7.87M
Category: medicinemedicine

Хронические бронхолегочные заболевания у детей

1.

ХРОНИЧЕСКИЕ
БРОНХОЛЕГОЧНЫЕ
ЗАБОЛЕВАНИЯ
У ДЕТЕЙ
2024-2025

2.

КЛАССИФИКАЦИЯ ХРОНИЧЕСКИХ ЗАБОЛЕВАНИЙ ЛЕГКИХ
У ДЕТЕЙ
1. Инфекционно-воспалительные заболевания – наиболее распространенные:
• различные варианты хронического бронхита (простой, слизисто-гнойный, смешанный,
неуточненный).
• ХОБЛ
• облитерирующий бронхиолит (морфологическим субстратом которого является
облитерация бронхиол и артериол легких, приводящая к нарушению легочного
кровотока и развитию эмфиземы легких),
• бронхоэктатическая болезнь.
2. Врожденные аномалии развития — у 8-10% больных с хроническими
воспалительными бронхолегочными поражениями – дисплазия трахеи, бронхов
(дефекты развития бронхиального хряща, эластических и мышечных волокон) и легких;
аномалии развития трахеи, бронхов; аномалии крупных сосудов; диафрагмальная
грыжа.

3.

КЛАССИФИКАЦИЯ ХРОНИЧЕСКИХ ЗАБОЛЕВАНИЙ
ЛЕГКИХ У ДЕТЕЙ
3. Аллергические заболевания дыхательной системы – бронхиальная астма;
гиперчувствительный пневмонит (экзогенный аллергический альвеолит ), аллергический
бронхолегочный аспергиллез.
4. Наследственные заболевания – 5-6% госпитализированных в пульмонологическое отделение:
- наследственные заболевания собственно легких:
легочный альвеолярный протеиноз, первичная легочная гипертензия, гемосидероз легких,
альвеолярный микролитиаз, синдром Хаммана-Рича, спонтанный (семейный) пневмоторакс;
- поражения легких при других наследственных заболеваниях.
5. Интерстициальные заболевания легких
6. Хронические бронхолегочные заболевания, возникшие в перинатальном периоде
бронхолегочная дисплазия – БЛД

4.

ОСНОВНЫЕ СИНДРОМЫ ПОРАЖЕНИЯ ОРГАНОВ
ДЫХАНИЯ ПРИ ХРОНИЧЕСКИХ ЗАБОЛЕВАНИЯХ ЛЕГКИХ
У ДЕТЕЙ
• 1. Интоксикационный: бледность, лихорадка, снижение аппетита,
вялость, утомляемость.
• 2. Дыхательная недостаточность: кашель, одышка, физические
изменения в легких местного характера, сохранение аускультативных
изменений в легких и явлений дыхательной недостаточности в стадии
ремиссии. Признаки хронической гипоксии: цианоз, деформация
дистальных фаланг, ногтей в виде «барабанных палочек» и «часовых
стекол», отставание в физическом и половом развитии.

5.

ПРИЗНАКИ ХРОНИЧЕСКОГО ЗАБОЛЕВАНИЯ ЛЕГКИХ У
ДЕТЕЙ
Общие симптомы
Стойкая лихорадка более 37,5oC
Отставание в росте
Остановка набора веса
Деформация грудной клетки
Ограничение физической активности
"Барабанные палочки"
Респираторные жалобы
Стойкое тахипноэ или одышка
Отек грудной клетки
Гнойное выделение мокроты при отсутствии
ОРВИ
Ночной кашель
Стойкие нарушения дыхательной функции,
гипоксия
Стойкие рентгеновские изменения грудной
клетки

6.

ХРОНИЧЕСКИЙ БРОНХИТ (ХБ)
• Хронический бронхит - заболевание бронхов, которое проявляется кашлем и
отделением мокроты на протяжении большинства дней в течение не менее 3
месяцев в году и не менее 2 последовательных лет, когда исключаются
другие известные бронхолегочные или сердечно-сосудистые заболевания,
сопровождающиеся хроническим продуктивным кашлем.
• Это длительно прогрессирующее хроническое воспалительное диффузное
широко распространенное поражение бронхов, локализующееся в слизистых
оболочках и более глубоких слоях стенки бронхов, с перестройкой
секреторного аппарата слизистой оболочки, развитием склеротических
изменений в глубоких слоях бронхиального дерева.

7.

ДИАГНОСТИЧЕСКИЕ КРИТЕРИИ ХРОНИЧЕСКОГО
БРОНХИТА
1) Продуктивный кашель не менее 3 месяцев в году в течение 2 лет и
более, если этот кашель не вызван другой причиной
2) Постоянные влажные хрипы смешанного калибра в легких в течение
нескольких месяцев
3) Наличие не менее 2-3 обострений в год в течение 2 лет
4) Рентгенография грудной клетки: усиление и деформация легочного
рисунка, нарушение структуры корней легких.
5) Исключение других хронических заболеваний легких, протекающих с
симптомами бронхита.

8.

СТАНДАРТИЗОВАННЫЙ ВОПРОСНИК
РЕСПИРАТОРНЫХ СИМПТОМОВ

9.

КЛАССИФИКАЦИЯ ХБ
Первичный хронический бронхит – первичный дефект местной
иммунной защиты, это диагноз исключения (муковисцидоз, первичная
цилиарная дискинезия, пороки развития легких и сердечно-сосудистой
системы, бронхолегочная дисплазия и др.). (Чаще у детей старше 7 лет, у
подростков 5-7% (как у взрослых)).
Вторичный хронический бронхит – осложнение врожденных пороков
развития легких и сердечно-сосудистой системы, иммунодефицита,
наследственных заболеваний легких, специфических инфекций
(туберкулез, микоз легких). (Одинаковая частота во всех возрастных группах.)

10.

ЭТИОЛОГИЯ
Заболевание полиэтиологическое:
• Аэрополютанты, в том числе табачный дым.
• Острая инфекция является причиной обострения ХБ (эпизод дыхательной декомпенсации) в 50-60%
случаев и во многом определяет дальнейшее течение и прогрессирование заболевания.
*Вирусы (РС, парагриппы типов 1 и 3, аденовирус, коронавирус);
*вирусно-микробные ассоциации (атипичные) (40-45%)
*Бактериальные (Hemophilus infl., Streptococcus, Moraxella catarralis) и их ассоциации (до 15%)
*Грибы рода Aspergillus
*простейшие.
1. Внебольничные: до 40-45% - пневмококки; 10-15% – гемофильная палочка; до 20-25% микоплазменная пневмония, до 7% - хламидийная пневмония.
2. Внутрибольничные – стафилококк, грамм - палочка.

11.

ФАКТОРЫ РИСКА ХБ
• затяжная
и сегментарная пневмония, подтвержденная
рентгенологически, позднее или неправильное лечение.
• Ранний возраст
• Множественная сопутствующая патология
• Аспирация инородных тел, пищи, желудочного содержимого
• Врожденные дефекты бронхолегочных структур
• Последствия кори и коклюшной пневмонии
• Особенности возбудителя и иммунный ответ организма
• Транзиторный иммунодефицит, временная цилиарная
дисфункция.

12.

