ЛУЧЕВАЯ ДИАГНОСТИКА ЗАБОЛЕВАНИЙ ОРГАНОВ ПИЩЕВАРЕНИЯ
ЦЕЛЬ ЛЕКЦИИ
МЕТОДЫ ИССЛЕДОВАНИЯ ЖЕЛУДОЧНО-КИШЕЧНОГО ТРАКТА ЛЕКЦИИ:
АНАТОМИЯ И ФИЗИОЛОГИЯ ОРГАНОВ ЖЕЛУДОЧНО- КИШЕЧНОГО ТРАКТА
Методы исследования.
ПОДГОТОВКА ПАЦИЕНТА
РЕНТГЕНОЛОГИЧЕСКОЕ ИССЛЕДОВАНИЯ С ПРИМЕНЕНИ ПРОТИВОПОКАЗАНИЯЕМ ВЗВЕСИ СУЛЬФАТА БАРИЯ
МЕТОДИКА РЕНТГЕНОЛОГИЧЕСКОГО ИССЛЕДОВАНИЯ ОРГАНОВ ЖКТ И ФАЗЫ КОНТРАСТИРОВАНИЯ
РЕНТГЕНАНАТОМИЯ ПИЩЕВОДА
ЗАБОЛЕВАНИЯ ПИЩЕВОДА
КЛАССИФИКАЦИЯ ЗАБОЛЕВАНИЙ ПИЩЕВОДА
ОСНОВНЫЕ СИМПТОМЫ ВАЖНЕЙШИХ ЗАБОЛЕВАНИЙ ПИЩЕВОДА
ОСНОВНЫЕ СИМПТОМЫ ВАЖНЕЙШИХ ЗАБОЛЕВАНИЙ ПИЩЕВОДА
Виды атрезии пищевода:
СИМПТОМЫ ДВИГАТЕЛЬНОЙ ДИСФУНКЦИИ И РАСШИРЕНИЯ- АХАЛАЗИЯ
ДИФФУЗНОЕ РАСШИРЕНИЕ ПИЩЕВОДА
ДИВЕРТИКУЛЫ ПИЩЕВОДА
ЛОКАЛЬНОЕ РАСШИРЕНИЕ, ТРАКЦИОННЫЙ ДИВЕРТИКУЛ
ОГРАНИЧЕННОЕ РАСШИРЕНИЕ ПИЩЕВОДА, ТРАКЦИОННЫЙ ДИВЕРТИКУЛ
ДИФФУЗНОЕ СУЖЕНИЕ ПИЩЕВОДА, РУБЦОВЫЙ СТЕНОЗ
Локальное сужение (дефект наполнения) пищевода при доброкачественных опухолях – лейомиома.
ЛОКАЛЬНОЕ СУЖЕНИЕ ПРИ ОПУХОЛИ
ЛОКАЛЬНОЕ СУЖЕНИЕ ПИЩЕВОДА ПРИ РАКЕ
ИНОРОДНЫЕ ТЕЛА ПИЩЕВОДА
ИНОРОДНЫЕ ТЕЛА
ОСНОВЫ РЕНТГЕНОАНАТОМИИ ОРГАНОВ ЖКТ – ЖЕЛУДОК
ОСНОВЫ РЕНТГЕНОАНАТОМИИ ОРГАНОВ ЖКТ – ТОНКАЯ КИШКА.
Основные рентгенологические симптомы заболеваний желудочно-кишечного тракта.
ДИСЛОКАЦИЯ ОРГАНА - ГРЫЖА ПИЩЕВОДНОГО ОТВЕРСТИЯ ДИАФРАГМЫ
ДИАГНОСТИКА ЗАБОЛЕВАНИЙ ЖЕЛУДКА ГАСТРИТ –ПЕРЕСТРОЙКА РЕЛЬЕФА
ЯЗВЕННАЯ БОЛЕЗНЬ ЖЕЛУДКА – НИША (КОНТРАСТНОЕ ПЯТНО ИЛИ ДЕПО БАРИЯ) НА РЕЛЬЕФЕ
ОСНОВНЫЕ РЕНТГЕНОЛОГИЧЕСКИЕ СИМПТОМЫ ВАЖНЕЙШИХ ЗАБОЛЕВАНИЙ ЖЕЛУДКА
ЛОКАЛЬНОЕ РАСШИРЕНИЕ И ИЗМЕНЕНИЯ РЕЛЬЕФА ЖЕЛУДКА - ЯЗВЕННАЯ БОЛЕЗНЬ.
ДИАГНОСТИКА ЗАБОЛЕВАНИЙ ЖЕЛУДКА –ЯЗВЕННАЯ БОЛЕЗНЬ – ЛОКАЛЬНОЕ РАСШИРЕНИЕ (НИША НА КОНТУРЕ).
ЯЗВЕННАЯ БОЛЕЗНЬ ЖЕЛУДКА – ЛОКАЛЬНОЕ РАСШИРЕНИЕ, ОСЛОЖНЕНИЕ ЯЗВЕННОЙ БОЛЕЗНИ –ПЕНЕТРАЦИЯ.
ОСЛОЖНЕНИЯ ЯЗВЕННОЙ БОЛЕЗНИ - ПЕНЕТРАЦИЯ
ОСНОВНЫЕ РЕНТГЕНОЛОГИЧЕСКИЕ СИМПТОМЫ ВАЖНЕЙШИХ ЗАБОЛЕВАНИЙ ЖЕЛУДКА
ПИЛОРОСТЕНОЗ
ПИЛОРОСПАЗМ
ОСЛОЖНЕНИЯ ЯЗВЕННОЙ БОЛЕЗНИ-РУБЦОВЫЙ СТЕНОЗ ПРИВРАТНИКА
Тонкая кишка
Тонкая кишка
ПОЛОЖЕНИЕ ПАЦИЕНТА
Толстая кишка
СХЕМА РЕЛЬЕФА ТОЛСТОЙ КИШКИ
ОТЛИЧИТЕЛЬНЫЕ ОСОБЕННОСТИ ТОЛСТОЙ КИШКИ
ОСОБЕННОСТИ ТЕНЕВОЙ КАРТИНЫ ТОЛСТОЙ КИШКИ
СФИНКТЕРЫ ТОЛСТОЙ КИШКИ
РАСПОЛОЖЕНИЕ ОТДЕЛОВ ТОЛСТОЙ КИШКИ
РЕНТГЕНОЛОГИЧЕСКИЕ ОСОБЕННОСТИ
ХАРАКТЕРИСТИКА ГАУСТР ОБОДОЧНОЙ КИШКИ
ШИРИНА ПРОСВЕТА ОБОДОЧНОЙ КИШКИ
ДИАМЕТР ИНТЕРГАУСТРАЛЬНЫХ ПРОМЕЖТКОВ
РЕНТГЕНОЛОГИЧЕСКИЕ ОСОБЕННОСТИ
РЕНТГЕНОЛОГИЧЕСКИЕ ОСОБЕННОСТИ
РЕНТГЕНОЛОГИЧЕСКИЕ ОСОБЕННОСТИ
РЕНТГЕНОЛОГИЧЕСКИЕ ОСОБЕННОСТИ
РАК ТОЛСТОЙ КИШКИ
ДИВЕРТИКУЛЕЗ ТОЛСТОЙ КИШКИ 
НЕСПЕЦИФИЧЕСКИЙ ЯЗВЕННЫЙ КОЛИТ
КИШЕЧНАЯ НЕПРОХОДИМОСТЬ
КИШЕЧНАЯ НЕПРОХОДИМОТЬ
Признаки динамической кишечной непроходимости
Признаки механической кишечной непроходимости
ОСТРАЯ МЕХАНИЧЕСКАЯ НЕПРОХОДИМОСТЬ КИШЕЧНИКА
Отличие тонкой от толстой кишки на рентгенограмме
ТОНКОКИШЕЧНАЯ НЕПРОХОДИМОСТЬ
ТОЛСТОКИШЕЧНАЯ НЕПРОХОДИМОСТЬ
Острый живот - кишечная непроходимость.
КИШЕЧНАЯ НЕПРОХОДИМОСТЬ
Механическая кишечная непроходимость.
ПЕРЕКРУТ
ИНВАГИНАЦИЯ.
Инвагинация.
АППЕНДИЦИТ
ОСТРЫЙ ЭНТЕРОКОЛИТ
ОСТРЫЙ ЭНТЕРОКОЛИТ
ХРОНИЧЕСКИЙ ЭНТЕРОКОЛИТ
РЕГИОНАЛЬНЫЙ ЭНТЕРИТ И ГРАНУЛЕМАТОЗНЫЙ КОЛИТ (БОЛЕЗНЬ КРОНА)
РЕГИОНАЛЬНЫЙ ЭНТЕРИТ И ГРАНУЛЕМАТОЗНЫЙ КОЛИТ (БОЛЕЗНЬ КРОНА)
ДИФФУЗНОЕ РАСШИРЕНИЕ ТОЛСТОЙ КИШКИ ПРИ БОЛЕЗНИ ГИРШПРУНГА.
«Острый живот» -перфорация полого органа, прободная (перфоративная) язва.
«Острый живот» – прободная (перфоративная) язва.
Ультразвуковое исследование (УЗИ).
Компьютерные технологии – РКТ, МРТ.
Острый аппендицит
АСЦИТ
КТ-КОЛОНОСКОПИЯ
ИНОРОДНЫЕ ТЕЛА КИШЕЧНИКА.
ИНОРОДНЫЕ ТЕЛА
ИНОРОДНЫЕ ТЕЛА
ИНОРОДНЫЕ ТЕЛА
МРТ энтерография
МРТ энтерография
Билиарная система
ЛУЧЕВЫЕ МЕТОДЫ ИССЛЕДОВАНИЯ
ПОКАЗАНИЯ К РЕНТГЕНОЛОГИЧЕСКИМ МЕТОДАМ ИССЛЕДОВАНИЯ
УЗИ
УЛЬТРАЗВУКОВАЯ КАРТИНА КОНКРЕМЕНТОВ В ЖЕЛЧНОМ ПУЗЫРЕ
СХЧЕМА ПРОТОКОВ
РЕНТГЕНОГРАФИЯ ЖЕЛЧЕВЫДЕЛИТЕЛЬНОЙ СИСТЕМЫ
ПЕРОРАЛЬНАЯ ХОЛЕЦИСТОГРАФИЯ
ПЕРОРАЛЬНАЯ ХОЛЕЦИСТОГРАФИЯ
Внутривенная холеграфия
РЕТРОГРАДНАЯ ХОЛАНГИОПАНКРЕАТОГРАФИЯ
Ретроградная холангиопанкреатография (РХПГ)
Ретроградная холангиопанкреатография (РХПГ)
ЧРЕСКОЖНО-ЧРЕСПЕЧЕНОЧНАЯ ХОЛАНГИОГРАФИЯ
МРТ халангиография
Спасибо за внимание!
46.99M
Category: medicinemedicine

