1.01M
Category: medicinemedicine

Окклюзионные заболевания артерий нижних конечностей

1.

Аневризма дистального анастомоза БАБШ справа

2.

Баллонная дилатация обеих подвздошных артерий

3.

Высокая инфраренальная окклюзия аорты, дуга Риолана

4.

Высокая инфраренальная окклюзия аорты, дуга Риолана

5.

Высокая инфраренальная окклюзия аорты, дуга Риолана

6.

Норма

7.

Средняя окклюзия аорты, ангиография по Дос-Сантосу

8.

Высокая инфраренальная окклюзия аорты, дуга Риолана

9.

Окклюзия левой наружной подвздошной артерии,
аневризма правой наружной подвздошной артерии

10.

Окклюзия левой общей подвздошной артерии

11.

Состояние после подвздошно-подвздошного шунтирования справа

12.

Окклюзия обеих общих подвздошных артерий

13.

Высокая инфраренальная окклюзия аорты

14.

Окклюзия правой наружной подвздошной артерии,
Стеноз левой наружной подвздошной артерии

15.

Окклюзия правой общей подвздошной артерии

16.

Стеноз и девиация терминального отдела аорты,
окклюзия правой общей подвздошной артерии,
аневризма левой внутренней подвздошной артерии

17.

Окклюзия правой общей подвздошной артерии

18.

Перекрут бранш БАБШ

19.

Средняя окклюзия аорты

20.

Норма (бедренные артерии)

21.

Норма (подколенные артерии)

22.

Окклюзия артерий голени

23.

Окклюзия левой поверхностной бедренной артерии,
окклюзия артерий левой голени

24.

Окклюзия правой подколенной артерии и
артерий правой голени

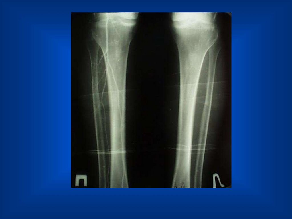
25.

Окклюзия артерий обеих голеней

26.

27.

Окклюзия левой
подколенной артерии

28.

Окклюзия обеих поверхностных бедренных артерий

29.

Окклюзия правой поверхностной бедренной артерии

30.

Окклюзия правой поверхностной бедренной артерии

31.

Окклюзия левой поверхностной Состояние после стентирования левой
бедренной артерии
поверхностной бедренной артерии

32.

Окклюзия правой поверхностной бедренной артерии

33.

Окклюзия левой подколенной артерии,
аневризма левой подколенной артерии
English     Русский Rules