злоупотребляет алкоголем.
Употребление наркотиков - отрицает
8. Имеет двоих детей 20 и 22 лет, проживающих отдельно
9. Сопутствующие заболевания: язва желудка.

6. Объективное обследование

Общее состояние: средней тяжести.
Сознание: ясное.
Положение в постели: активное.
Телосложение: астеническое.
Питание: пониженное. Индекс массы тела (ИМТ) = 18 кг/м2 (дефицит
массы тела). Рост 174 см , вес 57 кг.
Кожные покровы: бледные, влажные. Видимые слизистые оболочки
бледные. Ногти не изменены, рост волос не нарушен ( по мужскому
типу).
Периферические лимфатические узлы: не увеличены, безболезненные
при пальпации.
Костно-мышечная система: без видимых деформаций. Развитие
мышечной системы удовлетворительное.

7.

Система органов дыхания
При осмотре - нос деформирован, дыхание через нос свободное. Отделяемого из носа нет.
Ощущения сухости в носу нет. Обоняние сохранено. Болей у корня и спинки носа, на местах
проекций лобных и гайморовых пазух (самостоятельных, а также при ощупывании) не
отмечается. Гортань: жалоб нет. Голос громкий чистый. Деформаций и припухлостей в
области гортани нет. При ощупывании области гортани болезненность не определяется.
Грудная клетка астенического типа, без деформации. Правая и левая половины грудной клетки
симметричны. Над- и подключичные ямки обозначены умеренно, одинаково выражены справа
и слева. Ключицы и лопатки располагаются на одном уровне, лопатки плотно прилегают к
грудной клетке. Левая половина грудной клетки резко отстает при дыхании. Вспомогательные
дыхательные мышцы в акте дыхания не участвуют. Тип дыхания смешенный. Частота
дыхания 18 в минуту. Ритм дыхания правильный.
При пальпации грудной клетки болезненности не отмечается. Эластичность грудной клетки
хорошая, голосовое дрожание несколько усилено слева в верхних отделах. При сравнительной
перкуссии – над левым легким определяется укороченный перкуторный звук.
Границы легких в пределах нормы.
Аускультация легких: при аускультации в верхних отделах левого легкого и у угла лопатки
определяется ослабленное бронхиальное дыхание, выслушиваются единичные влажные
среднепузырчатые хрипы. При исследовании бронхофонии голосовой шум усилен слева.

8. Система органов кровообращения

Жалоб не предъявляет. Сосуды шеи не изменены, видна пульсация сонных артерий. Грудная
клетка в области сердца не изменена. Сердечный толчок отсутствует. Верхушечный толчок
невидимый, пальпируется в пятом межреберье на 1-2 см кнутри от среднеключичной линии,
толчок не усиленный, по площади распространения ограничены.
Видна пульсация эпигастральной области, обусловленная пульсацией брюшной аорты, лучше
различимая в положении лежа, усиливающаяся при выдохе и ослабевающая во время
глубокого вдоха.
При аускультации сердца тоны сердца приглушены, ритмичные. Шумов нет.
Перкуссия сердца. Границы относительной тупости сердца.
Правая - в 4 м.р.
Левая - в 5м.р. на 2 см кнутри от среднеключичной линии.
Верхняя - в 3 м.р.
Исследование сосудов.
Пульс одинаковый на правой и левой лучевых артериях, ритмичный, с частотой – 72 уд./мин,
хорошего наполнения, напряженный, нормальной величины и формы.
Артериальное давление 120/80 мм рт.ст.
12:07

9. Система органов пищеварения

Жалобы на чувство тяжести в эпигастральной области возникающее
сразу после приема пищи. Вкусовые ощущения не изменены, глотание и
прохождение по пищеводу свободное, безболезненное, не затруднено.
Деятельность кишечника регулярная, стул бывает ежедневно.
- Язык: обложен белым
налетом.
- Живот: мягкий, безболезненный при
пальпации.
- Печень и селезенка: не
увеличены.