Лучевая диагностика заболеваний органов пищеварения

1. ЛУЧЕВАЯ ДИАГНОСТИКА ЗАБОЛЕВАНИЙ ОРГАНОВ ПИЩЕВАРЕНИЯ

Кафедра интегративной медицины
ЛУЧЕВАЯ ДИАГНОСТИКА
ЗАБОЛЕВАНИЙ ОРГАНОВ
ПИЩЕВАРЕНИЯ
Доценты кафедры:
к.м.н Дробаха В.Е
к.м.н Кайлева Н.А.

2. ЦЕЛЬ ЛЕКЦИИ


Изучить методы и принципы лучевой диагностики основных
заболеваний желудочно-кишечного тракта (ЖКТ).

3. МЕТОДЫ ИССЛЕДОВАНИЯ ЖЕЛУДОЧНО-КИШЕЧНОГО ТРАКТА ЛЕКЦИИ:

•Этапы проведения рентгенологического исследования
органов желудочно-кишечного тракта;
•Ключевые понятия рентгеноанатомии пищевода, желудка,
кишечника;
•Важнейшие рентгенологические синдромы поражения
органов ЖКТ;
•Лучевая диагностика основных заболеваний и неотложных
состояний органов ЖКТ.

4. АНАТОМИЯ И ФИЗИОЛОГИЯ ОРГАНОВ ЖЕЛУДОЧНО- КИШЕЧНОГО ТРАКТА

Желудочно-кишечный тракт (ЖКТ)
- Система органов у человека,
предназначенная для
переработки и извлечения из
пищи питательных веществ,
всасывания их в кровь и
выделения из организма
непереваренных остатков.
Включает в себя: рот, глотку
пищевод желудок тонкий и
толстый кишечник.

5. Методы исследования.

МЕТОДЫ ИССЛЕДОВАНИЯ.
Обзорная
рентгенография
(с учетом
локализации
уровня
патологии)
Рентгеноскопия
(рентгенография)
с
сульфатом бария
Ультразвуковое
исследование
(УЗИ)
КТ,МРТ

6. ПОДГОТОВКА ПАЦИЕНТА

1. Исследование проводится строго натощак!
2.При наличии упорных запоров и метеоризма – (по указанию
врача) вечером и утром, накануне исследования (не позднее,
чем за 1,5 – 2 часа до исследования), поставить очистительную
клизму.
3.Последний прием пищи накануне не позднее, чем за 6-8 часов
до рентгенологического исследования.
4.Утром, накануне исследования, исключить завтрак, прием
лекарственных средств через рот, курение.
5.Проинформировать пациента о точном времени и месте
проведения (номер кабинета) рентгенологического
исследования.
6.Попросить пациента повторить ход подготовки к исследованию,
при необходимости дать ему письменные рекомендации.
7.Сообщить пациенту к каким последствиям приведет нарушение
рекомендаций..

7.

Контрастный препарат
BaSo4

8.

