ДИАБЕТИЧЕСКАЯ РЕТИНОПАТИЯ СОВРЕМЕННАЯ ТАКТИКА ТЕРАПЕВТИЧЕСКОГО ЛЕЧЕНИЯ
ДИАБЕТИЧЕСКАЯ РЕТИНОПАТИЯ СОВРЕМЕННАЯ ТАКТИКА ТЕРАПЕВТИЧЕСКОГО ЛЕЧЕНИЯ
РАСПРОСТРАНЕННОСТЬ САХАРНОГО ДИАБЕТА
ПИТЕР БРЕЙГЕЛЬ СТАРШИЙ «ПРИТЧА О СЛЕПЫХ» 1568 год Неаполь, Национальный музей
РАСПРОСТРАНЕННОСТЬ ДИАБЕТИЧЕСКОЙ РЕТИНОПАТИИ (ПО ДАННЫМ ТЕРРИТОРИАЛЬНОГО ДИАБЕТОЛОГИЧЕСКОГО ЦЕНТРА САНКТ-ПЕТЕРБУРГА)
РАСПРОСТРАНЕННОСТЬ ДИАБЕТИЧЕСКОЙ РЕТИНОПАТИИ (ПО ДАННЫМ ТЕРРИТОРИАЛЬНОГО ДИАБЕТОЛОГИЧЕСКОГО ЦЕНТРА САНКТ-ПЕТЕРБУРГА)
РАСПРОСТРАНЕННОСТЬ ДИАБЕТИЧЕСКОЙ РЕТИНОПАТИИ
Даже в странах с развитой системой лечения диабета за консультацией к офтальмологу обращаются менее половины нуждающихся в осмотре …. ….
ОСНОВНЫЕ ПРЕПЯТСТВИЯ ДЛЯ ЭФФЕКТИВНОЙ ПРОФИЛАКТИКИ СЛЕПОТЫ ВСЛЕДСТВИЕ САХАРНОГО ДИАБЕТА
ПРИОРИТЕТЫ В ОТНОШЕНИИ К ЗАБОЛЕВАНИЮ
ЦЕЛЕВЫЕ ПРОГРАММЫ
СЕМИПОЛЬНОЕ ФОТОГРАФИРОВАНИЕ СЕТЧАТКИ
ДВУХПОЛЬНОЕ ФОТОГРАФИРОВАНИЕ СЕТЧАТКИ
СКРИНИНГ ДИАБЕТИЧЕСКОЙ РЕТИНОПАТИИ
СТАНДАРТНОЕ ОФТАЛЬМОЛОГИЧЕСКОЕ ОБСЛЕДОВАНИЕ
НЕПРОЛИФЕРАТИВНАЯ РЕТИНОПАТИЯ С МАКУЛЯРНЫМ ОТЕКОМ толщиной менее 400* микрон
НЕПРОЛИФЕРАТИВНАЯ РЕТИНОПАТИЯ С МАКУЛЯРНЫМ ОТЕКОМ
НЕПРОЛИФЕРАТИВНАЯ РЕТИНОПАТИЯ С МАКУЛЯРНЫМ ОТЕКОМ толщиной более 400 микрон
ДИАБЕТИЧЕСКИЙ МАКУЛЯРНЫЙ ОТЕК ЛАЗЕРКОАГУЛЯЦИЯ С ИНТРАВИТРЕАЛЬНЫМ ВВЕДЕНИЕМ «КЕНАЛОГА»
ВОЗМОЖНЫЕ ОСЛОЖНЕНИЯ ИНТРАВИТРЕАЛЬНОГО ВВЕДЕНИЯ «КЕНАЛОГА»
ВНУТРИГЛАЗНОЕ ДАВЛЕНИЕ И ДИАБЕТИЧЕСКАЯ РЕТИНОПАТИЯ
ИНТРАВИТРЕАЛЬНОЕ ВВЕДЕНИЕ VEGF-ИНГИБИТОРОВ (подавление патологической сосудистой проницаемости и ангиогенеза)
ДИНАМИКА ОСТРОТЫ ЗРЕНИЯ ПО ТАБЛИЦАМ ETDRS
УЛУЧШЕНИЕ ОСТРОТЫ ЗРЕНИЯ ≥10 ЗНАКОВ ПО ТАБЛИЦАМ ETDRS
ДИНАМИКА ТОЛЩИНЫ СЕТЧАТКИ В МАКУЛЯРНОЙ ЗОНЕ
РЕЗУЛЬТАТЫ КЛИНИЧЕСКИХ ИССЛЕДОВАНИЙ РАНИБИЗУМАБА ПРИ ДИАБЕТИЧЕСКОМ МАКУЛЯРНОМ ОТЕКЕ
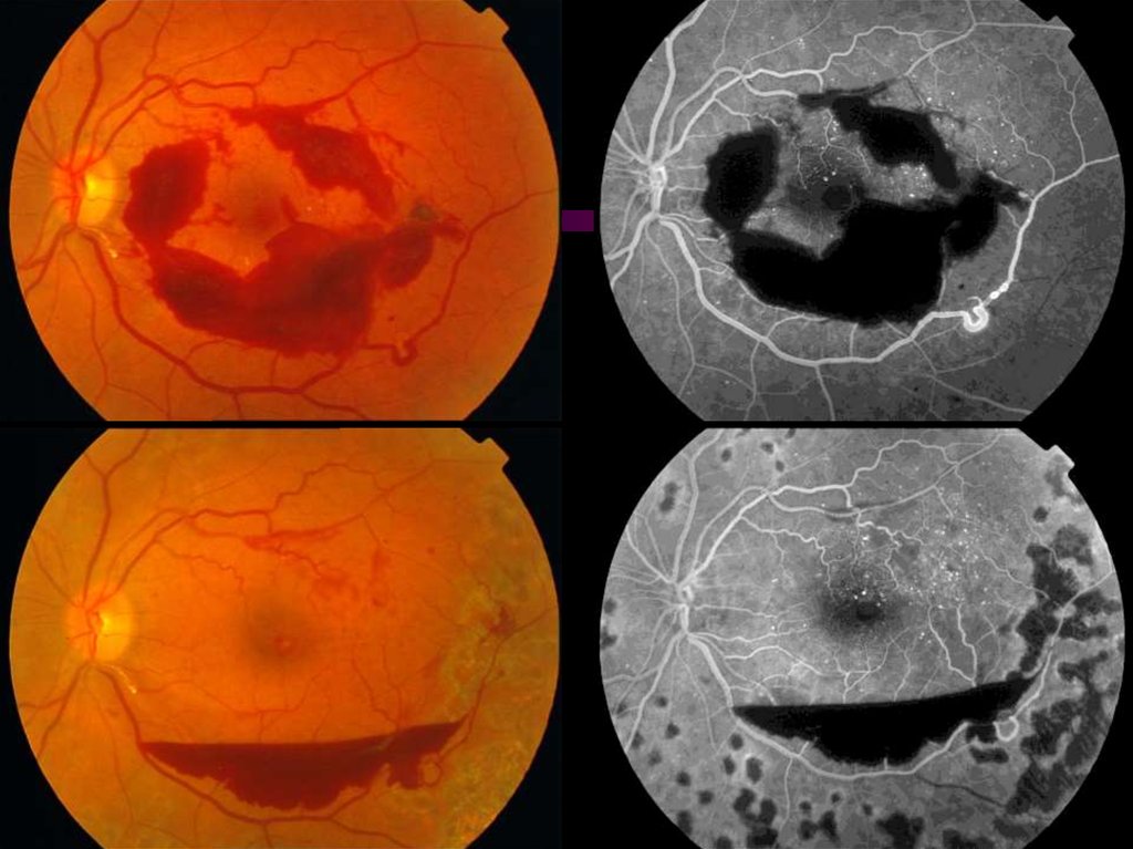
НЕПРОЛИФЕРАТИВНАЯ РЕТИНОПАТИЯ С МАКУЛЯРНЫМ ОТЕКОМ с тракционным компонентом
ДИАБЕТИЧЕСКИЙ МАКУЛЯРНЫЙ ОТЕК ВИТРЭКТОМИЯ С УДАЛЕНИЕМ ВНУТРЕННЕЙ ПОГРАНИЧНОЙ МЕМБРАНЫ СЕТЧАТКИ
ДИАБЕТИЧЕСКИЙ МАКУЛЯРНЫЙ ОТЕК ВИТРЭКТОМИЯ С УДАЛЕНИЕМ ВНУТРЕННЕЙ ПОГРАНИЧНОЙ МЕМБРАНЫ СЕТЧАТКИ
ДИАБЕТИЧЕСКИЙ МАКУЛЯРНЫЙ ОТЕК ФАРМАКОЛОГИЧЕСКИЙ ВИТРЕОЛИЗИС*
ДИАБЕТИЧЕСКИЙ МАКУЛЯРНЫЙ ОТЕК
ПРЕПРОЛИФЕРАТИВНАЯ ИЛИ ПРОЛИФЕРАТИВНАЯ РЕТИНОПАТИЯ БЕЗ МАКУЛЯРНОГО ОТЕКА
ОСНОВНАЯ ПРОБЛЕМА В РОССИИ
СТАНДАРТНАЯ СХЕМА ВЫПОЛНЕНИЯ ПАНРЕТИНАЛЬНОЙ ЛАЗЕРКОАГУЛЯЦИИ
КРИТЕРИИ ЭФФЕКТИВНОСТИ ПАНРЕТИНАЛЬНОЙ ЛАЗЕРКОАГУЛЯЦИИ
СОСТОЯНИЯ, ТРЕБУЮЩИЕ БОЛЕЕ «АГРЕССИВНОГО» ЛАЗЕРНОГО ВОЗДЕЙСТВИЯ
ПРЕПРОЛИФЕРАТИВНАЯ ИЛИ ПРОЛИФЕРАТИВНАЯ РЕТИНОПАТИЯ С МАКУЛЯРНЫМ ОТЕКОМ толщиной менее 400 микрон
