5.26M
Category: biologybiology

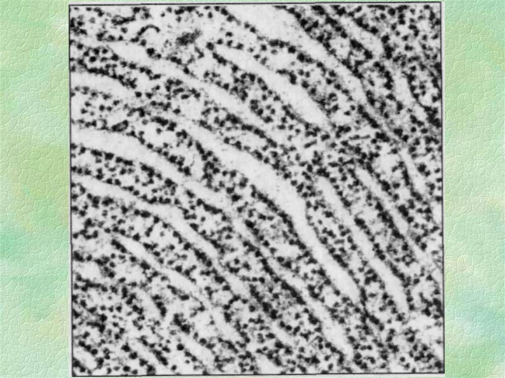
Органоиды клетки

1.

2.

ЭР
Гладкий
(агранулярный)
Шероховатый
(гранулярный)

3.

Представлен системой плоских цистерн, на
поверхности которых расположены рибосомы.

4.

Немембранный органоид. По химическому
составу – р-РНК + белок.
Имеет 2 субъединицы: большую и малую.

5.

Рибосомы, объединяясь с и-РНК образуют
полисому.

6.

Синтез и транспорт белков.

7.

8.

Синтез и транспорт липидов и углеводов.
Синтез ионов кальция.
Участвует в детоксикации ядовитых веществ.

9.

10.

Принимает участие в синтетической
активности клетки
Принимает участие в синтезе мембран
Участвует в процессе оплодотворения
яйцеклетки
Участвует в пристеночном пищеварении
Придает специфичность всем клеточным
мембранам
Участвует в синтезе лизосом

11.

12.

3. первичные;
4. вторичные;
5. телолизосомы;
6. аутолизосомы;
English     Русский Rules