РОССИЙСКИЙ УНИВЕРСИТЕТ ДРУЖБЫ НАРОДОВ КАФЕДРА ВНУТРЕННИХ БОЛЕЗНЕЙ С КУРСОМ КАРДИОЛОГИИ И ФУНКЦИОНАЛЬНОЙ ДИАГНОСТИКИ
Синдром диабетической стопы
Клинические формы синдрома диабетической стопы
Факторы раска развития СДС
Стадии раневого процесса
Классификация язвенных дефектов по глубине поражения (Wagner, 1980)
Классификация Wagner
Классификация Wagner
Классификация Wagner
ДИАГНОСТИКА СДС
Развитие нейропатических язв
СДС нейропатическая форма Признаки нейропатической язвы
Характеристика нейропатической формы СДС
Принципы консервативного лечения нейропатической формы СДС
Разгрузка конечности
Хирургическая обработка
Перевязочные средства на разных стадиях раневого процесса
Устранение инфекции
Диагностика раневого инфекционного процесса
Оценка степени тяжести раневой инфекции при СДС [IWGDF, 2003]
Антибиотикотерапия
Лечение диабетической нейропатии
СДС ишемическая форма
Группы риска наличия заболеваний артерий нижних конечностей (ЗАНК) у больных СД2 типа:
Признаки ишемической язвы
Характеристика ишемической формы СДС
Клинические стадии течения ЗАНК
Особенности клинической картины ЗАНК при СД
Методы изучения состояния артериального кровотока
Лодыжечно-плечевой индекс (ЛПИ)
Определение ЛПИ
  Алгоритм диагностики ЗАНК у пациентов с СД
ЗАНК подтверждается при:
Неинвазивные методы исследования:
Методы визуализации для анатомической оценки поражения
Профилактика и ведение пациентов с СД и ЗАНК
Профилактика и ведение пациентов с СД и ЗАНК (продолжение)
Профилактика и ведение пациентов с СД и ЗАНК (продолжение)
Тактика ведения пациентов с КИНК с риском потери конечности
Тактика ведения пациентов с КИНК с риском потери конечности.
Дифференциальная диагностика нейропатической и ишемической форм СДС
Диабетическая нейроостеоартропатия (ДНОАП, артропатия Шарко) -
Факторы, определяющие развитие острой стадии ДОАП
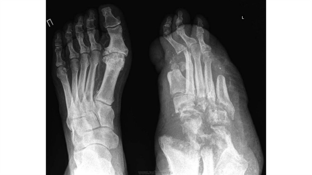
Стадии развития диабетической остеоартропатии
Стадии ДОАП 1 стадия – острая 2 стадия - подострая
Стадии ДОАП
Классификация ДНОАП на основании клинической картины, результатов МСКТ/МРТ (E.A.Chantelau, G.Grutzner, 2014)
Классификация ДНОАП на основании клинической картины, результатов МСКТ/МРТ (E.A.Chantelau, G.Grutzner, 2014)
Диагностика
МРТ стопы
Принципы лечения ДНОАП
Лечение острой стадии ДНОАП
Лечение хронической стадии ДНОАП
Профилактика ДНОАП
Показания к ампутации конечности
Правила ухода для больных группы риска развития синдрома диабетической стопы
2.87M
Category: medicinemedicine

СДС орд

1. РОССИЙСКИЙ УНИВЕРСИТЕТ ДРУЖБЫ НАРОДОВ КАФЕДРА ВНУТРЕННИХ БОЛЕЗНЕЙ С КУРСОМ КАРДИОЛОГИИ И ФУНКЦИОНАЛЬНОЙ ДИАГНОСТИКИ

им.В.С.МОИСЕЕВА
Синдром диабетической стопы
Диабетическая остеоартропатия
Доцент, к.м.н. ХАСАНОВА ЭЛИНА РЕМОВНА

2. Синдром диабетической стопы

Патологическое состояние стопы при СД,
характеризующееся поражением кожи и
мягких тканей, костей и суставов и проявляющееся в виде трофических язв, кожносуставных изменений и гнойно-некротических процессов

3. Клинические формы синдрома диабетической стопы

•Нейропатическая (70%)
•Ишемическая (10%)
•Нейро-ишемическая (20%)

4. Факторы раска развития СДС

• Диабетическая полинейропатия
• Поражения периферических кровеносных сосудов
любого генеза
• Деформации стоп любого генеза
• Диабетическая нефропатия, особенно ХПН
• Снижение зрения, слепота
• Одинокое проживание пациента
• Курение
• Злоупотребление алкоголем

5.

