7.09M
Category:
medicine
Similar presentations:
Рентгенологические методы исследования органов брюшной полости
Методы исследования органов дыхания
Лучевое исследование органов дыхания
Методы исследования системы органов дыхания
Рентгенологические синдромы заболеваний органов дыхания
Клинические методы исследования системы органов дыхания
Исследование органов дыхания
Методы исследования органов дыхания
Методика проведения ультразвуковых методов исследования органов дыхания
Лучевое исследование органов дыхания, синдромы патологии
Рентгенологическое исследование органов дыхания
1.
2.
3.
4.
5.
6.
7.
8.
9.
10.
11.
МТС рака щитовидной железы
12.
13.
14.
ОБОБЩЕННОЕ ПОНЯТИЕ ЛЕГОЧНОЙ
ДИССЕМИНАЦИИ
15.
Ф
16.
17.
18.
19.
ОТЕК ЛЕГКИХ
20.
21.
22.
МТС рака щитовидной железы
23.
24.
25.
26.
27.
28.
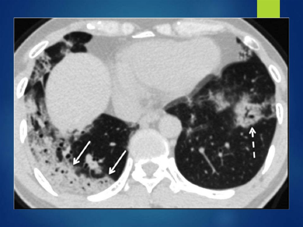
Сотовое легкое (часто осложняется
пневмотораксом)
29.
30.
СИНДРОМ ГУДПАСЧЕРА
English
Русский
Rules