3.16M
Category: medicinemedicine

Туберкулез и сахарный диабет

1.

Туберкулез и сахарный диабет
Сидоров Сергей Сергеевич,
19гр.леч.фак, 6 курс

2.

Эпидемиология
Считается, что больные сахарным диабетом заболевают туберкулезом легких в 2-6 раза чаще, чем люди,
не страдающие диабетом. При этом риск развития туберкулезного процесса у мужчин в 3 раза выше, чем у
женщин. Наибольшая вероятность возникновения туберкулеза легких у больных, страдающих тяжелыми
формами сахарного диабета – инсулинзависимый тип, декомпенсированное течение, а также диабет,
сопровождающийся сосудистыми осложнениями. В связи с резким снижением иммунитета вызванного
нарушением функции эндокринной системы, туберкулезный процесс при сахарном диабете, как правило,
характеризуется неуклонно прогрессирующим течением и скудно выраженной симптоматикой по
сравнению с больными, страдающими такой же формой туберкулезного процесса и не имеющих
сахарного диабета. В свою очередь туберкулез легких также является серьезным заболеванием, которое
может сильно отягощать течение сахарного диабета. Размножение возбудителя туберкулеза в организме
больного сахарным диабетом приводит к еще большему нарушению функции поджелудочной железы и
возникновению прогрессирования и утяжеления течения диабета. То есть получается «замкнутый круг»,
так как одно заболевание влияет на течение другого.
• В мире 422 млн. больных СД, из них 10% - больные
СД 1 типа, 90% - больные СД 2 типа
• Каждые 15 лет количество больных СД удваивается
• В РФ 4,3 млн. больных СД (3% населения), при этом
диагностируется лишь 50% случаев СД 2 типа
• Распространенность СД в Европе и Америке 5 –6%

3.

Сочетание туберкулеза и СД
-Больные СД 2 типа заболевают туберкулезом в 2 – 6 раз чаще
-Больные СД 1 типа заболевают туберкулезом до 15 раз чаще
-При СД 1 типа преобладают мужчины в возрасте 20-39 лет
-При СД 2 типа преобладают женщины в возрасте 40-59 лет
-СД 1 типа почти всегда предшествует туберкулезу
-СД 2 типа предшествует туберкулезу в 50% случаев, выявляется
одновременно с туберкулезом в 20% случаев и развивается после
туберкулеза в 30% случаев

4.

Сочетание туберкулеза и СД(2)
-При СД 1 типа чаще диагностируется деструктивный
инфильтративный и диссеминированный туберкулез, часто
поражаются нижние доли. Характерно острое начало и
выраженная интоксикация.
-При СД 2 типа чаще диагностируется очаговый туберкулез,
туберкуломы и фиброзно-кавернозный туберкулез.
Симптоматика не выражена.
-При обоих типах СД чаще встречаются замедление
репаративных процессов и побочные эффекты от приема ПТП

5.

Туберкулёз и сахарный диабет
-Заболевают туберкулезом легких в 5—10 раз чаще, чем не
болеющие им.
-Возникновению и тяжелому течению туберкулеза легких
способствуют изменения, обусловленные сахарным диабетом:
снижение фагоцитарной активности лейкоцитов, ацидоз тканей,
нарушение углеводного, жирового,
белкового и минерального обмена, изменения реактивности
организма.
• Латентный СД - проявляется при заболевании туберкулёзом

6.

Патогенез и патологическая
анатомия
Реактивация инфекции
Последствия СД
Отягощение течения СД
Экссудативные формы
Склонность к распаду и бронхогенному
обсеменению
● Длительно существующие очаги
распада

7.

Клиническая картина
1.Неспецифика симптомов (слабость, снижение
аппетита, потливость, субфебрильная температура)
2.Утяжеления течения СД (повышается
потребность в инсулине)

8.

Диагностика
1.При очаговом туберкулёзе и туберкулёме не выявляются физикальные изменения
2.При распространенных процессах- укорочение перкуторного звука, влажные хрипы
3.Бактериовыделение: зависит от наличия полости распада
4.Чувствительность к туберкулину: снижена
5.Гемограмма и СОЭ: лейкоцитоз умеренный, лимфопения, моноцитоз, палочкоядерный
сдвиг, повышение СОЭ

9.