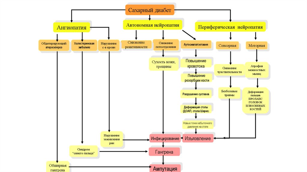
Сахарный диабет
Автономная нейропатия
Ангиопатия
Обдитерирующий
атеросклероз
Холестериновая
эмболияз
Нарушение
с-в крови
Снижение
реактивности
Периферическая нейропатия
Снижение
потоотделения
Аутосимпатэктомия
Сухость кожи,
трещины
Повышение
кровотока
Повышение
резорбции кости
Разрушение суставов
Деформация стопы
(ДОАП, стопа Шарко)
Новые точки избыточного
давления на стопе
Нарушение
заживления
ран
Синдром
“синего пальца”
Обширная
гангрена
Инфицирование
Гангрена
Ампутация
Изъязвление
Сенсорная
Моторная
Снижение
чувствительности
Атрофия
межкостных
мышц
Безболевые
травмы
Деформация
пальцев
ПРОЛАПС
ГОЛОВОК
ПЛЮСНЕВЫХ
КОСТЕЙ

6. Стадии раневого процесса

1 стадия - экссудации
Фибринозногеморрагический
экссудат

7.

8. Классификация язвенных дефектов по глубине поражения (Wagner, 1980)

• 0 ст. - состояние стоп в группе риска
• 1ст. - поверхностная язва
• 2 ст. - язва проникает через все слои кожи и подкожную
клетчатку
• 3 ст. - глубокая язва, проникающая до мышц, с
развитием флегмоны или возможным остеомиелитом
• 4ст. - ограниченная гангрена (пальца или стопы)
• 5 ст. - гангрена всей стопы

9. Классификация Wagner

1 стадия поверхностная
язва

10. Классификация Wagner

2 стадия - язва с вовлечением
всех слоев кожи и подкожной
клетчатки

11. Классификация Wagner

3 стадия - вовлечение
мышц и суставов,
развитие абсцесса,
флегмоны, остеомиелита
4 стадия -гангрена
пальца

12. ДИАГНОСТИКА СДС

•Сбор анамнеза
• Осмотр нижних конечностей
• Оценка неврологического статуса
• Оценка состояния артериального кровотока нижних
конечностей
• Рентгенография стоп и голеностопных суставов в прямой и
боковой проекциях
• Бактериологическое исследование тканей раны

13. Развитие нейропатических язв

• Механические факторы
• длительно действуюшая механическая нагрузка
(деформация стопы, ношение тесной обуви, утолщение
ногтей, посторонние предметы в обуви)
• Термические и химические ожоги
• Бактериальная или грибковая инфекция
• Другое (изъязвление очагов диабетического буллеза,
липоидного некробиоза и т.п.)

14.

После ампутаций в
пределах стопы
создается перегрузка
оставшихся опорных
участков с усугублением
деформации стопы и
образованием язв

15.

16. СДС нейропатическая форма Признаки нейропатической язвы

• Безболезнненная язва
• Гиперкератоз окружающей
ткани
• Располагается в зонах
повышенного давления,
вызванного деформацией
стоп

17. Характеристика нейропатической формы СДС

• Жалобы на симметричные боли дистальной
локализации в покое, на онемение стоп, парестезии и
дизестезии
• Стопа теплая на ощупь, пульсация артерий сохранена,
имеются характерные деформации стоп и участки
гиперкератозов
• Снижение различных видов чувствительности
• Возможно наличие язвенных дефектов и развитие
диабетической остеоартропатии

18. Принципы консервативного лечения нейропатической формы СДС

• Компенсация сахарного диабета
• Разгрузка пораженной конечности
• Очищение язвенного дефекта
• Местное лечение язвенного дефекта с
использованием атравматичных
перевязочных средств
• Адекватная антибактериальная терапия

