ДЕГЕНЕРАТИВНАЯ БОЛЕЗНЬ ПОЗВОНОЧНИКА (ОСТЕОХОНДРОЗ)
Термины
Классификация
3.01M
Category: medicinemedicine

ДЕГЕНЕРАТИВНАЯ БОЛЕЗНЬ ПОЗВОНОЧНИКА(ОСТЕОХОНДРОЗ)

1. ДЕГЕНЕРАТИВНАЯ БОЛЕЗНЬ ПОЗВОНОЧНИКА (ОСТЕОХОНДРОЗ)

Медицинский институт
Кафедра пропедевтической и факультетской терапии с
курсом эндокринологии и ЛФК
К.м.н., доцент Карелин А.П.

2. Термины

Остеохондроз – уменьшение высоты диска.
Спондилёз – краевые костные разрастания.
Спондилоартроз – уменьшение высоты дисков
ведёт к повышению нагрузки на фасеточные
(межпозвонковые) суставы с развитием в них
таких же изменений как при остеоартрозе
периферических суставов.
Спондилолистез – смещение тела вышележащего
позвонка относительно нижележащего вперёд
(антеградно) или назад (ретроградно).

3.

Остеохондроз
1
этап.
2 этап. Из-за снижения высоты диска точки
Дегидратация пульпозного ядра,
приводящая к снижению высоты диска и
появление трещин в фиброзном кольце.
прикрепления мышц и связок, принадлежащих к
двум соседним позвонкам сближаются, вызывая
их провисание и формирование избыточной
подвижности двух позвонков относительно друг
друга, т.е. в данном сегменте формируется
нестабильность.

4.

Клинически это проявляется формированием
спондилолистеза
с
максимальными
проявлениями для заднего спондилолистеза.
Боль связана с перерастяжением связочного
аппарата и капсулы фасеточных суставов.
Боль двусторонняя, усиливается при наклонах и
поднятии тяжестей, движения не ограничены, но
болезненны.
Возможна
иррадиация
вниз
крестцовоподвздошные суставы.

в

5.

3 этап. Развитие протрузий дисков и нарушений
в
суставном
аппарате
с
формированием
подвывихов
и
артрозов
межпозвонковых
суставов.
4
этап.
Для
преодоления
избыточной
подвижность
сегментов
позвоночника
и
сохранения его опорной и защитной функции
формируются различные приспособительные
реакции: разрастание на смежных поверхностях
тел позвонков остеофитов, фиброзный анкилоз в
межпозвонковых дисках и суставах. Выросший
“не там” остеофит может травмировать корешок
или спинной мозг.

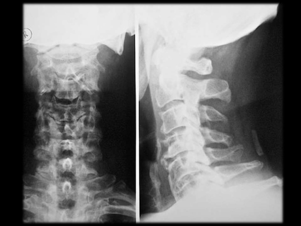
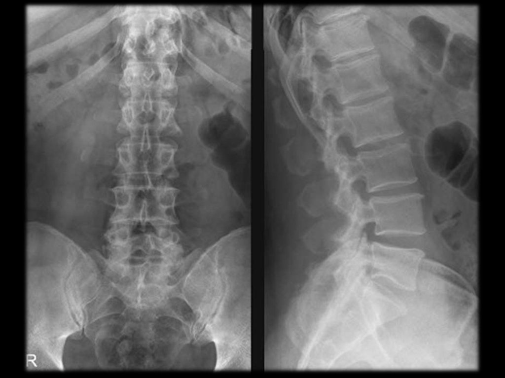
6. Классификация

Шейный
Грудной
Поясничный
Крестцовый
Распространённый – когда заболевание
охватывает
два
и
более
отделов
позвоночника

7.

В шейном отделе клинически наиболее значимы
остеофиты
и
артрозы
унковертебральных
сочленений.
На поясничном уровне наиболее значимы
протрузии и грыжи дисков, а также патология
межпозвонковых суставов.
В грудном отделе – патология рёбернопозвонковых
суставов
с
формированием
артрозов. Поскольку грыжи выпадают в вогнутую
сторону, то в грудном отделе их наличие не
приводит к сдавлению спинного мозга.
Все клинические проявления остеохондроза
сводятся либо к компрессионно-ишемическим с
развитием радикулопатий, либо к рефлекторным
мышечно-тоническим
со
спазмом
паравертебральных мышц.

8.

В шейном отделе клинически наиболее значимы
остеофиты и артрозы унковертебральных сочленений.
На поясничном уровне наиболее значимы протрузии и
грыжи дисков, а также патология межпозвонковых
суставов.
В грудном отделе – патология рёберно-позвонковых
суставов с формированием артрозов. Поскольку грыжи
выпадают в вогнутую сторону, то в грудном отделе их
наличие не приводит к сдавлению спинного мозга.
Все клинические проявления остеохондроза сводятся
либо к компрессионно-ишемическим с развитием
радикулопатий, либо к рефлекторным мышечнотоническим со спазмом паравертебральных мышц.
Боль
при
спондилоартрозе:
двусторонняя,
паравертебральная, носит интермиттирующий характер,
усиливается,
при длительном стоянии и ротации.
Уменьшается при наклоне вперёд, сидении, ходьбе.

9.

Спинальный стеноз
Сужение просвета спинального канала из-за
выбухания фиброзного кольца в его просвет;
Формирование
остеофитов
в
области
фасеточных суставов;
Врождённый.
Боль возникает при уменьшении диаметра
канала менее 12 мм, при компрессии корешков
“конского хвоста”, при длительной ходьбе.
Характеризуется
следующими
признаками:
двусторонняя,
усиливается
при
нагрузке,
сопровождается парестезиями в голенях. При
выраженном сдавлении развиваются тазовые
расстройства.

10.

Грыжа диска
Грыжа диска – выпячивание диска за края линии,
соединяющей тела позвонков более 3 мм.
Выпячивание
диска
считается
клинически
значимым, если выпячивание занимает больше
25%
переднезаднего
размера
диаметра
позвоночного канала (≈ 10 мм).
Вызывает смещение задней продольной связки,
компрессию и раздражение спинномозговых
корешков.

11.

Характеристика боли:
постоянная или приходящая;
усиливается при сгибании, сидении, кашле и
чихании;
уменьшается в покое;
сопровождается напряжением
паравертебральных мышц;
боль может формировать триггерные точки в
мышцах ягодиц, бедра, голени, которые могут
играть самостоятельную роль в формировании
сколиоза.

12.

13.

I
III
II
IV

14.

СТЕПЕНИ ДЕГЕНЕРАЦИИ МПД В СРАВНЕНИИ ПРИ
МАКРОСКОПИЧЕСКОМ И РЕНТГЕНОЛОГИЧЕСКОМ
ОБСЛЕДОВАНИЯХ

15.

16.

17.

18.

19.

20.

СКОЛЕОЗ ГРУДНОГО ОТДЕЛА

21.

22.

23.

24.

ДЕГЕНЕРАТИВНО-ДИСТРОФИЧЕЕСКИЕ ИЗМЕНЕНИЯ
ПОЗВОНОЧНИКА (СХЕМА)
1 – Остеофиты
2 – Грыжи Шморля
3 – Обызвествление диска
4 – Передние остеофиты
5 – Субхондральный склероз
6 – Сужение межпозвонковой щели
7 – Задний остеофит
8 – Клиновидная деформация
позвонка
9 – Сужение межпозвонкового
отверстия
English     Русский Rules