ПРЕПРОЛИФЕРАТИВНАЯ ИЛИ ПРОЛИФЕРАТИВНАЯ РЕТИНОПАТИЯ С МАКУЛЯРНЫМ ОТЕКОМ толщиной более 400 микрон
ПРОЛИФЕРАТИВНАЯ РЕТИНОПАТИЯ С МАКУЛЯРНЫМ ОТЕКОМ
ПРОЛИФЕРАТИВНАЯ РЕТИНОПАТИЯ С КРОВОИЗЛИЯНИЕМ В СТЕКЛОВИДНОЕ ТЕЛО, ПРЕПЯТСТВУЮЩИМ ВЫПОЛНЕНИЮ ПРЛК
ПРОЛИФЕРАТИВНАЯ РЕТИНОПАТИЯ С РУБЕОЗОМ РАДУЖКИ БЕЗ ВТОРИЧНОЙ ГЛАУКОМЫ
ПРОЛИФЕРАТИВНАЯ РЕТИНОПАТИЯ С РУБЕОЗОМ РАДУЖКИ И ВТОРИЧНОЙ ГЛАУКОМОЙ
Для сохранения зрительных функций больных сахарным диабетом необходима его стабильная компенсация!!!
СОСУДИСТЫЕ ОСЛОЖНЕНИЯ И КОМПЕНСАЦИЯ САХАРНОГО ДИАБЕТА тип 1
СОСУДИСТЫЕ ОСЛОЖНЕНИЯ И КОМПЕНСАЦИЯ САХАРНОГО ДИАБЕТА тип 2
МЕТАБОЛИЧЕСКИЙ СИНДРОМ
КОМПЕНСАЦИЯ САХАРНОГО ДИАБЕТА ИНТЕНСИВНАЯ ИНСУЛИНОТЕРАПИЯ DCCT 1995,1996
ТРАНЗИТОРНАЯ ДИАБЕТИЧЕСКАЯ РЕТИНОПАТИЯ
ДИАБЕТИЧЕСКАЯ РЕТИНОПАТИЯ И АРТЕРИАЛЬНАЯ ГИПЕРТЕНЗИЯ WESDR, 1998
ДИАБЕТИЧЕСКАЯ РЕТИНОПАТИЯ И АРТЕРИАЛЬНАЯ ГИПЕРТЕНЗИЯ UKPDS 1998
Исследование влияния фенофибрата на уменьшение количества случаев осложнений диабета 2 типа
ПОТРЕБНОСТЬ В ЛАЗЕРНОМ ЛЕЧЕНИИ (%) В ЗАВИСИМОСТИ ОТ ИСХОДНОЙ СТАДИИ НЕПРОЛИФЕРАТИВНОЙ РЕТИНОПАТИИ FIELD
Исследование мероприятий по контролю сердечно-сосудистых рисков при диабете (исследование ACCORD)
ИССЛЕДОВАНИЕ ACCORD
ФИБРАТЫ И ДИАБЕТИЧЕСКАЯ РЕТИНОПАТИЯ
ЦЕЛЬ ИССЛЕДОВАНИЯ
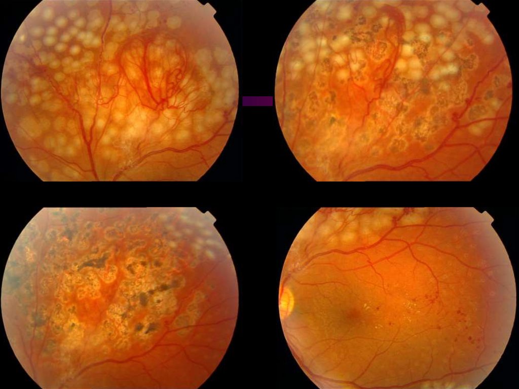
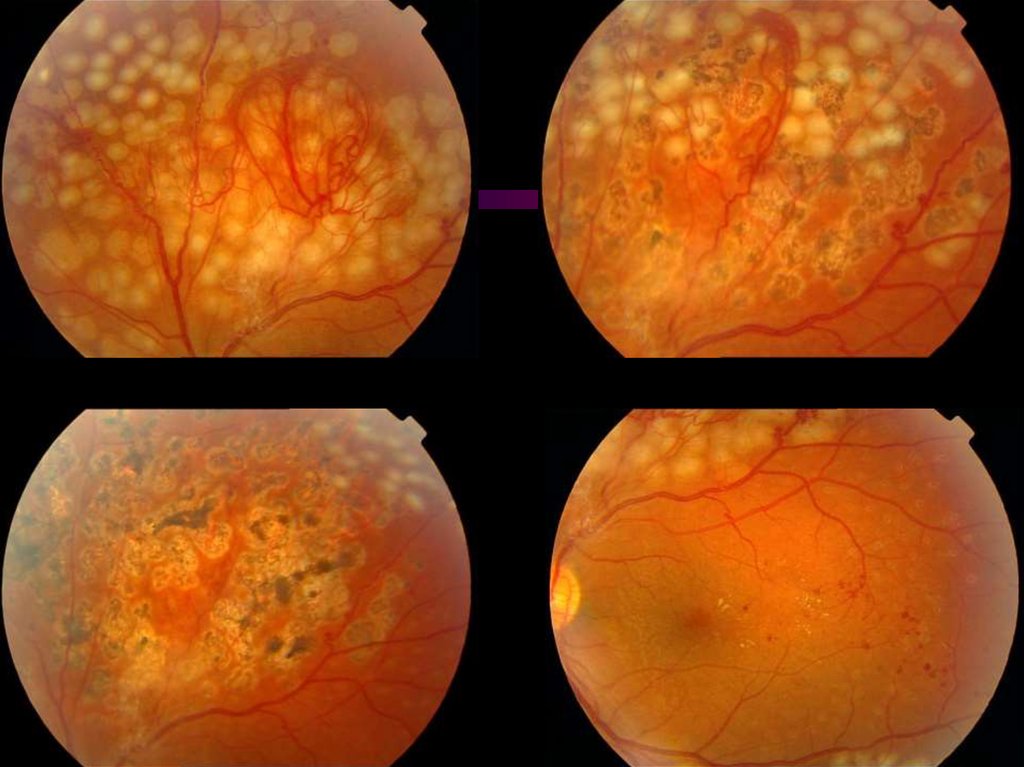
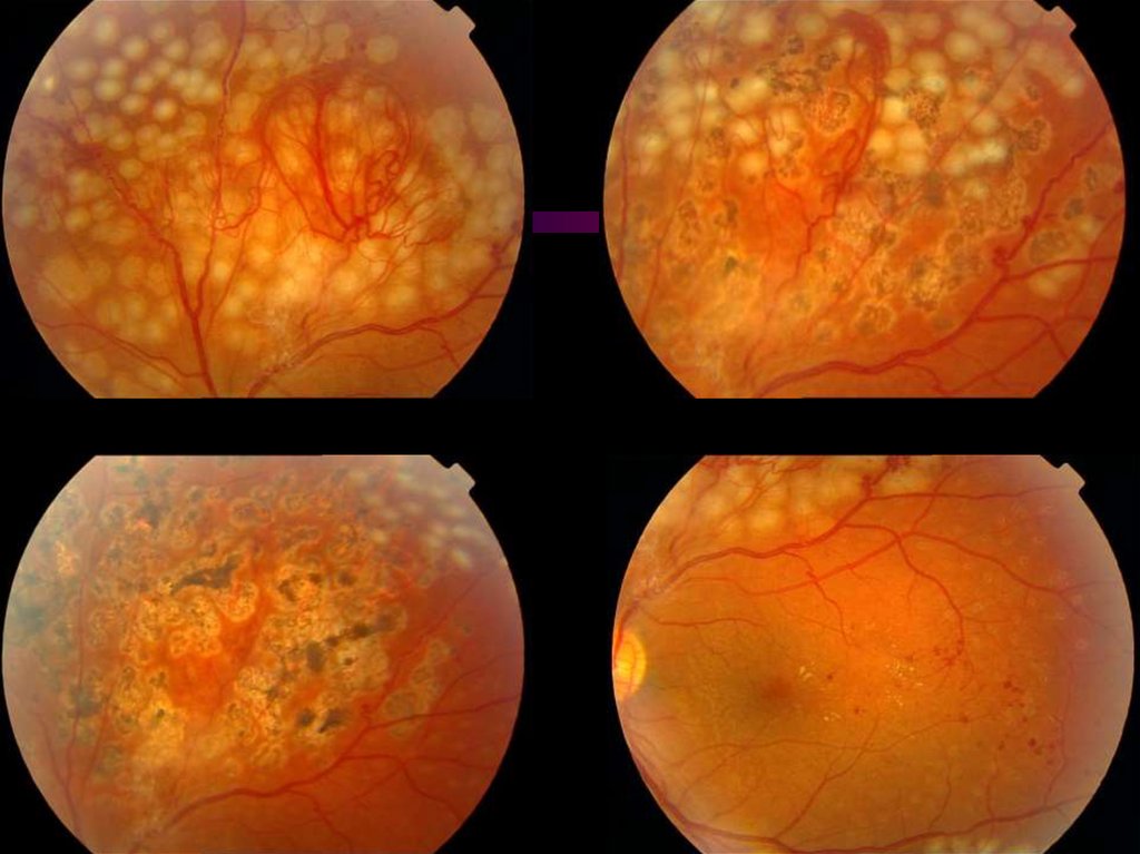
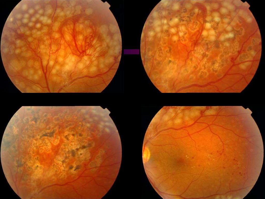
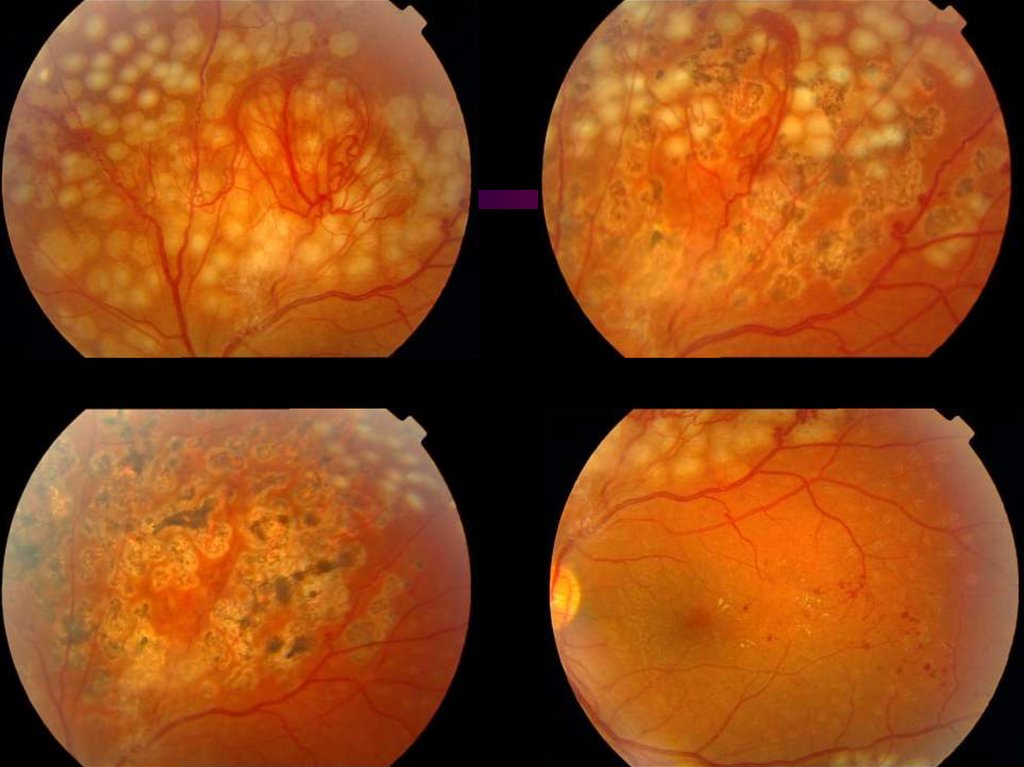
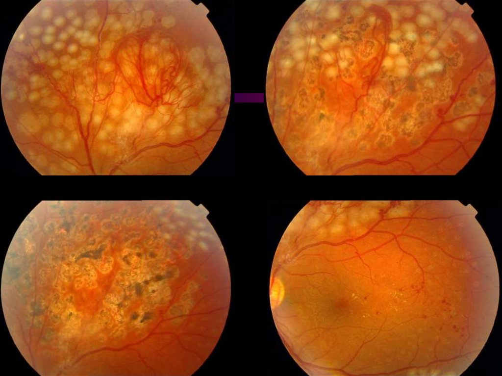
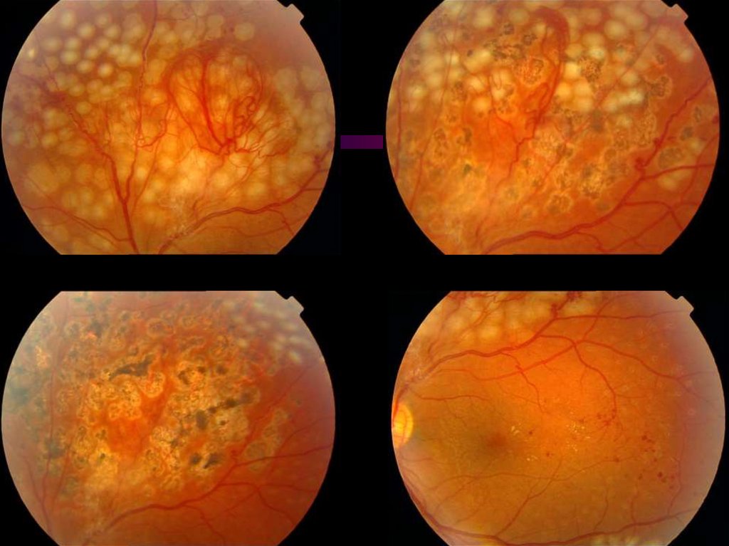
КРИТЕРИИ ВКЛЮЧЕНИЯ
КРИТЕРИИ ИСКЛЮЧЕНИЯ
КРИТЕРИИ ИСКЛЮЧЕНИЯ
МЕТОДЫ ИССЛЕДОВАНИЯ
СЕМИПОЛЬНОЕ ФОТОГРАФИРОВАНИЕ СТАНДАРТНЫХ ПОЛЕЙ СЕТЧАТКИ
ДИАБЕТИЧЕСКАЯ РЕТИНОПАТИЯ КЛАССИФИКАЦИЯ ETDRS (1991)
ПОКАЗАНИЯ К ПРОВЕДЕНИЮ ЛАЗЕРНОЙ КОАГУЛЯЦИИ СЕТЧАТКИ
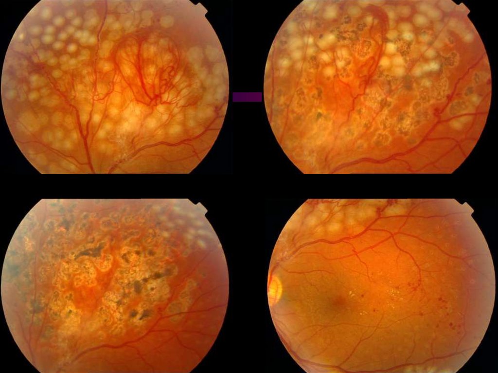
ПРОВОДИМАЯ ТЕРАПИЯ
ХАРАКТЕРИСТИКА ГРУППЫ
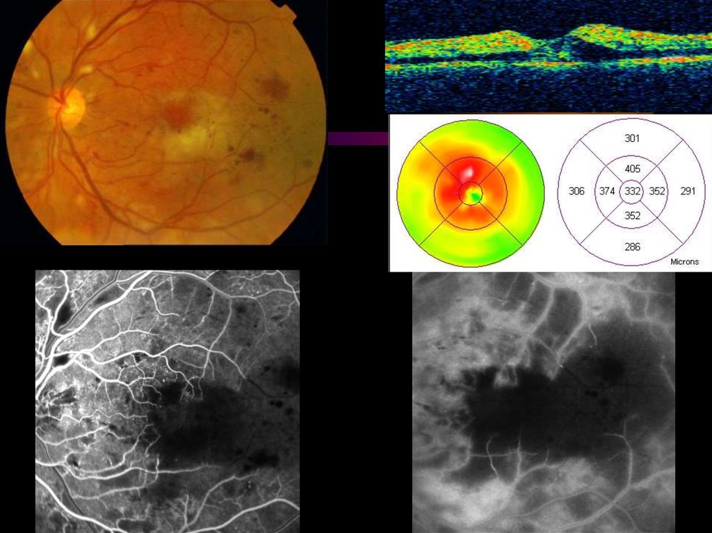
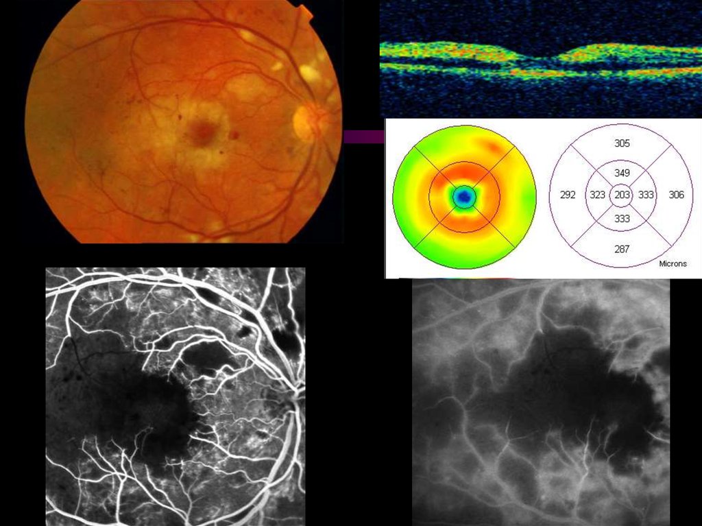
ХАРАКТЕРИСТИКА ГРУППЫ
ХАРАКТЕРИСТИКА ГРУППЫ
ТОЛЩИНА И ОБЪЕМ СЕТЧАТКИ В МАКУЛЯРНОЙ ЗОНЕ ДО И ПОСЛЕ НАЗНАЧЕНИЯ ФЕНОФИБРАТА
ПОКАЗАТЕЛИ ЛИПИДНОГО ОБМЕНА ДО И ПОСЛЕ НАЗНАЧЕНИЯ ФЕНОФИБРАТА
ПОКАЗАТЕЛИ ЛИПИДНОГО ОБМЕНА ДО И ПОСЛЕ НАЗНАЧЕНИЯ ФЕНОФИБРАТА
ОСНОВНЫЕ БИОХИМИЧЕСКИЕ ПОКАЗАТЕЛИ ДО И ПОСЛЕ НАЗНАЧЕНИЯ ФЕНОФИБРАТА
ОСНОВНЫЕ БИОХИМИЧЕСКИЕ ПОКАЗАТЕЛИ ДО И ПОСЛЕ НАЗНАЧЕНИЯ ФЕНОФИБРАТА
АРТЕРИАЛЬНОЕ ДАВЛЕНИЕ ДО И ПОСЛЕ НАЗНАЧЕНИЯ ФЕНОФИБРАТА
ПРОГРЕССИРОВАНИЕ РЕТИНОПАТИИ
ЛАЗЕРНАЯ КОАГУЛЯЦИЯ СЕТЧАТКИ
ВЫВОДЫ
ВЫВОДЫ
ВЫВОДЫ
ВЫВОДЫ
ВЫВОДЫ
ВЫВОДЫ
ВЫВОДЫ
СПАСИБО ЗА ВНИМАНИЕ
37.23M

