23.91M
Category: medicinemedicine

Протозоология. Виды взаимоотношений между организмами

1.

Протозоология

2.

Виды взаимоотношений между
организмами

3.

Паразитизм- форма межвидовых связей в
природе, при которой один организм (паразит)
использует другой организм (хозяина) в качестве
источника питания и среды обитания, часто
нанося ему вред, но не уничтожая его.

4.

Критерии паразитизма:
- пространственные отношения с хозяином;
-зависимость метаболизма паразита от хозяина;
- патогенное воздействие на хозяина
(причиняемый вред, вызывает клинические
симптомы заболевания);
- способность паразита вызывать защитные
(иммунологические) реакции у хозяина.

5.

Группы паразитических простейших
• Биопротисты — паразитические простейшие,
которые
развиваются
с
промежуточным
хозяином, или на всех стадиях жизненного
цикла не выходят из организма хозяина и не
образуют цисты.
• Геопротисты

паразиты
подцарства
простейших, развивающиеся без участия
промежуточных хозяев, образуют цисты и одну
из стадий развития проходят вне живого
организма, во внешней среде.

6.

Резервуарный хозяин – хозяин, не являющийся обязательным в
жизненном цикле паразита, но попав в организм которого,
паразит не погибает, хотя и не получает дальнейшего развития. В
резервуарном хозяине происходит накопление паразитов. При
поедании резервуарного хозяина окончательным хозяином
паразит завершает свое развитие в его организме.

7.

8.

Компоненты природного очага
биотические
абиотические
возбудитель;
переносчик
(трансмиссивное
заболевание);
восприимчивые
животные
природные условия
(климат, ландшафт,
температурный
режим)

9.

Многообразие простейших

10.

Простейшие, обитающие в
кишечнике

11.

Амебиаз

протозойная
инфекция,
проявляющаяся язвенным процессом в
толстом
кишечнике
и
поражением
внутренних органов с образованием
абсцессов
в
различных
органах
(чаще в печени).

12.

Географическое распространение
К регионам, эндемичным по
амебиазу относится Закавказье
(Армения, Грузия) и Средняя
Азия (Туркмения, Киргизия).

13.

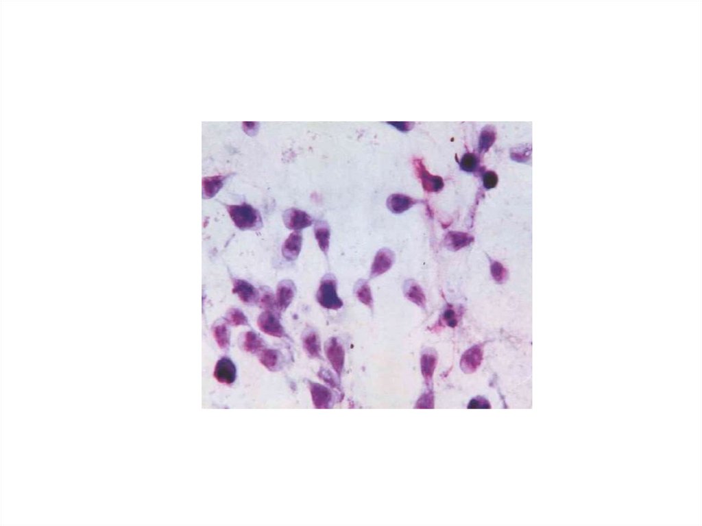
14.

Рис. 1. Амёба дизентирийная

15.

Entamoeba histolytica (микрофотография)

16.

Ситуации, повышающие риск заражения:
- посещение тропических стран с низким уровнем санитарии;
- взаимодействие с иммигрантами из тропических стран с низкими
санитарными условиями;
- пренебрежение правилами личной гигиены;
-употребление сырой, необеззараженной воды из открытых источников и
водопроводной системы;

17.

Диагностика
• Анамнез, осмотр пациента,
• эндоскопия (исследование стенок
кишечника на наличие язв),
• лабораторная диагностика (микроскопия
кала, биоптатов, взятых из пораженных
очагов).

18.

Профилактика
Личная
• личная гигиена,
• употребление чистой
воды, правильно
обработанной пищи,
• уборка помещений.
Общественная
• санитарно-просветительная
работа,
• выявление и лечение больных,
• сан. контроль за водой и
продуктами питания.
• борьба с переносчиками.

19.

Лечение
• метронидазол,
тинидазол,
орнидазол
(системные тканевые амебоциды);
• симптоматическое лечение;
• антибиотики (доксициклин, эритромицин);
• диета.

20.

Балантидиаз

это заболевание,
вызываемое
кишечными
балантидиями
(Balantidium
coli).
Сопровождается
признаками общей интоксикации и язвенным
изменением слизистой толстой кишки.

21.

Географическое распространение
Балантидиаз - убиквитарное заболевание
(встречается повсеместно), вспышки чаще
возникают в южных регионах с развитым
свиноводством.

22.

Жизненный цикл балантидия кишечного

23.

Рис. 2. Балантидий кишечный

24.

25.

Лямблиоз — это острое и хроническое паразитарное
заболевание человека, вызываемое кишечными лямблиями,
которые колонизируют слизистую оболочку преимущественно
тонкого кишечника, нарушают процессы пристеночного
пищеварения и способствуют развитию и усугублению
поражения желудочно-кишечного тракта и других заболеваний.

