Рентгенодиагностика заболеваний органов грудной клетки
Легочный интерстиций
Долевое и сегментарное строение легких (Лондонская классификация 1949г)
Долевое и сегментарное строение легких (Лондонская классификация 1949г)
Трахея и крупные бронхи
Сосуды
Пульмоносцинтиграфия
Пациентка М. 60л. Диагноз: Периферический рак первого сегмента верхней доли правого легкого. Метастатическое поражение легких и
Рис.20а . Пациент Т. 45 л. Диагноз: Централизация периферического рака 10 сегментарного бронха правого легкого.
Рис. 20б. Пациент Т. 45 л. Диагноз: Централизация периферического рака 10 сегментарного бронха правого легкого. Томография.
Рис. 26а. Пациентка К. 80 л. Диагноз: загрудинный зоб.
Рис. 27а. Пациент С. 75 л. Диагноз: Аневризма дуги и нисходящего отдела аорты.
Рис. 29. Туберкулома верхней доли правого легкого.
Рис. 30. Туберкулома верхней доли правого легкого
Лёгочные диссеминации
Пациентка Р. 43г. Диагноз: Периферический бронхиолоальвеолярный рак верхней и средней долей правого легкого.
Пациент С. 59л. Диагноз: Периферический бронхиолоальвеолярный рак, диссеминированная (диффузная) форма.
Рис. 18. Пациент М. 65л. Диагноз: Инфаркт миокарда. Перикардит. Кардиогенный отек. Синдром диффузных изменений легочного
Рис. 29. Пациентка Д. 47 лет. Диагноз: Метастазы рака молочной железы в легкие. Синдром среднеочаговой диссеминации и диффузных
Рис. 30. Пациентка П. 61г. Диагноз: Метастазы рака молочной железы в легкие. Синдром диссеминации ( круглые, крупные, средние и
Рис. 31. Пациент Ч. 59л. Диагноз: Метастазы рака предстательной железы в легкие и лимфоузлы средостения.
Кольцевидные тени
Пациент К. 16л. Диагноз: Напряженная альвеолярная киста 6 сегмента нижней доли правого легкого, осложненная хроническим
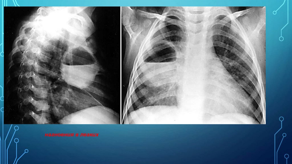
Рис. 17а. Диагноз: Абсцедирующая пневмония правого легкого.
Рис.8а. Диагноз: Гангрена нижней доли правого легкого.
Рис. 11. Диагноз: Фиброзно-кавернозный туберкулез. Слева определяется гигантская полость распада.
29.39M
Category: medicinemedicine

Рентгенодиагностика_заболеваний_органов_грудной_клетки_презентация

1. Рентгенодиагностика заболеваний органов грудной клетки

РЕНТГЕНОДИАГНОСТИКА ЗАБОЛЕВАНИЙ
ОРГАНОВ ГРУДНОЙ КЛЕТКИ
Ассистент кафедры онкологии с курсом лучевой
диагностики и лучевой терапии
Малов Алексей Анатольевич

2.

Изображение на р-грамах является негативным
Рентгенологическая картина структур грудной клетки зависит, в основном, от их плотности. Участки
с высокой плотностью (кость) выглядят светлыми (белыми), а участки с низкой плотностью –
темными (более прозрачны для X-лучей).
Рентгеновский снимок является плоскостным изображением трехмерного анатомического объекта

3.

Рентгенограмма в прямой проекции
На
р-граммах
в
прямой
проекции
элементы
грудной
выделяют:
легочные поля,
срединную тень
анатомические
стенки,
ткани
пространства
поддиафрагмального

4.

Правила укладки
Остистый отросток Th 3 проецируется посередине
между грудинно-ключичного сочленения.
Средние границы лопаток проектируют вне грудной
клетки.
Грудная клетка полностью отображена, если гортань и
оба реберно-диафрагмальных угла видимы. Момент
вдоха
соответствует,
если
купол
диафрагмы
проецируется по задней части 9-го ребра. Время
выдержки экспозиции адекватно, если диафрагма и
большие легочные сосуды определены.

5.

