9.80M
Category: medicinemedicine

Локализация язв

1.

Локализация язв

2.

Стадии развития хронической язвы

3.

Острая язва 12- перстной кишки с
пенетрацией в поджелудочную железу

4.

Хроническая язва и эрозии желудка

5.

Строение язвы в стадии ремиссии и
обострения

6.

Helicobacter pylori

7.

Язва желудка

8.

Подрытый край язвы желудка

9.

Дно язвы желудка при обострении

10.

Осложнения язвенной болезни: стеноз
привратника, кровотечение

11.

Лейомиома и безоар желудка

12.

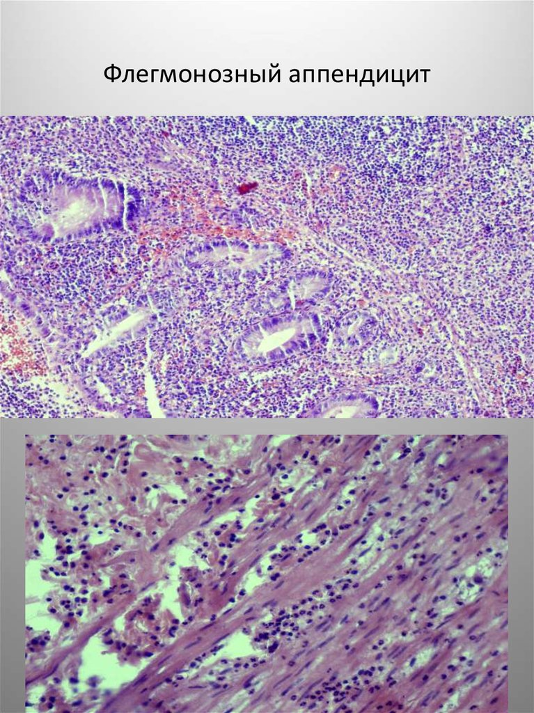
Флегмонозный
аппендицит

13.

Флегмонозный аппендицит

14.

Гангренозный
аппендицит

15.

Гангренозный аппендицит. Разлитой
перитонит

16.

Флегмонозный
аппендицит

17.

Флегмонозный аппендицит

18.

Хронический аппендицит

19.

Острый массивный некроз печени.
Стадия желтой дистрофии

20.

Врожденные кисты печени.
Массивный некроз печени

21.

Острый массивный некроз печени

22.

23.

Вакуольная дистрофия гепатоцитов
при остром вирусном гепатите

24.

Матово- стекловидные гепатоциты при
вирусном гепатите

25.

Тельце Каунсильмена

26.

Ступенчатый некроз при
вирусном гепатите

27.

Мостовидный некроз гепатоцитов
с лимфогистиоцитарной
инфильтрацией

28.

Хронический гепатит В с минимальной
активностью

29.

Хронический вирусный гепатит С

30.