• ОАМ: норма или глюкоза
• Рентгенологическое обследование грудной клетки в двух
проекциях
• Бактериоскопическое исследование: КУМ 3 кратно (ЛЮМ)
• ПЦР
• Бактериологическое исследование: посев на твёрдые и жидкие
среды
• МСКТ
• ФБС

10.

Лечение
-Начальный этап химиотерапии вновь выявленного больного с сочетанием туберкулёза и сахарного диабета
должен проходить в условиях стационара.
-Срок лечения надо увеличить до 12 месяцев и более.
-Необходимо тщательно наблюдать за возможными признаками диабетической ангиопатии
-При диабетической ретинопатии с особенной осторожностью применяют этамбутол.
-Диабетическая нефропатия ограничивает применение аминогликозидов.
-Полиневропатия, затрудняет терапию изониазидом и циклосерином.
-При развитии кетоацидоза противопоказано применение рифампицина.
-При активности туберкулёзного процесса, обширности инфильтративных изменений в лёгких,
экссудативном плеврите необходимо применение кортикостероидных гормонов в комплексном лечении

11.

Особенности лечения туберкулеза в
сочетании с СД
Проводится совместно врачом фтизиатром и эндокринологом.
Перевод на инсулины короткого действия с целью полной компенсации углеводного обмена. Лечение
осложнений СД Начало лечения со стандартных РХТ с учетом спектра ЛУ, при необходимости переход на
индивидуальную схему.
С осторожностью назначаются:
- этамбутол (обязательна консультация окулиста)
- протионамид, этионамид (усиливают гипогликемию)
-изониазид, рифампицин (усиливают гипергликемию, нейротоксическое
и нефротоксическое действие)
- аминогликозиды (нефротоксическое действие)

12.

Клинический случай
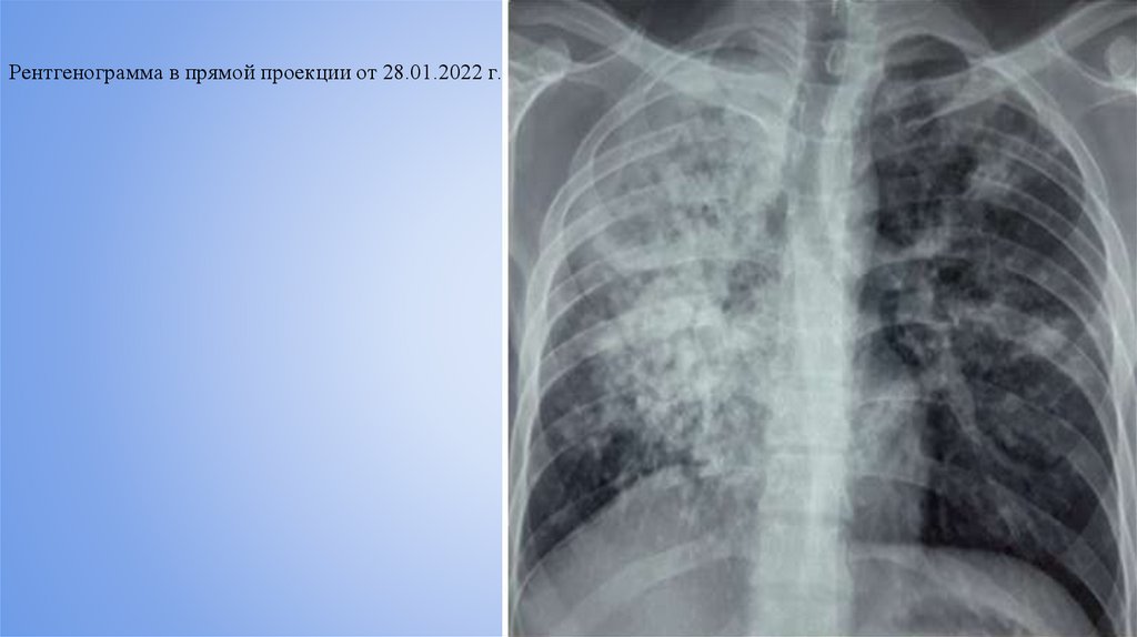
Пациент Е., 31 год, 29.01.2022г. по 10.05.2022 г. находился на стационарном лечении в ЛТО-3 с
клиническим диагнозом: Инфильтративный туберкулез легких в фазе распада и обсеменения МБТ (+). НС.
ЛЧ форма. Сахарный диабет 2 типа, тяжелое течение, ИПП декомпенсация обменных процессов. Находился
в отделении 101 койко-день. Жалобы при поступлении: на кашель со слизистой мокротой, одышку,
потливость, общую слабость, быструю утомляемость, потерю в весе 20 кг. Анамнез болезни: ранее
туберкулезом легких не болел. Тубконтакт отрицает. Данное ухудшение состояния отмечает в течение
последних 2 месяцев. Начал терять в весе, появились кашель и рвота с кровью, повысилась температура тела
до 37,5 С. Обратился к терапевту по месту жительства. Проведена ЭФГДС. Заключение: эрозивный гастрит.
28.01.2021 г. бригадой скорой помощи доставлен в ГКБ №7. При дообследовании на КТ ОГК впервые
выявлены изменения, характерные для инфильтративного туберкулеза легких с распадом. Анализ мокроты
от 28.01.2022 г. на МБТ 2+, GeneXpert ТБ+, Rif чувствительный. Госпитализирован в ЛТО-3 ННЦФ РК.

