«Кровь и остальные компоненты внутренней среды организма»
I. Внутренняя среда
II. Кровь
III. Плазма крови
Эритроциты
Тромбоциты
Лейкоциты
Теория фагоцитарного иммунитета Мечникова
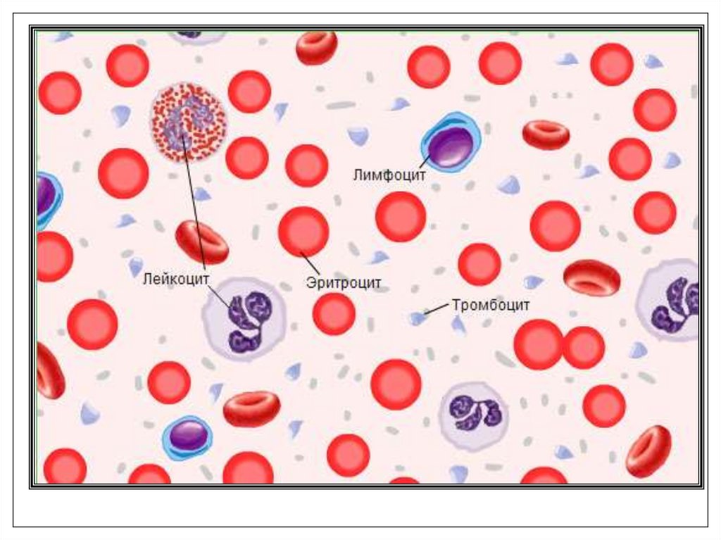
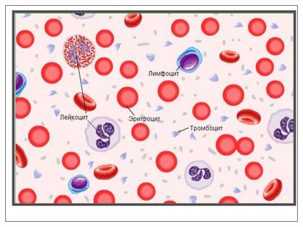
Форменные элементы
Группы крови
Резус-фактор
2.07M
Category: medicinemedicine

8кл внутренняя седа (1)

1. «Кровь и остальные компоненты внутренней среды организма»

«КРОВЬ И ОСТАЛЬНЫЕ
КОМПОНЕНТЫ ВНУТРЕННЕЙ
СРЕДЫ ОРГАНИЗМА»

2. I. Внутренняя среда

КРОВЬ
ТКАНЕВАЯ
ЖИДКОСТЬ
ЛИМФА
Движется по
замкнутым сосудам,
не контактирует
с клетками
Образуется из крови,
окружает клетки и
обменивается веществами
с ними
Образуется из тканевой
жидкости, поступившей
в лимфатические
капилляры,
поступает в кровь

3.

Состав
Кровь:
60 % — плазма крови
40 % — форменные
элементы
Лимфа:97 % — плазма
крови
3 % — лейкоциты
Тканевая жидкость:
плазма крови (меньше
белка)
Где течет
Функция
в кровеносных сосудах
•транспортная;
•защитная;
•регуляторная;
•гомеостатическая;
•терморегуляция;
•гуморальная регуляция
в лимфатических сосудах
•защитная (иммунитет);
•возвращение белков, воды,
солей, продуктов распада
из тканей в кровь;
•водный и жировой обмен;
•гуморальная регуляция;
•гомеостатическая
среди тканей —
контактирует с клетками
•образование лимфы;
•транспортная
(питательные вещества,
газы и продукты обмена
между тканями и
кровеносными сосудами);
•гомеостатическая

4.

Кровь- жидкая соединительная ткань.
Функция: обеспечение обмена веществами между внутренними
тканями и внешней средой
плазма + форменные элементы
КРОВЬ
ЛИМФА
ТКАНЕВАЯ
ЖИДКОСТЬ
избытки тканевой
95% воды, 0,9% мин. солей
жидкости
1,5% белков и др. орг. в-в
+О2 и СО2
Свойство: гомеостаз – постоянство внутренней среды

5. II. Кровь

Объём: 4-5 л
Состав:
Плазма, 55-60%
Форменные элементы
40-45%
Вода
Эритроциты (не кл)
Органические
Вещества
Лейкоциты
Минеральные
вещества
Тромбоциты

6.