Диабетическая ретинопатия. Современная тактика терапевтического лечения

1. ДИАБЕТИЧЕСКАЯ РЕТИНОПАТИЯ СОВРЕМЕННАЯ ТАКТИКА ТЕРАПЕВТИЧЕСКОГО ЛЕЧЕНИЯ

ШАДРИЧЕВ Ф.Е.
САНКТ-ПЕТЕРБУРГСКИЙ ТЕРРИТОРИАЛЬНЫЙ
ДИАБЕТОЛОГИЧЕСКИЙ ЦЕНТР
14 октября 2011 года
ЕКАТЕРИНБУРГ

2. ДИАБЕТИЧЕСКАЯ РЕТИНОПАТИЯ СОВРЕМЕННАЯ ТАКТИКА ТЕРАПЕВТИЧЕСКОГО ЛЕЧЕНИЯ

ШАДРИЧЕВ Ф.Е.
САНКТ-ПЕТЕРБУРГСКИЙ ТЕРРИТОРИАЛЬНЫЙ
ДИАБЕТОЛОГИЧЕСКИЙ ЦЕНТР
14 октября 2011 года
ЕКАТЕРИНБУРГ

3.

4.

5.

6.

7.

8.

9.

«Диабетическая ретинопатия - это та
область, в которой принципы медицины,
основывающиеся на доказательной базе,
были применены раньше всего и
наиболее широко …»
Porta M., Bandello F. Diabetic retinopathy
/ Diabetologia.- 2002.-V. 45.- P. 1617-1634

10. РАСПРОСТРАНЕННОСТЬ САХАРНОГО ДИАБЕТА

XXI век - пандемия сахарного диабета
• В мире – 246 млн. больных сахарным диабетом,
а к 2025 году количество их достигнет 380 млн.
(International Diabetes Federation, 2008)
• В России – более 2,6 млн. больных,
фактическая распространенность – 8-10 млн.
(И.И. Дедов, 2008)

11. ПИТЕР БРЕЙГЕЛЬ СТАРШИЙ «ПРИТЧА О СЛЕПЫХ» 1568 год Неаполь, Национальный музей

ДИАБЕТИЧЕСКАЯ РЕТИНОПАТИЯ ЯВЛЯЕТСЯ ОСНОВНОЙ
ПРИЧИНОЙ СЛЕПОТЫ ВО ВСЕХ РАЗВИТЫХ СТРАНАХ
ПИТЕР БРЕЙГЕЛЬ СТАРШИЙ
«ПРИТЧА О СЛЕПЫХ»
1568 год
Неаполь, Национальный музей

12.