19. Разгрузка конечности

Индивидуальные разгрузочные повязки
Для разгрузки могут быть
использованы:
кресло-каталка
индивидуальная
разгрузочная повязка (Total
Сontact Сast) - золотой
стандарт
для
лечения
нейропатической
формы
СДС
разгрузочный полубашмак
пневмоортез (AirCast), тутор
специализированные
ячеистые стельки

20. Хирургическая обработка

• Хирургическая обработка в условиях перевязочного кабинет
• Устранение фибрина, некротически изменённых тканей и
гиперкератозов по краям раны
• В ряде случаев для ускорения очищения раны могут быть
использованы повязки, стимулирующие аутолиз
• Обработка раневых дефектов возможна только после разрешения
критической ишемии
Очищение
При
промывании
раны
рекомендуется
физиологический р-р для неинфицированных
антисептика для инфицированных ран.
использовать
ран или р-р

21. Перевязочные средства на разных стадиях раневого процесса

Контроль экссудации
• играет определяющую роль в
выборе перевязочного средства
• повязка
должна
создавать
оптимальную среду для ускорения
миграции клеток, облегчать аутолиз
нежизнеспособных
тканей,
предотвращать мацерацию краёв
раны
• повязка
должна
поддерживать
влажную
среду
в
ране,
контролировать уровень экссудата
• должна быть хорошо зафиксирована
на ране, чтобы не травмировать ее
за счет своей подвижности.
• 1 стадия (очищения)
• инадин, активтекс, сорбалгон,
гидрокол, гранугель
• 2 стадия (грануляции)
• атравман, бранолинд,
гидросорб, грануфлекс
• 3 стадия (эпителизации)
• атравман, биоклюзив,
гидрофильм

22. Устранение инфекции

Наличие
инфекции
в
ране
устанавливается по двум или более
из
указанных
клинических
признаков:
• местный отёк или уплотнение
тканей
• локальная гиперемия
• повышенная чувствительность
или боль
• локальная гипертермия
• гнойное отделяемое
• Периферическая нейропатия или
заболевание
периферических
артерий маскируют симптомы и
признаки инфекции.
• 50% пациентов с СДС могут не
иметь
клинических
признаков
инфекции.
• ориетироваться
на
косвенные
признаки:
увеличение
количества
раневого
экссудата
рыхлая,
бледная
грануляционная
ткань
рыхлые «подрытые» края раны
неприятный запах

23. Диагностика раневого инфекционного процесса

• основной метод - бактериологическое исследование
• для анализа необходимо брать образцы тканей из разных
участков, так как микрофлора может различаться в разных
областях раны
• необходимо выявлять не только аэробные, но и анаэробные
микроорганизмы и определять их чувствительность к
современным антибактериальным препаратам
• клинически значимым считается содержание бактериальных
тел выше 1х106 на грамм ткани или обнаружение βгемолитического стрептококка

24. Оценка степени тяжести раневой инфекции при СДС [IWGDF, 2003]

1.
2.
Неинфицированная язва/рана.
Легкая инфекция:
инфекционный процесс, вовлекающий лишь кожу и подкожную клетчатку
признаки раневой инфекции без признаков вовлечения глубжележащих структур и системного
воспалительного ответа
радиус зоны эритемы – менее 2 см
3.
Инфекция средней тяжести:
обширное воспаление кожи и подкожной клетчатки (признаки инфекции + радиус зоны
эритемы > 2 см) ИЛИ
вовлечение лежащих глубже структур (абсцесс, остеомиелит, гнойный артрит, фасциит)
4.
Тяжелая инфекция:
синдром системной воспалительной реакции (SIRS), необходимо наличие двух и более
признаков:
температура тела более 38 или менее 36 градусов
ЧСС > 90 уд/мин
Одышка (ЧДД > 20 в мин)
PaCO2 (парциальное давление CO2 в артериальной крови) < 32 мм рт.ст.
уровень лейкоцитов более 12 или менее 4 тыс. в мкл
сдвиг лейкоцитарной формулы влево (10% и более незрелых (палочкоядерных) форм
лейкоцитов)

