Основные показания к проведению КТ височной кости
Поперечный перелом пирамиды
Перелом сосцевидного отростка
Травматический разрыв цепи косточек
ОСТРЫЙ ОТОМАСТОИДИТ
Субпериостальный абсцесс
ОСТРЫЙ ОТОМАСТОИДИТ
Зигоматицит
ОСТРЫЙ ОТОМАСТОИДИТ
Мастоидит, синус-тромбоз, эпидуральный абсцесс
Нехолестеатомный ХГСО
Адгезивный средний отит. Тимпаносклероз
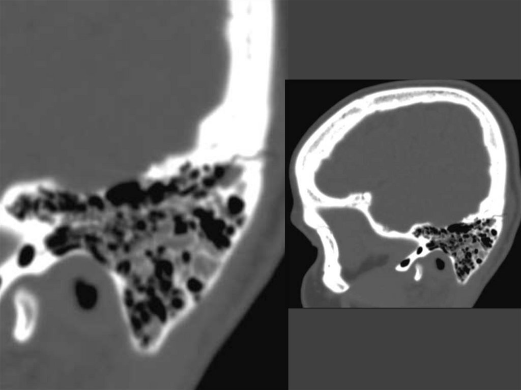
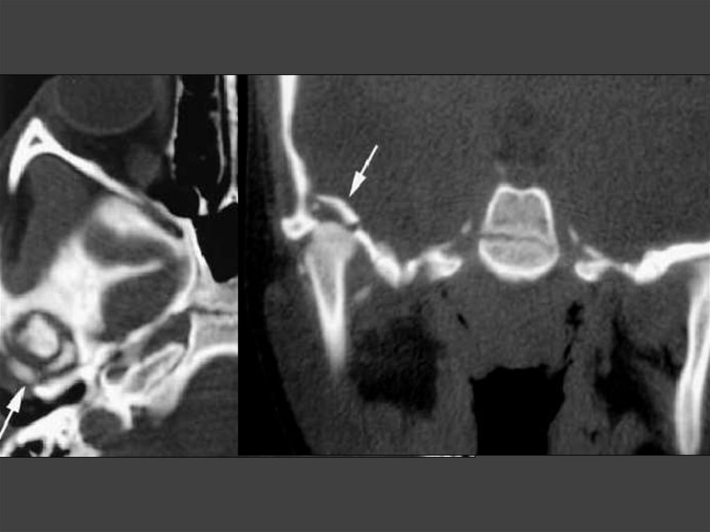
Холестеатома, разрушение слуховых косточек
Холестеатома аттико-антральной области
Осложнения холестеатомы, выявляемые на КТ
Фистула латерального полукружного канала
Холестеатома, фистула лабиринта
Холестеатома, разрушение канала лицевого нерва
Распространение холестеатомы на верхушку пирамиды
Распространение холестеатомы на верхушку пирамиды
Распространение холестеатомы на верхушку пирамиды
Холестеатома, абсцесс мозга
Рецидив холестеатомы. Состояние после радикальной операции
Полип наружного слухового прохода
Остеома височной кости
Остеома НСП
Внутриканальная акустическая невринома (по Swartz J.D. and Harnsberger H.R. 1998)
Акустическая невринома
Акустическая невринома
Невринома мастоидальной части лицевого нерва
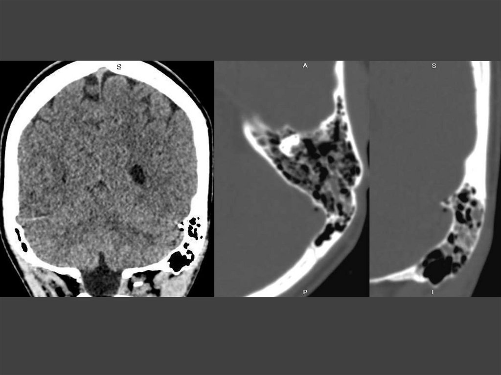
Невринома тимпанальной части лицевого нерва
Невринома лабиринтной части лицевого нерва
Гломусная опухоль (параганглиома)
Хемодектома
Гломусная опухоль югуло-тимпанической локализации
Злокачественная опухоль
Гистиоцитоз
MTS рака молочной железы
Рак НСП
Фиброзная дисплазия
Дистопия канала внутренней сонной артерии
Высокое расположение луковицы яремной вены
Предлежание сигмовидного синуса
Вазоневральный конфликт
Врожденная холестеатома
Атипичное расположение канала лицевого нерва
Экзостоз наружного слухового прохода
Стеноз наружного слухового прохода
Стеноз НСП
Атрезия наружного слухового прохода, агенезия структур среднего уха
Отосклероз, кохлеарная форма
Оссификация лабиринта
Классификация оссификации лабиринта по локализации:
Классификация оссификации лабиринта по локализации:
Оссификация нисходящего сегмента базального завитка улитки
Тотальная оссификация лабиринта
Аномалии развития лабиринта
Аномалия Мондини
Аномалия Мишеля
Общая полость улитки и преддверия
Общая полость преддверия и латерального полукружного канала
Аномалия развития дна внутреннего слухового прохода
Аномалия развития дна внутреннего слухового прохода
Стеноз внутреннего слухового прохода
Компьютерная томография при кохлеарной имплантации
Состояние после операции кохлеарной имплантации
Литература
46.04M
Category: medicinemedicine