В САНКТ-ПЕТЕРБУРГЕ НА НАЧАЛО 2011 ГОДА
БЫЛО ЗАРЕГИСТРИРОВАНО 119602 ПАЦИЕНТА
С САХАРНЫМ ДИАБЕТОМ

13. РАСПРОСТРАНЕННОСТЬ ДИАБЕТИЧЕСКОЙ РЕТИНОПАТИИ (ПО ДАННЫМ ТЕРРИТОРИАЛЬНОГО ДИАБЕТОЛОГИЧЕСКОГО ЦЕНТРА САНКТ-ПЕТЕРБУРГА)

11,6%
7,9%
50,2%
30,3%
ДР0
ДРI
ДРII
ДРIII
Астахов Ю.С., Шадричев Ф.Е..
Клиническая офтальмология.- М.- 2001.- Т. 2.- №4.- С. 148-153.

14. РАСПРОСТРАНЕННОСТЬ ДИАБЕТИЧЕСКОЙ РЕТИНОПАТИИ (ПО ДАННЫМ ТЕРРИТОРИАЛЬНОГО ДИАБЕТОЛОГИЧЕСКОГО ЦЕНТРА САНКТ-ПЕТЕРБУРГА)

РАСПРОСТРАНЕННОСТЬ
ДИАБЕТИЧЕСКОЙ РЕТИНОПАТИИ
частота ретинопатии в %
(ПО ДАННЫМ ТЕРРИТОРИАЛЬНОГО ДИАБЕТОЛОГИЧЕСКОГО ЦЕНТРА
САНКТ-ПЕТЕРБУРГА)
СД 1
СД 2 (инсулин)
СД 2 (таблетки)
100
90
80
70
60
50
40
30
20
10
0
до 5 лет
6-10 лет
11-20 лет
21-30 лет более 30 лет
длительность сахарного диабета
Астахов Ю.С., Шадричев Ф.Е..
Клиническая офтальмология.- М.- 2001.- Т. 2.- №4.- С. 148-153.

15. РАСПРОСТРАНЕННОСТЬ ДИАБЕТИЧЕСКОЙ РЕТИНОПАТИИ


-
сахарный диабет 1 типа (n = 5004)
ретинопатия (все стадии) – 65,4%;
скрининг
макулярный отек – 7,4%;
7253
пациентов
пролиферативная ретинопатия – 14,2%;
с диабетом
далекозашедшая пролиферативная – 2,3%.
сахарный диабет 2 типа на инсулине (n = 2249)
ретинопатия (все стадии) – 83,9%;
макулярный отек – 30,3%;
пролиферативная ретинопатия – 20,9%;
далекозашедшая пролиферативная – 4,1%.
Шадричев Ф.Е., Астахов Ю.С., Григорьева Н.Н., Шкляров Е.Б.,
Александрова О.Н., Крянева О.Я., Рутенбург Е.Л., Карпова И.А.
Офтальмологические ведомости.- 2009.- Т. 2.- № 4.- С. 13-18.

16. Даже в странах с развитой системой лечения диабета за консультацией к офтальмологу обращаются менее половины нуждающихся в осмотре …. ….

Даже в странах с развитой
системой лечения диабета за
консультацией к офтальмологу
обращаются менее половины
нуждающихся в осмотре ….
…. Из обратившихся менее
половины получают адекватное
офтальмологическое обследование и
лечение.
ТЕХНИЧЕСКИЙ ДОКЛАД ВОЗ № 844, 1994

17. ОСНОВНЫЕ ПРЕПЯТСТВИЯ ДЛЯ ЭФФЕКТИВНОЙ ПРОФИЛАКТИКИ СЛЕПОТЫ ВСЛЕДСТВИЕ САХАРНОГО ДИАБЕТА

• отсутствие необходимой информации о ретинопатии у больных
• недооценка угрозы потери зрения от ретинопатии врачами
первичного звена
• незнание врачами первичного звена современных методов
выявления и лечения ретинопатии с помощью лазеркоагуляции
• отсутствие необходимых навыков офтальмоскопии у врачей
первичного звена
• отсутствие лазерных установок для лечения ретинопатии
• отсутствие опытных офтальмологов, специализирующихся на
лечении ретинопатии

18. ПРИОРИТЕТЫ В ОТНОШЕНИИ К ЗАБОЛЕВАНИЮ

С ТОЧКИ ЗРЕНИЯ ВРАЧА
• нормализация уровня гликемии
• нормализация артериального
давления
• коррекция дислипидемии
• самоконтроль
• регулярные осмотры глазного
дна
• своевременная лазерная
коагуляция сетчатки
С ТОЧКИ ЗРЕНИЯ БОЛЬНОГО
прием пищевых добавок
регулярное проведение уколов,
чтобы защитить сосуды глаз
введение инсулина (прием
таблеток)
ежегодная госпитализация в
эндокринное отделение
выполнение рекомендации
врача по компенсации диабета
строгое соблюдение диеты
осмотры глазного дна
Я уверен, что благодаря этим усилиям слепота мне не грозит !!!

19.

20.

Vis OS = 0.8

21.

Vis OS = 0.9

22. ЦЕЛЕВЫЕ ПРОГРАММЫ

«Осуществление мероприятий
по предупреждению тяжелых осложнений
диабета путем проведения обследования на
… диабетическую ретинопатию, …»
Закон Санкт-Петербурга от 11 октября 2000 года № 540- 66
«О целевой медико-социальной программе Санкт-Петербурга «Профилактика
диабета и его осложнений на 2001-2005 годы»

23. СЕМИПОЛЬНОЕ ФОТОГРАФИРОВАНИЕ СЕТЧАТКИ

4
3 2
6
6
1
5
4
2 3
1
7
7
5

24. ДВУХПОЛЬНОЕ ФОТОГРАФИРОВАНИЕ СЕТЧАТКИ

1
2
2
1

25. СКРИНИНГ ДИАБЕТИЧЕСКОЙ РЕТИНОПАТИИ


Каждый вложенный в программу скрининга
диабетической
ретинопатии
рубль
позволяет
сэкономить около 32 рублей (при применении
цифровых технологий более 180 рублей).
Астахов Ю.С., Шадричев Ф.Е., 2010
Скрининг диабетической ретинопатии является
наиболее
экономически
выгодной
скрининговой
медицинской процедурой из известных в настоящее
время.
Porta M., Bandello F., 2002

26.

ВЕДЕНИЕ ПАЦИЕНТОВ С
КЛИНИЧЕСКИ ЗНАЧИМЫМИ
ДИАБЕТИЧЕСКИМИ
ИЗМЕНЕНИЯМИ СЕТЧАТКИ
Шадричев Ф.Е.
Протокол офтальмологического ведения больных сахарным диабетом
Офтальмологические ведомости.- 2008.- Т. 1.- № 2.- С.54-61

27. СТАНДАРТНОЕ ОФТАЛЬМОЛОГИЧЕСКОЕ ОБСЛЕДОВАНИЕ

• сбор жалоб и анамнеза;
• авторефрактометрия;
• визометрия (без коррекции, с коррекцией, с диафрагмой
диаметром 1,5 мм);
• биомикроскопия переднего отрезка глаза;
• измерение внутриглазного давления;
• расширение зрачка;
• биомикроскопия хрусталика и стекловидного тела;
• биомикроскопия сетчатки с помощь асферических (и/или
контактных) линз

28. НЕПРОЛИФЕРАТИВНАЯ РЕТИНОПАТИЯ С МАКУЛЯРНЫМ ОТЕКОМ толщиной менее 400* микрон

• стандартное офтальмологическое обследование;
• дополнительно - оптическая когерентная томография
(ОКТ), периметрия - макулярный тест, флюоресцентная
ангиография (ФАГ)**.
• фокальная и/или по типу «решетки» лазеркоагуляция
сетчатки;
• повторный осмотр через 2-3 месяца с обязательным ОКТконтролем.
* для томографа OCT-STRATUS 3000, «ZEISS»;
** ФАГ не является обязательной процедурой!!!

29. НЕПРОЛИФЕРАТИВНАЯ РЕТИНОПАТИЯ С МАКУЛЯРНЫМ ОТЕКОМ

до коагуляции Vis=0.5
через 7 месяцев Vis=0.8

30. НЕПРОЛИФЕРАТИВНАЯ РЕТИНОПАТИЯ С МАКУЛЯРНЫМ ОТЕКОМ толщиной более 400 микрон

• стандартное офтальмологическое обследование;
• дополнительно - ОКТ, периметрия, ФАГ по необходимости;
• интравитреальное введение кристаллических стероидов*
(ИВВКС) или ингибиторов ангиогенеза (ИВВИА);
• фокальная (и/или по типу «решетки» лазеркоагуляция
сетчатки через 4 недели после ИВВКС и через 2 недели
после ИВВИА при ОКТ-контроле;
• повторный осмотр через 3-4 месяца с обязательным ОКТконтролем.
* контроль внутриглазного давления 1 раз в месяц, при
повышении – назначение гипотензивной терапии

31. ДИАБЕТИЧЕСКИЙ МАКУЛЯРНЫЙ ОТЕК ЛАЗЕРКОАГУЛЯЦИЯ С ИНТРАВИТРЕАЛЬНЫМ ВВЕДЕНИЕМ «КЕНАЛОГА»

до коагуляции Vis=0,3
через 8 месяцев Vis=0,7

32. ВОЗМОЖНЫЕ ОСЛОЖНЕНИЯ ИНТРАВИТРЕАЛЬНОГО ВВЕДЕНИЯ «КЕНАЛОГА»

• повышение внутриглазного давления;
• прогрессирование катаракты;
• эндофтальмит.

33.

34.

35.

36.

37. ВНУТРИГЛАЗНОЕ ДАВЛЕНИЕ И ДИАБЕТИЧЕСКАЯ РЕТИНОПАТИЯ

• в 1977 году A. Neetens и D. Badaniova выявили,
что повышение внутриглазного давления
предотвращает появление новых геморрагий
при диабетической ретинопатии;
• авторами было предложено назначать местные
инстилляции стероидов для дозированного
повышения внутриглазного давления с целью
профилактики прогрессирования ретинопатии.
Астахов Ю.С., Крылова И.С., Шадричев Ф.Е.
Клиническая офтальмология.- М.- 2006.- Т. 7 .- № 3 .- С. 91-94.