Рентгеноскопия пищевода
Полипозиционное
Дозированная компрессия

9.

Методика проведения
У детей первого месяца жизни используются
водорастворимые рентгенконтрастные средства.
В более старшем возрасте – сульфат бария.
ВАЖНО! При подозрении на перфорацию водорастворимые рентгенконтрастные средства.

10.

Показания для проведения
Показания к рентгеноскопии желудка
•боли в области эпигастрия;
•неприятные ощущения в области желудка при
приеме пищи;
•регулярная изжога;
•периодически возникающая тошнота;
•расстройства желудка и кишечника;
•отрыжка;
•кровь в кале;
•необоснованное снижение веса.

11. РЕНТГЕНОЛОГИЧЕСКОЕ ИССЛЕДОВАНИЯ С ПРИМЕНЕНИ ПРОТИВОПОКАЗАНИЯЕМ ВЗВЕСИ СУЛЬФАТА БАРИЯ


тяжелое состояние больного
Беременность
непрекращающееся пищеводное или желудочно-кишечное кровотечение.
Эти противопоказания относительны, так как после улучшения состояния и прекращения
кровотечения возможно проведение рентгеноконтрастного исследования желудка.
При необходимости рентгеноскопия проводится во II и III семестрах беременности после
согласования с акушером-гинекологом.
Рентгеноскопия осуществляется лишь в тех случаях, когда невозможно провести
эзофагогастроскопию или ее данных недостаточно для постановки диагноза.
Рентгенологическое исследование
желудка и двенадцатиперстной
кишки с применением взвеси
сульфата бария.

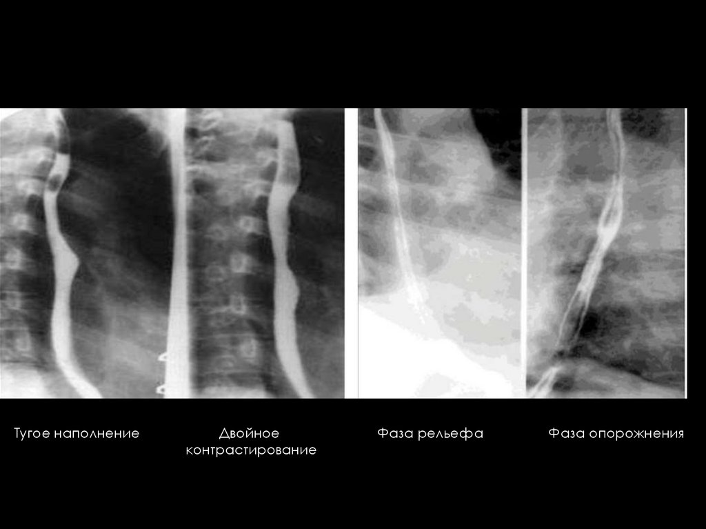
12. МЕТОДИКА РЕНТГЕНОЛОГИЧЕСКОГО ИССЛЕДОВАНИЯ ОРГАНОВ ЖКТ И ФАЗЫ КОНТРАСТИРОВАНИЯ

Фазы контрастирования:
-Тугое заполнение - изучается форма, положение,
контуры, двигательная активность органа);
-Фаза рельефа слизистой оболочки;
-Фаза двойного контрастирования (воздух и малое
количество бариевой взвеси) – изучается толщина
стенки и рельеф слизистой органа.
Одномоенмнтное двойное контрастирование

13.

Тугое наполнение
Двойное
контрастирование
Фаза рельефа
Фаза опорожнения

14. РЕНТГЕНАНАТОМИЯ ПИЩЕВОДА

1
1
2
2
3
4
Пищевод имеет три части: шейную, грудную и брюшную.
Сужения: 1-верхнее; 2-аортальное; 3-бронхиальное; 4- диафрагмальное.

15.

Пищевод – рельеф слизистой оболочки.
Фаза рельефа – продольные складки.

16.

Пищевод – рельеф слизистой оболочки.
1. Фаза пневморельева – когда контрастный
препарат переводит в желудок. Изучают
эластичность стенок, внутреннюю поверхность
пищевода, выявляют мелкие патологические
образования - они обмазаны налетом бария и
хорошо выделяются.
2. Фаза рельефа слизистой оболочки - бариевая
взвесь задерживается в межскладчатых
угулбленихя и отображает продольных ход
складок пищевода.
Фаза рельефа – продольные складки.

17. ЗАБОЛЕВАНИЯ ПИЩЕВОДА

18. КЛАССИФИКАЦИЯ ЗАБОЛЕВАНИЙ ПИЩЕВОДА

I.
ПОРОКИ РАЗВИТИЯ
СУЖЕНИЕ ПИЩЕВОДА
ПОЛНАЯ НЕПРОХОДИМОСТЬ
ПОЛНОЕ ОТУТСТВИЕ ПИЩЕВОДА
ВРОЖДЕННЫЙ ПИЩЕВОДНО-
ТРАХЕАЛЬНЫЙ СВИЩ И ДР.
II.
ПОВРЕЖДЕНИЯ
ТРАВМАТИЧЕСКИЕ (НАРУЖНЫЕ И
III.
ФУНКЦ. НАР-Я
АТОНИЯ, АХАЛАЗИЯ
IV.
ЗАБОЛЕВАНИЯ
ДИВЕРТИКУЛЫ
ВНУТРЕННИЕ)
ОЖОГИ И ИХ ПОСЛЕДСТВИЯ
ИНОРОДНЫЕ ТЕЛА
ВОСПАЛИТЕЛЬНЫЕ ПРОЦЕССЫ
(ЭЗОФАГИТ, ТУБЕРКУЛЕЗ И ДР.)
V.
ОПУХОЛИ
ДОБРОКАЧЕСТВЕННЫЕ
ЗЛОКАЧЕСТВЕННЫЕ (60-80%)

19. ОСНОВНЫЕ СИМПТОМЫ ВАЖНЕЙШИХ ЗАБОЛЕВАНИЙ ПИЩЕВОДА

Изменение положения и двигательная дисфункция.
Расширение пищевода:
А) диффузное;
Б) ограниченное(локальное) расширение.
Сужения пищевода:
А) диффузное ;
Б) ограниченное(локальное)сужение.

20. ОСНОВНЫЕ СИМПТОМЫ ВАЖНЕЙШИХ ЗАБОЛЕВАНИЙ ПИЩЕВОДА

Изменение положения и двигательная дисфункция –
атрезии, врожденный короткий пищевод, ахалазия;
Расширение:
А) диффузное - ахалазия, атония (гипотония) при различных
патологических состояниях;
Б) ограниченное (локальное)дивертиртикул (тракционный, пульсионный).
Сужения пищевода:
А)-диффузное - рубцовое сужение пищевода;
Б) -локальное — опухоли.

