Подготовка к итоговому занятию.
Кожа пальца человека Окраска гематоксилин – эозином .
Нейтрофилы
Эозинофилы
Базофилы
Тромбоциты
Тигроид
Нейрофибриллы
Миелиновые нервные волокна
24.15M
Category: biologybiology

Подготовка к итоговому занятию

1. Подготовка к итоговому занятию.

2.

3.

4. Кожа пальца человека Окраска гематоксилин – эозином .

роговой cлой
эпидермис
блестящий слой
зернистый слой
шиповатый слой
базальный слой
дерма
гиподерма
сосочковый слой
сетчатый слой
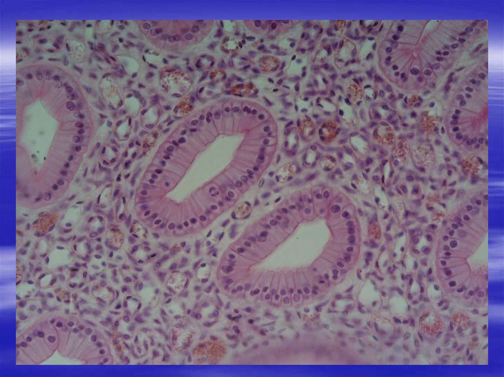
Выводные протоки потовых
желез
Концевой отдел потовой
железы
Подкожная жировая
клетчатка
Кожа пальца человека
Окраска гематоксилин – эозином .

5.

6.

7.

8.

F:\Preparat\020A-10.JPG

9.

10.

11. Нейтрофилы

12. Эозинофилы

13. Базофилы

14.

Моноциты

15.

Лимфоциты

16.

Тромбоциты

17. Тромбоциты

18.

19.

20.

21.

22.

F:\Preparat\028-4.JPG

23.

24.

25.

26.

27.

28.

29.

Переходный
эпителий в
мочевом пузыре.

30.

31.

32.

33.

34.

35. Тигроид

1- нейрон
2- ядро
3- тигроид
(субстанция Нисля)
4- аксон

36.

37. Нейрофибриллы

38.

39.

40.

41. Миелиновые нервные волокна

English     Русский Rules