38. ИНТРАВИТРЕАЛЬНОЕ ВВЕДЕНИЕ VEGF-ИНГИБИТОРОВ (подавление патологической сосудистой проницаемости и ангиогенеза)

• Пегаптаниб («Macugen»)
• Ранибизумаб («Lucentis»)
• Бевацизумаб («Avastin»)

39. ДИНАМИКА ОСТРОТЫ ЗРЕНИЯ ПО ТАБЛИЦАМ ETDRS

Среднее изменение ОЗ от исходного
уровня (кол-во знаков)
11
10
9
Sham+prompt
Плацебо +
laser
немедленная
ЛК
8
7
Ranibizumab+
6
Первичная конечная точка
5
Ранибизумаб +
prompt laser
немедленная
ЛК
Ранибизумаб +
Ranibizumab+
отсроченная ЛК
4
deferred laser
3
Триамцинолон
+
Triamcinolone
немедленная
ЛК
+prompt laser
2
1
0
0
4
8 12 16 20 24 28 32 36 40 44 48 52 56 60 64 68 72 76 80 84 88 92 96 100104
Неделя визита
DRCR Network Writing Committee Laser-Ranibizumab-Triamcinolone RCT for DME
Ophthalmology Volume 117 Number 6, June 2010 1064-1077

40. УЛУЧШЕНИЕ ОСТРОТЫ ЗРЕНИЯ ≥10 ЗНАКОВ ПО ТАБЛИЦАМ ETDRS

УЛУЧШЕНИЕ ОСТРОТЫ
ЗРЕНИЯ
Улучшение ОЗ ≥ 10 знаков
≥10 ЗНАКОВ ПО ТАБЛИЦАМ ETDRS
Плацебо + немедленная ЛК
Ранибизумаб + немедленная ЛК
Ранибизумаб + отсроченная ЛК
Триамцинолон + немедленная ЛК
N =799 (52 недели)
N=484 (104 недели)
Неделя визита
Величины P для различий в доле улучшения остроты зрения на 10 знаков от группы плацебо + немедленной
лазерной терапии во время визита на 52 неделе: ранибизумаб + немедленная лазерная терапия <0,001; ранибизумаб
+ отсроченная лазерная терапия <0,001; триамцинолон + немедленная лазерная терапия = 0,16

41. ДИНАМИКА ТОЛЩИНЫ СЕТЧАТКИ В МАКУЛЯРНОЙ ЗОНЕ

Среднее изменение ЦТС от
исходного уровня (um)
Плацебо + немедл. ЛК
Ранибизумаб + немедл. ЛК
Ранибизумаб + отсроч. ЛК
Триамцинолон + немедл. ЛК
N =790 (52 недели)
N=444 (104 недели)
Неделя визита
Величины P для различий в среднем изменении толщины сетчатки OCT CSF от группы плацебо + немедленной
лазерной терапии во время визита на 52 неделе: ранибизумаб + немедленная лазерная терапия <0,001, ранибизумаб
+ отсроченная лазерная терапия <0,001 и триамцинолон + немедленная лазерная терапия <0,001.

42. РЕЗУЛЬТАТЫ КЛИНИЧЕСКИХ ИССЛЕДОВАНИЙ РАНИБИЗУМАБА ПРИ ДИАБЕТИЧЕСКОМ МАКУЛЯРНОМ ОТЕКЕ

+ 12,0
+ 10,3
+3
- 1,4
+ 0,8
+ 2,6
+ 2,3
- 131
- 137
- 194,2
-118,7
- 128,3
- 253,1
-
- 102
- 48,4
- 61,3
- 133,6
-
группа
группа
Основная
группа
+ 11,9
+9
+ 6,1
+ 5,9
Контрольная
RIDE
Основная
группа
RISE
Контрольная
Толщина сетчатки,
мкм
Острота зрения,
знаки
DRCR.net RESOLVE RESTORE

43.

ДИАБЕТИЧЕСКИЙ МАКУЛЯРНЫЙ ОТЕК
ИНТРАВИТРЕАЛЬНОЕ ВВЕДЕНИЕ «ЛУЦЕНТИСА»
В СОЧЕТАНИИ С ЛАЗЕРНОЙ КОАГУЛЯЦИЕЙ
Vis OD=0.7
до ИВВЛ
Vis OD=1.0
через 1 месяц после ИВВЛ

44.

45.

46.

ДИАБЕТИЧЕСКИЙ МАКУЛЯРНЫЙ ОТЕК
ИНТРАВИТРЕАЛЬНОЕ ВВЕДЕНИЕ «ЛУЦЕНТИСА»
В СОЧЕТАНИИ С ЛАЗЕРНОЙ КОАГУЛЯЦИЕЙ
Vis OS=0,4
до ИВВЛ
Vis OS=0,5
через 1 месяц после ИВВЛ

47. НЕПРОЛИФЕРАТИВНАЯ РЕТИНОПАТИЯ С МАКУЛЯРНЫМ ОТЕКОМ с тракционным компонентом

• витрэктомия*;
• повторный осмотр через 1 месяц с обязательным
ОКТ-контролем.
* при наличии фиброза внутренней пограничной
мембраны (ВПМ) сетчатки – витрэктомия с
удалением ВПМ

48. ДИАБЕТИЧЕСКИЙ МАКУЛЯРНЫЙ ОТЕК ВИТРЭКТОМИЯ С УДАЛЕНИЕМ ВНУТРЕННЕЙ ПОГРАНИЧНОЙ МЕМБРАНЫ СЕТЧАТКИ

до операции Vis OS=0.08
после операции Vis OS=0.2

49. ДИАБЕТИЧЕСКИЙ МАКУЛЯРНЫЙ ОТЕК ВИТРЭКТОМИЯ С УДАЛЕНИЕМ ВНУТРЕННЕЙ ПОГРАНИЧНОЙ МЕМБРАНЫ СЕТЧАТКИ

до операции Vis OD=0.02
после операции Vis OD=0.02

50. ДИАБЕТИЧЕСКИЙ МАКУЛЯРНЫЙ ОТЕК ФАРМАКОЛОГИЧЕСКИЙ ВИТРЕОЛИЗИС*

• альтеплаза («Актилизе») – рекомбинантный
тканевой активатор плазминогена
• проурокиназа («Гемаза») – рекомбинантный
урокиназный активатор плазминогена
*медикаментозно индуцированная отслойка
задней пограничной мембраны стекловидного тела,
для ее возникновения препараты вводятся интравитреально

51. ДИАБЕТИЧЕСКИЙ МАКУЛЯРНЫЙ ОТЕК

фармакологический витреолизис???

52.

53.

54.

55.

56. ПРЕПРОЛИФЕРАТИВНАЯ ИЛИ ПРОЛИФЕРАТИВНАЯ РЕТИНОПАТИЯ БЕЗ МАКУЛЯРНОГО ОТЕКА

• стандартное офтальмологическое обследование;
• панретинальная лазеркоагуляция (ПРЛК) – первый
сеанс в течение 3-6 недель с момента диагностики,
интервал между сеансами 2-3 недели;
• повторный осмотр через 3 месяца после завершения
ПРЛК, при отсутствии стабилизации дополнительная
коагуляция.

57. ОСНОВНАЯ ПРОБЛЕМА В РОССИИ

АДЕКВАТНОСТЬ ЛАЗЕРНОГО ЛЕЧЕНИЯ !!!!

58.

59.

60. СТАНДАРТНАЯ СХЕМА ВЫПОЛНЕНИЯ ПАНРЕТИНАЛЬНОЙ ЛАЗЕРКОАГУЛЯЦИИ


размер пятна - 500 мкм;
длительность импульса - 0,1- 0,2 с;
общее количество коагулятов - 1500-2400;
количество сеансов - 2-3;
воздействие начинают от ДЗН и височных сосудистых
пучков, постепенно продвигаясь к периферии сетчатки;
• плоская ретинальная неваскуляризация обрабатывается
сливающимися коагулятами несколько большей
интенсивности;
• воздействие распространяется до зон витреоретинальной тракции (отступая на 1/2 диаметра ДЗН), но не
подвергая их прямой коагуляции

61. КРИТЕРИИ ЭФФЕКТИВНОСТИ ПАНРЕТИНАЛЬНОЙ ЛАЗЕРКОАГУЛЯЦИИ

• РЕГРЕСС НЕОВАСКУЛЯРИЗАЦИИ ДИСКА ЗРИТЕЛЬНОГО НЕРВА,
СЕТЧАТКИ, РАДУЖКИ ИЛИ УГЛА ПЕРЕДНЕЙ КАМЕРЫ
• ПЕРЕХОД АКТИВНОЙ НЕОВАСКУЛЯРИЗАЦИИ В НЕАКТИВНУЮ
(ОТСУТСТВУЮТ МЕЛКИЕ СОСУДИСТЫЕ ВЕТВИ И КРОВОИЗЛИЯНИЯ
ВОКРУГ ЗОНЫ НОВООБРАЗОВАННЫХ СОСУДОВ)
• ОСТАВШАЯСЯ БЕЗ ЛАЗЕРНОГО ВОЗДЕЙСТВИЯ СЕТЧАТКА ИМЕЕТ
МИНИМАЛЬНЫЕ НЕПРОЛИФЕРАТИВНЫЕ ИЗМЕНЕНИЯ

62. СОСТОЯНИЯ, ТРЕБУЮЩИЕ БОЛЕЕ «АГРЕССИВНОГО» ЛАЗЕРНОГО ВОЗДЕЙСТВИЯ

• неоваскуляризация ДЗН более 1/3 его площади и
неоваскуляризация сетчатки более 1/2 площади
ДЗН (особенно при наличии преретинальной и/или
витреальной геморрагии);
• преретинальная или витреальная геморрагия;
• неоваскуляризация радужки и/или угла передней камеры;
В этих случаях возможно сочетание лазеркоагуляции
с предварительным ИВВИА для снижения риска
геморрагических осложнений

63. ПРЕПРОЛИФЕРАТИВНАЯ ИЛИ ПРОЛИФЕРАТИВНАЯ РЕТИНОПАТИЯ С МАКУЛЯРНЫМ ОТЕКОМ толщиной менее 400 микрон


стандартное офтальмологическое обследование;
дополнительно - ОКТ, ФАГ при необходимости;
фокальная и/или по типу «решетки» лазеркоагуляция сетчатки;
ПРЛК – первый сеанс через 3-6 недель после выполнения
коагуляции в макулярной зоне, интервал между сеансами 2-3
недели;
• повторный осмотр через 3 месяца после завершения ПРЛК, при
отсутствии стабилизации дополнительная коагуляция.