1. Дыхательная функция заключается в переносе кислорода от легких к тканям
и углекислого газа в обратном направлении.
2. Питательная функция осуществляется путем переноса питательных веществ
(аминокислот, глюкозы, жирных кислот и т. д.) от органов пищеварения или от
органов, в которых эти вещества депонируются, к тканям, где происходит их
дальнейшее превращение.
3. Выделительная (экскреторная) функция связана с переносом конечных
продуктов диссимиляции в почки или другие органы (кожа, желудок), а также
участвует в процессе образования мочи.
4. Регуляторная функция связана с переносом гормонов и других биологически
активных веществ, с помощью которых осуществляется регуляция
функциональной активности отдельных органов.
5.
Терморегуляторная функция. Обладая высокой теплопроводностью и
теплоемкостью, кровь, циркулируя по кровеносным сосудам, увеличивает
потери тепла в случае перегревания организма, или, наоборот, сохраняет его при
переохлаждении. Это происходит в результате изменения просвета кровеносных
сосудов в коже, подкожной клетчатке, мышцах и внутренних органах.
6. Гомеостатическая функция (поддержание постоянства внутренней среды
организма) достигается благодаря перемещению крови, омыванию всех тканей,
с межклеточной жидкостью которых ее химический состав уравновешивается.
7. Защитная функция, которая осуществляется и лейкоцитами, способными к
фагоцитозу, и веществами, обеспечивающими гуморальную защиту организма
от попадающих в нее вредных веществ и микроорганизмов. В крови содержатся
антитела, с которыми связан иммунитет. К защитной функции следует также
отнести способность крови к свертыванию, в результате чего прекращается
кровотечение из раны.

7. III. Плазма крови

• Относительно постоянный солевой состав
• Большинство веществ транспортируются кровью в растворенном в
плазме виде
• Состав: 90% воды и 10% сухого вещества: 0.9% солей Na,K,Ca, Cl; 7-8%
белков; 0.12% глюкозы; 0.7-0.8% жиров; аминокислоты; гормоны;
витамины
• Физиологический раствор (0,9% NaCl)
• Гипертонический раствор (концентрация NaCl > 0,9%)
• Гипотонический раствор (концентрация NaCl < 0,9%) прим. дистиллированная вода
• Осмотическое давление – сила, которую нужно приложить, чтобы
предотвратить проникновение молекул из раствора с меньшей
концентрацией – в раствор с большей концентрацией
• Почему введение больших доз лекарственных препаратов
сопровождается их разбавлением физиологическим раствором?

8.

9.

• альбумин, α1-, α2-, β- и γ-глобулин. Альбумины растворимы в чистой
воде, а глобулины — только в присутствии солей
• альбумин представлен в большем количестве (около 45 г/л) -
поддержание коллоидно-осмотического давления в крови и резерв
аминокислот, связывает ионы Са2+ и Mg2+
• глобулины участвуют в транспорте липидов, гормонов, витаминов и
ионов металлов, образуют важные компоненты системы свертывания
крови
• синтезируются в печени

10.

11. Эритроциты

• Имеют форму двояковогнутого диска (пончик без отверстия)
• Главная функция эритроцитов — транспорт О2 от легких в ткани и СО2 от тканей
обратно в легкие. Высшие организмы нуждаются для этого в специальной
транспортной системе, так как молекулярный кислород плохо растворим в воде: в 1
л плазмы крови растворимо только около 3,2 мл О2.
• Содержащийся в эритроцитах белок гемоглобин (Hb) способен связать в 70 раз
больше — 220 мл О2/л. Содержание Hb в крови составляет 140-180 г/л у мужчин и
120-160 г/л у женщин, т. е. вдвое выше по сравнению с белками плазмы (50-80 г/л).
Поэтому Hb вносит наибольший вклад в образование рН-буферной емкости крови.
• Эритроциты имеют красный цвет из-за присутствия в гемоглобине ионов
двухвалентного железа. При связывании O2 с атомом железа и отщеплении
O2 (дезоксигенация) степень окисления атома железа не меняется. Окисление
Fe2+ до Fe3+ носит случайный характер. Окисленная форма
гемоглобина, метгемоглобин, не способна переносить O2. Доля метгемоглобина
поддерживается ферментами на низком уровне и составляет поэтому обычно
только 1-2%.
• Hb + 4O2 = HbO8 Оксигемоглобин
• Hb + CO2 = HbCO2 Карбгемоглобин
• Hb + CO = HbCO Карбоксигемоглобин

12.

