806.00K
Category:
biology
Similar presentations:
Эпителий ұлпасы. Дәнекер ұлпа. Бұлшықет ұлпасы. Жүйке ұлпасы
Жүйке ұлпасы
Жасуша ядросы
Жасуша теориясы
Жасуша патофизиологиясы
Жасуша құрылысы
Жасуша ядросы
Жасуша мембранасының компоненттері
Жасуша мембранасының биофизикасы
Жасуша және оның құрылысы
Жасуша ұлпасы
1.
А
2.
3.
.
4.
5.
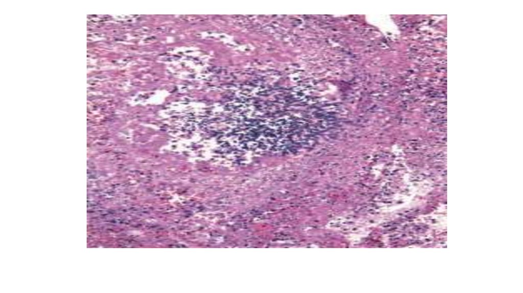
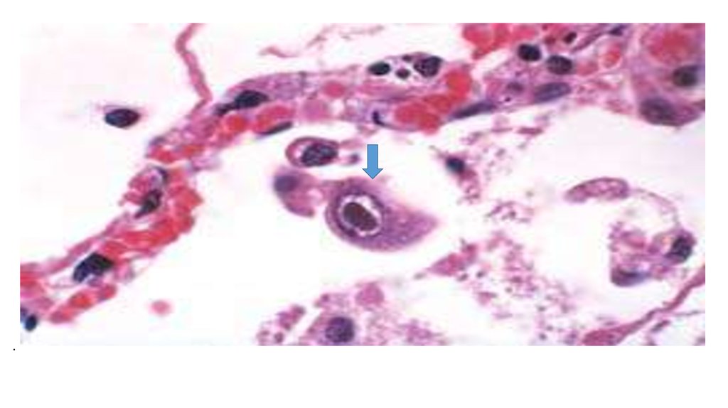
Қызылша кезіндегі пневмония: серозды макрофагальды-десквамативті
пневмония интерстициальды компонентпен, перибронхиальды тін зақымдалуы
English
Русский
Rules