21. Виды атрезии пищевода:

Виды атрезии пищевода
ВИДЫ АТРЕЗИИ ПИЩЕВОДА:
1.
2.
3.
4.
5.
Атрезия пищевода с дистальным трахеопищеводным свищем
Изолированная атрезия пищевода без свища
Изолированная трахео-пищеводная фистула
Атрезия пищевода с проксимальным трахеопищеводным свищем
Атрезия пищевода с верхним и нижним трахеопищеводным свищем.

22. СИМПТОМЫ ДВИГАТЕЛЬНОЙ ДИСФУНКЦИИ И РАСШИРЕНИЯ- АХАЛАЗИЯ

23. ДИФФУЗНОЕ РАСШИРЕНИЕ ПИЩЕВОДА

Атония пищевода при
склеродермии:
А-тугое заполнение;
Б-двойное
контрастирование.

24. ДИВЕРТИКУЛЫ ПИЩЕВОДА

• Дивертикулы пищевода – это деформация эзофагеальной
стенки, характеризующаяся мешотчатым выбуханием ее
слоев, обращенным в сторону средостения. Может
проявляться чувством першения, гиперсаливацией,
ощущением комка в глотке, дисфагией, регургитацией,
гнилостным запахом изо рта.

25. ЛОКАЛЬНОЕ РАСШИРЕНИЕ, ТРАКЦИОННЫЙ ДИВЕРТИКУЛ

Различают пульсионные и тракционные
дивертикулы.
Пульсионные дивертикулы образуются
вследствие выпячивания слизистой
оболочки под действием высокого
внутрипищеводного давления,
возникающего во время сокращения
пищевода.
Тракционный дивертикул - выпячивание
слизистой и подслизистой оболочки в
средней части пищевода, появляющееся в
результате нарушений моторики или
тракций (вытяжения), возникающей при
наличии опухоли средостения

26. ОГРАНИЧЕННОЕ РАСШИРЕНИЕ ПИЩЕВОДА, ТРАКЦИОННЫЙ ДИВЕРТИКУЛ

Тракционные дивертикулы
развиваются из-за
воспалительного процесса
в окружающих тканях и
образованием рубцов,
которые и вытягивают все
слои стенку пищевода.

27. ДИФФУЗНОЕ СУЖЕНИЕ ПИЩЕВОДА, РУБЦОВЫЙ СТЕНОЗ

28. Локальное сужение (дефект наполнения) пищевода при доброкачественных опухолях – лейомиома.

ЛОКАЛЬНОЕ СУЖЕНИЕ (ДЕФЕКТ НАПОЛНЕНИЯ)
ПИЩЕВОДА ПРИ ДОБРОКАЧЕСТВЕННЫХ
ОПУХОЛЯХ – ЛЕЙОМИОМА.
Рентгенограмма, тугое наполнение
-краевой дефект наполнения.
Операция –макропрепарат
опухоли.

29. ЛОКАЛЬНОЕ СУЖЕНИЕ ПРИ ОПУХОЛИ

30. ЛОКАЛЬНОЕ СУЖЕНИЕ ПИЩЕВОДА ПРИ РАКЕ

31. ИНОРОДНЫЕ ТЕЛА ПИЩЕВОДА

32. ИНОРОДНЫЕ ТЕЛА

Рентген-контрастные: (металлические, костные);
Рентгено-негативные (пламстмассовые).

33.

Схема чтения рентгенограмм
органов брюшной полости

34. ОСНОВЫ РЕНТГЕНОАНАТОМИИ ОРГАНОВ ЖКТ – ЖЕЛУДОК

1-свод желудка; 2-кардиальная часть; 3-малая кривизна; 4- большая кривизна;
5-тело желудка;6-угол желудка; 7- антральный отдел;
8-канал привратника; 9-луковица; 10-верхний изгиб ДПК; 11-нисходящая часть
ДПК; 12-нижний изгиб ДПК; 13-нижняя горизонтальная часть ДПК.

35. ОСНОВЫ РЕНТГЕНОАНАТОМИИ ОРГАНОВ ЖКТ – ТОНКАЯ КИШКА.

Е – луковица
двенадцатиперстной кишки;
F, G, H - подкова
двенадцатиперстной кишки;
F – нисходящая часть
двенадцатиперстной кишки;
G - горизонтальная часть
двенадцатиперстной кишки
(нижняя);
H – восходящая часть
двенадцатиперстной кишки;
J - тощая кишка;
I – подвздошная кишка.

36. Основные рентгенологические симптомы заболеваний желудочно-кишечного тракта.

ОСНОВНЫЕ РЕНТГЕНОЛОГИЧЕСКИЕ
СИМПТОМЫ ЗАБОЛЕВАНИЙ
ЖЕЛУДОЧНО-КИШЕЧНОГО ТРАКТА.
Дислокация органа и синдром
двигательной дисфункции.
Патологические изменения рельефа
слизистой:
Депо бария(б)
Дефект наполнения (в,г)
Расширение пищеварительного
канала:
Диффузное (б)
Локальное (в,г)
Сужение пищеварительного канала:
Диффузное (б)
Локальное (в,г,д)

37.

Основные рентгенологические симптомы
важнейших заболеваний желудка
Дислокация органа и
синдром двигательной
дисфункциипролабирование
желудка в пищеводное
отверстие диафрагмы
— грыжа ПОД,
• двигательная
дисфункция желудка
при гастритах, язвенной
болезни.

38. ДИСЛОКАЦИЯ ОРГАНА - ГРЫЖА ПИЩЕВОДНОГО ОТВЕРСТИЯ ДИАФРАГМЫ

39.

Патологические изменения слизистой (рельефа) желудка и
12-перстной кишки:
-расширение утолщение складок;
-дефект наполнения на рельефе -полип, рак (в, г);
-ниша (контрастное пятно или депо бария) на рельефе – язва
(б).

40. ДИАГНОСТИКА ЗАБОЛЕВАНИЙ ЖЕЛУДКА ГАСТРИТ –ПЕРЕСТРОЙКА РЕЛЬЕФА

Эндоскопическая
картина.
Прицельная рентгенограмма в фазе
рельефа - расширение утолщение
складок желудка.

41. ЯЗВЕННАЯ БОЛЕЗНЬ ЖЕЛУДКА – НИША (КОНТРАСТНОЕ ПЯТНО ИЛИ ДЕПО БАРИЯ) НА РЕЛЬЕФЕ

Эндоскопическая
картина.
Рентгенограмма желудка в фазе
двойного контрастирования.

42. ОСНОВНЫЕ РЕНТГЕНОЛОГИЧЕСКИЕ СИМПТОМЫ ВАЖНЕЙШИХ ЗАБОЛЕВАНИЙ ЖЕЛУДКА

Расширение просвета желудка:
А) Диффузное расширение - при стенозе привратника
рубцовом или опухолевом;
Б) Локальное расширение (ниша на контуре) –язвенная
болезнь, язвенная форма рака желудка.

43. ЛОКАЛЬНОЕ РАСШИРЕНИЕ И ИЗМЕНЕНИЯ РЕЛЬЕФА ЖЕЛУДКА - ЯЗВЕННАЯ БОЛЕЗНЬ.