Лучевая диагностика патологии височной кости

1.

Лучевая диагностика
патологии височной кости

2. Основные показания к проведению КТ височной кости

1. Травмы височной кости
2. Осложнённые формы острых гнойных средних
отитов
3. ХГСО, холестеатома
4. Опухоли височной кости и мосто-мозжечкового
угла
5. Дифференциальная
тугоухости
6. Обследование
имплантацией
диагностика
больных
перед
7. Отогенный парез лицевого нерва
причин
кохлеарной

3.

ТРАВМЫ
ПЕРЕЛОМЫ ПИРАМИДЫ
ВИСОЧНОЙ КОСТИ
Продольные
Поперечные
Косые
Переломы верхушки
Т-образные
Оскольчатые

4.

5.

ПЕРЕЛОМЫ ПИРАМИДЫ ВИСОЧНОЙ
КОСТИ
поперечные
продольные
10-30%
Удар фронтальный или
затылочный
Перпенд. длинной оси
Часто вовлечен лабиринт
(головокружение)
Бараб. перепонка чаще сохр.
Полный или частичный парез
лицевого нерва (40-50%)
Слуховые косточки
сохранены
70-90%
Удар височно-теменной
Параллельно длинной оси
Лабиринт обычно сохранен
Бараб. перепонка чаще вовл.
Парез лицевого нерва реже
(10-20%)
Слуховые косточки обычно
вовлечены

6.

При вертикально идущих переломах теменных и
височных костей часто возникает продольный перелом
пирамид. Линия перелома может проходить через
височно-нижнечелюстной
сустав,
возможны
повреждения медиальной стенки барабанной полости,
горизонтального колена лицевого нерва.

7.

8.

Вертикально идущие переломы чешуи
затылочной кости часто переходят на
пирамиду височной кости с образованием
поперечного перелома, повреждают ВСП,
ушной лабиринт

9.

10. Поперечный перелом пирамиды

11.

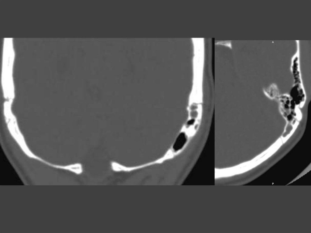
12. Перелом сосцевидного отростка

13.

14.

15.

16.

17.

18.

19.

20.

21. Травматический разрыв цепи косточек

22.

23.

ВОСПАЛИТЕЛЬНЫЕ ЗАБОЛЕВАНИЯ
СРЕДНЕГО УХА
Острый отомастоидит –бактериальная инфекция
Хронический отомастоидит – дисфункция
слуховой трубы+бактериальная инфекция

24.

