ДИАГНОСТИКА И ПРЕДВАРИТЕЛЬНЫЙ ПЛАН ЛЕЧЕНИЯ
ЖАЛОБЫ и АНАМНЕЗ
ЛИЦЕВЫЕ ПАРАМЕТРЫ
ЛИЦЕВЫЕ ПАРАМЕТРЫ
ЗУБНЫЕ РЯДЫ
ЗУБНЫЕ РЯДЫ
ЗУБНЫЕ РЯДЫ
ЗУБНЫЕ РЯДЫ
ЗУБНЫЕ РЯДЫ
ОПТГ
АНАЛИЗ ТРГ
КЛКТ
КЛКТ ФРОНТАЛЬНЫЕ ГРУППЫ ЗУБОВ
ВНЧС до
ВНЧС после
МРТ до закрытый рот
МРТ до открытый рот
МРТ после закрытый рот
МРТ после открытый рот
ПРОБЛЕМНЫЙ ЛИСТ
ВАЖНО ПОМНИТЬ
10.55M
Category: medicinemedicine

Диагностика и предварительный план лечения

1. ДИАГНОСТИКА И ПРЕДВАРИТЕЛЬНЫЙ ПЛАН ЛЕЧЕНИЯ

Оберст Илья Дмитриевич, 30 лет
Грибкова Евгения Евгеньевна
Врач-ортодонт, гнатолог

2. ЖАЛОБЫ и АНАМНЕЗ

Ортодонтическое лечение ранее не проводилось.
Жалобы на:
На неровные зубы
На отсутствие места под имплантат
На дискомфорт в области ВНЧС слева

3. ЛИЦЕВЫЕ ПАРАМЕТРЫ

Описание:
• Смещение подбородка
вправо;
• Асимметрия лица;
• Профиль лица выпуклый;
• Нижнюю губу хочется
выдвинуть вперед;
• Подбородок (нч) хочется
сместить влево;
• Нейтральный тип роста;
• Линия улыбки (обнажение
зенитов, десны) гармоничная;
• Арка улыбки скорее
гармоничная;
• Ширина улыбки эстетически
не гармоничная – наклон
окклюзионной плоскости.

4. ЛИЦЕВЫЕ ПАРАМЕТРЫ

Описание:
• Центр лица совпадает
с центром верхней
челюсти при
сомкнутых зубах;
• Дисплей нижних
резцов в норме;
• Наклон окклюзионной
плоскости на верхней
челюсти во 2 сегменте;
• Длина клинических
коронок в норме;
• Дисплей верхних
резцов в норме.

5. ЗУБНЫЕ РЯДЫ

Описание:
• Центры челюстей не совпадают в
открытом и закрытом положении;
• Смещение средней линии на нижней
челюсти вправо на 2,5 мм;
• Скученность зубов во фронтальном
отделе челюстей 2 степени;
• Глубина резцового перекрытия - 2 мм;
• Шпее низ – глубокая (резцы выше
боковых);
• Дизокклюзия в области 15-14/44-45; 17/48;
25/36;
• Положение верхних 6 относительно 7
вертикаль – с обеих сторон 6 на 1 мм и
более выше 7.

6. ЗУБНЫЕ РЯДЫ

Описание:
• Окклюзионные соотношения по 2 классу
по клыкам справа, по 1 классу по клыкам
слева;
• Сужение верхнего и нижнего зубного ряда.

7. ЗУБНЫЕ РЯДЫ

Описание:
• Окклюзионные соотношения по 2
классу справа, по 1 классу слева.

8. ЗУБНЫЕ РЯДЫ

Описание:
• Окклюзионные соотношения по 2
классу справа по клыкам, по 1
классу слева по клыкам.
• Окклюзионные соотношения по 2
классу справа по молярам, по 1
классу слева.

9. ЗУБНЫЕ РЯДЫ

Описание:
• Форма верхнего зубного ряда полуэллипс,
трапецевидная, суженная асимметричная;
• Форма нижнего зубного ряда
парабола,суженная асимметричная;
• Асимметрия зубных рядов;
• Скученность зубов на нижней и верхней
челюсти 2 степени;
• Положение верхних 6 относительно 7
вертикаль – с обеих сторон 6 на 1 мм и
более выше 7;
• Язычный и мезиальный наклон 4.7;
• Экструзия 1.6.

