18.16M
Category: medicinemedicine

Семиотика урологических заболеваний и методы обследования

1.

2.

Болевой
Интоксикации
Мочевой
Дизурический
Анемии
Вторичного иммунодефицита

3.

Сроки появления
Повторяемость
Наличие иррадиации болей
Возможная причина (травма, ишемия
органа, нарушение оттока мочи,
воспаление)
Боль самостоятельная или только при
пальпации
Выраженность боли
Сопутствующие проявления (тошнота,
рвота, коллапс, изменения мочи)

4.

Выраженность
Длительность
Сопутствующие проявления
(дизурический синдром, мочевой
синдром, боль)

5.

Изменения физико-химических
показателей мочи
Синдром интоксикации
Синдром дизурии
Повторяемость в динамике

6.

Изменения накопления
Изменения удержания (недержание)
Изменения выделения мочи
Изменения цвета мочи
Сопутствующие проявления (боль,
интоксикация)

7.

Изменения емкости мочевого пузыря
Увеличение
Редкие мочеиспускания большим объемом
Уменьшение
Частые мочеиспускания малым объемом
Суточный диурез нормальный.

8.

Недержание постоянное
С пустым мочевым пузырем
С переполненным мочевым пузырем
С нормальной функцией мочевого пузыря
Недержание периодическое
Дневное
Ночное
Смешанное
Связано или нет с напряжением передней
бюрюшной стенки

9.

Эписпадия
Урогенитальный синус
Пузырно-вагинальный свищ

10.

11.

12.

13.

Недержание переполнения
(парадоксальная ишурия)
Следствие инфравезикальной обструкции
Клапан уретры
Стриктура уретры
Опухоль простаты
Фимоз,меатальный стеноз, мегалопрепуций
Спазм наружного сфинктера уретры

14.

Внепузырная
эктопия устья
добавочного
мочеточника
удвоенной почки

15.

Затрудненное мочеиспускание
Прерывистое мочеиспускание
Симптом «закладывания» – наличие
подвижного образования в мочевом
пузыре

16.

Поллакиурия
Олигокиурия
Альгурия
Странгурия, ишурия
Никтурия
Полиурия
Олигоурия, анурия
Пиурия, гематурия, ксантурия, хилурия
Уратурия, фосфатурия, оксалатурия
Бактериурия, глюкозурия, протеинурия
Лейкоцитурия, циллиндрурия
Изогипостенурия, гиперстенурия

17.

Железодефицитная
Снижен гемоглобин
Снижено количество эритроцитов
Наиболее выражена у детей с
нарушением функции почек
Недостаточная выработка
эритропоэтина почками
Нарушения деятельности нефрона –
электролитные расстройства
макроорганизма

18.

Снижение способности к
сопротивлению инфекциям
Затяжное течение ОРВИ
Частые ОРВИ
Вся активность иммунной системы
уходит на снижение активности
пиелонефрита
Обострение мочевой инфекции во
время прививок, ОРВИ,
акклиматизации

19.

Анамнестический
Физикальное обследование
Клинико-лабораторный
Лучевые методы (УЗИ, допплер,
рентгеноконтрастные методы,
радиоизотопные методы, КТ, МРТ)
Уродинамические методы исследования
Эндоскопические методы
Прочие

20.

Позволяет синдромально установить
диагноз, определить вид и срочность
лечебно-диагностических мероприятий.
Максимально полное уточнение
характера клинических проявлений,
исходы предыдущих жалоб, изучение
данных предыдущих исследований.
При недержании мочи, уточняя
состояние мочевого пузыря, объем,
определить тип недержания.

21.

Частое болезненное мочеиспускание у ребенка 17 лет,
боль в области мочевого пузыря и поясницы,
лихорадку, изменения мочи, мать указывает на эпизод
переохлаждения сутки назад.
Вопросы:
Выраженность интоксикации – температура до 37,3
Частота мочеиспусканий 20 раз в сутки, днем и ночью
Боль в области мочевого пузыря постоянная
незначительная, резко усиливается в конце акта
мочеиспускания, незначительная самостоятельная
болезненность в поясничных областях.
Моча мутная, в конце акта мочеиспускания – с
примесью крови.

22.

Острый геморрагический цистит, с
риском восходящего пиелонефрита
Возможно амбулаторное лечение
Курс антибактериальной терапии,
спазмолитики, тепло
Контроль анализа мочи после лечения
До начала лечения анализ мочи не
особенно обязателен

23.

Частое болезненное мочеиспускание у ребенка 17 лет,
боль в области мочевого пузыря и поясницы,
лихорадку, изменения мочи, мать указывает на эпизод
переохлаждения сутки назад.
Вопросы:
Выраженность интоксикации – температура до 38,9,
рвота многократно, тошнота, слабость.
Частота мочеиспусканий 20 раз в сутки, днем и ночью
Боль в области мочевого пузыря постоянная,
значительная, иррадиирует в поясницу слева, левую
половину живота, левое бедро по внутренней
поверхности.
Моча мутная, окрашена кровью.

24.

МКБ, отхождение камня левой почки,
острый вторичный пиелонефрит,
почечная колика
Амбулаторное лечение невозможно
Экстренная госпитализация
Тактика лечения зависит от размеров и
позиции камня (консервативное,
эндоскопическое, хирургическое)

25.

Тщательный осмотр пациента
Пальпация почек
Пальпация мочевого пузыря
Поколачивание по пояснице
Осмотр наружных половых органов у
девочек, особенно при постоянном
недержании мочи
Осмотр органов мошонки и полового
члена

26.

27.

28.

29.

Головчатая
Субтотальная
Тотальная

30.

31.

32.

33.

34.

35.

36.

37.

38.

39.

40.

41.

42.

43.

44.

45.

Анализ мочи общий
Анализ по Нечипоренко
Анализ крови клинический
Биохимия крови
Функциональные почечные пробы –
определение суммарной почечной
функции – проба Реберга, проба
Зимницкого
Посевы мочи
Кислотно-основное состояние крови

46.

Обзорный снимок
Цистография
Внутривенная урография
Ретроградная пиелография
Уретрография (ретроградная,
антеградная)
Флебография
Артериография

47.

48.

49.

50.

51.

52.

53.

54.

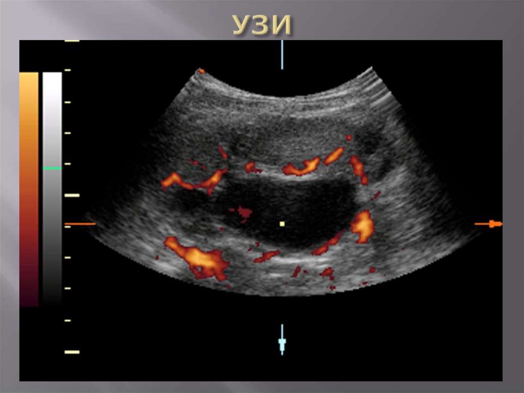
Осмотр органов мочевой системы
Органы мошонки
Допплерография сосудов почки, яичка
Определение размеров лоханки,
мочеточника, состояния паренхимы
почки

55.

56.

57.

58.

59.

60.

Ренография
Реносцинтиграфия, статическая и
динамическая

61.

62.

63.

64.

65.

Ретроградная цистометрия
Профилометрия уретры
Урофлоуметрия
Фармакоцистометрия
Исследование «давление поток»
English     Русский Rules