Поражения среднего уха
ОСТРЫЙ ОТОМАСТОИДИТ
ОСЛОЖНЕНИЯ:
СУБПЕРИОСТАЛЬНЫЙ
АБСЦЕСС
ЛАБИРИНТИТ
АПИЦИТ
МЕНИНГИТ
ВНУТРИМОЗГОВОЙ АБСЦЕСС
ТРОМБОЗ СИНУСА

25.

ОСТРЫЙ ОТОМАСТОИДИТ
Неосложненный
отомастоидит –
патологическое содержимое
внутри ячеек сосцевидного
отростка
Осложненный - разрушение
перегородок,наружной и
внутренней кортикальной
пластинок сосцевидного
отростка

26.

27.

28.

29. ОСТРЫЙ ОТОМАСТОИДИТ

Острый мастоидит,
субпериостальный
абсцесс

30. Субпериостальный абсцесс

31. ОСТРЫЙ ОТОМАСТОИДИТ

Острый
мастоидит,
абсцесс
мозжечка

32. Зигоматицит

33. ОСТРЫЙ ОТОМАСТОИДИТ

Тромбоз сигмовидного синуса

34. Мастоидит, синус-тромбоз, эпидуральный абсцесс

35.

36.

37.

38.

39.

40.

Поражения среднего уха
ХРОНИЧЕСКИЙ ОТОМАСТОИДИТ
Осложнения:
Ретракция барабанной
перепонки (ателектаз
среднего уха)
Перфорация барабаной
перепонки
Вторичная холестеатома
Холестерольная гранулома
Фиксация слуховых косточек
(тимпаносклероз)
Нехолестеатоматозная эрозия
слуховых косточек

41.

42.

43.

44.

45.

46.

47. Нехолестеатомный ХГСО

48.

49.

50.

51. Адгезивный средний отит. Тимпаносклероз

52.

53.

ХРОНИЧЕСКИЙ ОТОМАСТОИДИТ,
осложненный холестеатомой
Ложные или вторичные холестеатомы развиваются в результате
длительных воспалительных процессов и ряда травматических
факторов, сопровождающихся гиперплазией и метаплазией
эпителия.
Исходная локализация –эпителиальная выстилка среднего уха
(пещера, эпитимпаническое пространство).
- Расширение пещеры
- Деструкция слуховых
косточек
- Разрушение крыши
барабанной полости

54.

55.

ХРОНИЧЕСКИЙ ОТОМАСТОИДИТ
ХОЛЕСТЕАТОМА –
образование, содержащее ороговевшие массы эпителия
и кристаллы холестерина, возникающее в результате
эктодермального дизонтогенеза в раннем периоде
формирования эмбриона (истинная или врожденная
холестеатома), либо вследствие хронического
воспаления (ложная или вторичная холестеатома)

56.

57.

58.

59. Холестеатома, разрушение слуховых косточек

60.

61.

62. Холестеатома аттико-антральной области

63. Осложнения холестеатомы, выявляемые на КТ

• Фистула лабиринта.
• Разрушение стенок канала лицевого
нерва.
• Распространение холестеатомы на
верхушку пирамиды.
• Внутричерепные осложнения.

64. Фистула латерального полукружного канала

65. Холестеатома, фистула лабиринта

66. Холестеатома, разрушение канала лицевого нерва

67. Распространение холестеатомы на верхушку пирамиды

68. Распространение холестеатомы на верхушку пирамиды

69. Распространение холестеатомы на верхушку пирамиды

70. Холестеатома, абсцесс мозга

71. Рецидив холестеатомы. Состояние после радикальной операции

72. Полип наружного слухового прохода

73.

74. Остеома височной кости

75. Остеома НСП

76.

Поражения среднего уха
ОПУХОЛИ ПИРАМИДЫ
В области пирамиды височной кости чаще всего
встречаются доброкачественные опухоли: невриномы,
фибромы, гемангиомы, гломусные опухоли,
менингиомы, остеомы.
Наиболее распространены: невриномы слухового
нерва и гломусные опухоли.

77.