25. Антибиотикотерапия

• Пенициллины (оксациллин, метициллин, ампициллин,
амоксициллин, ампициллин/сульбактам,
амоксициллин/клавуланат)
• Цефалоспорины (цефазолин, цефуроксим, цефалексин,
цефотаксим, цефоперазон)
• Аминогликозиды (гентамицин, амикацин)
• Фторхинолоны (ципрофлоксацин, левофлоксацин)
• Другие (доксициклин, рифампицин, ванкомицин,
имипинем)
• Препараты с антианаэробной активностью (клиндамицин,
линкомицин, метронидазол)

26. Лечение диабетической нейропатии

• Компенсация сахарного диабета
• Препараты альфа-липоевой кислоты (берлитион, зспалипон, тиоктацид, тиогамма)
• Витамины группы В (нейромультивит, мильгамма,
бенфогамма)
• Противосудорожные препараты (финлепсин, тегретол,
нейронтин)

27. СДС ишемическая форма

28. Группы риска наличия заболеваний артерий нижних конечностей (ЗАНК) у больных СД2 типа:

• Пациенты в возрасте ˃ 50 лет;
• Пациенты в возрасте <50 лет и наличием 1 ФР (курение, дислипидемия,
сердечно-сосудистые заболевания, церебро-васкулярные заболевания,
АГ, неудовлетворительный контроль гликемии, повышенная
концентрация С-реактивного белка, аполипопротеина В, повышенная
вязкость крови и гиперкоагуляция, ХБП (СКФ <60 мл/мин/1,73 м2);
семейный анамнез ССЗ, хронические воспалительные заболевания
(ревматоидный артрит, псориаз, ВИЧ-инфекция).
• Пациенты с СД и наличием трофических нарушений мягких тканей
нижних конечностей независимо от возраста.

29. Признаки ишемической язвы

• Болезненная язва
• Гиперкератозы не
характерны (но
возможно отложение
фибрина)
• Гиперемия и истончение
кожи
• Характерна акральная
локализация

30. Характеристика ишемической формы СДС

• Жалобы: перемежающаяся хромота или боли в покое,
уменьшающиеся при опускании ног
• Клинические проявления: стопа холодная на ощупь, бледная и
истонченная кожа, отсутствие Рs на артериях, наличие язвенных
дефектов, акральных некрозов, гангрены пальцев и стопы.
• Факторы риска: дислипидемия, артериальная гипертензия,
атеросклероз других локализаций, курение, возраст > 50 лет
• Верификация диагноза: УЗДГ артерий и определение
парциального напряжения кислорода в тканях
• Определение локализации стеноза: дуплексное сканирование,
артериография, МР-ангиография

31. Клинические стадии течения ЗАНК

• Доклиническая стадия (бессимптомное течение) – отсутствие
клинических проявлений;
• Стадия клинических проявлений (симптомное течение) –
перемежающаяся хромота, наличие трофических изменений,
раневых дефектов;
• Критическая ишемия нижней конечности (КИНК) с риском
потери конечности, характеризуется одним из двух следующих
критериев:
Постоянная боль в покое, требующая регулярного приема анальгетиков в
течение двух недель и более (низкий риск) и/или
Трофическая язва или гангрена пальцев или стопы, возникшие на фоне
хронической артериальной недостаточности (умеренный и высокий риск)

32. Особенности клинической картины ЗАНК при СД

• Раннее
начало
и
быстрое
прогрессирование
атеросклеротических изменений
• Высокая распространенность сопутствующих АССЗ
• Малосимптомное течение ЗАНК, вследствие сопутствующей
диабетической
нейропатии,
характеризуется
стертым,
атипичным
или
отсутствием
болевого
синдрома/перемежающейся хромоты
• Несвоевременное обращение за медицинской помощью,
нередко на стадии трофических изменений мягких тканей
стопы и/или гангрены
• Трофические нарушения мягких тканей нижних конечностей
могут развиваться на любой стадии ЗАНК

33. Методы изучения состояния артериального кровотока

• Биохимия крови (холестерин, ТГ, ЛПНП, ЛПВП)
• Коагулограмма
• Ультразвуковая допплерография (ЛПИ)
• Дуплексное сканирование артерий
• Рентгеноконтрастная ангиография
• МР-ангиография
• Чрезкожное определение насыщения кислородом
тканей ( Тср О2)

34. Лодыжечно-плечевой индекс (ЛПИ)

ЛПИ = систолическое АД в артериях голени
систолическое АД а плечевой артерии
ЛПИ = 0,9 - 1,1 - Норма
ЛПИ = 0,8 - 0,6 - Хроническая ишемия
нижней
конечности
ЛПИ < 0,6
- Критическая ишемия
нижней конечности
ЛПИ > 1,1
- Диабетическая нейропатия

35. Определение ЛПИ

36.