10. ОПТГ

11. АНАЛИЗ ТРГ

12. КЛКТ

13. КЛКТ ФРОНТАЛЬНЫЕ ГРУППЫ ЗУБОВ

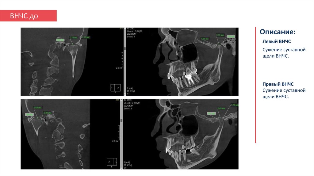
14. ВНЧС до

Описание:
Левый ВНЧС
Сужение суставной
щели ВНЧС.
Правый ВНЧС
Сужение суставной
щели ВНЧС.

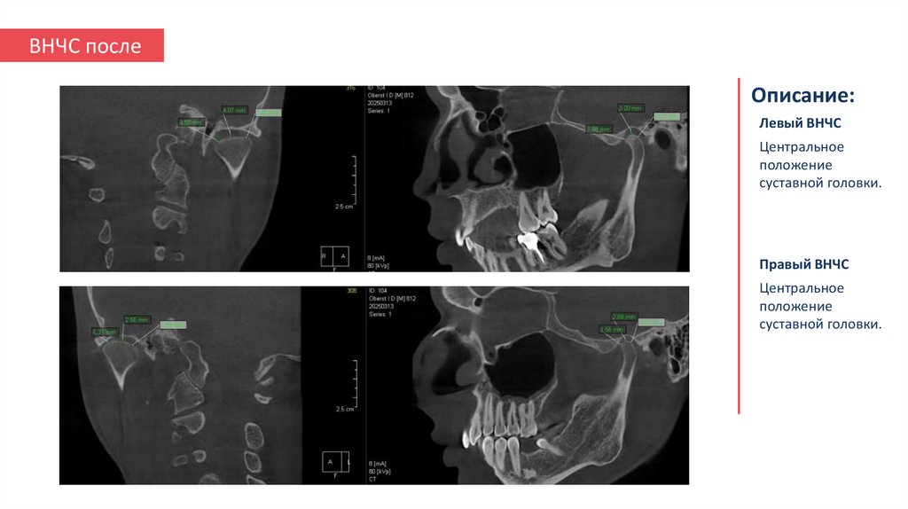
15. ВНЧС после

Описание:
Левый ВНЧС
Центральное
положение
суставной головки.
Правый ВНЧС
Центральное
положение
суставной головки.

16.

КЛКТ
Кариозные поражения зубов
1.4
1.6
1.7
2.6
3.6
4.4
info@my-ort.ru
2.5
my-ort.ru
my_ort.ru

17. МРТ до закрытый рот

Левый ВНЧС
Правый ВНЧС

18. МРТ до открытый рот

Левый ВНЧС
Правый ВНЧС

19. МРТ после закрытый рот

Левый ВНЧС
Правый ВНЧС

20. МРТ после открытый рот

Левый ВНЧС
Правый ВНЧС

21. ПРОБЛЕМНЫЙ ЛИСТ


Смещение подбородка вправо. Асимметрия нижней трети лица.
Смещение средней линии на нижней челюсти вправо на 2,5 мм.
Скученность зубов во фронтальном отделе челюстей 2 степени.
Глубина резцового перекрытия - 2 мм.
Окклюзионные соотношения по 2 классу справа по клыкам, по 1 классу слева по клыкам.
Асимметрия зубных рядов. Сужение верхней и нижней челюсти.
Окклюзионные соотношения по 2 классу по молярам справа, по 2 классу слева.
Шпее низ – глубокая (резцы выше боковых).
Дизокклюзия в области 15-14/44-45; 17/48; 25/36.
Положение верхних 6 относительно 7 вертикаль – с обеих сторон 6 на 1 мм и более выше 7.
Язычный и мезиальный наклон 4.7.
Экструзия 1.6.

22.

