Рентгенодиагностика вирусных и вторичных острых пневмоний
Острая интерстициальная пневмония
Острые вирусные пневмонии
Септические метастатические пневмонии
Острые вторичные пневмонии
1.23M
Category: medicinemedicine

Рентгенодиагностика вирусных и вторичных острых пневмоний

1. Рентгенодиагностика вирусных и вторичных острых пневмоний

2. Острая интерстициальная пневмония

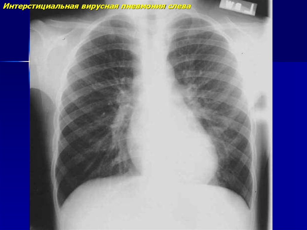
3.

Интерстициальная вирусная пневмония слева

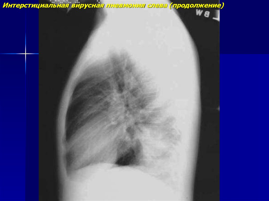
4.

Интерстициальная вирусная пневмония слева (продолжение)

5.

Двухсторонняя интерстициальная вирусная пневмония

6.

Двухсторонняя интерстициальная вирусная пневмония (продолжение)

7.

Двухсторонняя интерстициальная вирусная пневмония с
геморрагическим отеком легкого и паренхиматозным инфильтратом
справа

8.

Двухсторонняя интерстициальная вирусная пневмония с
геморрагическим отеком легкого и паренхиматозным инфильтратом
справа (продолжение)

9. Острые вирусные пневмонии

10.

Острая верхнедолевая микоплазменная пневмония справа

11.

Острая верхнедолевая микоплазменная пневмония справа
(продолжение)

12.

Двухсторонняя пневмоцистная пневмония

13.

Двухсторонняя пневмоцистная пневмония

14.

Двухсторонняя пневмоцистная пневмония

15.

Двухсторонняя интерстициальная орнитозная пневмония

16.

Двухсторонняя орнитозная пневмония с инфильтратами

17. Септические метастатические пневмонии

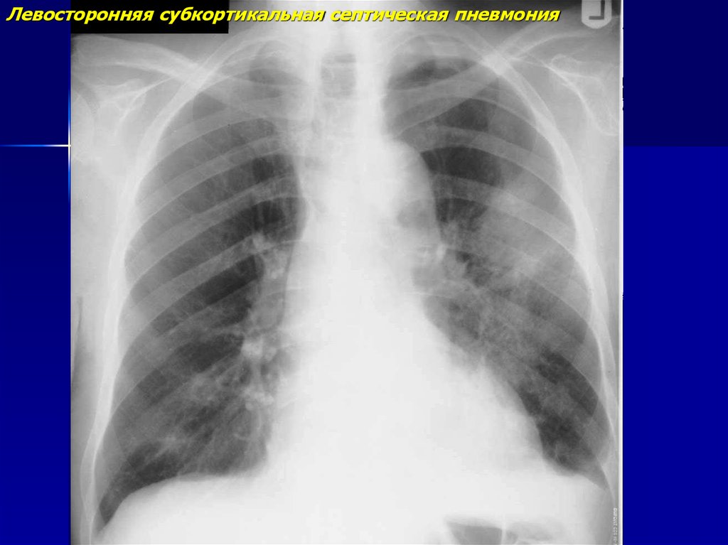
18.

Левосторонняя субкортикальная септическая пневмония

19.

Левосторонняя септическая пневмония с распадом

20.

Левосторонняя септическая пневмония с распадом

21.

Левосторонняя септическая пневмония с распадом (продолжение)

22.

Левосторонняя септическая пневмония с распадом (продолжение)

23. Острые вторичные пневмонии

24.

Двусторонняя аллергическая пневмония (летучие эозинофильные
инфильтраты)

25.

Двусторонняя аллергическая пневмония (летучие эозинофильные
инфильтраты) продолжение

26.

Двусторонняя аспирационная пневмония в нижних отделах
English     Русский Rules