13.

14. Тромбоциты

• утолщённые, безъядерные пластинки диаметром 3–4 мкм. Число в крови
не постоянно (в 1 мм³ от 180 до 400 тыс). Образуются в красном костном
мозге, постоянно. Живут несколько дней, затем разрушаются в
селезёнке.
• Клетки системы свёртывания крови, выполняют свою функцию при
кровотечениях. Особенностью тромбоцитов является способность
изменять форму и прикрепляться к поверхности сосуда с образованием
тромба (сгустка крови).
• Свёртывание крови — защита, остановка кровотечения при
повреждении кровеносного сосуда.

15.

• Свёртывание крови — многоступенчатый процесс, включающий
последовательное выделение из клеток крови и разрушенных сосудов
более 10 веществ, так называемых факторов свёртывания крови.
• При повреждении сосуда (например, при порезе) тромбоциты,
находящиеся в этом месте, разрушаются и выделяют протромбин, под
действием которого содержащийся в крови растворимый белок
фибриноген превращается в нерастворимый фибрин. Длинные нити
фибрина переплетаются между собой в сеть, где задерживаются
форменные элементы крови, и образуется тромб, перекрывающий рану
и прекращающий кровотечение. Образование тромба происходит в
течение 3–8 мин. Со временем стенка сосуда восстанавливается, а
тромб рассасывается.

16.

17.

18. Лейкоциты

• Крупные, бесцветные, с ядрами, непостоянная форма, ложноножки, амебоидное движ.
• основная функция – защита, 2 группы: гранулоциты и агранулоциты
• Базофилы 0,5% всех лейкоцитов. Они вырабатывают гепарин и гистамин – активируют
тромбоциты. Основная функция – участие в аллергических реакциях.
• Эозинофилы 1,5% всех лейкоцитов, при аллергии количество возрастает. Они
обладают антигистаминным действием. Их содержание контролируется гормонами
коры надпочечников. Живут 10 – 12 дней.
• Нейтрофилы (фагоциты) 70% всех лейкоцитов. Способны проходить между клетками,
и проникать в межклеточные пространства тканей и направляться к инфицированным
участкам тела. Нейтрофилы – активные фагоциты, поглощают и переваривают
болезнетворные бактерии. Способны вырабатывать интерферон.
• Моноциты 4% всех лейкоцитов, имеют ядро бобовидной формы. Активно поглощают
бактерии и другие крупные частицы. Способны мигрировать сквозь стенки капилляров
в очаге воспаления, где действуют нейтрофилы. Участвуют в иммунных реакциях
организма, могут накапливать в себе антигены.
• Лимфоциты 24% всех лейкоцитов, образуются в тимусе и лимфоидной ткани. Имеют
округлую форму и содержат очень мало цитоплазмы. Принимают участие в иммунных
реакциях (образовании антител, уничтожении опухолевых клеток и др).

19. Теория фагоцитарного иммунитета Мечникова

• Фагоцитоз – это процесс захвата и переваривания особыми клетками крови
и тканей различных частиц: бактерий, вирусов, компонентов инородных
тел, остатков разрушенных тканей, погибших клеток и т.д.
• Иммунный фагоцитоз осуществляется клетками-фагоцитами, к ним
относятся главным образом лейкоциты. Мечников делил все фагоциты на
микрофаги и макрофаги (современное учение о фагоцитозе делит
фагоциты на профессиональные и не профессиональные).
• Стадии фагоцитоза: «радары» фагоцитов засекают присутствие в организме
вредоносного объекта, фагоцит их поглощает и избавляется от остатков
захваченной и переваренной частицы.
• В результате фагоцит не просто уничтожает «вредителя», но и выставляет
на поверхность своей мембраны антигены переваренной частицы. После
этого, вступая в контакт с другими клетками иммунитета (лимфоцитами и
др.), фагоцит передает им информацию о вредоносном объекте, чтобы те
сохраняли повышенную бдительность и при встрече с вредоносным
объектом были готовы его уничтожить.