13.

Анамнез жизни: рос и развивался соответственно возрасту. Вирусный гепатит, кожно-венерологические
заболевания отрицает. Операций, травм не было. С 2019 г. состоит на ДУ у эндокринолога по поводу
сахарного диабета 2-тип. Принимает Новорапид 8ЕД х 3 раза в день, Левемир 9 ед х 2 раза в день.
Материально-бытовые условия удовлетворительные. Проживает в частном доме с родителями и братом.
Холост. Образование среднее. Работает – учетчиком в ТОО «Жер МК». Вредных привычек нет.
Наследственность и аллергоанамнез не отягощены. Эпидемиологический анамнез: В момент поступле ния
контакта с больными COVID-19 не было, за пределы города и за границу не выезжал. ПЦР на COVID-19 от
29.01.2022 г – отрицательный результат. Объективный статус: Рост - 162 см, вес - 62 кг. Температура тела 37,2°С

14.

Рентгенограмма в прямой проекции от 28.01.2022 г.

15.

Пациенту назначено: Диета 9. Режим: 2б – палатный. Химиотерапия в режиме лечения ЛЧ-ТБ - 4HRZE/7HR,
в интенсивную фазу в течение 4 месяцев: рифампицин +изониазид (H+R) 900 мг, этамбутол (E) 1200 мг,
пиразинамид (Z) 2000 мг. Переносимость противотуберкулезных препаратов была удовлетворительной.
Получено 90 доз ПТП. Наряду с этиотропным лечением, проведена сахароснижающая, патогенетическая и
симптоматическая терапия.
В результате проведенного лечения у пациента наблюдалась положительная клинико-рентгенологическая
динамика. Жалоб нет. Устранены симптомы интоксикации, нормализовалась температура, прибавил весе 5
кг. В легких дыхание везикулярное, хрипов нет. Уровень глюкозы в крови нормализовался.
Рентгенологически в динамике - рассасывание инфильтрации и уплотнение очагов. Выписывается в
удовлетворительном состоянии для продолжения лечения по месту жительства

16.

Список литературы
1.Фтизиатрия : учебник / М. И. Перельман, И. В. Богадельникова. — 4-е изд., перераб. и доп. — М. : ГЭОТАРМедиа, 2013. — 448 с.
2.Пак Ф. П. Фтизиатрия. Справочник
3.Сайт-https://www.orgma.ru/files/news/СБОРНИК_тезисов_Диабет_2018
4.Г А. Смаилова, Г Л. Сагинтаева СЛУЧАЙ ЛЕЧЕНИЯ ПАЦИЕНТА С ТУБЕРКУЛЕЗОМ ЛЕГКИХ В
СОЧЕТАНИИ С САХАРНЫМ ДИАБЕТОМ // Актуальные проблемы теоретической и клинической медицины.
2022. №3.URL: https://cyberleninka.ru/article/n/sluchay-lecheniya-patsienta-s-tuberkulezom-legkih-v-sochetanii-ssaharnym-diabetom
5.Сахарный диабет как фактор риска развития туберкулеза: патофизиологические аспекты О.Г. Комиссарова,
Р.Ю. Абдуллаев, А.М. Михайловский Центральный научно-исследовательский институт туберкулеза, Москва,
Коллектив авторов, 2017 г.
6.Туберкулез и диабет: клинические особенности и эффективность лечения ТКБ № 3 им. Г.А. Захарьина
Собкин А.Л.

17.

Спасибо за внимание!
English     Русский Rules