ТЭЛА. Диагностика
Основные маркеры, пригодные для стратификации риска при острой тромбоэмболии легочной артерии
Клиническая оценка
Клинические проявления
Частота клинических проявлений
Правила клинической вероятности ТЭЛА(пересмотренная Женевская шкала)
Диагностика
Rh- органов грудной клетки
Д-димер
Спасибо за внимание!
1.42M
Category: medicinemedicine

Тромбоэмболия легочной артерии. Диагностика

1. ТЭЛА. Диагностика

Подготовила:
Лалетина Л.В,
Студентка 4 курса ЛФ
группы 1422
Томск 2017

2. Основные маркеры, пригодные для стратификации риска при острой тромбоэмболии легочной артерии

Клинические
маркеры
Маркеры
дисфункции ПЖ
Маркеры
поражения
миокарда (пж)
Шок
гипотензия
Дилатация ПЖ, гипокинез или
перегрузка давлением на ЭхоКГ
Дилатация ПЖ при спиральной
компьютерной томографии
Повышение уровня сердечных
тропонинов T или I

3. Клиническая оценка

ТЭЛА
С высоким риском
смертности
ТЭЛА
С невысоким
риском смертности
Ранний риск смерти
> 15 %
ТЭЛА
Ранний риск смерти Со средним
> 15 %
риском смертности
Min 1 маркер ДПЖ
или 1 маркер пж +
ТЭЛА
С низким риском
смертности
Диагностируются в
тех случаях, когда
маркеры ДПЖ и пж -

4. Клинические проявления

Подозрение на ТЭЛА в 90% случаев
усиливается, при наличии у пациентов :
боли в
груди
одышка
одышки
обморок
шок
Артериальная
гипотензия

5. Частота клинических проявлений

Жалобы и симптомы
Одышка
Боли в груди
(«плевритоподобные»)
Кашель
Обморок
Боли в груди («загрудинные»)
Кровохарканье
Частота встречаемости
80%
52%
20%
19%
12%
11%

6. Правила клинической вероятности ТЭЛА(пересмотренная Женевская шкала)

Параметр
Предрасполагающие
факторы
Симптомы
НИЗКАЯ 0-3 БАЛЛА
Баллы
Возраст > 65 лет
+1
ТГВ или ТЭЛА в анамнезе
+3
Хирургическая операция
или перелом в течение 1
месяца
+2
Злокачественное
новообразование на
активной стадии
+2
Односторонние боли в
нижних конечностях
+3
Кровохаркание
+2
74-94 удара/мин
+3
≥ 95 ударов/мин
+5
СРЕДНЯЯ 4-10 БАЛЛА
ВЫСОКАЯ >= 11 БАЛЛОВ

7. Диагностика

Рутинные
исследования
1. Физикальные
исследования
2. Рентгенография
органов грудной
клетки
Целенаправленная
инструментальная и
лабораторная диагностика
Специфическая
инструментальная
диагностика
1. Вентиляционноперфузионная
сцинтиграфия
1. Эхокардиография
2. Ангиопульмонография
2. Д-димер
3. УЗИ глубоких вен
нижних конечностей
3. КТ с
контрастированием

8. Rh- органов грудной клетки

9.

ЭХО-КГ

10. Д-димер

Д-димер плазмы крови – продукт деградации
«поперечносшитого» фибрина.
Д-димер в плазме
крови повышается
Нормальный уровень
Д-димера в плазме
Мала
вероятность
острой ТЭЛА

11.

УЗИ ТГВ ГОЛЕНИ

12.

Сцинтиграфия лёгких

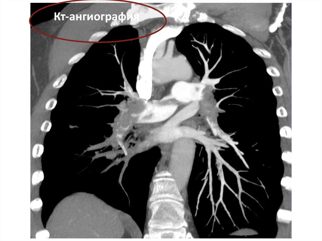
13.

Кт-ангиография

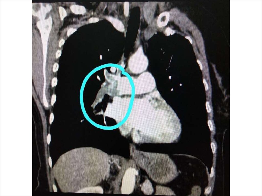
14.

Кт-ангиография

15.

Компьютерная
томография

16.

Компьютерная
томография

17.

18.

Подозрение на ТЭЛА с высоким
риском, т.е с шоком или
гипотензией
НЕТ
КТ доступна сразу же?
Эхокардиография
Перегрузка ПЖ
НЕТ
ДА
ДА
КТ доступна и
состояние
пациента
нормализовалось
КТ
Другие тесты не доступны или
состояние пациента не
стабилизировалось
ПОИСК ДР. ПРИЧИН
Тромболизис/эмбо
лэктомия не
оправданы
ТЭЛА-специфическое лечение
оправдано
(рассмотрение проведения
тромболизиса или эмболэктомиии)
ПОИСК ДР. ПРИЧИН
Тромболизис/эмбо
лэктомия не
оправданы

19.

Подозрение на ТЭЛА с невысоким
риском (нет шока)
Оценка клинической
вероятности ТЭЛА
Низкая/средняя
клиническая вероятность
(ТЭЛА маловероятна)
D-димер
Высокая клиническая
вероятность
(ТЭЛА маловероятна)
КТ
Компрессионная
УЗИ-венография
для определения
ГВТ
ЛЕЧЕНИЕ ТЭЛА НЕ
ПРОВОДИТСЯ
ЛЕЧЕНИЕ
ЛЕЧЕНИЕ ТЭЛА НЕ
ПРОВОДИТСЯ

20. Спасибо за внимание!

СПИТЕ ПОБОЛЬШЕ!
БЕРЕГИТЕ СВОЕ ЗДОРОВЬЕ!!!
English     Русский Rules