Рентгенограмма в боковой проекции
Критерии технически допустимой
боковой рентгенограммы
1. Все легкое видимо.
2. Нет вращения (неподвижность),
если правые и левые задние
отрезки ребер не наложены.
3. Руки не наложены на легочные
структуры.
4. Изображение
не
подвергнуто
чрезмерному
лучевому
воздействию, если легочные сосуды
ретрокардиальном пространстве
четко определены
легочное поле ограничено грудной
стенкой,
диафрагмой
и
органами
поддиафрагмального пространства
на фоне легочной ткани видны
затенения - сердце, крупные сосуды,
позвоночник и ребра

6.

Костные структуры
Задние отрезки
прикрепляются к поперечным отросткам
грудных позвонков
располагаются выше передних
имеют меньший диаметр
выпуклостью обращены вверх
отличаются высокой интенсивностью
Передние отрезки
соединяются с грудиной посредствам
хрящей
исчезают на фоне легочных полей
на
уровне срединно-ключичной линии

7.

Лопатки
в прямой проекции видны
на фоне мягких тканей
грудной стенки кнаружи от
легочных полей
Грудные позвонки
отчетливо видны на снимках в боковой проекции
на снимках в прямой проекции, выполненных при напряжении менее 100кВ
видны только первые четыре позвонка, иначе снимок называют “жестким”.

8.

Рентгенограмма грудной клетки в прямой проекции
1 Трахея 2 Правый главный бронх 3 Левый главный бронх 4 Лопатки 5 Ключица 6 рукоятка грудины 7
7 вена Azygos 8 Дуга аорты 9 Левая легочная артерия 10 Верхние левые кардиальные границы, ушко
предсердия левого 11 Нижние левые кардиальные границы, левый желудочек 12 Правое предсердие 13
артерии нижней доли правого легкого 14 Боковые реберно-диафрагмальные углы 15 тень
поддиафрагмального пространства

9.

Рентгенограмма грудной клетки в боковой проекции 1 Трахея 2 Претрахеальный сосудистый пучок 3 Дуга
аорты 4 Правый верхний долевой бронх 5 Левый верхний долевой бронх 6 Левая легочная артерия 7 Правая легочная
артерия 8 Подмышечный сгиб 9 Лопатка 10 Правый задний реберно-диафрагмальный угол 11 Левый задний
реберно-диафрагмальный угол 12 газовый пузырь желудка 13 Поперечно ободочная кишка 14 Нижняя полая вена

10.

Плевра серозная оболочка, покрывающая легкие, внутреннюю поверхность
легкого, средостение, диафрагму
Плевра разделяется на
висцеральную (легочную)
париетальную
Поверхности плевры:
реберную
диафрагмальную
Медиастинальную
Кзади и книзу от корня каждого
легкого плевра спускается вниз
в виде двойной складки,
называемой легочной связкой

11.

Синус(заворот) - место перехода одной части плевры в другую Различают синусы:
реберно-диафрагмальный – в месте соединения реберной плевры с диафрагмой
реберно-медиастинальный – за грудиной, где реберная плевра соединяется
медиастинальной
диафрагмально-медиастинальный
с

12.

Междолевые листки плевры иногда видны на обзорной
рентгенограмме при отсутствии патологических изменений
В прямой проекции плевра в виде тонкой
горизонтальной линии на уровне переднего отрезка IV
ребра
У 10% населения медиобазальный сегмент правой нижней доли
отделен от других базальных сегментов. На Ro-грамме ему
соответствует сердечно-диафрагмальная борозда

13.

В боковой проекции - тонкая линейная тень
от
границы передней и средней трети диафрагмы через
корень легкого к позвоночнику (Th4)

14.

Пространственное расположение основных междолевых
щелей (Koch W.,Wieck W.,1930)

15.

ЛЕГКИЕ
Основная функция легких – газообмен
На рентгеновских снимках в прямой проекции легкие
изображаются в виде двух обширных участков
просветления, отграниченных средостением, грудной
клеткой и диафрагмой
На фоне легких можно различить корни легких
и легочный рисунок
Тени корней легких образованы крупными долевыми
легочными артериями и венами, а также стенками
долевых и сегментарных бронхов.