ФАКТОРЫ РИСКА ХБ
• Генетический (дефицит α1-антитрипсина)
• воздействие частиц: -табачный дым - профессиональная пыль
(органическая и неорганическая),
• загрязнение воздуха в помещениях от отопления, приготовления пищи
с использованием биомассы в плохо проветриваемых помещениях.
Факторы прогрессирования заболевания: пол, возраст, инфекции
дыхательных путей, социально-экономический статус, гиперреактивность
бронхов, хронический бронхит.

13.

ОСНОВНЫЕ ПАТОГЕНЕТИЧЕСКИЕ МЕХАНИЗМЫ
• Воспаление слизистой оболочки вызывают различные раздражающие вещества в
сочетании с инфекцией. Указанные факторы вызывают повреждение в дыхательных
путях
воспаление (отёк слизистой оболочки и бронхоспазм).
• В результате повреждения слизистой оболочки снижается выработка секреторного IgA,
уменьшается содержание в слизи лизоцима и лактоферрина, что еще более усугубляет
воспаление.
• Постепенно развивается атрофия и метаплазия эпителия, гиперплазии и гиперфункции
бокаловидных клеток, бронхиальных желез, гиперсекреции слизи и изменении её
свойств . Катаральное воспаление сменяется катарально-гнойным, а затем гнойным.
Это приводит к нарушению эвакуаторной и снижению барьерной функций слизистой
оболочки бронхов.
• Распространение воспалительного процесса на дистальные отделы бронхиального
дерева нарушает выработку сурфактанта и снижает активность альвеолярных
макрофагов, которые осуществляют фагоцитоз бактерий и других чужеродных частиц.

14.

ОСНОВНЫЕ ПАТОГЕНЕТИЧЕСКИЕ МЕХАНИЗМЫ
МУКОСТАЗА И ЕГО КЛИНИЧЕСКОЕ ЗНАЧЕНИЕ

15.

ОСНОВНЫЕ ПАТОГЕНЕТИЧЕСКИЕ МЕХАНИЗМЫ
• Различные соотношения изменений слизистой оболочки, проявляющиеся в её
воспалении, обусловливают формирование той или иной клинической формы болезни.
• При катаральном бронхите преобладают поверхностные изменения структурнофункциональных свойств слизистой оболочки;
• при слизисто-гнойном (или гнойном) бронхите преобладают процессы инфекционного
воспаления.
• Возможен переход одной клинической формы бронхита в другую. Так, катаральный
бронхит, длительно протекая, может вследствие присоединения инфекции стать слизистогнойным и т. п.
• При вовлечении в процесс бронхов преимущественно крупного калибра (проксимальный
бронхит) нарушения бронхиальной проходимости не выражены.
• Поражение мелких бронхов и бронхов среднего калибра протекает часто с нарушением
бронхиальной проходимости, которое, как правило, бывает выражено при обострении ХБ.

16.

ПОРАЖЕНИЕ ЛЕГОЧНЫХ СТРУКТУР ПРОИСХОДИТ
В 4 ПОСЛЕДОВАТЕЛЬНЫХ ЭТАПА:
1. Угрожающая ситуация: при длительном воздействии на слизистые бронхов
факторов агрессии
• Утренний кашель (в результате гиперсекреции слизи или после физической
нагрузки в холодное и влажное время года) – Является сигналом начала II
стадии.

17.

II СТАДИЯ
• Кашель становится приступообразным, непродуктивным. Под
воздействием протеаз разрушаются лейкоциты в мокроте, и из них
высвобождаются внутриклеточные протеазы, основной из которых
является эластаза
• Аутолиз эластичного каркаса бронхов и альвеол
• Разрушение межальвеолярных перегородок (это является основанием
для возникновения эмфиземы → нарушения вентиляционноперфузионных отношений на уровне межальвеолярных перегородок).
Буллезные участки не способны к газообмену, что приводит к
уменьшению поверхности газообмена. Сосудистая сеть в этих областях
сокращается. Разрастание миофибробластов (гипертрофия гладкой
мускулатуры

18.

III СТАДИЯ – ПЕРИОД РАЗВИТИЯ КЛИНИЧЕСКОЙ
КАРТИНЫ.
• Дыхательная компенсация осуществляется за счет повышенной работы дыхательных
мышц
Повышенное энергопотребление дыхания.
• При увеличении продолжительности заболевания одышка становится более выраженной
и сопровождается постоянной усталостью дыхательных мышц
IV стадия - облигатных осложнений:
1) эмфизема
2) хроническая болезнь сердца, легких
3) легочная гипертензия
4) острая или хроническая дыхательная недостаточность
5) вторичная полицитемия
6) застойная сердечная недостаточность
7) пневмония
8) спонтанный пневмоторакс, пневмомедиастениум.

19.

В обструкции выделяют 2 компонента:
• обратимый (состоит из спазма гладкой мускулатуры, отека слизистой и
гиперсекреции слизи, снимаемых бронходилататорами)
• необратимый (формируется за счет эмфиземы и перибронхиального фиброза
– естественное следствие хронического воспаления и разрушения паренхимы
легкого).
Клиническая картина. Имеет значение объем, локализация, характер и
степень повреждения бронхов.
1) Кашель – в период ремиссии сухой или влажный, с незначительной
мокротой в виде плевков (преимущественно утром)
2) Мокрота – постоянно. В период ремиссии слизистая или слизисто-гнойная,
скудная. В период обострения – обильная слизисто-гнойнаяе или гнойная.

20.

21.

КЛИНИЧЕСКИЕ ФОРМЫ ХБ СОГЛАСНО МКБ:
• хронический бронхит простой (J41.0),
• слизисто-гнойный хронический бронхит (J41.1),
• смешанный простой и слизисто-гнойный хронический бронхит (J41.8),
• хронический бронхит, неуточненный (J42),
• хронический обструктивный бронхит (J44).
Клинические формы хронического бронхита
-Простой неосложненный хронический бронхит, протекающий с или без нарушения функции
слизистой оболочки мокроты и без нее.
-Гнойный хронический бронхит, протекающий с выделением гнойной мокроты постоянно или
в фазе обострения заболевания и без нарушений вентиляции.
-Обструктивный хронический бронхит, протекающий с выделением мокроты и стойкими
обструктивными нарушениями вентиляции.
-Гнойно-обструктивный хронический бронхит, возникающий с выделением гнойной мокроты и
стойкими обструктивными нарушениями вентиляции.
-Особые формы хронического бронхита: геморрагический и фибринозный.

22.

ОБОСТРЕНИЯ ХБ ХАРАКТЕРИЗУЮТСЯ:
1. усиление кашля
2. увеличение количества высвобождаемой мокроты
3. изменения характера мокроты (ее вязкость и гнойность – цитология
мокроты)
4. появление или усиление одышки (увеличение частоты дыхания на 20% по
сравнению со стабильным состоянием, сопровождающееся появлением или
усилением отдаленных хрипов, ощущением сдавливания в грудной клетке,
снижением толерантности к физической нагрузке)
5. усиление клинических проявлений бронхиальной обструкции
6. снижение показателей функции внешнего дыхания
7. декомпенсация сопутствующей патологии
8. лихорадка.

23.