10. Мочевыделительная система

Жалоб со стороны органов мочеотделения нет.
Мочеиспускание свободное безболезненное. При осмотре области
почек патологических изменений не выявляется.
Почки не пальпируются.
Симптом поколачивания отрицательный с обеих сторон.
Мочевой пузырь перкуторно не выступает над лонным
сочленением.

11.

Данные лабораторных методов
исследования:
Исследование периферической крови:
Заключение: отмечается нормохромная микроцитарная
анемия, умеренный лейкоцитоз, ускорение СОЭ,
тромбоцитоз, моноцитоз

12. Данные лабораторных методов исследования:

Исследование мочи
Цвет
- желтый
Реакция
- щелочная
Удельный вес - 1010
Прозрачность - прозрачная
Белок
- нет
Анализ мокроты на МБТ методом люминесцентной
микроскопии
Кислотоустойчивые МБТ- единичные в препарате.
Результат исследования сыворотки крови.
Гепатит В (HBs -AT) отр. Гепатит С (анти-НС-Ат) отр.
Сифилис отр. ВИЧ – отр.
Сахар - нет
Соли – не найдены
Эпит.клетки плоские – единичные в
п/зрения
Лейкоциты –единичные в п/зрения
Эритроциты – нет
Слизь – немного
Заключение: без патологии
Биохимический анализ крови:

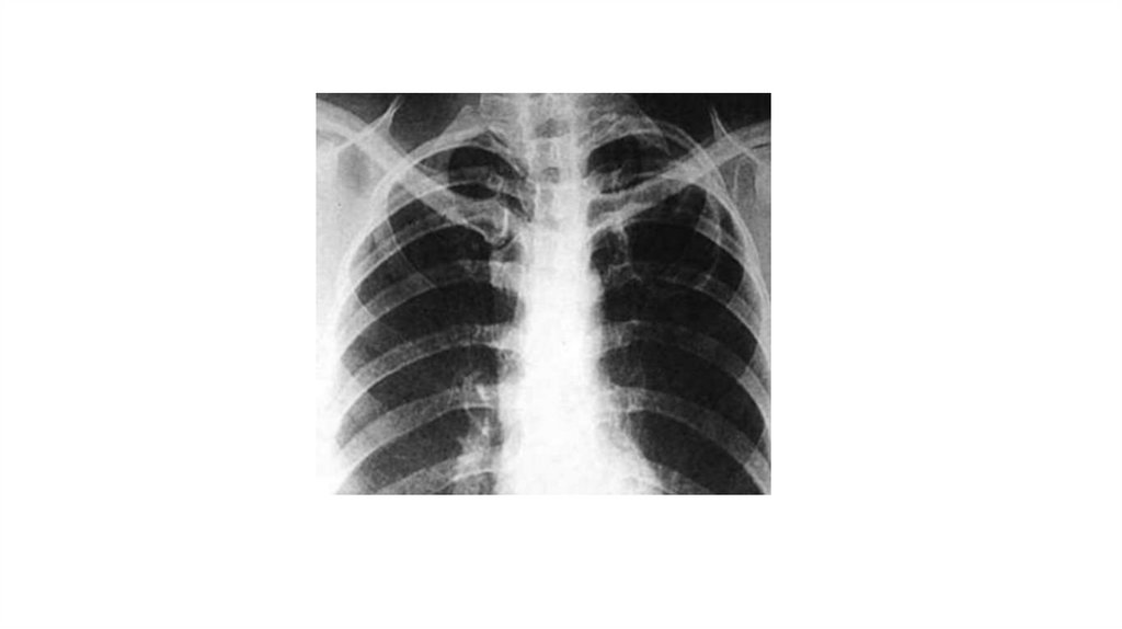
13. Данные инструментальных исследований

РГ ОГК+ТМГ правого легкого:
В С1-2 правого легкого каверна 3 см с толстыми стенками, вокруг и в
нижележащих отделах прежней величины и интенсивности очаги. Левое
легочное поле уменьшено в объеме. В верхних и средних отделах гигантские
каверны на фоне фиброзных изменений. В нижнем отделе (С9) крупный фокус
прежней величины.
Срединная тень смещена влево. Правый синус свободен.
Закл.: ФКТ левого легкого в фазе инфильтрации и стороннего
обсеменения. Практически без динамики.
ЭКГ: Синусовый ритм 84/мин. Нарушение реполяризации в нижней стенке.
Косвенные признаки увеличения правого желудочка.
Спирография: умеренное снижение ЖЕЛ. Тяжелая генерализованная
обструкция бронхов.

