5.67M
Category: medicinemedicine

Доброкачественные образования орбиты

1.

Периневральная ретробульбарная киста

2.

Каротидокавернозное
соустье

3.

Образования (фибромы?) роговицы левого глазного яблока

4.

Послеоперационные изменения слева (х.з. чего тама )
Справа врожденная отслойка сетчатки и амавроз.

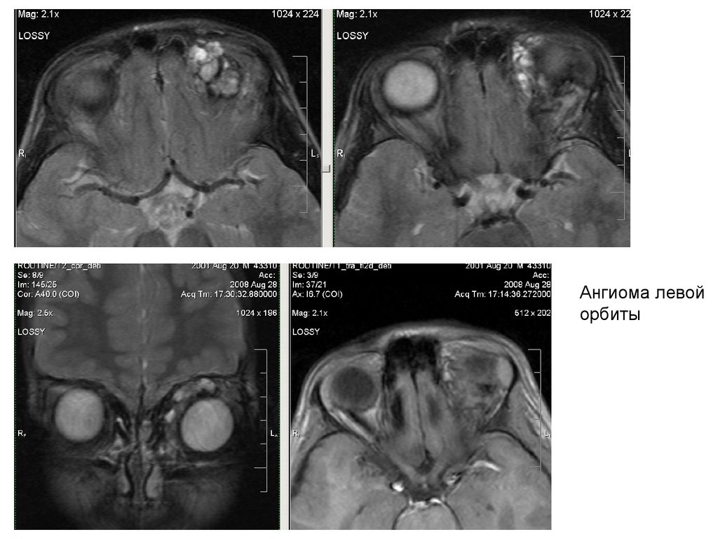
5.

Ангиома левой
орбиты

6.

Ангиома
Правой
орбиты
English     Русский Rules