37.   Алгоритм диагностики ЗАНК у пациентов с СД

Алгоритм диагностики ЗАНК у пациентов с СД
Примечания: ЛПИ – лодыжечно-плечевой индекс; ППИ – пальце-плечевой индекс;ЛАД – лодыжечное артериальное давление; TcpO2 - транскутанное напряжение кислорода.
1 ЛПИ с нагрузкой – тест 6-минутной ходьбы, тредмил тест (если нет противопоказаний). Интерпретация результатов не отличается от ЛПИ без нагрузки.

38. ЗАНК подтверждается при:

Наличии жалоб: перемежающаяся хромота, купирующаяся
остановкой или боли покоя, купирующиеся приемом анальгетиков;
Наличии некротических раневых дефектов, ишемической гангрены
пальцев и стопы;
Снижении или отсутствии пульсации на ТАС или ЗББА у медиальной
лодыжки;
Монофазной или двухфазной форме допплеровской волны или ее
отсутствии на одной из артерий стопы;
ЛПИ < 0,9 как минимум на одной из артерий стопы.
Ни один из имеющихся рутинных неинвазивных тестов не является
абсолютным критерием диагностики ЗАНК у пациентов с СД.
Для подтверждения или опровержения диагноза ЗАНК рекомендуется
использовать несколько методов.

39. Неинвазивные методы исследования:

Ультразвуковая допплерография и допплерометрия с подсчетом ЛПИ
(соотношение систолического АД в артериях стопы и систолического АД
в плечевой артерии);
• Измерение пальцевого систолического давления и пальце-плечевого
индекса.
Методы оценки перфузии мягких тканей:
1. Транскутанная оксиметрия (TcpO2) – метод оценки тяжести ишемии конечности у
пациентов с клиническими симптомами ЗАНК, прогноза заживления язв,
эффективности консервативного лечения и исходов реваскуляризации, определения
уровня ампутации конечности.
• 25 мм рт.ст. - пороговое значение чрескожного напряжения кислорода (TcpO2) для
подтверждения ЗАНК на стадии КИНК
1. Измерение перфузионного давления кожи – метод оценки кровяного давления,
необходимого для восстановления капиллярного кровотока после индуцированной
окклюзии.
• 40 мм рт.ст. - пороговое значение перфузионного давления для подтверждения
ЗАНК на стадии КИНК

40. Методы визуализации для анатомической оценки поражения

1.
Ультразвуковое дуплексное сканирование (УЗДС) - метод диагностики первой линии,
поскольку дает возможность оценить весь спектр артериальных поражений, включая оценку
результатов хирургического и консервативного лечения.
2.
Магнитно-резонансная ангиография - метод второй линии у пациентов с СД в связи с
отсутствием лучевой нагрузки, более низкого риска нефротоксичности в сравнении с МСКТА
и лучшей визуализацией артерий голеней в сравнении с УЗДС и МСКТА.
3.
Мультиспиральная компьютерная ангиография (МСКТА) - оптимальный метод
визуализации аорто-подвздошного сегмента и проксимальных отделов артерий нижних
конечностей у пациентов с СД. Позволяет с высокой точностью исключить артериальные
аневризмы, оценить структуру сосудистой стенки, проходимость шунтов и протезов после
реваскуляризации.
4.
Рентгенконтрастная ангиография – «золотой стандарт» - инвазивный метод визуализации,
рекомендуемый пациентам с ЗАНК при неинформативности других методов визуализации. В
связи с необходимостью применения йодсодержащего контрастного вещества процедура
должна проводиться с осторожностью в связи с риском развития контрастиндуцированной
нефропатии и (редко) тяжелых аллергических реакций.

