15.43M
Category: medicinemedicine

Обсуждения плана лечения Шишкина Елена Игоревна

1.

Dr.AUorth
Шишкина
Елена
Игоревна
alina-28reg@mail.ru

2.

Dr.AUorth
• Диагноз: К07.2 Аномалия соотношения зубных
рядов
• Дата обсуждения плана лечения: 10.03.2025

3.

фотографии лица
Dr.AUorth
Пропорции лица симметричны, средняя линия верхней челюсти
расположена по центру лица,выпуклый профиль.

4.

Dr.AUorth
• Симметричное
положение
зрачковой
линии,
присутсвует
наклон
окклюзионной
плоскости

5.

Dr.AUorth
Средняя линия верхней челюсти совпадает со средней линией на
нижней челюсти.

6.

Dr.AUorth
При открывании полости рта Средняя линия верхней челюсти
несовпадает со средней линией на нижней челюсти.

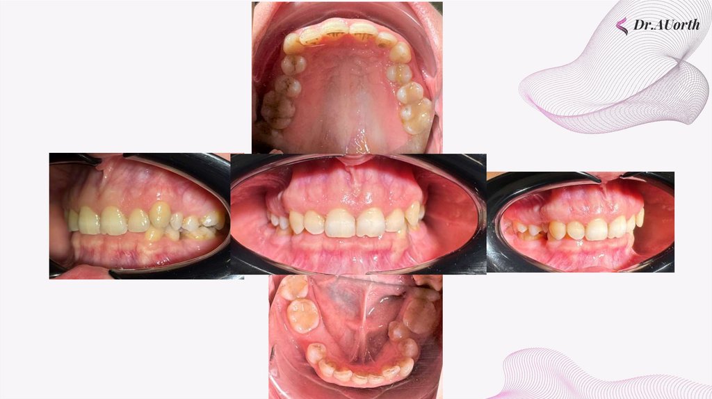
7.

внутриротовые фотографии
Dr.AUorth
Второй класс по клыкам справа, второй - по клыкам слева.
Сагиттальная щель отсутсвует. Ретрузия резцов на нижней, верхней
челюсти

8.

окклюзионные фотографии
Вторичная адентия зуба 3.5. Несоответсвиет Герлаха
Dr.AUorth

9.

Фото улыбки / Эмма
Экспозиция нижних резцов. Наклон окклюзионной плоскости.
Dr.AUorth

10.

Гайморова
пазуха
Гипертрофия слизистой оболочки отсутствует.
Dr.AUorth

11.

ортопантомограмма
Зуб 4.5 вторичная адентия
Dr.AUorth

12.

Dr.AUorth
Височно-нижнечелюстной сустав

13.

ортопантомограмма
Dr.AUorth

14.

ортопантомограмма
Dr.AUorth

15.

Dr.AUorth

16.

Dr.AUorth
План лечения
18
48
- пружина
-зуб отсутсвует
- минивинт
11
21
41
31
28
38
- рекомендована профессиональная гигиена полости
рта и консультация терапевта для утверждения
плана терапевтической подготовки
English     Русский Rules