ДИАГНОСТИКА ХБ
• Анамнез: ХБ можно предположить у каждого человека, у которого есть кашель, чрезмерная
выработка мокроты и/или одышка, при условии, что в анамнезе есть факторы риска развития
заболевания: курение и табачный дым, промышленная пыль и химические вещества, дым от
бытовых отопительных приборов и пары от приготовления пищи и т.д.
• Клиника: удлинение выдоха в дыхательном цикле, легочный звук с тимпаническим
оттенком, ослабленное везикулярное или жесткое дыхание, рассеянные сухие хрипы. (Только
наличие нескольких из вышеперечисленных).
• Функция внешнего дыхания. Снижение индекса Тиффно менее чем на 70% (даже
при ОФВ1 более чем на 80%) является основным, ранним признаком, на всех стадиях
заболевания.

24.

ИНСТРУМЕНТАЛЬНЫЕ МЕТОДЫ ДИАГНОСТИКИ
• Рентгенография органов грудной клетки. Конвергенция элементов легочного
рисунка в зоне поражения, повышение воздушности соседних сегментов, смещение срединной тени в сторону
поражения. Ателектаз представляет собой однородную тень с четкими границами Δ-формы. Уменьшение размеров
пораженных участков. Рентген грудной клетки показывает диффузные изменения легочного рисунка, его
укрепление, деформацию сетки, преимущественно в базальной и нижней частях, тяжесть корней и
отсутствие их структуры. Хронический бронхит у детей характеризуется стойкими эндобронхиальными
изменениями, преимущественно катарального или катарально-гнойного характера.
• Бронхография. Деформация просвета (втягивание или выпячивание) и расширение бронхов
цилиндрического типа с различной глубиной контраста («обрыв» бронхов любого порядка), искривление и
обнажение стволов бронхов, эмфизематозных участков, линейное затемнение — пневмофиброз. Бронхография
выявляет деформацию стенки бронхов в виде различной степени втягиваний и выпуклостей, неровных контуров бронхиальных
ветвей, их обнажения, обеднения мелких бронхиальных ветвей, фрагментов контрастного вещества (деформирующий
бронхит).
• Бронхоскопия. Местный или распространенный катаральный или гнойный эндобронхит, деформация
бронхов.
• КТ грудной клетки, в том числе с проведением виртуальной бронхографии
• Спирография

25.

26.

27.

ПРОГНОЗ
• В детском возрасте относительно благоприятен, так как отсутствует
прогрессирующее течение (не переходит на другие сегменты) при
адекватном лечении.
• Характер и объем деформаций бронхов не меняются.

28.

ЛЕЧЕНИЕ
• Принцип поэтапного увеличения объема медикаментозной терапии в
зависимости от тяжести заболевания.
1) Антибактериальная терапия (АТ) – при усилении одышки, увеличении
количества мокроты и ее гнойной природе: в течение 2-3 недель (ингибиторзащищенные аминопенициллины, макролиды, цефалоспорины). Основой АТ
является выделение патогенной микрофлоры из мокроты (106 в 1 мл) или
аспирата трахеи (104 в 1 мл). Значительный клинический эффект у этих
пациентов обеспечивается сочетанием парентерального пути введения
антибиотиков и эндобронхиальной реабилитации с введением антибиотиков
через бронхоскоп. В последние годы, помимо перорального и парентерального
введения антибиотиков, используется введение антибиотиков через
небулайзер.

29.

2) Улучшение дренажной функции бронхов (эвакуация мокроты!!!): постуральный дренаж (положение туловища по пораженному сегменту позиционное) + вибрационный массаж, ритмичное сжатие грудной
клетки + дыхательные гимнастика; дозированная ходьба, беговая
дорожка, бег, плавание, занятия в тренажерном зале, катание на лыжах,
коньках; туризм.
3) Муколитики (мукорегуляторные и мукокинетические) – Только при
наличии вязкой мокроты. Чрезмерное образование и повышение вязкости и адгезии
бронхиального секрета → бронхиальная обструкция вследствие накопления слизи в
дыхательных путях; когда перистальтическое движение мелких бронхов и «мерцание»
реснитчатого эпителия неспособно обеспечить адекватный дренаж → нарушение
вентиляции и дыхательной функции легких; и неизбежная инфекция → эндобронхиальное
и легочное воспаление) при ингаляциях, внутрь.

30.

31.

4) Бронходилатационная терапия (не оказывает прямого противовоспалительного
действия) – основа: - М-антихолинергические средства (в основном ипратропия бромид
(Атровент), тиотропия бромид (Спирива), Фломакс и др.)
• - β2-агонисты (Сальбутамол, Тербуталин, Фенотерол и пролонгированное действие:
Формотерол (12 мкг 2 раза в день), Оксис (4,5 - 9 мкг 2 раза в день), Салметерол)
• - теофиллин замедленного высвобождения (Теотард) - в случае недостаточной
эффективности кортикостероидов.
5) Противовоспалительная терапия – НПВС и, возможно, короткий курс системных ГКС
(до 5-7 дней). У пациентов с ОФВ1 менее 50% и рецидивирующими обострениями 3
раза и более в год в течение последних 3 лет – ИГКС (производные фликсотида,
будесонида), предпочтительно в виде фиксированных комбинаций с долгосрочными
β2-агонистами (будесонид/формотерол= 320 мкг/9 мкг 2 раза в сутки + бромид
тиотропия 18 мкг 1 раз в сутки). Эффективность ИГКС при ХОБЛ меньше, чем при БА: у
пациентов с ХОБЛ концентрация и активность ядерного фермента крайне снижены.
6) ЛФК и спелеотерапия – климат-соляные шахты и карстовые пещеры;

32.

Новые направления лечения
1. антагонисты медиаторов воспаления: - блокаторы адгезивных молекул,
• - NF-kb (транскрипционный фактор)
• - ингибиторы интерлейкина 10
• - ингибиторы фосфодиэстеразы 4
• - ингибитор киназы P38.
2. новые противовоспалительные препараты
3. ингибиторы протеазы
4. препараты, участвующие в восстановлении альвеол.
5. Препараты с антифибротической активностью: пирфенидон 2403 мг/сут. по 3
приема внутрь в течение 52 нед. и квинтеданиб по 150 мг 2 раза в сутки в
течение 52 недель.

33.

ПРОФИЛАКТИКА ОБОСТРЕНИЙ
• Для профилактики обострения – N-ацетилцистеин (Флуимуцил) в течение
длительного времени (антиоксидант).
• Санация хронических очагов инфекции.
• Перманентная О2-терапия при хронической дыхательной недостаточности.
Программы физической подготовки.
• Профилактика переохлаждений, острых респираторных инфекций.
• Обучение пациентов, программы по борьбе с курением, борьба с загрязнением
окружающей среды, вакцинация против пневмококков, гемофильной инфекции.

34.

ОБЛИТЕРИРУЮЩИЙ БРОНХИОЛИТ (J43).
• Облитерирующий бронхиолит – хроническое воспалительное заболевание мелких
дыхательных путей вирусного или иммунопатологического происхождения,
являющееся следствием острого облитерирующего бронхиолита, возникающего в
результате концентрического сужения или облитерации бронхиол и артериол одного
или нескольких отделов легких, что приводит к нарушению легочного
кровообращения и развитию эмфиземы.
• Облитерирующий бронхиолит может за крайне короткое время привести к
образованию эмфиземы у ребенка с прогрессирующей легочно-сердечной
недостаточностью.
• ЭТИОЛОГИЯ: вдыхание токсичных веществ, осложнение медикаментозной терапии,
заболевания соединительной ткани, трансплантация легких и сердца; перенесенная
инфекция – аденовирусная типов 3, 7, 21 типов; РС, у детей старшего возраста – корь,
коклюш, микоплазменная инфекция, легионеллёз, грипп А.