16.

Легочный рисунок образован артериями и в
меньшей степени, венозными сосудами
Бронхи, бронхиальные артерии, лимфатические
сосуды и легочный интерстиций не принимают
участия в формировании нормального легочного
рисунка
Изображение сосудов исчезает на расстоянии 11,5см от висцеральной плевры

17.

Легкое
состоит
из
последовательно
уменьшающихся
анатомических
единиц,
имеющих сходное строение. От самых крупных к
более мелким: доля, сегмент, вторичная
долька, ацинус
На каждом уровне анатомическая
единица
организована вокруг своеобразного корня – бронха и
артерии, расположенных в центре, и окружена
висцеральной
плеврой
или
соединительнотканной перегородкой.

18.

19.

Вторичная
долька
легочная
Форма неправильная, полигональную
Размер 11-17мм
Корень дольки - бронхиола, артерия,
лимфатические сосуды
В
междольковой
перегородке
заложены лимфатические сосуды и
вены.
Легочная долька состоит из ацинусов,
количество которых не превышает 10.

20.

Ацинус – часть легочной паренхимы, расположенная дистальнее
терминальной бронхиолы
Содержит респираторные бронхиолы, альвеолярные ходы,
альвеолярные мешки и альвеолы
Средние размеры ацинусов 6-7мм.

21. Легочный интерстиций

ЛЕГОЧНЫЙ ИНТЕРСТИЦИЙ
Центральный – соединительнотканные волокна,
окружающие сосуды и бронхи
Периферический – непосредственное продолжение
волокон висцеральной плевры, образуют междольковые
перегородки
Септальный – образует перегородки между ацинусами
внутри вторичных легочных долек.
Эти три части формируют своеобразный скелет
легкого, который поддерживает легкое от корней
до плевральных листков

22.

Схема легочного интерстиция

23. Долевое и сегментарное строение легких (Лондонская классификация 1949г)

ДОЛЕВОЕ И СЕГМЕНТАРНОЕ СТРОЕНИЕ
ЛЕГКИХ (ЛОНДОНСКАЯ КЛАССИФИКАЦИЯ 1949Г)
Правое легкое
верхняя доля
1-верхушечный
2-задний
3-передний
средняя доля
4-латеральный
5-медиальный
нижняя доля
6-верхушечный
7-медиальный базальный
8-передний базальный
9-латеральный базальный
10-задний базальный

24. Долевое и сегментарное строение легких (Лондонская классификация 1949г)

ДОЛЕВОЕ И СЕГМЕНТАРНОЕ СТРОЕНИЕ
ЛЕГКИХ (ЛОНДОНСКАЯ КЛАССИФИКАЦИЯ 1949Г)
Левое легкое
верхняя доля
1+2 –верхушечно-задний,
3-передний
4-верхний язычковый
5-нижний язычковый
нижняя доля
6-верхушечный
8-передний базальный
9-латеральный базальный
10-задний базальный

25.

Топография сегментов
верхних долей

26.

Топография сегментов
средней доли

27.

Топография сегментов
нижних долей

28.

29. Трахея и крупные бронхи

ТРАХЕЯ И КРУПНЫЕ БРОНХИ
• От гортани до Th5
• Диаметр от 14 до 22 мм
• Толщина стенок трахеи в норме не превышает 1,5мм
• Передняя и боковые стенки - хрящевые кольца
• Задняя часть - мембранозная

30.

Правый главный
- Верхнедолевой (1,2,3) Промежуточный Среднедолевой (4,5) Нижнедолевой
(6,7,8,9,10)
Левый главный - Верхнедолевой (1+2,3,4,5) - Нижнедолевой (6,8,9,10)

31.

Бронхи
при
рентгенологическом
можно изучать по данным
рентгенографии
линейной томографии
КТ
бронхографии
исследовании

32.

33.

34.

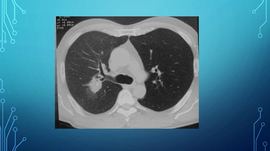
КТ позволяет оценить:
Состояние бронхов диаметром свыше 1мм без их
искусственного контрастрования
Перибронхиальные изменения
бронхостенозом и бронхоэктазами
у
больных
с
Точность
КТ
в
распознавании
патологических изменений бронхов равна
точности бронхографии
Не возможно оценить
бронхиального дерева,
состояние
слизистой

35.

