Рентгенодиагностика опухолей желудочно-кишечного тракта
Рентгенодиагностика доброкачественных опухолей желудочно-кишечного тракта
Классификация доброкачественных опухолей ЖКТ
Рентгенодиагностика рака желудочно-кишечного тракта
Классификация рака органов ЖКТ
Редкие случаи из практики
Благодарю за внимание!
22.48M
Category: medicinemedicine

Рентгенодиагностика опухолей желудочно-кишечного тракта

1. Рентгенодиагностика опухолей желудочно-кишечного тракта

Кафедра лучевой диагностики и лучевой терапии ГБОУ ВПО
Рост ГМУ Минздрава России
РЕНТГЕНОДИАГНОСТИКА
ОПУХОЛЕЙ ЖЕЛУДОЧНОКИШЕЧНОГО ТРАКТА

2. Рентгенодиагностика доброкачественных опухолей желудочно-кишечного тракта

Рентгенодиагностика
доброкачественных
опухолей желудочнокишечного тракта

3. Классификация доброкачественных опухолей ЖКТ

1. Внутрипросветные
доброкачественные опухоли;
2. Внутристеночные
доброкачественные опухоли.

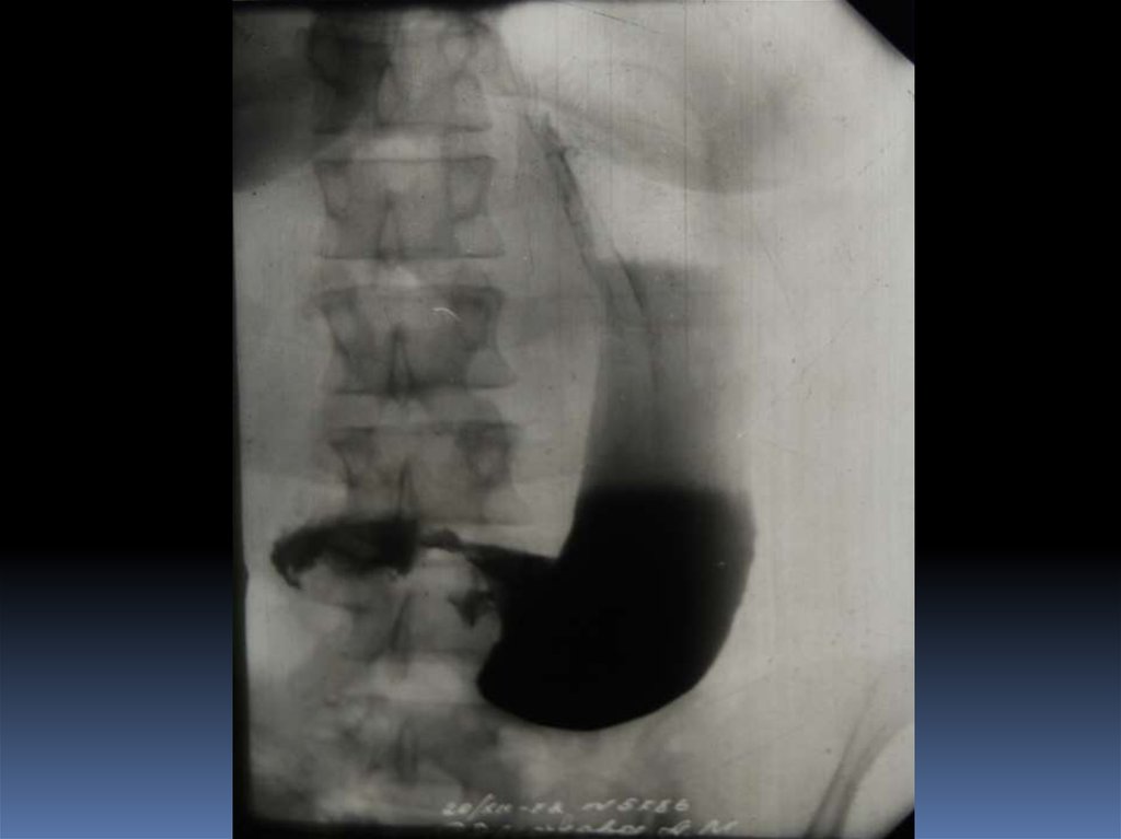
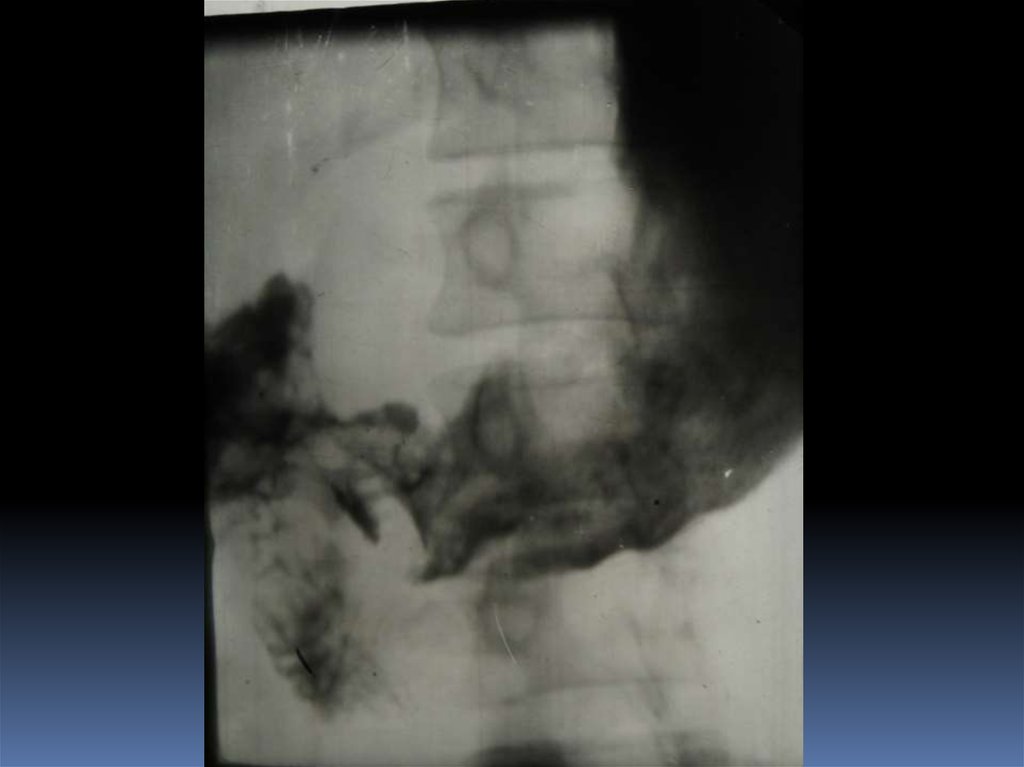
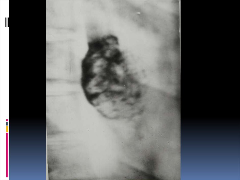
4.

5.

6.

7.

8.

9.

10.

11.

12.

13.

14.

15.

16. Рентгенодиагностика рака желудочно-кишечного тракта

Рентгенодиагностика
рака желудочнокишечного тракта

17. Классификация рака органов ЖКТ

1. Экзофитная форма:
2. Эндофитная форма:
узловая форма;
диффузноинфильтративная
форма;
полипоподобная
форма;
чашеподобная форма. инфильтративноязвенная.
3. СМЕШАННАЯ ФОРМА – 10-15%

18.

19.

20.

21.

22.

23.

24.

25.

26.

27.

28.

29.

30.

31.

32.

33.

34.

35.

36.

37.

38.

39.

40.

41.

42.

43.

44.

45.

46.

47.

48.

49.

50.

51.

52.

53.

54. Редкие случаи из практики

55.

56.

57. Благодарю за внимание!

English     Русский Rules