35.

36.

ОБЛИТЕРИРУЮЩИЙ БРОНХИОЛИТ
• Морфологической основой хронического бронхиолита является
выраженная инфильтрация эпителия бронхиол с развитием
перибронхиолярного фиброза, облитерации и концентрическим
сужением просвета мелких дыхательных путей.
• По данным эпидемиологических исследований, частота встречаемости
ОБ среди детского населения составляет 0,2–0,4%

37.

КЛИНИКА
• Клиника зависит от выраженности морфологических изменений в легких.
• Возраст менее 2 лет.
• Вначале развивается острый бронхиолит или вирусная пневмония, затем
процесс стихает на 1-2 нед. – 1-2 мес (уменьшение одышки, сохранение
мелкопузырчатых влажных хрипов, чаще с одной стороны). В последующем –
вторая волна с выраженной одышкой, требующей госпитализации. Реже
наблюдается легкое течение: одышка отсутствует, кашель редкий, локальные
влажные хрипы.
• частые рецидивы (более 5 в год), с возрастом рецидивы становятся реже.
• В двустороннем процессе – акцент второго тона над легочной артерией
(легочная гипертензия, морфофункциональные изменения правого
желудочка).

38.

ДИАГНОСТИКА
• КТ легких высокого разрешения – прямые признаки – утолщение стенки и сужение просвета
мелких бронхов («дерево в почках»), косвенные – мозаичность вентиляции («воздушные
ловушки» и неизмененные зоны вентиляции).
• Рентгенография органов грудной клетки – мозаичность легочного рисунка выявляется за счет
множественных участков повышенной прозрачности, истощения легочного рисунка и снижения
васкуляризации, признаков «воздушной ловушки». В «тотальном» варианте визуализируется
односторонняя полная сверхпрозрачность легкого с уменьшением его размеров.
• Сцинтиграфия выявляет признаки нарушения легочного кровотока.
• Исследование внешней дыхательной функции выявляет стойкие нарушения вентиляции с
преобладанием обструктивных изменений, значительное увеличение остаточного объема легких
при нормальном среднем значении общей емкости легких. Для всех больных характерны
гипоксемия и гиперкапния различной степени тяжести.
• Сцинтипневмография выявляет многократное снижение легочного кровотока.
• Бронхоскопия позволяет обнаружить характерный катаральный эндобронхит.
• Бронхография выявляет отсутствие заполнения дистальной трети бронхов контрастным веществом в
пораженном участке легкого. на уровне поколений 5-6-го порядка и ниже.

39.

40.

ЛЕЧЕНИЕ
(НА СЕГОДНЯШНИЙ ДЕНЬ ЭФФЕКТИВНОГО НЕТ)
1) Коррекция дыхательной недостаточности.
2) Антибиотикотерапия – при необходимости. Продолжительность 10-14
дней. В основном он направлен на Гемофилус и пневмококк.
3) Бронходилатационная терапия – в основном длительная
теофиллиновая терапия в течение 2-4 недель.
4) Лечение легочной гипертензии. Используются блокаторы кальциевых
каналов, α-адреноблокаторы и ингибиторы АПФ.
5) Глюкокортикостероиды по медленно-восстановительной схеме.
6) Муколитики, массаж, дыхательная гимнастика, профилактика ОРВИ.
7). Постуральный дренаж и гимнастика.
8). Бронхоскопическая инстилляция по показаниям.
9). Гепариновая терапия.
10). Физиотерапия.

41.

ОСНОВНЫЕ СХЕМЫ ЛЕЧЕНИЯ ОБ
• BAMA (Budesonide — будесонид, Azithromycin — азитромицин,
Montelukast — монтелукаст, Acetylcysteine — ацетилцистеин);
• FAM (Fluticasone — флутиказон, Azithromycin — азитромицин,
Montelukast — монтелукаст), этот вариант приводится для лечения
бронхиолита после трансплантации стволовых клеток).

42.

БРОНХОЭКТАТИЧЕСКАЯ БОЛЕЗНЬ
• Это группа врожденных и приобретенных заболеваний с прогрессирующим
поражением бронхов, для которых характерен инфекционно-воспалительный
хронический процесс, приводящий к стойкой деформации бронхов с их
патологическим расширением и нарушением дренажной функции, кровотока
и лимфообмена в результате разрушения стенки бронхов.
• Решающее значение имеют воспаление дыхательных путей и нарушение
проходимости бронхов из-за закупорки или обструкции бронхов. Важное
значение имеют ателектаз легочной ткани, паренхиматозный фиброз.
• Различают мешковидные, цилиндрические, варикозные, веретенообразные –
подобные, кисти – подобные, смешанные бронхоэктазы.

43.

44.

ДИАГНОСТИЧЕСКИЕ КРИТЕРИИ ББ
Жалобы:
• кашель с гнойной мокротой, возникающий с характерной регулярностью по утрам при
пробуждении и вечером при отходе ко сну.
Анамнез:
• повторные и рецидивирующие пневмонии с затяжным течением;
• боли в грудной клетке при дыхании;
• при обострении мокрота с гнилостным запахом, кровохарканье.
Физикальное обследование
• деформация грудной клетки (бочкообразная);
• признаки хронической гипоксии: ногти в форме «часовых стёкол», деформация пальцев в виде
«барабанных палочек»;
• при аускультации: односторонние крепитирующие хрипы в легких, характерна стабильная
локализация влажных хрипов;

45.

ДИАГНОСТИЧЕСКИЕ КРИТЕРИИ ББ
Лабораторные исследования:
• ОАК: лейкоцитоз, нейтрофилез, ускорение СОЭ при присоединении бактериальной
инфекции, снижение гемоглобина;
• Исследование мокроты: при бактериологическом исследовании выявляют
возбудителя заболевания (H.influenzae, Streptococcus pneumoniae, Staphylococcus aureus,
анаэробы, грибы).
Инструментальные исследования:
• Рентгенография грудной клетки в двух проекциях: рентгенологические признаки
хронического бронхита или пневмонии;
• Спирометрия: нарушение функции внешнего дыхания по рестриктивному типу;
• КТ органов грудной клетки: распространенные бронхоэктазы.

46.

47.

48.

49.

ЛЕЧЕНИЕ
• зависит от тяжести клинических проявлений заболевания, а также
локализации и распространенности пораженных участков. Антибактериальная
терапия проводится в острой фазе заболевания с учетом бактериологических
особенностей мокроты и чувствительности обнаруженных микроорганизмов.
Значительный клинический эффект обеспечивает бронхоскопическая
реабилитация с введением антибиотиков через бронхоскоп (Pentax, Lomo, Karl
Storz). Средства, действие которых направлено на снижение гиперсекреции
бронхов, улучшение дренажной функции бронхов и мукоцилиарного
клиренса, а также препараты, обладающие противовоспалительным и
бронходилататорным действием. Ингаляционные кортикостероиды
уменьшают инфильтрацию Т-клеток и IL-8-продуцирующих клеток в слизистой
оболочке бронхов. Мероприятия, направленные на очищение бронхов от
выделений (массаж, физиотерапия, постуральный дренаж), являются
важными элементами комплексной терапии. Показаниями к хирургическому
лечению в настоящее время ограниченные

50.