20.

• Другие лейкоциты (лимфоциты) вырабатывают особые белки (антитела), которые
распознают и нейтрализуют чужеродные клетки и выделяемые ими яды (токсины), в
результате чего болезнь не развивается.
• Т–лимфоциты способны связываться с антигенами чужеродных частиц и вызывать их
разрушение. Делят на Т-киллеры и Т-хелперы.
• В–лимфоциты (клетки памяти) выделяют химические вещества — антитела.
Антитела, присоединяясь к антигенам, ускоряют их захват фагоцитами, либо
приводят к химическому разрушению или склеиванию и осаждению антигенов.
• Каждый вид антител способен уничтожать только возбудителя одной болезни
(например, возбудителя туберкулёза). Наличие в крови антител к возбудителю
определённой болезни создаёт невосприимчивость организма к повторным
заболеваниям этой болезнью.
• Именно благодаря B-лимфоцитам у человека появляется иммунитет к перенесённым
заболеваниям. Именно благодаря им возможен эффект от вакцинации (прививок).
• Если образование лимфоцитов нарушено, то человек оказывается незащищённым от
инфекционных болезней.

21. Форменные элементы

Эритроциты
Лейкоциты
Форма, цвет
Двояковогнут
ый красный
диск
Бесцветные, без Округлая
пост. формы,
или
ложноножки,
овальная
ядро
Строение
Нет ядра,
содержит
гемоглобин
Есть ядро,
амебоидное
движение
Нет ядра
Количество
в 1мм3
4-5 млн
4-8 тыс
180-400 тыс.
Место
Красный
образования костный мозг
Тромбоциты
Красный
Красный
костный мозг,
костный
селезенка,тимус мозг
лимфоузлы

22.

Эритроциты
Лейкоциты
Тромбоциты
Продолжитель 120 суток
ность жизни
2-4 суток
7-10 суток
Место
разрушения
Печень,
селезенка
Селезенка,
очаг
воспаления
Селезенка
Функция
Транспорт
кислорода и
углекислого
газа
Защита от
Участие в
бактерий,
свертывании
чужеродных
крови
веществ и тел
7-8 мкм
6-25 мкм
Размер
2-5 мкм

23.

24.

25. Группы крови

Агглютинин в
Пригодность крови
Частота
плазме или
для переливания
встречаемости, в %
сыворотке крови
другим группам
Группа крови
Агглютиноген в
эритроцитах
I (0)
Нет
αиβ
Всем
33,5
II (A)
А
β
II, IV
37,8
III (B)
В
α
III, IV
20,5
IV (AB)
А, В
Нет
IV
8,1

26. Резус-фактор

• Антиген Rh - один из эритроцитарных антигенов системы резус, располагается на
поверхности эритроцитов. В системе резус различают 5 основных антигенов.
Основным является антиген Rh (D), который обычно подразумевают под
названием резус-фактор. Эритроциты примерно 85% людей несут этот белок,
поэтому их относят к резус-положительным (позитивным). У 15 % людей его нет,
они резус-отрицательны (негативны). Наличие резус-фактора не зависит от
групповой принадлежности по системе АВ0, не изменяется в течение жизни, не
зависит от внешних причин.
• Несовместимость крови по резус-фактору (резус-конфликт) при переливании
крови наблюдается, если эритроциты донора несут Rh -агглютиноген, а
реципиент является резус-отрицательным. В этом случае у резус-отрицательного
реципиента начинают вырабатываться антитела, приводящие к разрушению
эритроцитов.
• Гемолитическая болезнь плода и новорожденных - гемолитическая желтуха,
обусловленная иммунологическим конфликтом между матерью и плодом из-за
несовместимости по эритроцитарным антигенам. Болезнь может быть
обусловлена несовместимостью плода и матери по D-резус- или АВО-антигенам
(98% случаев связаны с D - резус-антигеном). Антиген, проникая в кровь резусотрицательной матери, вызывает образование в ее организме специфических
антител, которые через плаценту поступают в кровь плода, где разрушают
соответствующие антигенсодержащие эритроциты. При раннем проявлении
заболевания иммунологический конфликт может быть причиной
преждевременных родов или повторных выкидышей.
English     Русский Rules