ПЛАН ЛЕЧЕНИЯ 1
II этап (2 года) Ортодонтическое лечение на брекет-системе:
1. Консультация стоматолога-терапевта. Санация полости рта.
2. Консультация стоматолога-ортопеда. Фиксация временных окклюзионных накладок.
3. Консультация стоматолога-хирурга. Удаление 4.8.
4.
5.
6.
7.
8.
Фиксация временных окклюзионных накладок на 1.6, 2.6.
Фиксация брекет-системы на верхнюю челюсть. Через 1 месяц на нижнюю челюсть.
Нивелирование зубных рядов. Сепарация на фронтального отдела на нижней и верхней челюсти.
Изгиб Анти-Шпее на верхней и нижней челюсти для исправления наклона плоскости.
Установка 2 МИ для инструзии 1.6; 1 МИ для опрайта 4.7; 1 МИ в 1 сегмент для дисталлизации зубного ряда, чтобы
улучшить класс справа.
9. Раскрытие места под имплантат 4.6.
10. Этап детализации.
11. Установка имплантата за 3 месяца до снятия брекет-системы.
12. Снятие брекет-системы с верхней и нижней челюсти. Установка ретейнеров.
13. Фиксация коронки на имплантат 4.6. Изготовление съемного ретейнера в виде капы.
Проведение профессиональной гигиены полости рта 1 раз в 3-4 месяца на протяжении всего периода
ортодонтического лечения. Проведение рентгенологического обследования (КЛКТ, ТРГ) по необходимости.
info@my-ort.ru
my-ort.ru
my_ort.ru

23.

ПЛАН ЛЕЧЕНИЯ 2
II этап (2-2,5 года) Ортодонтическое лечение на брекет-системе:
1. Консультация стоматолога-терапевта. Санация полости рта.
2. Консультация стоматолога-ортопеда. Фиксация временных окклюзионных накладок.
3. Консультация стоматолога-хирурга. Удаление 4.7.
4.
5.
6.
7.
8.
Фиксация временных окклюзионных накладок на 1.6, 2.6.
Фиксация брекет-системы на верхнюю челюсть. Через 1 месяц на нижнюю челюсть.
Нивелирование зубных рядов. Сепарация на фронтального отдела на нижней и верхней челюсти.
Изгиб Анти-Шпее на верхней и нижней челюсти для исправления наклона плоскости.
Установка 2 МИ для инструзии 1.6; 1 МИ в 1 сегмент для дисталлизации зубного ряда, чтобы улучшить
класс справа.
9. Раскрытие места под имплантат 4.6. Мезиализация 4.8 на место 4.7.
10. Этап детализации.
11. Установка имплантата за 3 месяца до снятия брекет-системы.
12. Снятие брекет-системы с верхней и нижней челюсти. Установка ретейнеров.
13. Фиксация коронки на имплантат 4.6. Изготовление съемного ретейнера в виде капы.
Проведение профессиональной гигиены полости рта 1 раз в 3-4 месяца на протяжении всего периода
ортодонтического лечения. Проведение рентгенологического обследования (КЛКТ, ТРГ) по необходимости.
info@my-ort.ru
my-ort.ru
my_ort.ru

24.

ПЛАН ЛЕЧЕНИЯ 3
II этап (2 года) Ортодонтическое лечение на брекет-системе:
1. Консультация стоматолога-терапевта. Санация полости рта.
2. Консультация стоматолога-ортопеда. Фиксация временных окклюзионных накладок.
3. Консультация стоматолога-хирурга. Удаление 4.7, 4.8.
4.
5.
6.
7.
8.
Фиксация временных окклюзионных накладок на 1.6, 2.6.
Фиксация брекет-системы на верхнюю челюсть. Через 1 месяц на нижнюю челюсть.
Нивелирование зубных рядов. Сепарация на фронтального отдела на нижней и верхней челюсти.
Изгиб Анти-Шпее на верхней и нижней челюсти для исправления наклона плоскости.
Установка 2 МИ для инструзии 1.6; 1 МИ в 1 сегмент для дисталлизации зубного ряда, чтобы улучшить
класс справа.
9. Этап детализации.
10. Установка имплантатов 4.6, 4.7 за 3 месяца до снятия брекет-системы.
11. Снятие брекет-системы с верхней и нижней челюсти. Установка ретейнеров.
12. Фиксация коронкок на имплантаты 4.6, 4.7.
13. Изготовление съемного ретейнера в виде капы.
Проведение профессиональной гигиены полости рта 1 раз в 3-4 месяца на протяжении всего периода
ортодонтического лечения. Проведение рентгенологического обследования (КЛКТ, ТРГ) по необходимости.
info@my-ort.ru
my-ort.ru
my_ort.ru

25. ВАЖНО ПОМНИТЬ

!
!
!
План лечения может быть изменен
в ходе лечения при возникновении
необходимости с разъяснением
пациенту.
Для достижения целей лечения
и соблюдения предполагаемого срока
лечения, необходимо посещать врача
регулярно в назначенные сроки,
должным образом выполнять
рекомендации врача, поддерживать
высокий уровень гигиены полости
рта.
Сроки лечения, указанные в плане,
являются ориентировочными.
English     Русский Rules