БРОНХОЛЕГОЧНАЯ ДИСПЛАЗИЯ (БЛД)
• является полиэтиологическим хроническим заболеванием морфологически
незрелых легких, которое развивается у новорожденных, в основном глубоко
недоношенных детей, в результате интенсивной терапии респираторного
дистресс-синдрома (РДС) и/или пневмонии. Это заболевание протекает при
преимущественном поражении бронхиол и паренхимы легких, развитием
эмфиземы, фиброза и/или нарушения репликации альвеол.
• БЛД проявляется кислородной зависимостью в возрасте 28 дней жизни и
старше, бронхообструктивным синдромом и симптомами дыхательной
недостаточности; характеризуется специфическими рентгеновскими
изменениями в первые месяцы жизни и регрессом клинических проявлений
по мере роста ребенка.
• Частота БЛД обратно пропорциональна гестационному возрасту и весу при
рождении. Так, у детей с массой тела при рождении 501-750 г БЛД
наблюдается у 35-67%, а у детей с массой тела 1251-1500 г при рождении
— в 1-3,6% случаев.

51.

52.

ПАТОГЕНЕЗ
• воздействие повреждающих раздражителей (баротравма, токсическое
действие кислорода, инфекция, гипоксия, ишемия-реперфузия, перегрузка
сосудистого русла объемным кровотоком);
• прямое локальное повреждение этими агентами, приводящее к разрушению
и гибели клеток;
• одновременные изменения морфологии легких: дыхательные пути с
метаплазией, воспалением и гипертрофией гладкой мускулатуры, снижением
капиллярного кровотока с развитием гиперчувствительности к гуморальным
раздражителям.
• У доношенных зрелых новорожденных факторами, предрасполагающими к
развитию БЛД, являются синдром аспирации мекония, сепсис,
внутрибольничная пневмония, стойкая легочная гипертензия, гипоплазия
легких, диафрагмальная грыжа, длительная ИВЛ, выполняемая в связи с
хирургическими вмешательствами.

53.

54.

СОГЛАСНО ПРИНЯТОЙ КЛАССИФИКАЦИИ, БЛД ДЕЛИТСЯ ПО ФОРМЕ, ТЯЖЕСТИ И
ПЕРИОДУ ЗАБОЛЕВАНИЯ (ОБОСТРЕНИЕ, РЕМИССИЯ).
• По форме различают БЛД: БЛД у недоношенных и доношенных новорожденных.
Классическая (старая) форма развивается у тех недоношенных детей, которые не
применяли сурфактантные препараты для профилактики нарушений дыхания и применяли
строгие режимы ИВЛ. На рентгенограмме грудной клетки при такой форме наблюдается отек
легких, фиброз, буллы.
• Новая (постсурфактантная) форма развивается у детей с гестационным возрастом менее
32 недель, которых лечили сурфактантными препаратами в профилактических целях, а
поддержка дыхания была щадящей. Рентгеновский снимок этой формы характеризуется
однородным потемнением легочной ткани без ее отечности.
• БЛД у детей, родившихся в срок, клинически и рентгенологически сходен с классической
формой этого заболевания.
• Наиболее значимым временем для постановки диагноза является 28 дней жизни (36 недель
постконцептуального возраста для детей, родившихся до 32 недель, или 56 дней жизни для
детей, родившихся после 32 недель беременности). Диагноз «БЛД» действителен как
самостоятельный только у детей в возрасте до 3 лет, в более старшем возрасте БЛД показан
только как заболевание, возникшее в анамнезе. В возрасте 28 дней жизни диагноз «БЛД»
установить не удается, в этих сроках действительны такие формулировки, как «формирование
БЛД» или «группа риска».

55.

56.

57.

58.

ЛЕЧЕНИЕ
Направление фармакологического воздействия при БЛД обусловлено наличием у пациентов
стойкого отека легких, гипертрофией гладкой мускулатуры бронхов и гиперреактивностью
бронхов, воспалительным процессом в легких, а также постоянным действием
повреждающих факторов и протеканием восстановительных процессов. Тактика раннего
инициирования CPAP и селективного введения сурфактанта. Искусственной вентиляции
легких (ИВЛ) можно избежать, используя технику InSurE (интубация-сурфактант-экстубация с
переводом на CPAP). Необходимым условием проведения кислородотерапии является
непрерывный контроль оксигенации пульсоксиметрией с первой минуты жизни. Бензоат –
натриевую соль кофеина. Терапию Дексаметазоном следует начинать не ранее 7-14 дней
жизни, в малых дозах и коротким курсом. Ингаляционные бронходилататоры
антихолинергические средства (ипратропия бромид). В течение длительного периода
назначения Будесонида (Пульмикорта) в качестве противовоспалительной контролирующей
(базисной) терапии детям с БЛД приводит к устранению тахипноэ и одышки в состоянии
покоя, снижению частоты обострений и госпитализаций БЛД в связи с ними, уменьшает
симптомы дыхательной недостаточности, изменяет течение заболевания в сторону
уменьшения выраженности; а также снижает уровень ферментов протеолиза, активных в
первой половине жизни у детей с БЛД.

59.

• Для пассивной иммунопрофилактики РС вирусной инфекции у детей с БЛД
используется Паливизумаб (Synagis) - это гуманизированное моноклональное
антитело IgG1, взаимодействующее с эпитопом А синтеза белкового антигена (белка
F) RS вируса. Белок F представляет собой поверхностный вирусный гликопротеин RS,
который хорошо сохраняется в различных штаммах вируса. Паливизумаб проявляет
выраженное нейтрализующее и ингибирующее действие на слияние белков РС
вирусных штаммов подтипов А и В.
• Силденафил. как метод терапии стойкой легочной гипертензии, рефрактерный к
стандартной терапии, особенно при отсутствии доступа для ингаляции NO и
экстракорпоральной мембранной оксигенации. Рекомендуемые дозы 0,3-1,0 мг/кг
каждые 6-12 часов.
• Ребенка с БЛД можно выписать домой под амбулаторным наблюдением при
условии, что ему не нужен дополнительный кислород, при этом SatO2 выше 90% при
дыхании атмосферным воздухом, рентгенографическая картина в легких стабильна в
динамике, наблюдается самостоятельное сосание и положительная динамика массы
тела, отсутствуют клинические и лабораторные признаки инфекции.

60.

ПОЛНАЯ КЛИНИЧЕСКАЯ КЛАССИФИКАЦИЯ
ПОРОКОВ РАЗВИТИЯ ЛЕГКИХ
Пороки, связанные с недоразвитием
органа в целом или его
анатомических, структурных,
тканевых элементов:
1.Агенезия легкого.
2.Аплазия легкого.
3.Гипоплазия легкого простая.
4.Гипоплазия
легкого
кистозная (поликистоз).
5.Трахеобронхомегалия
(синдром
Мунье-Куна).
6.Синдром Вильямса— Кэмпбелла.
7.Врожденная долевая эмфизема.
8.Врожденная
односторонняя
эмфизема (синдром Маклеода).

61.

ТРАХЕОБРОНХОМЕГАЛИЯ (СИНДРОМ МУНЬЕ-КУНА)
• резко выраженное врожденное расширение трахеи и крупных
бронхов.
• Обзорная (передне-задняя) рентгенограмма показывает увеличенную трахею (прямые стрелки) и
увеличенные бронхи (изогнутые стрелки)

62.