64. ПРЕПРОЛИФЕРАТИВНАЯ ИЛИ ПРОЛИФЕРАТИВНАЯ РЕТИНОПАТИЯ С МАКУЛЯРНЫМ ОТЕКОМ толщиной более 400 микрон


стандартное офтальмологическое обследование;
дополнительно - ОКТ, ФАГ при необходимости;
ИВВКС или ИВВИА;
фокальная и/или по типу «решетки» лазеркоагуляция сетчатки
через 4 недели после ИВВКС и через 2 недели после ИВВИА
при ОКТ-контроле;
• ПРЛК – первый сеанс через 2 недели после выполнения
коагуляции в макулярной зоне (первый сеанс ПРЛК может
сочетаться с коагуляцией в макулярной зоне), интервал между
сеансами 2-3 недели
• повторный осмотр через 3 месяца после завершения ПРЛК, при
отсутствии стабилизации дополнительная коагуляция.

65. ПРОЛИФЕРАТИВНАЯ РЕТИНОПАТИЯ С МАКУЛЯРНЫМ ОТЕКОМ

до коагуляции Vis OD=0.3
через 6 месяцев VisOD=0.7

66.

Vis OD=0,1

67.

68.

Vis OD=0,25

69. ПРОЛИФЕРАТИВНАЯ РЕТИНОПАТИЯ С КРОВОИЗЛИЯНИЕМ В СТЕКЛОВИДНОЕ ТЕЛО, ПРЕПЯТСТВУЮЩИМ ВЫПОЛНЕНИЮ ПРЛК

• стандартное офтальмологическое обследование;
• осмотр каждую неделю («иммобилизация» глаза)
• ПРЛК – при первой возможности выполнения, интервал
между сеансами по мере рассасывания кровоизлияния;
• повторный осмотр через 2-3 месяца после завершения
ПРЛК, при отсутствии стабилизации дополнительная
коагуляция, при невозможности ее выполнения –
витрэктомия.
В этих случаях возможно сочетание лазеркоагуляции
с предварительным ИВВИА для предотвращения
повторных кровоизлияний

70. ПРОЛИФЕРАТИВНАЯ РЕТИНОПАТИЯ С РУБЕОЗОМ РАДУЖКИ БЕЗ ВТОРИЧНОЙ ГЛАУКОМЫ


стандартное офтальмологическое обследование;
дополнительно гониоскопия, тотальная периметрия;
ИВВИА для достижения качественного мидриаза;
ПРЛК – первый сеанс через неделю после ИВВИА,
интервал между сеансами 2 недели;
• в первый сеанс обрабатываются периферические отделы
сетчатки;
• повторный осмотр через 2 месяца после завершения ПРЛК,
при отсутствии регресса неоваскуляризации радужки и угла
передней камеры дополнительная коагуляция;
• при невозможности выполнить ПРЛК проведение
транссклеральной криоретинопексии.

71. ПРОЛИФЕРАТИВНАЯ РЕТИНОПАТИЯ С РУБЕОЗОМ РАДУЖКИ И ВТОРИЧНОЙ ГЛАУКОМОЙ

• стандартное офтальмологическое обследование;
• дополнительно гониоскопия, тотальная периметрия;
НЕОВАСКУЛЯРНАЯ ГЛАУКОМА С ОТКРЫТЫМ УГЛОМ
• ИВВИА для достижения качественного мидриаза;
• ПРЛК – первый сеанс через неделю после ИВВИА,
интервал между сеансами 2 недели (в первый сеанс
обрабатываются периферические отделы сетчатки);
• медикаментозная терапия (β-блокаторы, ингибиторы
карбоангидразы, кортикостероиды)
НЕОВАСКУЛЯРНАЯ ГЛАУКОМА С ЗАКРЫТЫМ УГЛОМ
• медикаментозная терапия (β-блокаторы, ингибиторы
карбоангидразы, атропин, кортикостероиды);
• циклодеструктивные вмешательства;
• импланты;
• ИВВИА или ИВВКС.

72.

73.

74. Для сохранения зрительных функций больных сахарным диабетом необходима его стабильная компенсация!!!

75. СОСУДИСТЫЕ ОСЛОЖНЕНИЯ И КОМПЕНСАЦИЯ САХАРНОГО ДИАБЕТА тип 1

РИСК СОСУДИСТЫХ ОСЛОЖНЕНИЙ
ПОКАЗАТЕЛЬ
низкий
средний
высокий
глюкоза натощак, ммоль/л
<5,5
<7,5
<6,5
5,5-6,0
7,5-9,0
6,5-7,5
>6,0
>9,0
>7,5
глюкоза после еды, ммоль/л
HbA1c, (%)
Европейская группа по ведению больных сахарным диабетом, 1999

76. СОСУДИСТЫЕ ОСЛОЖНЕНИЯ И КОМПЕНСАЦИЯ САХАРНОГО ДИАБЕТА тип 2

РИСК СОСУДИСТЫХ ОСЛОЖНЕНИЙ
ПОКАЗАТЕЛЬ
низкий
средний
высокий
глюкоза натощак, ммоль/л
<5,5
5,5-6,0
>6,0
глюкоза после еды, ммоль/л
<7,5
7,5-9,0
>9,0
HbA1c, (%)
<6,5
6,5-7,5
>7,5
общий холестерин, ммоль/л
<4,8
4,8-6,0
>6,0
ЛПНП, ммоль/л
<3,0
3,0-4,0
>4,0
ЛПВП, ммоль/л
> 1,2
1,2-1,0
< 1,0
триглицериды, ммоль/л
<1,7
1,7-2,2
>2,2
артериальное давление, мм.рт.ст
< 135/85
135/85-160/95
> 160/95
индекс массы тела
<25
25-30
>30
Европейская группа по ведению больных сахарным диабетом, 1999

77. МЕТАБОЛИЧЕСКИЙ СИНДРОМ

• абдоминальное ожирение;
• инсулинорезистентность
(гиперинсулинемия);
• гипергликемия;
• артериальная гипертензия;
• атерогенная дислипидемия.

78. КОМПЕНСАЦИЯ САХАРНОГО ДИАБЕТА ИНТЕНСИВНАЯ ИНСУЛИНОТЕРАПИЯ DCCT 1995,1996

• НА 63% УМЕНЬШЕНИЕ РИСКА
ПРОГРЕССИРОВАНИЯ РЕТИНОПАТИИ
• НА 47% УМЕНЬШЕНИЕ РИСКА РАЗВИТИЯ
ПРОЛИФЕРАТИВНОЙ РЕТИНОПАТИИ
• НА 26% УМЕНЬШЕНИЕ РИСКА РАЗВИТИЯ
МАКУЛЯРНОГО ОТЕКА
• НА 51% УМЕНЬШЕНИЕ НЕОБХОДИМОСТИ В
ЛАЗЕРКОАГУЛЯЦИИ СЕТЧАТКИ
эти благоприятные изменения были связаны со снижением уровня
гликозилированного гемоглобина (HbA1c) на 2%

79.

КОМПЕНСАЦИЯ САХАРНОГО ДИАБЕТА
ИНТЕНСИВНАЯ ИНСУЛИНОТЕРАПИЯ
UKPDS 1998
• НА 29 % УМЕНЬШЕНИЕ НЕОБХОДИМОСТИ В
ЛАЗЕРКОАГУЛЯЦИИ СЕТЧАТКИ
• НА 17 % УМЕНЬШЕНИЕ РИСКА
ПРОГРЕССИРОВАНИЯ РЕТИНОПАТИИ
• НА 24 % УМЕНЬШЕНИЕ НЕОБХОДИМОСТИ В
УДАЛЕНИИ КАТАРАКТЫ
• НА 23 % УМЕНЬШЕНИЕ ЧАСТОТЫ КРОВОИЗЛИЯНИЙ
В СТЕКЛОВИДНОЕ ТЕЛО
• НА 16 % УМЕНЬШЕНИЕ ЧАСТОТЫ РАЗВИТИЯ
СЛЕПОТЫ НА ОДИН ГЛАЗ
эти благоприятные изменения были связаны со снижением уровня
гликозилированного гемоглобина (HbA1c) на 1%

80. ТРАНЗИТОРНАЯ ДИАБЕТИЧЕСКАЯ РЕТИНОПАТИЯ

• интенсифицированная инсулинотерапия;
• перевод больных, страдающих 2 типом
сахарного диабета на инсулинотерапию;
• инсулиновые помпы;
• трансплантация поджелудочной железы.
БЫСТРОЕ СНИЖЕНИЕ УРОВНЯ ГЛИКЕМИИ!!!

81.

82. ДИАБЕТИЧЕСКАЯ РЕТИНОПАТИЯ И АРТЕРИАЛЬНАЯ ГИПЕРТЕНЗИЯ WESDR, 1998

НАЛИЧИЕ АРТЕРИАЛЬНОЙ ГИПЕРТЕНЗИИ ПРИ
НАЧАЛЕ ЗАБОЛЕВАНИЯ (В МОМЕНТ ВЫЯВЛЕНИЯ
САХАРНОГО ДИАБЕТА) НА 91 % УВЕЛИЧИВАЕТ РИСК
РАЗВИТИЯ ПРОЛИФЕРАТИВНОЙ РЕТИНОПАТИИ

83. ДИАБЕТИЧЕСКАЯ РЕТИНОПАТИЯ И АРТЕРИАЛЬНАЯ ГИПЕРТЕНЗИЯ UKPDS 1998

• НА 34% СНИЖЕНИЕ РИСКА ПРОГРЕССИРОВАНИЯ
ДИАБЕТИЧЕСКОЙ РЕТИНОПАТИИ
• НА 47% СНИЖЕНИЕ РИСКА ЗНАЧИТЕЛЬНОЙ ПОТЕРИ
ЗРЕНИЯ
• НА 35% СНИЖЕНИЕ НЕОБХОДИМОСТИ В ЛАЗЕРНОМ
ЛЕЧЕНИИ
эти благоприятные изменения были связаны со снижением артериального
давления от среднего исходного 164/94 мм рт. ст до 144/82 мм рт. ст

84.

ДИАБЕТИЧЕСКАЯ РЕТИНОПАТИЯ
И АРТЕРИАЛЬНАЯ ГИПЕРТЕНЗИЯ

85.

Colloborative Atorvastatin Diabetes Study
(CARDS)
Совместное исследование
аторвастатина при диабете
(исследование CARDS)

86.

ИССЛЕДОВАНИЕ CARDS
двойное слепое рандомизированное
плацебо контролируемое исследование
2838
пациентов с
СД 2
аторвастатин 10 mg
(n=1428)
плацебо
(n=1410)
в среднем 3,9 года
наблюдения
Colhoun H.M. et al. Lancet 2004; 364: 685-696

87.

сердечно-сосудистые события
ИССЛЕДОВАНИЕ CARDS
10
9
8
7
6
5
4
3
2
1
0
9,0 %
5,8%
-35,6%
р=0,001
плацебо аторвастатин
Сердечно-сосудистые события – сердечно-сосудистая смерть, нефатальный
инфаркт миокарда, госпитализация по поводу стенокардии, коронарная
реваскуляризация, нефатальный инсульт
Colhoun H.M. et al. Lancet 2004; 364: 685-696

88.