Поражения ВСП,ММУ
НЕВРИНОМА
Наиболее частые опухоли ММУ
Доброкачественная опухоль из шванновских клеток
Растет экзофитно
Поражает 8, реже 5, еще реже 9,10,11 ЧМН
В 90% односторонние, двустороннее поражение
подозрительно на НФМ II типа
рентгенография в проекции Стенверса –
-расширение внутр. слухового прохода,
-изменение его формы (чаще отмечается веретенообразность)
-изменение корт/ слоя кости, ограничивающего просвет прохода —
появление эррозий, узур, стертости контура
-асимметричность изображения поперечного гребня в области дна
прохода.
Участки атрофии костной ткани при невриномах имеют гладкие и четкие
очертания.

78.

79.

НЕВРИНОМА СЛУХОВОГО НЕРВА
По локализации выделяют 3 типа неврином:
- внутриканальные – расположены в пределах
внутреннего слухового прохода;
- внутри- и внеканальные – расположены, как
во внутреннем слуховом проходе, так и в
мостомозжечковой цистерне;
- внеканальные невриномы исходят из той
части
нерва,
которая
располагается
в
мостомозжечковой цистерне.

80.

НЕВРИНОМА СЛУХОВОГО НЕРВА
КТ — признаками опухоли слухового нерва являются:
расширение слухового прохода, наличие округлого, реже
овального объемного образования, зачастую с очагами
кистозной дегенерации и хорошей реакцией на усиление,
острый угол между поверхностью опухоли и задней
поверхностью височной кости
ВСП шире 8 мм,
асимметрия >2 мм
подозрительны

81. Внутриканальная акустическая невринома (по Swartz J.D. and Harnsberger H.R. 1998)

82. Акустическая невринома

83. Акустическая невринома

84.

НЕВРИНОМА СЛУХОВОГО НЕРВА
ДО КОНТРАСТНОГО УСИЛЕНИЯ
ПОСЛЕ КОНТРАСТНОГО УСИЛЕНИЯ

85.

Невринома VIII нерва

86.

Поражения ВСП,ММУ
НЕВРИНОМА СЛУХОВОГО НЕРВА
Дифференциальный диагноз с другими
образованиями ММУ:
1)расположены во ВСП, а не вдоль ТМО
(менингиомы) и не вдоль ММУ( эпидермоиды)
2) расширяют ВСП
3) редко обызвествляются
4)усиление гетерогенное в отличие от
гомогенного при менингиомах и отсутствия
усиления при эпидермоидах

87.

Невринома VIII нерва
6-8% всех первичных опухолей мозга
Вторая по частоте внемозговая опухоль
у взрослых
КТ:
- Са++ нехарактерно
- изо-слабо гиперденсное
- выраженное, негомогенное
контрастирование
МРТ:
- Т1- изо-гипоинтенсивное
- Т2 - гиперинтенсивное ( до 95%)
- до 15% интраопухолевые кисты

88.

Поражения ВСП,ММУ

89.

90. Невринома мастоидальной части лицевого нерва

91. Невринома тимпанальной части лицевого нерва

92. Невринома лабиринтной части лицевого нерва

93.

94.

95.

96.

97.

ПОРАЖЕНИЕ ММУ, ВСП
ЭПИДЕРМОИД
МСКТ Хорошо отграничен,
однороден, часто
обызвествления
MРТ Т1 –гипо, Т2 –гипер
1) минимальный масс-эффект
при больших размерах опухоли;
2) неровный “зубчатый” контур
очага;
3) отсутствие перитуморального
отека;
4) гидроцефалия обычно не
выражена и не соизмеряется с
размерами опухоли;
5) сигнал не изменяется после
контрастирования

98.

ПОРАЖЕНИЕ ММУ, ВСП
ЛИПОМЫ
схожи со
шванномами
MРТ
T1 – резко
гиперинтенсивны
Т2 – слабо
гиперинтенсивны,
нет КУ

99.

100.

101.

Поражения среднего уха
ГЛОМУСНЫЕ ОПУХОЛИ
(опухоль яремного параганглия, хемодектома,
параганглиома)
,
- опухоли из адвентиции луковицы яремной вены,
обладая экспансивным ростом, могут распространяться в
направлении
среднего
и
внутреннего
уха,
заднемедиальной поверхности пирамиды височной кости
через рваное отверстие, в направлении крылонебной
ямки и глотки, разрушая встречающуюся на пути костную
ткань,
сдавливая
нервные
стволы
и
другие
анатомические образования
Локализация
- Опухоли тимпанального гломуса
- Опухоли югулярного гломуса

102. Гломусная опухоль (параганглиома)

103.