Трахеобронхомегалия. На компьютерной томографии выявляются
расширения бронхов и бронхоэктазы в легких
При трахеобронхоскопии обнаруживаются необычно широкий просвет трахеи и крупных бронхов, атрофия
их слизистой оболочки, бухтообразные западения между хрящами, создающие картину выраженной
ребристости. Отмечаются гипотоническая дискинезия резко растянутой и истонченной мембранозной стенки
трахеи и полное или почти полное спадение просвета последней в переднезаднем направлении во время
кашля. В сегментарных бронхах преимущественно нижних отделов легких выявляется картина гнойного
эндобронхита. С помощью бронхографии можно точно установить размер и распространение расширения.
Просвет трахеи может быть расширен вдвое. Изменения могут распространяться вплоть до сегментарных
бронхов. Контуры стенок трахеи вначале имеют вид «зубцов пилы», часто возникает дивертикул.
Лечение. Заключается в рациональном трудоустройстве, предупреждении обострений бронхолегочной
инфекции, купировании ее с помощью антибактериальных средств, ингаляционной терапии,
бронхоскопических санаций.
Прогноз. Неблагоприятен. Некоторые больные доживают до 50 лет и до более старшего возраста.

63.

ПОРОКИ, СВЯЗАННЫЕ С НАЛИЧИЕМ
ИЗБЫТОЧНЫХ ФОРМИРОВАНИЙ
• Гамартома легкого представляет собой дизэмбриональное опухолевидное образование,
состоящее из элементов бронхиальной стенки и легочной паренхимы.
Гамартомы представляют собой одиночные, редко множественные, округлые
образования диаметром от 0,5 до 5 см, не склонные к прогрессирующему росту. Частота
гамартом среди хронических неспецифических заболеваний легких составляет 0,250,4%.
• Морфология. В гамартоме преобладает хрящевая ткань, в связи с чем возникло
название «хондрогамартома, или гамартохондрома». В хрящевой ткани могут быть очаги
обызвествления. Реже встречаются гамартомы, которые содержат элементы других
тканей, имеющихся в легком, например, жировой (липогамартомы, липогамартохондромы), фиброзной (фиброгамартомы, фиброгамартохондромы) и т. д.
• Гамартома располагается в толще легочной паренхимы, ближе к висцеральной плевре, и
не оказывает какого-либо влияния на функцию легких. Редко локализуется на
внутренней поверхности бронхов и может вызывать локальное нарушение бронхиальной
проходимости (привести к гиповентиляции и ателектазу с последующим развитием
обтурационной пневмонии и клиническими проявлениями рецидивирующего
инфекционного процесса дистальнее места обтурации).

64.

• Клинические проявления. В основном гамартомы протекают бессимптомно и лишь
случайно обнаруживаются в виде небольшой округлой тени на выполненных по иному
поводу рентгенограммах (флюорограммах) легкого.
• Дифференациальная диагностика гамартом обычно проводится с
периферическими новообразованиями и туберкулемами, а при эндобронхиальных
гамартомах — и с центральной опухолью легкого.
• Рентгенологическая картина. Основным признаком периферической гамартомы
является четко очерченная, небольших размеров, круглая периферическая тень, нередко
с мелкими очагами обызвествления, имеющими большое дифференциальнодиагностическое значение. При повторных исследованиях картина обычно стабильная.
Крайне редко встречающиеся эндобронхиальные гамартомы могут давать картину
сегментарного, реже долевого, ателектаза, причину которого уточняют с помощью
бронхофиброскопии и эндобронхиальной биопсии.
• Лечение. Не имеющие тенденции к росту периферические гамартомы не требуют
хирургического или какого-либо иного лечения. В тех случаях, когда периферическая
тень является подозрительной на периферический рак или туберкулему, показана
операция. При торакотомии гамартома легко вылущивается из легочной ткани. При
эндобронхиальных гамартомах показана деструкция через бронхоскоп с использованием
высокоэнергетических лазеров.

65.

Трахеальный бронх
• Трахеальный бронх представляет собой аномалию
ветвления бронхиального дерева, при которой от латеральной стенки
трахеи выше ее бифуркации, обычно справа, отходит бронхиальная ветвь
большего или меньшего калибра.
В большинстве случаев этот бронх является сегментарным и представляет
собой бронх I сегмента, «соскользнувший» на трахею, или же бронх,
аэрирующий дополнительный сегмент (субсегмент) верхней доли.
Значительно реже на трахею «соскальзывает» весь верхнедолевой бронх. В
таких случаях бифуркация представляет собой деление трахеи на левый
главный и правый промежуточный бронх, аэрирующий среднюю и нижнюю
доли. Еще реже трахеальный бронх относится к дополнительному
недоразвитому легкому, не выполняющему газообменной функции и
васкуляризируемому сосудами большого круга кровообращения, что можно
считать вариантом в недолевой секвестраций.
Частота обнаружения колеблется от 0,1 до 0,44%.
• Клинические проявления. Трахеальный бронх не дает патологических
проявлений и обнаруживается случайно во время операции на легком,
производимой по другому поводу, или же при патологоанатомическом
исследовании. При обычном рентгенологическом исследовании выявить его
обычно не удается.
• Диагноз устанавливается во время бронхоскопии, осуществляемой по
различным показаниям, и в дальнейшем уточняется путем
селективнойбронхографии.

66.

67.

68.

НАСЛЕДСТВЕННЫЕ ЗАБОЛЕВАНИЯ ЛЕГКИХ
• Генетически обусловленные заболевания легких выявляются у 4-5%
детей с рецидивирующими и хроническими заболеваниями
дыхательной системы. Принято различать моногенно наследуемые
заболевания легких и поражения легких, сопровождающие другие
виды наследственной патологии (муковисцидоз, первичный
иммунодефицит, наследственные заболевания соединительной ткани и
др.)

69.

СИНДРОМ ЦИЛИАРНОЙ ДИСКИНЕЗИИ
(СИНДРОМ КАРТАГЕНЕРА)
• Первичная цилиарная дискинезия (ПЦД) – наследственное заболевание с преимущественно
аутосомно-рецессивным типом наследования, развитие которого основано на нарушениях
двигательной активности ресничек дыхательных путей из-за врожденных дефектов их структуры.
Молекулярно-генетические исследования установили ряд локусов, которые контролируют развитие
ПЦД. ПЦД встречается с частотой 1:15 000-1:30 000 новорожденных. Примерно у 50% пациентов с
ПЦД наблюдается обратное расположение внутренних органов. Частота синдрома Картагенера
составляет около 1:50 000, который включает в себя:
• -хронические бронхоэктазы;
• -обратное положение легких;
• -гипоплазия (недоразвитие) пазух носа или синусит.
• Синдром обратного положения легких сочетается с декстракардией (правостороннее расположение
сердца), а иногда даже с обратным положением внутренних органов (situs viscerus inversus totalis).

70.

71.