Ниша на контуре
Ниша на рельефе

44. ДИАГНОСТИКА ЗАБОЛЕВАНИЙ ЖЕЛУДКА –ЯЗВЕННАЯ БОЛЕЗНЬ – ЛОКАЛЬНОЕ РАСШИРЕНИЕ (НИША НА КОНТУРЕ).

ДИАГНОСТИКА ЗАБОЛЕВАНИЙ ЖЕЛУДКА –
ЯЗВЕННАЯ БОЛЕЗНЬ – ЛОКАЛЬНОЕ
РАСШИРЕНИЕ (НИША НА КОНТУРЕ).
Рентгенограмма желудка в фазе тугого заполнения

45. ЯЗВЕННАЯ БОЛЕЗНЬ ЖЕЛУДКА – ЛОКАЛЬНОЕ РАСШИРЕНИЕ, ОСЛОЖНЕНИЕ ЯЗВЕННОЙ БОЛЕЗНИ –ПЕНЕТРАЦИЯ.

Эндоскопическая
картина.
Рентгенограмма.

46. ОСЛОЖНЕНИЯ ЯЗВЕННОЙ БОЛЕЗНИ - ПЕНЕТРАЦИЯ

ОСЛОЖНЕНИЯ ЯЗВЕННОЙ БОЛЕЗНИ ПЕНЕТРАЦИЯ

47. ОСНОВНЫЕ РЕНТГЕНОЛОГИЧЕСКИЕ СИМПТОМЫ ВАЖНЕЙШИХ ЗАБОЛЕВАНИЙ ЖЕЛУДКА

Сужение просвета желудка:
А) Диффузное сужение – ожоговый рубцовый стеноз
желудка;
Б) Локальное сужение– пилоростеноз, рак желудка.

48. ПИЛОРОСТЕНОЗ

Пилоростеноз (стеноз привратника
желудка) — это сужение отверстия
между пилорическим отделом
желудка и начальным отделом
двенадцатиперстной кишки.
Пилоростеноз может иметь
врожденную и приобретенную
формы. Врожденный пилоростеноз
может возникать остро или иметь
затяжное течение.
Задержка контрастного
вещества в желудке через 3 ч и
симптом «антрального клюва»

49. ПИЛОРОСПАЗМ

Пилороспазм — спазм привратника желудка (зоны перехода
желудка в двенадцатиперстную кишку), наблюдающееся
преимущественно у грудных детей, обусловлено
функциональными расстройствами нервно-мышечного аппарата
привратниковой части желудка.

50. ОСЛОЖНЕНИЯ ЯЗВЕННОЙ БОЛЕЗНИ-РУБЦОВЫЙ СТЕНОЗ ПРИВРАТНИКА

ОСЛОЖНЕНИЯ ЯЗВЕННОЙ БОЛЕЗНИРУБЦОВЫЙ СТЕНОЗ ПРИВРАТНИКА

51. Тонкая кишка

ТОНКАЯ КИШКА
• Тонкая кишка делится на
двенадцатиперстную, тощую и подвздошную
кишку. Тощая и подвздошная кишки
подвижны, лежат внутрибрюшинно и имеют
брыжейку, представляющую собой
дупликатуру брюшины. Между листками
брыжейки находятся нервы, кровеносные и
лимфатические сосуды, лимфатические
узлы и жировая клетчатка.

52. Тонкая кишка

ТОНКАЯ КИШКА
Пассаж бария

53.

Энтерограмма - эндофитный рак
нисходящего отдела
двенадцатиперстной кишки
(симптом воротничковой
инвагинации)

54.

Толстая кишка
Толстая кишка имеет длину, равную в среднем 1,5 мм,
диаметр ее в начальном отделе составляет 7—14 см, в
каудальном — 4—6 см. Она разделяется на 6 частей:
слепую кишку, восходящую ободочную, поперечную
ободочную, нисходящую ободочную, сигмовидную и
прямую кишку.

55. ПОЛОЖЕНИЕ ПАЦИЕНТА

Стоя
Лежа
Боковая (латеропозиция)

56. Толстая кишка

ТОЛСТАЯ КИШКА
Ирригоскопия
Аппарат Боброва
Наконечник

57. СХЕМА РЕЛЬЕФА ТОЛСТОЙ КИШКИ

58. ОТЛИЧИТЕЛЬНЫЕ ОСОБЕННОСТИ ТОЛСТОЙ КИШКИ

Наиболее
характерными
признаками,
позволяющими отличить ее от тонкой
кишки являются:
•наличие продольных мышечных тяжей
(лент);
•наличие гаустр;
•наличие сфинктеров.

59. ОСОБЕННОСТИ ТЕНЕВОЙ КАРТИНЫ ТОЛСТОЙ КИШКИ

• втяжения

это
полулунные
складки,
которые вдаются в
полость кишки
• выпячивания
между
полулунными
складками – гаустры
(haustrae).

60.

Гаустраця ободочной кишки в рентгеновском изображении

61. СФИНКТЕРЫ ТОЛСТОЙ КИШКИ

В
толстой
кишке
имеются
анатомические и функциональные
сужения (сфинктеры).
Сфинктеры толстой кишки:
1 - Варолиуса; 2 - Бузи; 3 - Гирша;
4 - Кеннона — Бема; 5 - Херста;
6 - Кеннона; 7 - Пайра — Штрауса;
8 - Михайлова; 9 - Балли;
10 - Мутье — Росси;
11 - О'Берна — Пирогова — Мутье;
12 - Нелатона — Гепнера

62. РАСПОЛОЖЕНИЕ ОТДЕЛОВ ТОЛСТОЙ КИШКИ

Восходящий
и
мезоперитонеально
нисходящий
отделы
располагаются
Слепая, поперечная и сигмовидная части — интраперитонеально
(имеют брыжейку, что позволяет им довольно свободно менять
свое положение в брюшной полости).
Слепая кишка менее подвижна, поскольку, как правило, брыжейки
не имеет.

63. РЕНТГЕНОЛОГИЧЕСКИЕ ОСОБЕННОСТИ

Для удобства изучения рентгеновского
изображения толстой кишки последнюю
условно делят на пять сегментов
I. — правая половина толстой кишки,
включая слепую кишку, восходящую кишку
и печеночный изгиб;
II. — поперечная ободочная кишка,
исключая печеночный и селезеночный
изгибы;
III. — левая половина толстой кишки,
включающая
селезеночный
изгиб
и
нисходящую кишку;
IV. — сигмовидный отдел;
V. — прямая кишка.

64.