Поражения среднего уха
ГЛОМУСНЫЕ ОПУХОЛИ
Клинически
Шум в ухе, синхронизированный с пульсацией
сонной артерии, прогрессирующая тугоухость
Средний возраст, чаще женщины
Иногда(2-4%) малигнизация с метастазами в
регионарные лимфатически узлы

104.

Поражения среднего уха
ГЛОМУСНЫЕ ОПУХОЛИ
Методы лучевой диагностики при гломусных
опухолях: рентгенография височной кости в
проекциях Шуллера, Майера, Стенверса,
КТ и МРТ, ангиография.
При опухолях тимпанального
гломуса: снижение
пневматизации клеток
сосцевидного отростка
(Шюллер), затемнение и
расширение барабанной
полости, аттика, антрума,
деструкции стенок барабанной
полости, лабиринта (Майера и
Стенверс).
При опухолях яремного гломуса:
деструкция кости в области дна
барабанной полости, нижней и
задней поверхности пирамиды
височной кости.

105.

ГЛОМУСНЫЕ ОПУХОЛИ
МСКТ
Признаки опухоли яремного
гломуса: увеличение яремного
отверстия,
эррозия
краев
кортикальной
пластинки
в
области
яремной
вырезки,
разрушение яремной стенки
барабанной
полости.
При
большой
распр-ти
опухоли:
признаки разрушения в области
пирамиды височной кости и
прилегающих
структур
затылочной кости — очертаний
мыщелкового и подчелюстного
каналов
Разрушение костного
шипа между каналом
ВСА и луковицей ЯВ

106.

107.

108. Хемодектома

109.

110.

111. Гломусная опухоль югуло-тимпанической локализации

Гломусная опухоль югулотимпанической локализации

112.

Поражения среднего уха
ГЛОМУСНЫЕ ОПУХОЛИ
МРТ
- внутримозговое распр-е При опухолях малых размеров
- какие нервно-сосудистые не приводящих к костной
деструкции
целесообразнее
структуры вовлечены
проводить МРТ.
- симптом «соль с перцем» Для
гломусных
опухолей
на Т1-ВИ
характерна связь с луковицей
яремной вены.

113.

ГЛОМУСНЫЕ ОПУХОЛИ
Ангиография
Уточняется лок-я и распр-ть
хорошо кровоснабжаемого
образования, выявляются
первично множественные
гломусные опухоли.
Другие опухоли, расположенные
в области яремного отверстия,
не имеющие такой выраженной
кровеносной сети
при ангиографии не
визуализируются.

114.

Поражения среднего уха
Гораздо реже встречаются злокачественные
новообразования: рак, саркома, рабдомиосаркома
и др.
Относительно чаще отмечаются поражения
уха и височной кости при прорастании
злокачественных новообразований из соседних
областей головы.
Возможно
также
метастатическое
поражение височной кости при раковых
опухолях
молочной
железы,
легких,
предстательной железы, почек и др. органов.

115.

116.

Поражения среднего уха
В отличие от гломусных опухолей, которые растут
в латеральных отделах яремного отверстия и
приводят к описанным выше изменениям костных
структур, злокачественные новообразования в этой
области чаще растут медиально, вызывая
деструкцию затылочной кости и кливуса.

117. Злокачественная опухоль

118.

Поражения среднего уха
ГИСТИОЦИТОЗЫ
МЕТАСТАТИЧЕСКОЕ
ПОРАЖЕНИЕ
Болезнь Леттерера-Сиве
Болезнь Хенда-ШюллераКрисчена
Эозинофильная гранулема
Молочная железа, почки,
легкие, предстательная
железа, гинекол. опухоли
Деструкция костной ткани с
неровными контурами

119. Гистиоцитоз

120. MTS рака молочной железы

121. Рак НСП

122.