• Дефекты ресничек, которые мешают их нормальному движению, приводят у больных
с синдромом Картагенера к нарушениям мукоцилиарного клиренса. Нарушение
механизма самоочищения бронхов приводит к хроническим бронхолегочным
процессам, ринитам и синуситам. Хотя у некоторых пациентов наблюдаются
подвижные реснички, однако в этих случаях были выявлены либо асинхронность,
либо ускоренные колебания ресничек, но такие движения неэффективны и не
обеспечивают нормального мукоцилиарного транспорта, что впоследствии было
названо синдромом дисфункции ресничек. С первых месяцев жизни ребенка
развиваются частые респираторные заболевания, пневмония, рецидивирующий
бронхит. Характеризуется ранним развитием хронического бронхита, пневмонии с
последующей трансформацией в бронхоэктазы и симптомами бронхоэктатической
болезни: • * симптомы интоксикации (головная боль, головокружение, рвота, тошнота,
потливость); * отставание в физическом развитии; * кашель с гнойной мокротой; *
деформации терминальных фаланг вследствие развивающейся гипоксии дистальных
конечностей, приводящей к разрастанию соединительной ткани между ногтевой
пластиной и костной фалангой; * деформации ногтей пальцев в виде «часовых
стекол».

72.

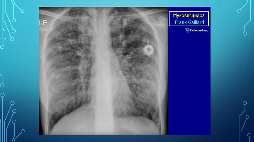
МУКОВИСЦИДОЗ (ЛАТ. - "ЛИПКИЙ ПОТ, СЛИЗЬ) (CF)
• Наследственное моногенное аутосомно-рецессивное заболевание, вызванное
мутацией гена трансмембранного регулятора проводимости муковисцидоза
(СFTСR), характеризуется генерализованной экзокринопатией (поражение
желез внешней секреции жизненно важных органов) и имеет тяжелое
течение и прогноз. Только треть пациентов доживает до 18 лет. Количество
пациентов старше 18 лет – 20%. Средняя продолжительность жизни
пациентов, родившихся в 1990-е годы, должна превышать 40 лет, а в 20072008 годах – 50 лет. Частота КФ -1:2000-2500-3000 новорожденных в России.
В РФ зарегистрировано более 1,8 тыс. случаев, но реальное число составляет
13-15 тыс. В черном африканском, японском и полинезийском населении
Гавайев его частота составляет 1 к 90-100 000. Больше в США и Западной
Европе. Частота гетерозиготных носителей составляет 5% населения (275 млн
человек). Число диагностированных пациентов в развитых странах составляет
7-8 на 100 000 населения.

73.

ПАТОГЕНЕЗ МУКОВИСЦИДОЗА
• Ген CFTCR расположен в середине длинного плеча хромосомы
7 (7q31) Наиболее частая мутация в гене F 508 (70% случаев)
– отсутствие (делеция) 3 пар нуклеотидов в положении 508,
кодирующих молекулу фенилаланина. Кроме того, известно до
1000 мутаций (миссенс, бред, нарушение сплайсинга,
считывание кадров, удаления). Ген кодирует синтез белка,
который является проводником для хлора и ионов воды в
клетках протоков экзокринных желез. Экспрессия гена в
основном ограничивается эпителиальными клетками
поджелудочной железы, слюнных желез, потовых желез,
бронхов, кишечника, секретирующих клетки печени,
отвечающие за билиарную функцию, яички (обструктивная
азооспермия). В результате изменяется соотношение белковоуглеводных фракций в секрете экзокринных желез, снижается
активность ферментов, нарушается резорбция электролитов
(особенно в выводных протоках потовых желез), в
поджелудочной железе не образуется необходимое
количество пищеварительных ферментов. Вязкий, липкий
секрет закупоривает протоки желез, что приводит к их
расширению и образованию кист, которые впоследствии могут
инфицироваться

74.

75.

76.

77.

78.

Клиническая классификация муковисцидоза
• 1. Мекониальная илеус новорожденных- симптомы кишечной непроходимости в период
новорожденности
• 2. Бронхолегочная форма – 15-20%, определяет тяжесть течения и прогноз. Изменения в
бронхах начинаются после 5-7 недель жизни и характеризуются рецидивирующим
бронхитом и пневмонией с последующим развитием диффузного пневмосклероза и
бронхоэктазов. Изменяется грудная клетка (в состоянии «постоянного вдоха»).
Формируется легочное сердце. "Барабанные палочки". Может осложняться плевритом,
пневмотораксом, кровохарканьем. Бронхиальный обструктивный синдром. Кожа сухая,
серовато-земляная. Кашель сухой, навязчивый, с металлическим оттенком. Усиливается в
ночное время. Мокрота плохо отделяется. Хронические бактериальные инфекции
придаточных пазух носа. Она убивает до 90-95% детей.
• 3. Кишечная форма связана с экзокринной недостаточностью поджелудочной железы.
Гнилостные процессы – зловонный запах, обилие газов, иногда «овечьи» фекалии, запор
плохо поддается лечению. Стул обильный, с большим количеством нейтрального жира
(стеаторея) и непереваренных мышечных волокон, крахмала. Не смывается с подгузников.
• 4. Смешанная форма составляет 75-80%.

79.

КРИТЕРИИ ДИАГНОСТИКИ МУКОВИСЦИДОЗА
• Клинически: Влажный, навязчивый кашель с вязкой слизистой или
гнойной мокротой, одышка, смешанные влажные и сухие хрипы в
легких, прогрессирующая непроходимость дыхательных путей с
формированием хронического бронхита; хронический синусит,
нарушение процессов пищеварения и всасывания в кишечнике. По
мере прогрессирования заболевания: задержка физического развития,
деформация грудной клетки и дистальных фаланг пальцев рук (в виде
«голеней»), формирование легочно-сердечной недостаточности,
наличие муковисцидоза у братьев и сестер.

80.

81.

82.

ДИАГНОСТИКА
• 1) Неонатальный скрининг на муковисцидоз
• 2) Анамнез – случаи заболевания у родственников или братьев и сестер с раннего
возраста.
• 3) Типичная клиническая картина
• 4) Потовая проба – электрофорезом пилокарпина получают образец пота (не менее
100 мг). Содержание хлоридов обычно не превышает 60 ммоль/л.
• 5) Рентгенологические: деформация и усиление легочного рисунка,
перибронхиальная инфильтрация, бронхоэктазы, буллы, очаги пневмосклероза.
• 6) ДНК-диагностика – наиболее чувствительное и специфическое обнаружение
мутаций гена CFTR при молекулярно-генетическом исследовании.
• 7) Пренатальная ДНК-диагностика: исследование изоферментов кишечной щелочной
фосфатазы из околоплодных вод с 18-й – 20-й недели беременности.

83.

84.

БИОЧИП НА МУКОВИСЦИДОЗ

85.

КОМПЛЕКСНАЯ ТЕРАПИЯ
• Госпитализация в специализированные центры
• Постуральный дренаж, физио- и кинезитерапия, клопп-массаж, аутогенный дренаж,
техника выдоха, применение маски RER Flutter.
• Антимикробная терапия – сначала направлена на H. influenza и St. aureus, затем на
Pseudomonas aeruginosa. Обязательно – таблетки Ципробай, ципрофлоксацин в/в
(комбинации 2-3 АВ: фторхинолоны + цефалоспорины 3-4 поколения, карбапенемы или
левомицетин + цефтазидим). Препараты принимаются в дозах, рекомендованных при
инфекции Pseudomonas aeruginosa. Курсы 2-3 нед, применяют в/в и ингаляционные
формы антибиотиков (тобрамицин: Брамитоб 300 мг в 4 мл и Тоби 300 мг в 5 мл;
• Ингалятор Pari eFlow Rapid – сокращает время ингаляции вдвое), внутривенное введение
антибиотиков в домашних условиях. Колистимат натрия (Колистин) – из группы
полимиксинов, нет резистентности Pseudomonas aeruginosa к нему, применяется с
ципрофлоксацином через рот. Теперь его новая форма – с введением сухого порошкового
ингалятора (Colobreathe). Изучаются ингаляционные формы амикацина, ципрофлоксацина,
левофлоксацина.