41. Профилактика и ведение пациентов с СД и ЗАНК

1. Коррекция модифицируемых ФР развития атеросклероза:
1.1. Отказ от активного и пассивного курения: пациентам следует помочь разработать план отказа от курения,
включающей фармакотерапию (например, варениклин, бупропион и/или никотинзаместительную терапию) и/или
направить их для участия в программе отказа от курения.
1.2. Достижение и поддержание целевых показателей гликемического контроля
1.3. Достижение и поддержание целевых показателей липидного обмена и АД:
Категория
риска
Целевые значения
холестерина
ЛНП,ммоль/л1
Категория больных
Больные с атеросклеротическими сердечно- сосудистыми
заболеваниями или с поражением других органов-мишеней
Очень
или с 3и более большими факторами риска или раннее
высокого
начало СД 1 типа длительностью >20
риска
лет
Высокогориска Больные СД длительностью ≥10 лет без поражения органовмишеней + любой другой
дополнительный фактор риска
Больные молодого возраста (СД 1 типа < 35лет или СД 2
Среднего
типа <50 лет) с СД длительностью <10 лет без других
риска
факторов
риска
Возраст
18 – 65 лет
> 65 лет
Систолическое АД,мм
рт.ст.*
≥ 120 и < 130
≥ 130 и < 140
Диастолическое АД,
мм рт.ст.*
≥ 70 и < 80
< 1,4
< 1,8
< 2,5

42. Профилактика и ведение пациентов с СД и ЗАНК (продолжение)

1.4. Антиагрегантная терапия и/или антикоагулянтная терапия.
ДАТТ – двойная антитромбоцитарная терапия; ОАТ – однокомпонентная антитромбоцитарная терапия; ПАГ – пероральный антикоагулянт;АВК – антагонисты
витамина К; А – Ацетилсалициловая кислота 75-100 мг/сут; К – Клопидогрел 75 мг/сут; ПХ – перемежающая хромота; КИНК – критическая ишемия
н/конечности
1 Ддлительная антитромбоцитарная монотерапия при наличии атеросклероза др. артериальных бассейнов (сонных, коронарных, почечных артерий и т.д.).
Клопидогрел может быть предпочтительным по сравнению с ацетилсалициловойкислотой.
2 Двойная антитромбоцитарная терапия м. б. рассмотрена у пациента с ОКСи/или чрескожным коронарным вмешательством (менее 1 года), стентированием
последней проходимой коронарной артерией, многососудистым поражением коронарных артерий у пациентов с неполной реваскуляризацией.
3 Доказательная база является слабой и кровотечение удваивается по сравнению сантитромбоцитарной монотерапией.
4 До тех пор, пока наблюдается хорошая переносимость.

43. Профилактика и ведение пациентов с СД и ЗАНК (продолжение)

1.6. Контроль массы тела.
1.7. Двигательная активность:
Регулярная физическая активность (пациентам группы риска развития ЗАНК);
Структурированная
программа по физической активности для пациентов с ЗАНК:
программа формируется реабилитологом/врачом ЛФК, длительность занятия составляет 3045 мин, не менее 3-х раз в неделю, не менее 12 недель.
Противопоказание: ограничение физической активности со стороны сердечнососудистых заболеваний, кресло-коляска, пациенты с наличием раневых дефектов,
диабетическая нейроостеоартропатия и др.).
2. Индивидуальное обучение правилам ухода за стопами при СД пациентов и,
при необходимости, родственников.
3. Рекомендации по выбору обуви и стелек).
4. Профессиональный подиатрический уход: осуществляется специально
обученной медицинской сестрой в условиях кабинета диабетической стопы.

44. Тактика ведения пациентов с КИНК с риском потери конечности

Реваскуляризация артерий нижних конечностей:
У
пациентов с низким риском потери конечности (наличие
перемежающейся хромоты ишемического генеза, снижающей
качество
жизни),
можно
рассмотреть
вопрос
проведения
реваскуляризации артерий нижний конечностей после курса лечения
структурированной программой физической активности.
У пациентов с умеренным и высоким риском потери конечности
проведение реваскуляризации обязательно.
Местное лечение ран

45. Тактика ведения пациентов с КИНК с риском потери конечности.