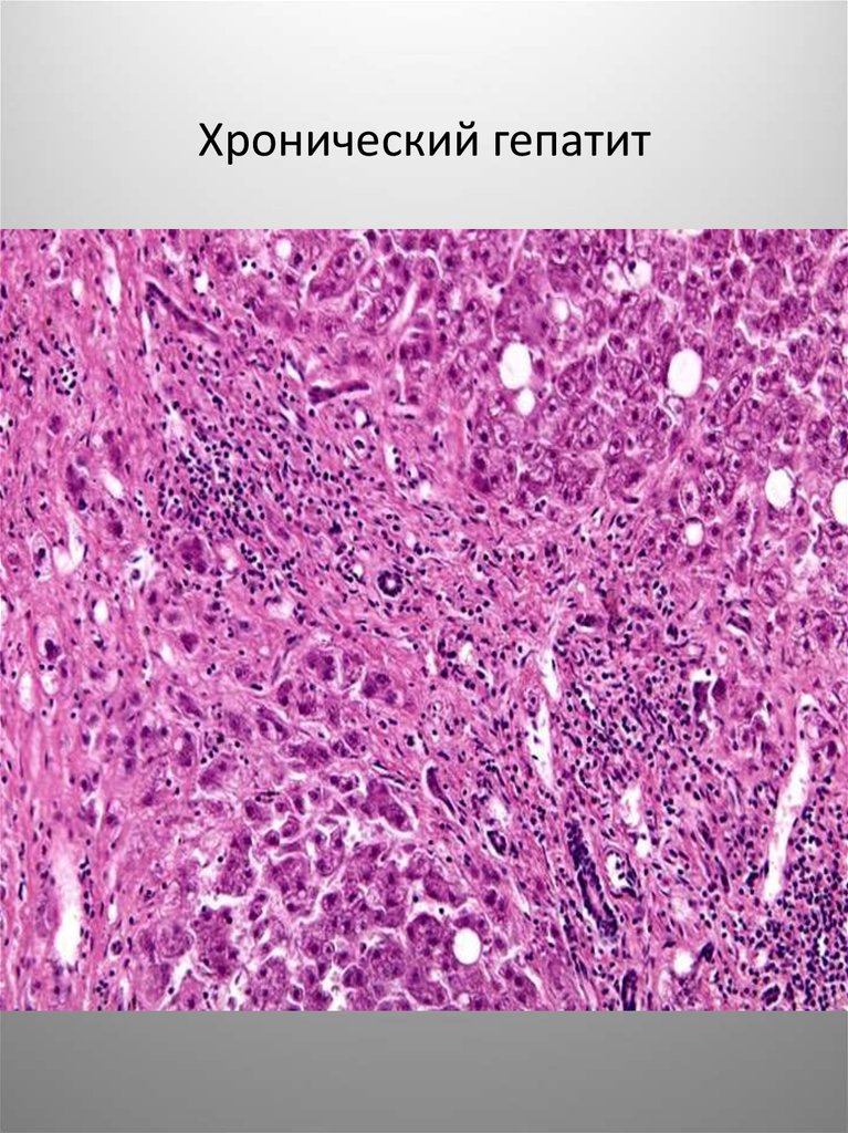
Хронический гепатит

31.

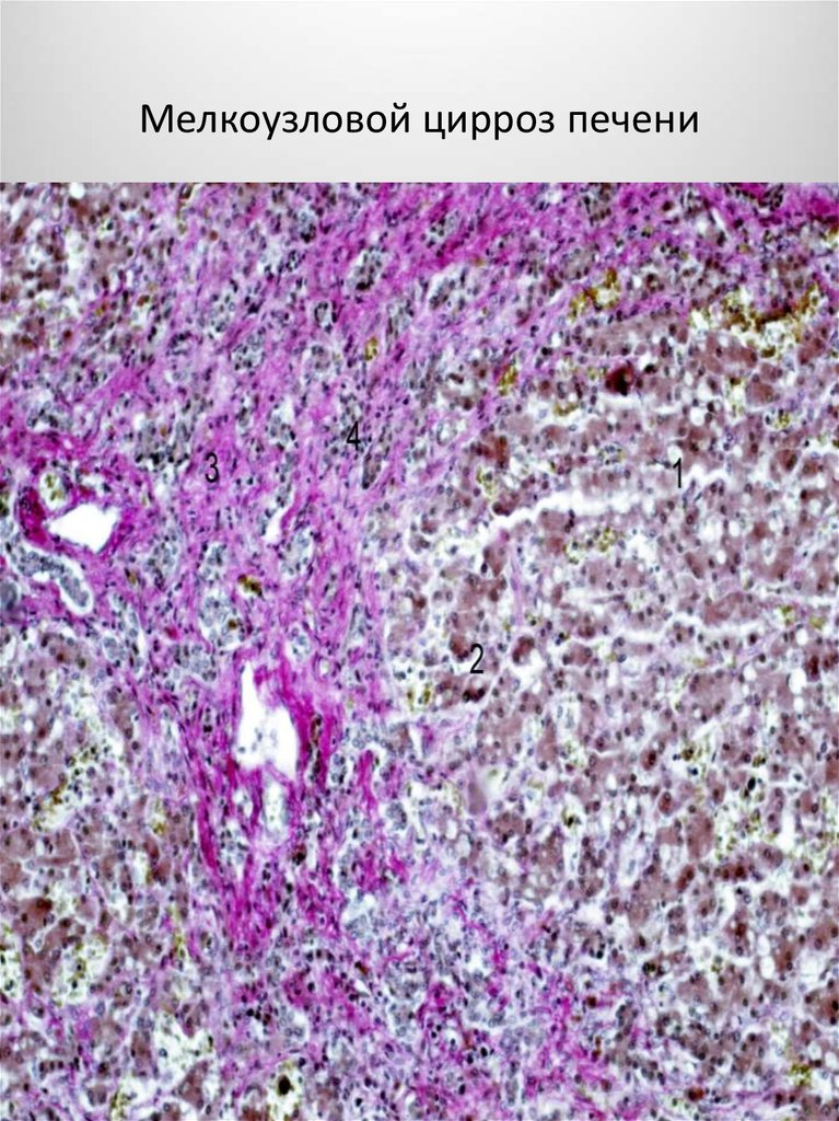
Мелкоузловой цирроз печени

32.

Крупноузловой цирроз печени

33.

Макронодулярный цирроз печени

34.

Цирроз при наследственном
гемахроматозе

35.

Билиарный цирроз
печени

36.

Цирроз печени после гепатита С

37.

Цирроз печени

38.

Мелкоузловой цирроз печени

39.

Монолобулярный цирроз печени

40.

Варикозное расширение вен
пищевода и кандидоз.

41.

Цирроз печени с портальной
гипертензией « голова медузы»

42.

Портальная гипертензия при
циррозе печени: асцит, «голова
медузы»

43.

Варикозное расширение вен прямой
кишки при циррозе печени.
English     Русский Rules