ИССЛЕДОВАНИЕ CARDS
Не было получено достоверных
различий в основной и контрольной
группах по влиянию на потребность в
лазерной коагуляции сетчатки
Colhoun H.M. et al. Lancet 2004; 364: 685-696

89. Исследование влияния фенофибрата на уменьшение количества случаев осложнений диабета 2 типа

The Fenofibrate Intervention and Event
Lowering in Diabetes Trial (FIELD)
Исследование влияния фенофибрата на
уменьшение количества случаев
осложнений диабета 2 типа

90.

ИССЛЕДОВАНИЕ FIELD
двойное слепое рандомизированное
плацебо контролируемое исследование
9795
пациентов
с СД 2
фенофибрат 200 mg
(n=4895)
плацебо
(n=4900)
в среднем 5 лет
наблюдения
FIELD Study Investigators. Lancet 2005 ; 366 (9500) : 1849-61

91.

ПРОГРЕССИРОВАНИЕ РЕТИНОПАТИИ
FIELD
пациенты (%)
16
14,6%
14
-79%
12
p=0.004
10
8
6
3,1%
4
2
0
плацебо
ф е н оф и бра т
Прогрессирование ретинопатии – прогрессирование на 1 или более шага
по шкале ETDRS.

92.

ЛАЗЕРНОЕ ЛЕЧЕНИЕ РЕТИНОПАТИИ
FIELD
6
5,2%
пациенты (%)
5
-30%
3,6%
4
3
2
1
0
плацебо
ф е н оф и бра т
p=0.001

93. ПОТРЕБНОСТЬ В ЛАЗЕРНОМ ЛЕЧЕНИИ (%) В ЗАВИСИМОСТИ ОТ ИСХОДНОЙ СТАДИИ НЕПРОЛИФЕРАТИВНОЙ РЕТИНОПАТИИ FIELD

СОМНИТЕЛЬНАЯ
ФОНОВАЯ
НАЧАЛЬНАЯ
ВЫРАЖЕННАЯ
ТЯЖЕЛАЯ
ВСЕГО:
ПЛАЦЕБО
ФЕНОФИБРАТ
2,5
5,8
15,3
47,6
100
4,6
0
0
4,3
7,1
33,3!!!
1,0*
*Р=0,0004

94.

ИССЛЕДОВАНИЕ FIELD
Впервые для препарата гиполипидемической
группы была продемонстрирована способность
снижать частоту не только макрососудистых,
но и микрососудистых осложнений
FIELD Study Investigators. Lancet 2005 ; 366 (9500) : 1849-61

95.

ИССЛЕДОВАНИЕ FIELD
Положительный эффект от применения
фенофибрата в плане снижения риска
прогрессирования диабетических изменений
сетчатки не был связан с нормализацией
показателей липидного обмена осложнений
FIELD Study Investigators. Lancet 2005 ; 366 (9500) : 1849-61

96. Исследование мероприятий по контролю сердечно-сосудистых рисков при диабете (исследование ACCORD)

The Action to Control Cardiovascular
Risk in Diabetes (ACCORD) Trial
Исследование мероприятий по
контролю сердечно-сосудистых рисков
при диабете (исследование ACCORD)

97. ИССЛЕДОВАНИЕ ACCORD

Цель исследования - определить будут ли
макро- и микрососудистые осложнения у
пациентов с сахарным диабетом 2 типа
снижены при интенсивном контроле
следующих факторов риска:
Гипергликемии
Дислипидемии
Повышенного
артериального
давления

98.

ИССЛЕДОВАНИЕ ACCORD
- интенсивный контроль гликемии (HbA1c <6.0%) в
сравнении со стандартным снижением (7.0%≤ HbA1c
≤7.9%)
- интенсивное снижение артериального давления (САД
<120 мм рт ст) в сравнении со стандартным целевым
уровнем (САД <140 мм рт ст)
- достижение целевого уровня ЛПНП, ТГ и ЛПВП с
использованием комбинации симвастатин + фенофибрат
в сравнении с достижением ЛПНП с использованием
только симвастатина

99.

ИССЛЕДОВАНИЕ ACCORD
ИНТЕСИВНЫЙ КОНТРОЛЬ ГЛИКЕМИИ
ПРЕКРАТИЛИ ДОСРОЧНО ИЗ-ЗА
УВЕЛИЧЕНИЯ СМЕРТНОСТИ
общая смертность увеличилась на 22 % (р=0,04)
сердечно-сосудистая увеличилась на 35 % (р=0,02)
все пациенты были переведены на стандартную гипогликемическую терапию
The ACCORD Study Group. N Engl J Med 2008; 358: 254559.

100.

ИССЛЕДОВАНИЕ ACCORD
ACCORD EYE
двойное слепое рандомизированное
плацебо контролируемое исследование
1593
пациента
с СД 2
симвастатин
20-40 mg
симвастатин 20-40 mg
+ фенофибрат 160 mg
(n=806)
симвастатин 20-40 mg
+ плацебо
(n=787)
месяц 1
в среднем 4 года
наблюдения
The ACCORD Study Group. N Engl J Med 2010; 363 (3): 233-244.

101.

ПРОГРЕССИРОВАНИЕ РЕТИНОПАТИИ
ACCORD EYE
Первичная конечная точка
Частота прогрессирования ДР
(%)
12
10.2%
10
-40%
p=0.006
8
6.5%
6
4
2
0
симвастатин + плацебо
си м в а ста ти н
+
ф е н оф и бра т
Прогрессирование ретинопатии – прогрессирование на 3 или более шага
по шкале ETDRS, развитие ретинопатии, требующей лазерной
коагуляции сетчатки или витрэктомии.

102.

ПРОГРЕССИРОВАНИЕ РЕТИНОПАТИИ
ACCORD EYE
Первичная конечная точка
Частота прогрессирования ДР
(%)
12
10.4%
10
7.3%
8
-33%
p=0.003
6
4
2
0
стандартный контроль
интенсивный контроль
ГЛИКЕМИЧЕСКИЙ КОНТРОЛЬ
Прогрессирование ретинопатии – прогрессирование на 3 или более шага
по шкале ETDRS, развитие ретинопатии, требующей лазерной
коагуляции сетчатки или витрэктомии.

103. ФИБРАТЫ И ДИАБЕТИЧЕСКАЯ РЕТИНОПАТИЯ

• фибраты предупреждают ретинальную экссудацию
(Harrold BP et al, Diabetes 18:285-291,1969)
• фибраты подавляют активность окислительного стресса
(Losada M et al, Doc Ophthalmol 93:223-229,1996-1997)
• фибраты подавляют миграцию эндотелиальных клеток
(Goetze S et al, Biochem Biophys Res Comm 293: 1431-1437, 2002)
• фибраты приводят к снижению уровней
провоспалительных цитокинов (Ryan KE et al, Atherosclerosis
194: 123-130, 2007)
• фибраты подавляют ретинальный ангиогенез
(Sato M, Nippon Rinsho 63(4):603-8, 2005)
Шадричев Ф.Е., Рахманов В.В., Григорьева Н.Н., Шкляров Е.Б.
Офтальмологические ведомости 2010.- Т. 3.- № 2.- С. 53-60.

104.

ФИБРАТЫ
И ДИАБЕТИЧЕСКАЯ РЕТИНОПАТИЯ
«…фенофибрат представляется хорошим
выбором для пациентов с СД 2 типа (с или
без дислипидемии), имеющих ретинопатию
почти на любой стадии (от умеренной до
тяжелой непролиферативной)…»
Rafael Simó MD, PhD
Professor of Medicine
Head of Diabetes Research and Metabolism Unit
“Institut de Recerca Hospital Universitari Vall d’Hebron”, Barselona, Spain

105. ЦЕЛЬ ИССЛЕДОВАНИЯ

- оценить влияние терапии фенофибратом на
риск прогрессирования изменений сетчатки
и необходимость выполнения лазерной
коагуляции сетчатки у больных сахарным
диабетом 2 типа
Шадричев Ф.Е., Григорьева Н.Н., Шкляров Е.Б., Крянева О.Я.
Офтальмологические ведомости 2010.- Т. 3.- № 2.- С. 17-26.

106. КРИТЕРИИ ВКЛЮЧЕНИЯ

• сахарный диабет 2 типа;
• наличие непролиферативной диабетической
ретинопатии до 47 уровня (включительно) по
шкале ETDRS);
• уровень гликированного гемоглобина менее
10,0%

107. КРИТЕРИИ ИСКЛЮЧЕНИЯ

• наличие препролиферативной и пролиферативной
диабетической ретинопатии (более чем 47 уровень по
шкале ETDRS);
• наличие клинически значимого макулярного отека;
• любая другая патология сетчатки, маскирующая
диабетические изменения;
• перенесенная ранее лазерная коагуляция сетчатки или
витрэктомия;
• любые хирургические вмешательства на глазном
яблоке в течение 6 месяцев до момента включения в
исследование;

108. КРИТЕРИИ ИСКЛЮЧЕНИЯ

• изменения оптических сред, затрудняющие градацию
ретинопатии или стереофотографирование сетчатки;
• терапия гиполипидемическими препаратами в течение
8 месяцев до момента включения в исследование;
• любые варианты нарушения регуляции внутриглазного
давления;
• интравитреальное введение кристаллических
кортикостероидов или ингибиторов сосудистого
эндотелиального фактора роста в анамнезе.

109. МЕТОДЫ ИССЛЕДОВАНИЯ

семипольное стереофотографирование стандартных полей
сетчатки (фундус-камера TRC-50IX «Topcon», Япония,
слайд-пленка Agfachrome-100 «Agfa-Gevaert AG»,
Германия);
флюоресцентная ангиография глазного дна (фундускамера TRC-50IX «Topcon», Япония и Гейдельбергский
ретинальный ангиограф HRA-2 «Heidelberg Engineering» ,
Германия);
оптическая когерентная томография (томограф ОСТ-3
Stratus, «Zeiss», Германия, протокол «Fast Macular
Thickness» и «Macular Thickness», оценивались толщина и
объем макулярной сетчатки)

110. СЕМИПОЛЬНОЕ ФОТОГРАФИРОВАНИЕ СТАНДАРТНЫХ ПОЛЕЙ СЕТЧАТКИ

4
3
2
6
6
2
1
1
5
4
7
7
5
3

111. ДИАБЕТИЧЕСКАЯ РЕТИНОПАТИЯ КЛАССИФИКАЦИЯ ETDRS (1991)

УРОВЕНЬ
СТАДИЯ РЕТИНОПАТИИ
10
Нет ретинопатии
20
Только микроаневризмы
35
Начальная непролиферативная
43
Умеренная непролиферативная
47
Выраженная непролиферативная
53
Тяжелая непролиферативная
61
Начальная пролиферативная
65
Выраженная пролиферативная
71
Тяжелая пролиферативная (риск А)
75
Тяжелая пролиферативная (риск Б)
81
Далекозашедшая пролиферативная
90
Градация невозможна

112. ПОКАЗАНИЯ К ПРОВЕДЕНИЮ ЛАЗЕРНОЙ КОАГУЛЯЦИИ СЕТЧАТКИ

• появление неоваскуляризации сетчатки или
зрительного нерва, подтвержденное при стереофотографировании стандартных полей сетчатки
и флюоресцентной ангиографии
(панретинальная лазеркоагуляция);
• увеличение толщины макулярной сетчатки
(более 70 микрон), подтвержденное при
выполнении оптической когерентной
томографии (фокальная или по типу «решетки»
лазеркоагуляция).