36.

37.

Изменения легочного рисунка при КТ
Симптом «трамвайных рельсов»
Зона пневмосклероза с
мешотчатыми бронхоэктазами
после перенесенной пневмонии

38. Сосуды

СОСУДЫ
Ветви легочной артерии и бронхи расположены параллельно
и имеют одинаковый диаметр
Легочные вены расположены в соединительнотканных
перегородках между дольками и сегментами
Сосуды изображаются в продольном, косом и поперечном
сечениях
Их калибр уменьшается к периферии
Минимальные по величине сосуды видны на расстоянии 1,5
см от плевры
Изображаются в виде очагов соответствующего диаметра или
Y- образных структур, разветвлением обращенных к плевре

39.

Ангиопульмонография (МСКТ легких с болюсным контрастированием
(артериальная, венозная фазы контрастирования)

40. Пульмоносцинтиграфия

ПУЛЬМОНОСЦИНТИГРАФИЯ

41.

Перфузионная сцинтиграфия легких
Норма
Тромбоэмболия ветвей
легочной артерии
Эмбол

42.

Магнитно-резонансная томография (МРТ)

43.

Корни легких
Анатомически корнем обозначают все структуры в
области ворот легкого, находящиеся между средостением
и легочной тканью и покрытые медиастинальной плеврой.
Эти структуры расположены внелегочно и могут быть
исследованы без вскрытия плевральной полости.
При рентгенологическом исследовании внелегочные
элементы корня не видны на фоне общей тени
средостения.
Поэтому рентгенологическое понятие «корень легкого» не
соответствует анатомическому.

44.

На рентгенограммах тень корней легких в норме
образуют долевые и сегментарные ветви
легочной артерии, долевые и сегментарные
бронхи и наиболее крупные вены
В теневой картине корня различают три отдела:
Головку - соответствует дуге ЛА,
Тело - соответствует вертикально направленному
стволу ЛА,
Хвост образован проксимальными отрезками
конечных расветвлений ЛА

45.

Тень корня правого легкого на рентгенограмме в прямой проекции формирует
нижняя ветвь правой легочной артерии она располагается параллельно
контуру средостения, на расстоянии 1-1,5см от него.
Диаметр правой легочной артерии в норме не
превышает 15-18мм

46.

Тень корня левого легкого на рентгенограмме в прямой
расположена выше правого (на одно межреберье)
проекции
Наибольший размер и интенсивность ЛА имеет в верхней части, где она
перебрасывается над главным бронхом
Диаметр ЛА слева в норме 23- 25мм

47.

Корень, составные части которого (легочная
артерия и ее разветвления, промежуточный
бронх) хорошо видны на рентгенограмме,
называют структурным

48.

Лимфатическая система
легких
В
норме
лимфатические
сосуды
и
лимфатические узлы при рентгенологическом
исследовании не видны. Они участвуют лишь в
формировании фона легочного поля
В легком различают две
лимфатические
сети – поверхностную и глубокую

49.

50.

Схема оттока лимфы из легких

51.

Средостение
анатомическое пространство в грудной полости, расположенное
между листками медиастинальной плевры
На снимках в прямой проекции оно участвует в формировании
срединной тени

52.

Анатомически средостение принято разделять на верхнее и нижнее, границей между ними
является прикрепление перикарда к крупным сосудам.
При Р- исследовании выделяют:
три вертикально расположенных отдела: передний, средний (центральный) и задний
три этажа: верхний (Th5) средний (Th8) и нижний.
В переднем средостении расположены вилочковая
железа, восходящая часть аорты, общий ствол легочной
артерии, сердце, лимфатические узлы
В среднем (центральном) средостении находятся трахея и
крупные бронхи, дуга аорты, правая и левая легочные
артерии, легочные связки и лимфатические узлы
В
заднем
средостении
расположены
пищевод,
нисходящая часть аорты, нервы и лимфатические узлы

53.