Поражения среднего уха
САРКОМА
- Наиболее частая
злокачественная
опухоль пирамиды
височной кости у детей
- Хроническая оторрея и
оталгия
- Парез лицевого нерва
- Отдаленные метастазы

123.

124.

ПОРАЖЕНИЕ ВЕРХУШКИ ПИРАМИДЫ, СКАТА
ХОНДРОСАРКОМА
Из эмбриональных
клеток верхушки,
рваного отверстия
МСКТ - деструкция с
неровными контурами,
контрастное усиление,
обызвествления
(«попкорн»)
МРТ - КУ

125.

ПОРАЖЕНИЕ ВЕРХУШКИ ПИРАМИДЫ, СКАТА
ХОРДОМА
МСКТ
эрозия ската, основания
затылочной кости
MРТ
Хорошее КУ
Схоже с
хондросаркомой

126.

Поражения среднего уха
ОПУХОЛЬ ЭНДОЛИМФАТИЧЕСКОГО
МЕШКА
Опухоль сосцевидного отростка
МСКТ- деструкция, экпансивный рост, обызвествления
MРТ - усиление, эффект потока,неоднородная (симптом
крапинок)

127. Фиброзная дисплазия

128.

Поражения среднего уха
ВАРИНТЫ СТРОЕНИЯ
СОСУДОВ СРЕДНЕГО УХА
- Асимметрия луковицы яремной
вены
- Дивертикул луковицы яремной
вены
- Высокое стояние луковицы
яремной вены
- Пролапс луковицы яремной вены
- Аберрантная ВСА
- Персистирующая стременная
артерия

129.

130. Дистопия канала внутренней сонной артерии

131.

132.

ПОРАЖЕНИЕ ВЕРХУШКИ ПИРАМИДЫ, СКАТА
АНЕВРИЗМА ВСА
Травма, инфекции –
врожденная
недостаточность

133.

134.

135. Высокое расположение луковицы яремной вены

136. Предлежание сигмовидного синуса

137. Вазоневральный конфликт

1
Петля верхней мозжечковой
артерии пролабирует во
внутренний слуховой проход и
соприкасается с вестибулокохлеарным нервом

138.

ПОРАЖЕНИЕ ВЕРХУШКИ ПИРАМИДЫ, СКАТА
Сзади отграничено–
ВСП
Спереди-медиально –
скат
Спереди-латерально –
дно СЧЯ
Латерально- улитка,
лабиринт

139.

ПНЕВМАТИЗАЦИЯ

140.

141.

142.

143.

ПОРАЖЕНИЕ ВЕРХУШКИ ПИРАМИДЫ, СКАТА
АПИЦИТОсложнение остр. или хр. гнойного сред.
отита при пневматическом строении
пирамиды
Симптом Градениго
(поражение 5 и 6
ЧМН)
МСКТ
Экспансивный рост
Неровные контуры
деструкция
MРТ обязательно для
выявл. внутримозг.
осложнений
T1 –гипо
Т2 –гипер
значительное КУ

144.

145.

146.

ПОРАЖЕНИЕ ВЕРХУШКИ ПИРАМИДЫ, СКАТА
ХОЛЕСТЕРОЛЬНАЯ ГРАНУЛОМА
Наиболее частое поражение
верхушки пирамиды
Экспансивный рост
МРТ на Т1- и Т2 ВИ
гиперинтенсивны

147.

ПОРАЖЕНИЕ ВЕРХУШКИ ПИРАМИДЫ, СКАТА
ВРОЖДЕННАЯ ХОЛЕСТЕАТОМА
МСКТ
экспансивное
поражение
гладкие контуры
нет КУ
MРТ
Т1 –гипоинтенс.
Т2 –гиперинтенс.

148. Врожденная холестеатома

149. Атипичное расположение канала лицевого нерва

Пороки развития
Атипичное расположение канала
лицевого нерва

150. Экзостоз наружного слухового прохода

151.

152. Стеноз наружного слухового прохода

Пороки развития
Стеноз наружного слухового
прохода

153. Стеноз НСП

154.

155.

156.

157.