ДЛИНА ОБОДОЧНОЙ КИШКИ

65. ХАРАКТЕРИСТИКА ГАУСТР ОБОДОЧНОЙ КИШКИ

66. ШИРИНА ПРОСВЕТА ОБОДОЧНОЙ КИШКИ

67. ДИАМЕТР ИНТЕРГАУСТРАЛЬНЫХ ПРОМЕЖТКОВ

68. РЕНТГЕНОЛОГИЧЕСКИЕ ОСОБЕННОСТИ

С рентгенологической точки зрения
можно исследовать тоническое
состояние, пропульсивную и
опорожнительную деятельность.
Но все эти функции толстой кишки
одновременно, вместе изучить
нельзя.
Можно говорить либо о тонической
функции, либо о транзите
содержимого.

69. РЕНТГЕНОЛОГИЧЕСКИЕ ОСОБЕННОСТИ

При нормальном тонусе кишки
ширина просвета ее не изменена,
гаустры средней глубины (обычно
величина их равна половине или 2/3
диаметра
кишки,
расположены
правильно, размеры гаустральных
извилин на каждой стороне равны по
величине и симметричны).

70. РЕНТГЕНОЛОГИЧЕСКИЕ ОСОБЕННОСТИ

Повышенный
тонус
сопровождается
небольшой
шириной просвета и резко
подчеркнутыми
гаустрами.
Иногда
может
наблюдаться
сужение просвета кишки в местах
расположения функциональных
сфинктеров,
обусловленное
сокращениями
круговых
мышечных волокон.
При резком повышении тонуса
просвет кишки более сужен,
представляется
гладким,
лишенным гаустр, развивается
сегментарный или диффузный
спазм толстой кишки, вплоть до
симптома "шнура".

71. РЕНТГЕНОЛОГИЧЕСКИЕ ОСОБЕННОСТИ

Если тонус пониженный,
кишка расширена,
количество гаустр
уменьшено, гаустрация
выражена слабо, едва
заметна. При атонии
толстой кишки просвет ее
резко расширен, гаустры
отсутствуют, стенка
представляется гладкой.

72. РАК ТОЛСТОЙ КИШКИ

• дефект
наполнения
(краевым
или
центральным)
• атипическая
перестройка
рельефа
слизистой оболочки и дефектом на
рельефе
• сужение кишки
• неровность контуров
• расширение кишки выше и ниже
пораженного опухолью фрагмента

73.

Ирригограмма:
полип
сигмовидной
кишки

74.

Ирригограмма:
эндофитный рак
толстой кишки

75.

Ирригограмма:
экзофитный рак
поперечной
ободочной кишки

76. ДИВЕРТИКУЛЕЗ ТОЛСТОЙ КИШКИ 

ДИВЕРТИКУЛЕЗ ТОЛСТОЙ КИШКИ
• локальное увеличение тени округлой формы
• обычно множественные
• УЗИ: утолщенная стенка кишки, абсцессы, свищи
• КТ: утолщение стенки (чаще, чем УЗИ),
инфильтрацию перидивертикулярного жира,
околокишечные абсцессы, свищи; уточняет
пртяженность перипроцесса

77.

Ирригограмма
МРТ

78. НЕСПЕЦИФИЧЕСКИЙ ЯЗВЕННЫЙ КОЛИТ

Чаще всего поражается прямая кишка, левая
половина толстой кишки и иногда бывает тотальное
поражение.
• складки утолщены, извиты, имеют неправильное
направление
• нечеткость контуров кишки, ячеистый рисунок
слизистой оболочки
• чередование здоровых участков рельефа с
пораженными, создающими картину “панциря
черепахи”

79.

Ирригоскопия. НЯК

80.

Ирригограмма:
спазм слепой кишки при
туберкулезном илеотифлите
(симптом Штирлина)

81.

Острая кишечная непроходимость
Это стойкий спазм или парез кишечника
вследствие:
• Острые воспалительные заболевания
живота (холецистит? Панкреатит,
аппендицит, перитонит, паранефрит);
• Травм и операций
• Тромбоза сосудов брыжейки, инфаркта
селезенки
• Забрюшинных гематом
• Интоксикации (свинцовых, морфиновых)
• Метаболических нарушений

82.

Клиническая картина
Классические клинические признаки
кишечной непроходимости
• коликообразные боли в животе
• рвота
• вздутие живота
• абсолютный запор
• нестабильные показатели жизнедеятельности
• ацидотический газ крови, наблюдаемый при
ишемии кишечника
В кооперации с хирургами!

83. КИШЕЧНАЯ НЕПРОХОДИМОСТЬ

• Динамическая непроходимость кишечника – патология,
которая проявляется частичным или даже полным
прекращением передвижения содержимого по
пищеварительному тракту. Проблема может возникнуть по
причине препятствия или нарушения двигательной
функции органа.
• Механическая кишечная непроходимость — окклюзия
кишечной трубки на каком-либо уровне, что и
обусловливает нарушение кишечного транзита:
Странгуляционная кишечная непроходимость (лат.
strangulatio — «удушение») — возникает при сдавлении
брыжейки кишки, что приводит к нарушению питания.

84. КИШЕЧНАЯ НЕПРОХОДИМОТЬ

85. Признаки динамической кишечной непроходимости

ПРИЗНАКИ ДИНАМИЧЕСКОЙ
КИШЕЧНОЙ НЕПРОХОДИМОСТИ
• Газ в петлях кишечника с короткими горизотальными
уровнями жидкости
• Преобладание газа над жидкостью – «светлый»
живот
• Газ и жтидкость определются по ходу тонкой и
толстой кишок (во всем кишечнике)
• Перистальтика отсуствует

86.

Ущемление, заворот,
узлообразование)
Рубцы, спайки, копролиты,
безоары)
+ смешаная (инвагинация)

87. Признаки механической кишечной непроходимости

ПРИЗНАКИ МЕХАНИЧЕСКОЙ
КИШЕЧНОЙ НЕПРОХОДИМОСТИ
• Скопление жидкости и газа в кишечнике в виде
горизонтальных уровней перед препятствием
• Постстенотическое спадание кишки
• Преобладание жидкости над газом («темный
живот»)
• Активная перистальтика кишки перед препятствием
• Разная высота горизонтальных уровней «арок» за
счет симптома» «переливания».
• Нарастание газа и жидкости до препятствие и
исчезновение газа ниже препятствия при
динамическом наблюдении

88. ОСТРАЯ МЕХАНИЧЕСКАЯ НЕПРОХОДИМОСТЬ КИШЕЧНИКА

• Вздутие кишечных петель, расположенных выше места
закупорки или сдавления кишки. В этих петлях определяются
скопления газа и горизонтальные уровни жидкости (так
называемые чаши, или уровни, Клойбера).
• Все петли кишок дистальнее места закупорки находятся в
спавшемся состоянии и не содержат газа и жидкости. Именно
этот признак — спадение постстенотического отрезка
кишечника

позволяет
отличить
механическую
непроходимость кишечника от динамической (в частности, от
пареза кишечных петель).

89.

90.