46. Дифференциальная диагностика нейропатической и ишемической форм СДС

Дифференциальная
диагностика
Дифференциальная
диагностика
нейропатической
нейропатическойииишемической
ишемическойформ
формСДС
СДС
Нейропатическая
• длительное течение
диабета
• язвы стоп и ампутации в
анамнезе
• сухая кожа, гиперкератоз в
точках избыточного
давления на подошве
• характерная деформация
пальцев, стоп
• безболезненные явзвы на
подошве в точках
избыточного давления
• пульсация на артериях
сохранена
Ишемическая
• гипертония и/или
дислипидемия
• сердечно-сосудистые
заболевания в анамнезе
• кожа бледная (цианотичная),
атрофична,трещины
• неспецифическая
деформация пальцев
• пульсация на артериях
снижена или отсутствует
• акральные некрозы, резко
болезненные.

47. Диабетическая нейроостеоартропатия (ДНОАП, артропатия Шарко) -

Диабетическая
нейроостеоартропатия (ДНОАП,
артропатия Шарко) относительно безболевая,
прогрессирующая, деструктивная
артропатия одного или нескольких
суставов, сопровождающаяся
неврологическим дефицитом

48. Факторы, определяющие развитие острой стадии ДОАП

Длительное течение
сахарного диабета
нейропатия
Заболевания
периферической НС
Ушиб,
растяжение,
перелом
Растяжение связок,
нестабильность сустава
Язва, инфекция
Травматизация
при ходьбе
Острая стадия
ДОАП
Дегенерация сустава
Продолжение
травматизации при ходьбе

49.

50.

51. Стадии развития диабетической остеоартропатии

• Клинические стадии стадии ДНОАП
острая
хроническая
• 1 стадия - острая (отек и гиперемия стопы, гипертермия)
• 2 стадия - подострая (формирование деформации
стопы,остеопороз,остеолизис)
• 3 стадия - хроническая ( выраженные деформации
стопы,спонтанные переломы)
• 4 стадия осложнений (образование язвенных дефектов,возможно
развитие гангрены)

52. Стадии ДОАП 1 стадия – острая 2 стадия - подострая

Стадии ДОАП
1 стадия – острая
подострая
2 стадия -

53. Стадии ДОАП

54. Классификация ДНОАП на основании клинической картины, результатов МСКТ/МРТ (E.A.Chantelau, G.Grutzner, 2014)

Стадии/Фазы
Клиника
МСКТ/МРТ признаки
Активная
Умеренно выраженное
Обязательные: отек костного мозга и мягких
стадия
воспаление (отек, локальная тканей, нет нарушения кортикального слоя.
Фаза 0
гипертермия,
иногда
боль, Возможные: субхондральные трабекулярные
повышенный
риск
микротрещины, повреждение связок.
травматизации при ходьбе), нет
выраженных деформаций
Активная
Обязательные: переломы с нарушением
стадия
Выраженное воспаление (отек, кортикального слоя, отек костного мозга и/или
Фаза 1
локальная гипертермия, иногда отек мягких тканей.
боль, повышенный
риск
Возможные: остеоартрит, кисты, повреждение
травматизации
при
ходьбе), хряща, остеохондроз, внутрисуставной выпот,
выраженная деформация
скопление жидкости в суставах, костные
эрозии/некрозы, лизис кости, деструкция и
фрагментация кости,
вывихи/подвывихи
суставов, повреждение связок,
дислокация
костей.

55. Классификация ДНОАП на основании клинической картины, результатов МСКТ/МРТ (E.A.Chantelau, G.Grutzner, 2014)

Стадии/Фазы
Клиника
МСКТ/МРТ признаки
Неактивн
ая стадия
Фаза 0
Нет признаков воспаления, Отсутствие
изменений
или
нет деформации
незначительный отек костного мозга,
субхондральный склероз, кисты кости,
остеоартроз,
повреждение связок.
Неактивн
ая стадия
Фаза 1
Нет воспаления, стойкая Остаточный отек костного мозга,
выраженная деформация, кортикальная
мозоль,
выпот,
анкилозы
субхондральные кисты, деструкция и
дислокация
суставов,
фиброз,
образование
остеофитов,
ремоделирование кости, нарушения
хряща и связок,анкилоз, псевдоартроз.