14.

15. Лечение

Стол № 11 (Кулинарная обработка и температура пищи обычная.
Рекомендуются все продукты за исключением следующих: очень жирные сорта мяса и птицы, бараний,
говяжий и кулинарные жиры, острые и жирные соусы, торты и пирожные с большим количеством крема.
Режим питания 5-6 раз в день, общая калорийность 3600 ккал)
2. рациональный режим труда и отдыха, сон не менее 9 часов, прогулки на свежем воздухе после
нормализации температуры. Химиотерапия:
♦ Изониазид 0,6 г/сутки (оказывает бактерицидное действие, особенно на юные размножающиеся
микробные клетки, подавляя синтез миконевой кислоты в бактериальной стенке, а также разрушая
цитоплазму и ее гранулярную субстанцию, состоящую из ДНК., метаболизируется в печени).
♦ Канамицин 1,0 в/м 1 раз в день – относится к группе аминогликозидных антибиотиков, нарушает
синтез белка в микробной клетке
♦ Пиразинамид 1,5 г/сутки, после еды – действует на внутриклеточные микроорганизмы, на
микобактерии медленно размножающиеся и персистирующие в макрофагах, на микобактерии
резистентные к изониазиду и стрептомицину, дезаминируется в печени выводится с мочой.
♦ Авелокс 0,8г- 1 таблетка – Противомикробное средство из группы фторхинолонов, действует
бактерицидно. Блокирует топоизомеразами II и IV, ферменты, контролирующие топологические свойства
ДНК, и участвующие в репликации, репарации и транскрипции ДНК
♦ Этамбутол 1,5 г/сутки *1 р/д - оказывает бактериостатическое действие преимущественно на
популяцию быстроразмножающихся МБТ. Действует на вне и внутриклеточно расположенные особи
возбудителя

16. Лечение

Неспецифическая терапия
♦ Карсил 1таб 3 р/д - гепатопротектор так как противотуберкулезные препараты являются гепатотоксичными.
♦ Витамин В6 30 мг 2 раза в день (для заместительной терапии, так как изониазид угнетает синтез вит В6 ), если не
давать – возникают тяжелые нарушения центральной и периферической нервной системы.
♦ Витамин С 2мл per os – улучшает окислительные процессы, оказывает десенсибилизирующее действие.
♦ Фолиевая кислота 1т х 3р – нормализует кроветворение, стимулирует эритропоэз
♦ Витамин Е 3 г/сутки – интенсификация перекисного окисления
♦ Ликопид 10 мг (1 таблетка) 1 раз в сутки внутрь в течение 10 дней - является лекарственной формой
глюкозаминилмурамилдипептида, обладает иммуномодулирующими свойствами, увеличивает активность фагоцитов
(макрофагов и нейтрофилов), Т- и В-лимфоцитов. При этом возрастает бактерицидная и цитотоксическая активность
фагоцитов, стимулируется синтез специфических антител и цитокинов (интерлейкинов, фактора некроза опухолей,
интерферонов и колониестимулирующих факторов). Применение ликопида в комплексной терапии позволяет
значительно повысить эффективность антибактериальной терапии, сократить продолжительность лечения и
существенно снизить дозу химиотерапевтических средств.
♦ Кларитин 1 таб в сутки – высокоактивный блокатор Н1-гистаминовых рецепторов., для предотвращения
аллергических реакций на ПТП.
♦ Линекс 2 капсулы 3 раза в день после еды – эубиотик содержит живые лиофилизированные молочнокислые
бактерии, регулирует физиологическое равновесие кишечной микрофлоры
♦ Феррум Лек 2 мл внутримышечно через день, 10 дней – препарат железа для лечения анемии
English     Русский Rules