91. Отличие тонкой от толстой кишки на рентгенограмме

ОТЛИЧИЕ ТОНКОЙ ОТ
ТОЛСТОЙ КИШКИ НА
РЕНТГЕНОГРАММЕ
Small bowel
obstruction
Large bowel
obstruction
Valvulae conniventes
Present
Absent
Number of loops
Many
Few
Distribution of loops
Central
Peripheral
Haustra
Absent
Present
Diameter
3-5 cm
More than 5 cm
Radius of curvature
Small
Large
Fecal material
Absent
Present

92.

Мало газа и много жидкости – запущенная КН

93.

Низкая толстокишечная непроходимость, заворот сигмовидной кишки: а - обзорная
рентгенограмма живота; б - ирригограмма

94. ТОНКОКИШЕЧНАЯ НЕПРОХОДИМОСТЬ

Признаки пареза кишки

95. ТОЛСТОКИШЕЧНАЯ НЕПРОХОДИМОСТЬ

96. Острый живот - кишечная непроходимость.

ОСТРЫЙ ЖИВОТ - КИШЕЧНАЯ
НЕПРОХОДИМОСТЬ.
Этапы рентгенологического исследования.
- Обзорная рентгенограмма брюшной полости
при вертикальном положении больного;
- Выявление уровней жидкости в проекции петель
кишечника – «чаши Клойберга».
- При механической кишечной непроходимости
для выявления уровня поражения исследование
с применением бариевой взвеси.

97. КИШЕЧНАЯ НЕПРОХОДИМОСТЬ

Динамическая кишечная
непроходимость.
Механическая кишечная
непроходимость.

98.

99. Механическая кишечная непроходимость.

МЕХАНИЧЕСКАЯ КИШЕЧНАЯ
НЕПРОХОДИМОСТЬ.
Обзорная рентгенограмма
брюшной полости.
Рентгенограмма после
перорального приема бариевой
взвеси.

100.

Перекрут сигмовидной кишки

101. ПЕРЕКРУТ

In a sigmoid volvulus, the sigmoid is
twisted around its own mesenterial axis.

102. ИНВАГИНАЦИЯ.

Инвагина́ция кише́чника —
разновидность кишечной
непроходимости, развивается из-за
внедрения одной части кишечника в
просвет другой.
Локализация1. тонко-толстокишечная, инвагинация в
области илеоцекального угла;
2. тонко-тонкокишечная;
3. тонко-слепокишечная (илеоцекальная);
4 толсто-толстокишечная.

103. Инвагинация.

ИНВАГИНАЦИЯ.
Ирригоскопия – толсто-толстокишечная инвагинация.

104. АППЕНДИЦИТ

• При остром флегмонозном или деструктивном
аппендиците: небольшие скопления газа и жидкости
в дистальных петлях подвздошной кишки и в слепой
кишке. Стенка слепой кишки утолщена за счет отека.
При изменении положения тела кишка не смещается.
Если образуется абсцесс вокруг червеобразного
отростка, то на стенке кишки он обусловливает
вдавление.
• При термографии в случае острого аппендицита
определяется повышение температуры над правой
подвздошной областью на 2—3 °С.
• Ультразвуковое исследование позволяет обнаружить
утолщение стенок кишки и аппендикулярный
инфильтрат.

105.

• ограниченное
вздутие
кишечных
петель
в
илеоцекальной области,
• четкий
горизонтальный
уровень жидкости в слепой
кишке,
• мелкие нечеткие уровни
жидкости в терминальном
отделе подвздошной кишки
(прободной аппендицит)

106.

Латерограмма
брюшной
полости (на левом боку).
Определяется заполненный
газом
червеобразный
отросток, расположенный в
правом латеральном канале
(флегмонозный
аппендицит).

107. ОСТРЫЙ ЭНТЕРОКОЛИТ

• В кишечных петлях появляются небольшие
пузыри газа с короткими уровнями жидкости.
• Продвижение
контрастного
вещества
происходит
неравномерно,
отдельными
скоплениями, между которыми наблюдаются
перетяжки.
• Складки слизистой оболочки утолщены или
вообще не дифференцируются

108. ОСТРЫЙ ЭНТЕРОКОЛИТ

109. ХРОНИЧЕСКИЙ ЭНТЕРОКОЛИТ

• расширение кишечных петель, скопление в них газа
и жидкости (гиперсекреция),
• разделение контрастной массы на отдельные комки
(седиментация и фрагментация содержимого)
• пассаж контрастного вещества замедлен; оно
распределяется по внутренней поверхности кишок
неравномерно, могут быть видны мелкие
изъязвления.

110.

Ирригограммы. Хронический колит: а - отсутствие гаустрации; б - утолщенные
псевдополипозные складки

111. РЕГИОНАЛЬНЫЙ ЭНТЕРИТ И ГРАНУЛЕМАТОЗНЫЙ КОЛИТ (БОЛЕЗНЬ КРОНА)

Первая стадия
•Утолщение, выпрямление и даже исчезновение складок слизистой
оболочки.
•Контуры кишки становятся неровными, зубчатыми.
•Затем вместо привычной картины складок обнаруживаются
множественные
округлые
просветления,
обусловленные
островками воспаленной слизистой оболочки. Среди них могут
выделяться полосковидные тени бария, отложившегося в
поперечных трещинах.
•В области поражения кишечные петли выпрямлены, сужены.

112. РЕГИОНАЛЬНЫЙ ЭНТЕРИТ И ГРАНУЛЕМАТОЗНЫЙ КОЛИТ (БОЛЕЗНЬ КРОНА)

Вторая стадия
•Значительное сужение кишечных петель с образованием
Рубцовых перетяжек длиной от 1—2 до 20—25 см.
•Стенозированный участок может выглядеть на снимках как
узкий неровный канал (симптом “шнура”).
•В отличие от синдрома нарушенного всасывания нет
диффузного расширения кишечных петель, гиперсекреции и
фрагментации контрастного вещества и ясно выражен
гранулярный характер рельефа внутренней поверхности кишок.

113.

Болезнь Крона: а - поражен терминальный отдел тонкой кишки
(стрелка), б - поражен дистальный отдел нисходящей ободочной
кишки (стрелки)

114. ДИФФУЗНОЕ РАСШИРЕНИЕ ТОЛСТОЙ КИШКИ ПРИ БОЛЕЗНИ ГИРШПРУНГА.

аганглиоз толстой кишки, врожденный мегаколон

115. «Острый живот» -перфорация полого органа, прободная (перфоративная) язва.

«ОСТРЫЙ ЖИВОТ» -ПЕРФОРАЦИЯ ПОЛОГО
ОРГАНА, ПРОБОДНАЯ (ПЕРФОРАТИВНАЯ)
ЯЗВА.
Этапы
рентгенологического
исследования:
- Обзорная
рентгенография
брюшной полости.
- Выявление воздуха под
правым куполом
диафрагмы (симптом
серпа)при
рентгенографии в
вертикальном
Рентгенограмма при
положении (стоя, сидя)
вертикальном положении
больного.
больного - воздух под правым
куполом диафрагмы (стрелки).

116. «Острый живот» – прободная (перфоративная) язва.