86.

• 4) Муко- и бронходилататорная терапия: тиолами (N-ацетилцистеин); стимуляторы выработки сурфактантов (амброксол)
или физиологический раствор. Ингаляция гипертонического 7% раствора NaCl. Основа – Дорназа-альфа (Пулмозим) –
является единственным муколитиком, который действует на все 3 звена порочного круга муковисцидоза: обструкцию,
инфекцию, воспаление. Его следует назначать сразу после постановки диагноза. Агонисты β2 короткого и длительного
действия являются стандартным компонентом основного лечения муковисцидоза. У взрослых лучше тиотропия бромид
(Спирива).
• 5) Питательная поддержка, витаминотерапия: жирорастворимые витамины (А, D, Е, К и бета-каротин) следует
ежедневно добавлять в пищу всем пациентам с панкреатической недостаточностью. Если функция поджелудочной
железы сохраняется, то дополнительно только вит. Е. Дополнительное введение электролитов (натрия хлорида, калия). У
детей до 2 лет может развиться псевдобарттер (солоутерная форма муковисцидоза) – резкое снижение электролитов и
метаболический алкалоз.
• 6) Ферментотерапия современными препаратами поджелудочной железы с высокой липазной активностью - креон,
панцитрат, ультраза. Доза подбирается индивидуально – нормализация частоты и характера стула. Это позволяет
рекомендовать пациентам высококалорийную диету с физиологической нормой жира.
• 7) Лечение гепатобилиарных нарушений – урсодезоксихолевой кислоты (Урсофальк) – в качестве базисной терапии на
протяжении многих лет.
• 8) Генная инженерия (пациенты реагируют на введенные векторы) – используются препараты, корректирующие
дефектный белок хлорного канала.

87.

ИНТЕРСТИЦИАЛЬНЫЕ ЗАБОЛЕВАНИЯ ЛЕГКИХ
• Это диссеминированные интерстициальные поражения легких, исходом
которых является диффузный пневмосклероз и легочно-сердечная
недостаточность. Клинические особенности связаны с рестриктивным
характером изменений, резким прогрессирующим снижением емкости
легких, диффузионной способностью легких, такими симптомами, как
одышка, тахипноэ, цианоз.
• I. Гиперсенситивный (гиперчувствительный) пневмонит (ранее, Экзогенный
аллергический альвеолит) – общее название группы аллергических
пневмопатий, возникающих в результате аллергической реакции легочной
ткани на интенсивное и длительное вдыхание органических
водорастворимых антигенов. Иммунологически опосредованный ответ
альвеол и периферических бронхиол на чужеродные частицы, вдыхаемые
воздухом. Как правило, это частицы птичьих белков и споры грибов, которые
достаточно малы, чтобы накапливаться в альвеолах.

88.

ЭТИОПАТОГЕНЕЗ ГИПЕРСЕНСИТИВНОГО
(ГИПЕРЧУВСТВИТЕЛЬНОГО) ПНЕВМОНИТА
1)
Термофильные актиномицеты (бактерии менее 1 мкм со свойствами грибов) и продукты их
жизнедеятельности распространены в почве, воде, кондиционерах, обогревателях – «фермерских
легких» (на 1 случай фермерского легкого известно 17 случаев профессиональной бронхиальной
астмы).
2)
птичьи антигены, особенно голуби (5% голубеводов), канарейки, волнистые попугайчики (1-2%
держателей); пыльца растений; клещи домашней пыли. Около 1 из 1000 человек имеют
зарегистрированное «легкое любителя птиц».
3)
Профессиональные вредности (пластмассы, красители, биологически активные вещества животного и
растительного происхождения, низкомолекулярные соединения (тяжелые металлы и их соли) и
некоторые лекарственные средства (нитрофураны, кромоны, антибиотики, антиметаболиты,
антимикотики, гормоны, ферменты и др.).
Воздействие аллергена вызывает аллергические реакции 3 и 4 типов. Реакция 3 типа развивается через
4-8 часов после контакта с аллергеном. Иммунные комплексы с IgG оседают в интерстиции альвеол,
продуцируют острое повреждение легочной ткани и высвобождение провоспалительных медиаторов ↓
Хемотаксис CD4 лимфоцитов (определяют гиперчувствительность) и CD8 (определяют цитотоксичность). ↓
Повреждение клеточного и матричного компонентов альвеол с образованием гранулем и активацией
фибробластов с синтезом коллагена в альвеолах и интерстициальной легочной ткани.

89.

90.

КЛИНИЧЕСКИЕ ФОРМЫ ЭКЗОГЕННОГО
АЛЛЕРГИЧЕСКОГО АЛЬВЕОЛИТА
• 1) Острая форма – через 6-8 часов после контакта с аллергеном в виде
гриппоподобного синдрома – лихорадка, озноб, миалгия, головная боль,
через несколько часов появляется тяжесть в груди, боли в суставах,
затрудненное дыхание, одышка. Тахикардия, инспираторные хрипы в легких.
Он разрешается через 1-3 дня, но изменения в функции легких и
рентгеновские изменения могут сохраняться в течение нескольких месяцев.
Симптом «понедельника».
• 2) Хроническая форма – может развиваться без предшествующего острого
альвеолита и может прогрессировать после прекращения контакта с его
агентом в виде прогрессирующей одышки от нагрузок, похудения, анорексии,
продуктивного кашля. Легочное сердце и дыхательная недостаточность.
Физические данные скудны или отсутствуют. «Косолапые пальцы»
встречаются редко, а дыхательные шумы обычно нормальны.

91.

ДИАГНОСТИКА ГП
1. КТ высокого разрешения (стандарт для оценки паренхиматозных изменений при ГП).
Характерно
• наличие мелкоочаговых теней, которые могут быть столь выраженными и обильными, что
иногда имитируют картину милиарного туберкулеза.
• области матового стекла,
• зоны повышенной прозрачности и неравномерного вздутия легочной ткани (симптомы
воздушной ловушки).
2. Определение клеточного состава бронхоальвеолярного лаважа (БАЛ) у взрослых больных с
ГП -увеличение общего количества воспалительных клеток с преобладанием доли лимфоцитов,
более 50%, и уменьшением соотношения CD4/CD8 . Для детей этот показатель не имеет
существенного диагностического значения, т. к. зачастую не отличается от нормы.
3. Определение специфических IgG к «виновному» антигену.

92.

ЛЕЧЕНИЕ ЭКЗОГЕННОГО АЛЛЕРГИЧЕСКОГО
АЛЬВЕОЛИТА
1) Исключение контакта с аллергеном
2) Глюкокортикостероиды (в остром периоде 0,5 мг/кг 2-4 недели, у
взрослых – 30-60 мг/сут – ускоряют разрешение острого альвеолита, но не
влияют на исход заболевания; в подостром – 1-1,5 мг/кг в течение 2
месяцев).
3) Альтернативная терапия (колхицин, D-пеницилинамин)
4) Симптоматическая терапия.

93.

СПАСИБО ЗА ВНИМАНИЕ
English     Русский Rules