158. Атрезия наружного слухового прохода, агенезия структур среднего уха

159.

160.

161.

162.

163.

164.

165. Отосклероз, кохлеарная форма

166.

167.

168. Оссификация лабиринта

• Оссификация лабиринта – процесс формирования
новой костной ткани в просвете костного
лабиринта, ведущее к нарушению слуховой и
вестибулярной функции.
• Оссификация лабиринта нередко сопровождает
сенсоневральную тугоухость высокой степени и
глухоту, в особенности у лиц, перенесших
менингит, травмы височной кости, различные
формы среднего отита.

169. Классификация оссификации лабиринта по локализации:

– Оссификация улитки
• Оссификация базального завитка улитки
» Оссификация нисх. сегмента базального завитка
» Оссифик-я барабанной лестницы ул-ки в нисх. сег-те
» Оссиф-я всего спирального канала ул-ки в нисх. сег-те
» Оссиф-я восходящего сегмента базального завитка
» Тотальная оссификация базального завитка
• Оссификация апикального завитка улитки
» Частичная оссификация апикального завитка улитки
» Тотальная оссификация апикального завитка улитки
• Тотальная оссификация улитки

170. Классификация оссификации лабиринта по локализации:


Классификация оссификации лабиринта
по локализации:
Оссификация вестибулярной части лабиринта
Оссификация латерального полукружного канала
» С вовлечением преддверия
» Без вовлечения преддверия
• Оссификация сагиттального полукружного канала
» С вовлечением преддверия
» Без вовлечения преддверия
• Оссификация фронтального полукружного канала
» С вовлечением преддверия
» Без вовлечения преддверия
• Тотальная оссификация полукружных каналов, при
неизмененном спиральном канале улитки
» С вовлечением преддверия
» Без вовлечения преддверия
– Комбинированная оссификация лабиринта
• Полиоссификация (множественные участки обызвествления)
в спиральном канале улитки, преддверии и в полукружных
каналах
• Полиоссификация в спиральном канале улитки и преддверии
без поражения полукружных каналов
– Тотальная оссификация лабиринта

171. Оссификация нисходящего сегмента базального завитка улитки

172. Тотальная оссификация лабиринта

173. Аномалии развития лабиринта

• Аномалия Мондини
• Аномалия Мишеля
• Общая полость улитки и преддверия
• Аномалия развития дна внутреннего
слухового прохода
• Стеноз внутреннего слухового прохода

174. Аномалия Мондини

• Наиболее частая аномалия развития внутреннего
уха. На КТ визуализируется неполное разделение
завитков улитки, возможное их расширение, а
также уменьшение числа завитков.

175. Аномалия Мишеля

• Наиболее редкая аномалия развития внутреннего
уха. Характеризуется отсутствием на томограммах
структур внутреннего уха при нормально развитом
наружном и среднем ухе

176. Общая полость улитки и преддверия

• На томограммах структуры внутреннего уха
дифференцировать невозможно: они замещены
единой полостью округлой или овальной формы.

177. Общая полость преддверия и латерального полукружного канала

178.

179. Аномалия развития дна внутреннего слухового прохода

• На КТ отмечается расширение внутреннего
слухового прохода в области дна, при этом костная
стенка между дном и базальным завитком улитки
отсутствует. Подобные изменения свидетельствуют
о наличии фистулы между арахноидальным
пространством головного мозга и
перилимфатическим пространством внутреннего
уха.

180. Аномалия развития дна внутреннего слухового прохода

181. Стеноз внутреннего слухового прохода

182. Компьютерная томография при кохлеарной имплантации

183.

2 хрящ ушной
раковины
3 воздухоносные
ячейки сосцев.
отростка
4 процессор
имплантата
5 референтный
электрод
6 активный
электрод

184. Состояние после операции кохлеарной имплантации

185. Литература

186.

под редакцией
Труфанова Г.Е. 2007
Дюннебир Э.А.
Лучевая
диагностика.
Оториноларинг
ология / Эрвин
А. Дюннебир;
пер. с англ. – М. :
МЕДпрессинформ, 2013. –
360 с.
English     Русский Rules