«ОСТРЫЙ ЖИВОТ» – ПРОБОДНАЯ
(ПЕРФОРАТИВНАЯ) ЯЗВА.
Рентгенограмма при
горизонтальном положении
больного (лежа на спине) –
воздух под передней
брюшной стенкой (стрелки).
Эндоскопическая
картина при
прободной язве.

117. Ультразвуковое исследование (УЗИ).

УЛЬТРАЗВУКОВОЕ
ИССЛЕДОВАНИЕ (УЗИ).
Показания –
- «Острый живот»;
- Свободная жидкость в
брюшной полости (асцит);
- Уточнение состояния просвета
и стенки органа при
локальных поражениях
желудка кишки;
- При заболеваниях пищевода
проводится УЗИ пищевода с
использованием
специальных датчиков.
УЗИ желудка

118. Компьютерные технологии – РКТ, МРТ.

КОМПЬЮТЕРНЫЕ ТЕХНОЛОГИИ –
РКТ, МРТ.
Показания:
РКТ при раке желудка.
- Решение задач
дифференциальной
диагностики;
- Уточнение локализации
и протяженности
патологического
процесса.
МРТ при раке желудка.

119. Острый аппендицит

ОСТРЫЙ АППЕНДИЦИТ

120. АСЦИТ

121. КТ-КОЛОНОСКОПИЯ

122. ИНОРОДНЫЕ ТЕЛА КИШЕЧНИКА.

Рентгенконтрастные инородные тела- обзорная
рентгенография брюшной полости.

123. ИНОРОДНЫЕ ТЕЛА

Пуля

124. ИНОРОДНЫЕ ТЕЛА

125. ИНОРОДНЫЕ ТЕЛА

126. МРТ энтерография

127. МРТ энтерография

Показания
•воспалительные заболевания тонкой кишки (отек, утолщение стенки тонкой
кишки,);
•кровотечение из тонкой кишки (выявление источника);
•непроходимость, сужение тонкой кишки;
•новообразования тонкой кишки;
•абсцессы стенки тонкой кишки и окружающих тканей;
•свищи между петлями кишки;
•Болезнь Крона.
Подготовка
В течение двух суток до МР-томографии необходимо отказаться от
продуктов питания, повышающих газообразование: исключить
бобовые, мучные изделия, газированные напитки, фрукты, овощи,
молочные продукты. Исследование проводится строго натощак. В
день процедуры можно пить воду. Необходимо прибыть в МРТотделение за 1 час до назначенного времени, чтобы выпить
специальный раствор, объемом 1,2-1,5 л, подготовленный в
отделении (маннитол + вода) небольшими глотками по 150-200 мл
каждые 5 минут. После окончания процедуры раствор может
вызвать неприятные ощущения в животе в виде спазмов и
послабления стула.

128. Билиарная система

БИЛИАРНАЯ СИСТЕМА

129. ЛУЧЕВЫЕ МЕТОДЫ ИССЛЕДОВАНИЯ

• Ультразвуковое исследование;
• Магнитно-резонансная томография;
• Рентгенологические методы;
• Радионуклидная диагностика.

130. ПОКАЗАНИЯ К РЕНТГЕНОЛОГИЧЕСКИМ МЕТОДАМ ИССЛЕДОВАНИЯ

131. УЗИ

• Форма ̶ вытянутая,
удлиненная.
• Структура ̶
эхонегативная.
• Толщина стенок ̶ около
0,4 см.
• Длина органа (от дна до
самой узкой части) ̶ в
пределах 0,6-1 см.
• Ширина желчного
пузыря ̶ около 0,4 см.
• Общий проток имеет
размер около 0,8 см.

132. УЛЬТРАЗВУКОВАЯ КАРТИНА КОНКРЕМЕНТОВ В ЖЕЛЧНОМ ПУЗЫРЕ

133. СХЧЕМА ПРОТОКОВ

Магнитнорезонансная холанги-опанкреатография (МРХПГ): 1 левый долевой печеночный проток; 2 - правый долевой
печеночный проток; 3 - общий печеночный проток; 4 - главный
панкреатический проток; 5 - пузырный проток; 6 - желчный пузырь;
7 - общий желчный проток (холедох); 8 - сфинктер Одди

134.

135. РЕНТГЕНОГРАФИЯ ЖЕЛЧЕВЫДЕЛИТЕЛЬНОЙ СИСТЕМЫ

• Обзорная рентгенография – выявление инородных тел и
рентгенпозитивных конкрементов
• Контрастирование желчных путей и желчного пузыря
– Пероральная холецистография (трийодированные
дериваты бензола: холевид, йопагност, билимин)
– Внутривенная холеграфия (билигност, билиграфин,
холографин)
– Ретроградная холангиопанкреатография (РХПГ)
(омнипак, урографин)

136.

137. ПЕРОРАЛЬНАЯ ХОЛЕЦИСТОГРАФИЯ

Серия холецистограмм в норме до и после приема желчегонного
завтрака: 1 — до приема желчегонного завтрака; 2—7 в период
сокращения желчного пузыря; 8 — в период начавшегося
расслабления желчного пузыря.

138. ПЕРОРАЛЬНАЯ ХОЛЕЦИСТОГРАФИЯ

Холецистограмма (прямая проекция) при одиночном холестероловом
полипе желчного пузыря: стрелкой указан дефект наполнения,
обусловленный полипом

139. Внутривенная холеграфия

ВНУТРИВЕННАЯ ХОЛЕГРАФИЯ
Холеграмма в норме: 1 — тени
крупных желчных протоков; 2 —
тень желчного пузыря.

140. РЕТРОГРАДНАЯ ХОЛАНГИОПАНКРЕАТОГРАФИЯ

Холеграмма при желчнокаменной
болезни: 1 — резко расширенный
общий желчный проток; 2 —
многочисленные крупные желчные
камни в общем желчном протоке; 3 —
камни в области дна желчного пузыря.

141. Ретроградная холангиопанкреатография (РХПГ)

РЕТРОГРАДНАЯ
ХОЛАНГИОПАНКРЕАТОГРАФИЯ (РХПГ)

142. Ретроградная холангиопанкреатография (РХПГ)

РЕТРОГРАДНАЯ
ХОЛАНГИОПАНКРЕАТОГРАФИЯ (РХПГ)
ЭРХПГ. а - конкремент в холедохе; б - конкременты в
желчном пузыре (синяя стрелка), в холедохе (красная
стрелка).

143. ЧРЕСКОЖНО-ЧРЕСПЕЧЕНОЧНАЯ ХОЛАНГИОГРАФИЯ

Рентгенограмма, полученная при
чрескожной чрезпеченочной
холангиографии у больного
желчнокаменной болезнью:
желчные протоки (1) и общий
желчный проток (2) расширены, в
дистальной части общего
желчного протока имеется
обтурирующий его камень (3).

144. МРТ халангиография

145.

Холецистит
КТ исследование

146. Спасибо за внимание!

СПАСИБО ЗА
ВНИМАНИЕ!
English     Русский Rules