56. Диагностика

Стадия ДНОАП
Острая
Хроническая
Клинические
Обязательные
проявления
Проявления диабетической нейропатии
При осмотре
отек и гиперемия
пораженной стопы,
локальная гипертермия
При осмотре
характерная деформация
стопы и/или голеностопного
сустава
Методы
Дополнительные
Инфракрасная
термометрия пораженной
и непораженной
конечности (градиент
температуры >2оС
свидетельствует об острой
стадии ДНОАП)
Рентгенография
пораженного участка
конечности в прямой и
боковой проекциях
(определяется остеопороз,
гиперостозы, вывихи и
подвывихи суставов,
фрагментация костных
структур)
МРТ пораженного
участка конечности
(выявление отека
костного мозга в зоне
пораженного сустава)
МСКТ пораженного
участка конечности

57.

58. МРТ стопы

59. Принципы лечения ДНОАП


Достижение и поддержание индивидуальных целевых показателей
гликемического контроля
Разгрузка пораженной конечности (индивидуальная разгрузочная
повязка) на острой стадии. Длительность использования повязки – 6
мес., частота замены – каждые 3–4 недели
Системная антибиотикотерапия (клиндамицин, фторхинолоны,
цефалоспорины, даптомицин) при язвенных дефектах с признаками
инфекции и ранах 2-й ст. и глубже (по Wagner)
При наличии раневых дефектов – использование современных
атравматических перевязочных средств, соответствующих стадии
раневого процесса

60. Лечение острой стадии ДНОАП

• Единственным эффективным методом лечения острой стадии
ДНОАП является разгрузка пораженного сустава с помощью
индивидуальной разгрузочной повязки Total Contact Cast,
которая должна быть наложена пациенту сразу после
установления диагноза.
• В качестве дополнительного метода лечения острой стадии
ДНОАП назначение препаратов из группы бисфосфонатов
(алендронат, памидронат)

61. Лечение хронической стадии ДНОАП


Постоянное ношение сложной ортопедической обуви.
При поражении голеностопного сустава постоянное
ношение индивидуально изготовленного ортеза.
Адекватный подиатрический уход с целью профилактики
развития хронических раневых дефектов в зонах
избыточного нагрузочного давления на стопе.
При формировании выраженных деформаций стопы и
рецидивирующих раневых дефектах в зоне деформации –
хирургическая ортопедическая коррекция.

62.

63.

64. Профилактика ДНОАП


Достижение и поддержание индивидуальных целевых
показателей гликемического контроля.
Своевременное выявление и динамическое наблюдение за
пациентами группы риска развития ДНОАП.

65. Показания к ампутации конечности

• Влажная гангрена стопы с распространением
процесса на проксимальные отделы конечности
• Гнойно-деструктивные артриты стопы
• Длительно существующие, обширные трофические
язвы подошвенной поверхности стопы в сочетании
с деструктивными формами ДОАП
• Обширные ишемические некрозы переднего,
среднего отделов стопы или пяточной области
• Критическая ишемия конечности с выраженным
болевым синдромом, не поддающаяся
консервативной терапии и при невозможности
сосудистой реконструкции

66. Правила ухода для больных группы риска развития синдрома диабетической стопы

Разрешается
• Обрабатывать ногти только с
помощью пилки
Запрещается
• Нельзя использовать острые предметы
для ухода за кожей стоп и ногтями
• Удалять мозоли с помощью пемзы • Нельзя греть ноги грелками,
электронагревательными приборами и
• После мытья ноги вытирать насухо
у батарей отопления
промокательными движениями ,
особенно между пальцами
• Регулярно использовать крем для
ног (кроме межпальцевых
промежутков)
• Греть ноги теплыми носками без
резинок
• Нельзя ходить босиком
• Нельзя принимать горячие ножные
ванны
• Нельзя носить носки с тугими
резинками
• Нельзя носить жесткую, неудобную,
• Проверять внутреннюю поверхность узкую обувь и обувь на высоком
обуви
каблуке
• Ежедневно осматривать стопы
• Нельзя удалять мозоли с помощью
пластыря или кератолитических мазей
English     Русский Rules