33.55M
Category: medicinemedicine

Пародонтология для пациентов

1.

© DÜRR DENTAL AG
1

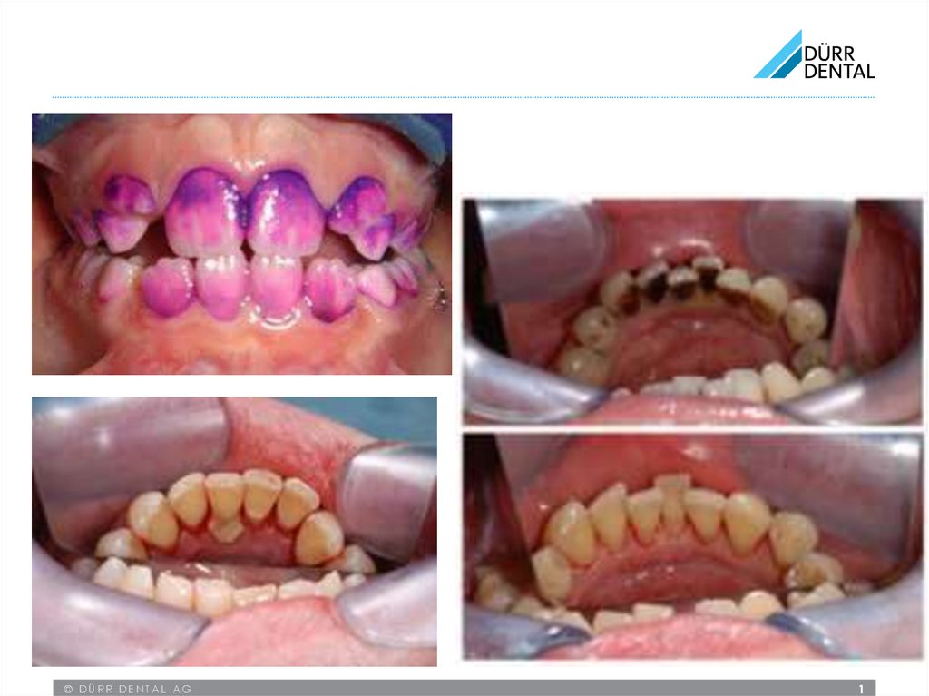
2.

Налёт в труднодоступных зонах причина воспаления десны и
кариозных полостей
© DÜRR DENTAL AG
2

3.

Налёт – это БАКТЕРИИ, разрушающие фундамент
зуба
© DÜRR DENTAL AG
3

4.

© DÜRR DENTAL AG
4

5.

Чем глубже карман,
тем сложнее спасти зубы
© DÜRR DENTAL AG
5

6.

© DÜRR DENTAL AG
6

7.

Что будет, если не лечить у пародонтолога:
Пациенты принебрегали лечением
у пародонтолога – ушла костная ткань
© DÜRR DENTAL AG
7

8.

Что будет, если не лечить у пародонтолога:
© DÜRR DENTAL AG
8

9.

Что будет, если не лечить у пародонтолога:
© DÜRR DENTAL AG
9

10.

Что будет, если не лечить у пародонтолога:
© DÜRR DENTAL AG
10

11.

Что будет, если не лечить у пародонтолога:
© DÜRR DENTAL AG
11

12.

Что будет, если не лечить у пародонтолога:
Зубной камень на
коронке на имплантанте
© DÜRR DENTAL AG
12

13.

Этапы лечения:
• 1 этап - Гигиеническая чистка
• 2 этап – Глубокая пародонтологическая
чистка – Кюретаж либо Вектор
(в зависимости от ситуации)
• Санация полости рта у терапевта,
ортопеда, ортодонта, хирурга

14.

Профилактика
переимплантита, продление
срока службы имплантанта

15.

Аппаратный метод лечения пародонтита
© DÜRR DENTAL AG
15

16.

Поверхность корня после
пародонтологического лечения

17.

Аппаратный метод лечения пародонтита

18.

РЕЗУЛЬТАТЫ
Десна через сутки
после лечения
© DÜRR DENTAL AG
18

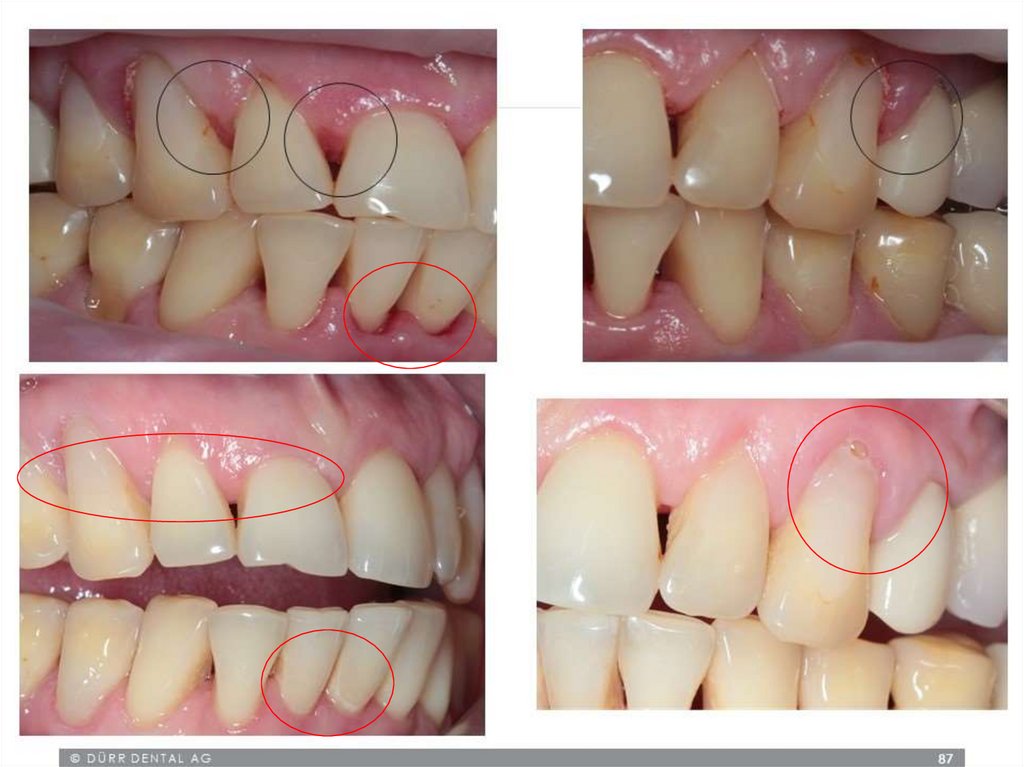
19.

Десна через сутки
после лечения
© DÜRR DENTAL AG
19

20.

Десна через
7 суток
после лечения
© DÜRR DENTAL AG
20

21.

© DÜRR DENTAL AG
21

22.

Десна через
5 суток
после лечения
© DÜRR DENTAL AG
22

23.

Рекомендации пациентам после
лечения у пародтолога
Замена зубной щетки на новую
Чистка зубов 2 раза в день
Исключение использования отбеливающих зубных паст
Ежедневное использование ирригатора
Использование флосса
Щадящая диета (отмена грубой, травмирующей пищи) в
день процедуры
Повторение профессиональной гигиены каждые 6
месяцев
Профилактическая обработка Vector-терапия
Наблюдение у пародонтолога
Терапевтическая, ортопедическая, хирургическая,
ортодонтическая санация по показаниям
English     Русский Rules