26.

Географическое распространение
Лямблиоз — убиквитарное заболевание.

27.

Жизненный цикл лямблии

28.

Рис. 3. Лямблия

29.

Lamblia intestinalis (микрофотография)

30.

31.

Кишечная трихомонада – Trichomonas hominis.
Обитает в толстом кишечнике человека. Может
играть определенную роль в развитии или
ухудшении течения различных заболеваний
толстого кишечника. Патогенность кишечных
трихомонад большинством ученых полностью
отвергается.

32.

Простейшие, обитающие в половых
органах

33.

Урогенитальный трихомониаз (трихомоноз) –
инфекция, передаваемая половым путём,
возбудителем которой является Trichomonas
vaginalis.

34.

Географическое распространение
Трихомониаз — убиквитарное заболевание.

35.

Жизненный цикл трихомонады урогенитальной

36.

Рис. 4. Трихомонада кишечная,трихомонада урогенитальная

37.

Trichomonas vaginalis (микрофотография)

38.

39.

Простейшие, обитающие в тканях и
передающиеся трансмиссивно

40.

Лейшманиоз представляет собой протозойную инфекцию с
трансмиссивным механизмом распространения,
характеризующуюся поражением кожных покровов или
внутренних органов внутриклеточными паразитами –
лейшманиями. Лейшманиозы подразделяют на висциральные,
протекающие с поражением легких, печени, селезенки, сердца,
и кожные, проявляющиеся трансформирующимися в очаги
изъязвления папулами.

41.

Географическое распространение

42.

Жизненный цикл лейшманий

43.

Рис. 5. Лейшмания
1 - кинетопласт, 2 - ядро, 3 – цитоплазма, 5 - жгутик

44.

Leishmania donovani, Leishmania tropica(микрофотография)

45.

Лейшмания (амастиготы) в крови человека

46.

Диагностика
• Анамнез, осмотр пациента,
• пункция грудины или лимфатических узлов,
• лабораторная диагностика: микроскопия
пунктата при висцеральном лейшманиозе,
микроскопия язв – при кожном лейшманиозе;
посев материла, взятого от больного на
культуральную питательную среду, заражение
лабораторных
животных
(биологическая
проба).

47.

48.

Профилактика
Личная
•защита
москитов
от
Общественная
укусов
• санитарно-просветительная
работа,
• выявление и лечение больных,
• борьба с переносчиками и
резервуарами, отлов бродячих
собак.

49.

50.

Лечение кожного лейшманиоза
Для ускорения заживления язв - фотодинамическая и
прямая электрическая терапия, инфракрасная стимуляция,
лазеролечение ;
для повышения эффективности терапии можно добавить
человеческий
рекомбинантный
гаммаинтерферон

51.

Африканский трипаносомоз (сонная болезнь) - облигатнотрансмиссивная инвазия, характеризующаяся лихорадкой,
высыпаниями на коже, увеличением лимфатических узлов,
появлением местных отеков и поражением центральной нервной
системы, приводящим к летаргии, кахексии и летальному исходу.
Трипаносомозы - группа трансмиссивных тропических болезней,
вызываемых простейшими рода Trypanosoma. Трипаносомы
проходят сложный цикл развития со сменой хозяев, в процессе
которого они находятся в морфологически различных стадиях.

52.

Географическое распространение

53.

Жизненный цикл Trypanosoma brucei

54.

Рис. 6. Трипаносома
1 - кинетопласт, 2 - ядро, 3 – цитоплазма, 4- ундулирующая мембрана, 5 - жгутик

55.

Trypanosoma brucei (микрофотография)

56.

Диагностика
• Клинико-эпидемиологические
данные
(пребывание в эндемичных районах Африки),
•анамнез, осмотр пациента,
• пункция
трипаносомного
шанкра,
лимфатических
узлов,
цереброспинальной
жидкости, взятие крови,
• лабораторная
диагностика:
микроскопия
пунктата или крови для выявления трипаносом,
•заражение морских свинок,
•иммунологические реакции РИФ, ИФА.

57.

Американский трипаносомоз (болезнь Шагаса) –
трансмиссивная протозойная инфекция, возбудителем
которой является патогенная Trypanosoma cruzi, а
переносчиком триатомовые клопы. Острая форма болезни
проявляется лихорадкой, головной и мышечной болью,
отеками, сыпью, лимфаденитом, гепатоспленомегалией,
кардиомегалией и миокардитом, менингоэнцефалитом;
хроническая - сердечной недостаточностью.

58.

Жизненный цикл Trypanosoma cruzi

59.

Диагностика
• Клинико-эпидемиологические
данные
(пребывание в эндемичных районах стран
Латинской Америки),
•анамнез, осмотр пациента,
• пункция
лимфатических
узлов,
цереброспинальной жидкости, взятие крови,
• лабораторная
диагностика:
микроскопия
пунктата или крови для выявления трипаносом,
•кормление незараженных триатомовых клопов на
больном человеке,
•заражение морских свинок,
•иммунологические реакции РИФ, ИФА.

60.

61.

Спасибо за внимание!

62.

Протозоология (картинки к
коллоквиуму)
English     Русский Rules