113. ПРОВОДИМАЯ ТЕРАПИЯ

• пациенты в основной группе получали
фенофибрат в дозировке 200 мг/сут, один
раз в день во время одного из основных
приемов пищи.
• пациенты контрольной группы находились
под наблюдением.
• всем больным (основной и контрольной
групп) рекомендовалось соблюдать диету.

114. ХАРАКТЕРИСТИКА ГРУППЫ

60 больных сахарным диабетом 2 типа:
35 пациентов основная группа
- 17 мужчин (48,6%) и 18 женщин (51,4%);
- длительность сахарного диабета 14,13 ± 7,7* лет;
- 15 человек (42,8%) – ТССП; 20 человек (57,2%) – ИТ.
25 пациентов контрольная группа
- 6 мужчин (24,0%) и 19 женщин (76,0%)
- длительность сахарного диабета 14,57 ± 7,3 лет;
- 13 человек (52,0%) – ТССП; 12 человек (48,0%) – ИТ.
*здесь и далее М±SD

115. ХАРАКТЕРИСТИКА ГРУППЫ

основная группа:
- 13 глаз (18,6%) – 20 уровень ETDRS;
- 29 глаз (41,4%) – 35 уровень ETDRS;
- 14 глаз (20,0%) – 43 уровень ETDRS;
- 14 глаз (20,0%) – 47 уровень ETDRS.

116. ХАРАКТЕРИСТИКА ГРУППЫ

контрольная группа:
- 5 глаз (10,0%) – 20 уровень ETDRS;
- 26 глаз (52,0%) – 35 уровень ETDRS;
- 12 глаз (24,0%) – 43 уровень ETDRS;
- 7 глаз (14,0%) – 47 уровень ETDRS.

117. ТОЛЩИНА И ОБЪЕМ СЕТЧАТКИ В МАКУЛЯРНОЙ ЗОНЕ ДО И ПОСЛЕ НАЗНАЧЕНИЯ ФЕНОФИБРАТА

номер визита
группа
основная
визит 1
визит 2
визит 3
р
203,2±23,9 208,3±27,2 202,5±22,7
0,29
толщина контрольная 199,9±24,6 210,6±28,4 212,7±46,1
0,07
р
объем
0,52
0,72
0,21
основная
6,86±0,49
6,81±0,48
6,79±0,42
0,03
контрольная
6,90±0,36
6,97±0,37
7,03±0,59
0,08
0,74
0,13
0,048
р

118. ПОКАЗАТЕЛИ ЛИПИДНОГО ОБМЕНА ДО И ПОСЛЕ НАЗНАЧЕНИЯ ФЕНОФИБРАТА

номер визита
показатель
группа
визит 1
визит 2
визит 3
р
основная
ХС
5,71 ± 1,10 4,74 ± 0,93 4,76 ± 1,14
ммоль/л контрольная 5,75 ± 1,18 5,39 ± 1,10 5,70 ± 1,25
0,001
основная
ТГ
2,13 ± 1,20 1,41 ± 0,56 1,33 ± 0,50
ммоль/л контрольная 2,02 ± 0,97 1,97 ± 1,00 2,09 ± 0,87
0,001
0,45
0,62

119. ПОКАЗАТЕЛИ ЛИПИДНОГО ОБМЕНА ДО И ПОСЛЕ НАЗНАЧЕНИЯ ФЕНОФИБРАТА

номер визита
показатель
группа
визит 1
визит 2
визит 3
ЛПВП основная
1,35 ± 0,35 1,49 ± 0,40 1,54 ± 0,43
ммоль/л контрольная 1,45 ± 0,44 1,42 ± 0,41 1,42 ± 0,45
р
0,11
0,82
ЛПНП основная
3,51 ± 0,95 2,68 ± 0,99 2,76 ± 1,10
ммоль/л контрольная 3,43 ± 0,97 3,26 ± 0,89 3,35 ± 1,02
0,001
ЛПОНП основная
1,13 ± 0,52 0,71 ± 0,35 0,72 ± 0,33
ммоль/л контрольная 0,91 ± 0,38 0,95 ±0,48 1,03 ± 0,46
0,001
0,32
0,2

120. ОСНОВНЫЕ БИОХИМИЧЕСКИЕ ПОКАЗАТЕЛИ ДО И ПОСЛЕ НАЗНАЧЕНИЯ ФЕНОФИБРАТА

номер визита
показатель
HbA1c
%
группа
визит 3
р
визит 1
визит 2
основная
8,20 ± 1,33
7,95 ± 1,34
7,84 ± 1,00 0,08
контрольная
8,17 ± 1,11
7,96 ± 1,12
7,65 ± 0,69 0,05
креатинин основная
79,75±15,39 92,81±26,52 84,30±28,51 0,04
мкмоль/л контрольная 83,58±17,02 87,21±21,31 79,14±20,22 0,04

121. ОСНОВНЫЕ БИОХИМИЧЕСКИЕ ПОКАЗАТЕЛИ ДО И ПОСЛЕ НАЗНАЧЕНИЯ ФЕНОФИБРАТА

номер визита
показатель
группа
АЛАТ
ед/л
основная
АСАТ
ед/л
визит 1
визит 2
визит 3
р
23,82±6,63 24,90±5,29 25,09±6,73
0,29
контрольная 23,74±9,39 24,37±9,13 21,32±9,69
0,38
основная
21,50±5,67 22,65±4,93 23,20±6,23
0,25
контрольная 20,95±8,39 21,00±7,11 19,11±6,43
0,37

122. АРТЕРИАЛЬНОЕ ДАВЛЕНИЕ ДО И ПОСЛЕ НАЗНАЧЕНИЯ ФЕНОФИБРАТА

номер визита
показатель
группа
САД
мм рт ст
основная
ДАД
мм рт ст
визит 1
визит 2
визит 3
р
143,0±13,2 146,1±22,8 142,3±21,3
0,56
контрольная 141,3±18,1 146,2±22,7 150,2±25,2
0,03
основная
81,1±6,4
81,2±10,0
81,8±11,1
0,96
контрольная
81,3±12,0
81,4±13,7
82,1±14,3
0,92
САД - систолическое артериальное давление
ДАД - диастолическое артериальное давление

123. ПРОГРЕССИРОВАНИЕ РЕТИНОПАТИИ

• в основной группе наблюдалось на 9 глазах –
в 12,8% случаев (причем на 2 глазах на два
шага по шкале ETDRS).
• в контрольной группе на 14 глазах – в 28,0%
случаев (причем на 2 глазах на два шага по
шкале ETDRS, а на 1 на три шага по шкале
ETDRS).
р=0,04

124. ЛАЗЕРНАЯ КОАГУЛЯЦИЯ СЕТЧАТКИ

• панретинальная лазеркоагуляция сетчатки по
поводу пролиферативной ретинопатии
потребовалась на 3 глазах в контрольной
группе (6,0%);
• фокальная лазеркоагуляция сетчатки по
поводу макулярного отека потребовалась на
5 глазах в контрольной группе (10,0%) и
на 2 глазах в основной группе (2,9%)
р=0,02

125.

126.

127.

128. ВЫВОДЫ

Применение фенофибрата достоверно
снижает риск прогрессирования диабетических
изменений сетчатки с 28,0% до 12,8% (р=0,04)
и потребность в лазерном лечении с 16,0% до
2,9% (р=0,02).
Шадричев Ф.Е., Григорьева Н.Н., Шкляров Е.Б., Крянева О.Я.
Офтальмологические ведомости 2010.- Т. 3.- № 2.- С. 17-26.

129. ВЫВОДЫ

Значимыми факторами риска прогрессирования
диабетической ретинопатии и макулярного отека
явились:
- увеличение систолического артериального
давления (р=0,01);
- высокий средний уровень триглицеридов
(р=0,04);
- высокий средний уровень липопротеинов
очень низкой плотности (р=0,04).

130. ВЫВОДЫ

Значимыми факторами риска прогрессирования
ретинопатии до клинически значимых изменений,
нуждающихся в лазерной коагуляции сетчатки
явились:
- высокое артериальное давление (в большей
степени диастолическое – р=0,002, чем
систолическое – р=0,004)
- высокий средний уровень триглицеридов
(р=0,008). ).

131. ВЫВОДЫ

Терапия фенофибратом эффективна в
плане как нормализации липидного обмена, так и
предотвращения развития клинически значимых
изменений сетчатки у больных сахарным диабетом
2 типа.

132. ВЫВОДЫ

В арсенале современной офтальмологии
имеются достаточно эффективные методы
лечения
диабетической
ретинопатии
и
макулярного отека - лазерная коагуляция
сетчатки и витрэктомия, позволяющие (при
своевременном выполнении) на длительный срок
сохранить зрение пациенту.
Однако
эти
методы
воздействия
обладают серьезными побочными эффектами.

133. ВЫВОДЫ

Интравитреальное введение ингибиторов
ангиогенеза и кристаллических кортикостероидов
в подавляющем большинстве случаев должно
сочетаться с лазерной коагуляцией сетчатки или
витрэктомией.
Применение ингибиторов ангиогенеза при
диабетической ретинопатии бесспорно является
патогенетически оправданным.

134. ВЫВОДЫ

Достижение длительного нормального
функционирование органа зрения у больных
сахарным
диабетом
невозможно
без
максимально стабильной его компенсации,
которая должна включать:
- нормализацию уровня гликемии;
- нормализацию артериального давления;
- коррекцию дислипидемии;
- применение фенофибрата.

135. СПАСИБО ЗА ВНИМАНИЕ

136.

Санкт-Петербургский
территориальный
диабетологический центр
194354, Санкт-Петербург
ул. Сикейроса д.10 Д
тел\факс (812) 296-38-01
факс (812) 296-31-02
e-mail: shadrichev_dr@mail.ru
www.10glazsikeyrosa.ru
English     Русский Rules