618.00K
Category:
medicine
Similar presentations:
Женская половая система. Срезы
Мужская половая система
Мужская половая система
Аномалии мужской половой системы
Мужская и женская половая система
Половые гормоны и развитие мужской половой системы. Крипторхизм
Анатомия и физиология мужской половой системы
Половая система человека. Мужская половая система
Функциональная анатомия органов мужской половой системы
Анатомия и физиология мужской половой системы
Мужская половая система. Срезы
1.
Яичко половозрелого организма
(извитые семенные канальцы).
Окр.: Г+Э
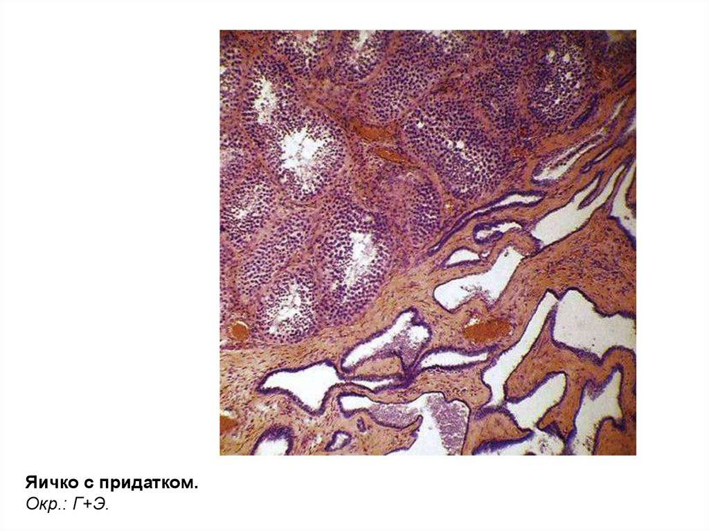
2.
Яичко с придатком.
Окр.: Г+Э.
3.
Придаток яичка.
Окр.: Г+Э
4.
Срез предстательной железы.
Окр.: Г+Э.
English
Русский
Rules