Добавочные доли
Доля непарной вены (v. azygos) образуется за счет
медиального отдела правой верхней доли
Околосердечная доля – за счет медиального отдела
нижней доли обычно справа
Язычковая доля – за счет нижне-переднего отдела
верхней левой доли, когда на уровне IV ребра имеет
добавочная междолевая щель
Задняя доля – встречается с обеих сторон при
наличии добавочной междолевой щели, отделяющей
верхушку нижней доли от основания

54.

55.

Поддиафрагмальное пространство
Под правой половиной – печень
Под левой половиной – селезенка, газовый пузырь желудка, левая доля печени
Ножки диафрагмы – дугообразные структуры перед поясничными позвонками

56.

Методика изучения рентгеновских снимков
органов грудной полости
І. Общий обзор снимка
1.Правильно установить снимок на экран негатоскопа.
2.Определить методику исследования.
3.Определить объект исследования.
4.Определить проекцию, в которой сделан снимок.
5.Оценить качество снимка.
6.Провести общее рассмотрение формы, величины и
строения исследуемого органа или части тела.

57.

Методика изучения рентгеновских снимков
органов грудной полости
ІІ. Детальное изучение снимка
(рентгеноморфологический и
рентгенофункциональний анализ и синтез)
1. Разграничение "нормы" и "патологии".
2. Выявление и оценка рентгенологических
симптомов заболевания
ІІІ. Сопоставление снимка с другими снимками
той же
части тела или органа
ІV. Сопоставление рентгеновских данных с данными
других клинических исследований
(клинико-рентгеновский анализ и синтез)
V. Формулировка выводов.

58.

2. Изучение стенок грудной полости
а) объема и структуры мягких тканей грудной стенки;
б) состояния скелета плечевого пояса и грудной клетки (ключиц, лопаток, ребер, грудных и нижних
шейных позвонков, грудины).
Относительно к каждой кости устанавливается: положение, форма, величина, структура, контуры, ядра
окостенения и ростковые зоны (у молодых), суставные концы и суставные щели.
Относительно к ребрам дополнительно определяются:
а) симметричность их размещения с обеих сторон и ширина междуреберных промежутков;
б) состоянию диафрагмы (положения, формы, контуров диафрагмы, состояния боковых отделов,
реберно-диафрагмальних синусов, состояния видимых поддиафрагмальных органов).
3.Изучение состояния легких
а) провести общую сравнительную оценку состояния правых и левых легких:
- сравнение площади и формы легочных полей, - сравнение их прозрачности;
б) детально изучить каждое легкое: величину, форму и очерченность легочного поля, структуру тени
легких – воздушность разных отделов легких и легочный рисунок
(деление элементов легочного рисунка), их калибр, характер и контуры;
г) найти соответствующие рентгеновские синдромы и описать их, сначала основные, а затем
второстепенные.
4. Изучение органов средостения:
а) положение, форма, ширина и контуры верхнего отдела средостения;
б) положение, форма и калибр трахеи;
в) положение, форма, величина и очерченность сердца и крупных сосудов;
г) структура тени средостения.

59.

Методика изучения рентгеновских снимков
органов грудной полости
5. Сопоставить рентгенограмму с рентгенограммами органов
грудной полости сделанными раньше.
6. Сопоставить рентгеновские данные с данными других
клинических исследований (клинико-рентгеновский анализ и синтез).
7. Сделать выводы.
8. Оформить протокол исследования.

60.

Рентгенологические синдромы заболеваний
органов дыхания

61.

Рентгенологические
проявления
патологических
процессов в легких разнообразны, их основой
являются четыре феномена:
I.Затенение легочных полей
II.Просветление легочных полей
III.Изменение легочного рисунка
IV.Изменение корней легких

62.

Затенение легких чаще обусловлено:
накоплением в альвеолах воспалительного
эксудата или отечной жидкости
нарушением бронхиальной проходимости
сдавлением легких
замещением легочной паренхимы
патологическими тканями

63.

Просветление
обусловлено уменьшением массы тканей в
единице объема легкого
Причины:
образование в паренхиме воздушных
полостей
скопление газа в плевральной полости

64.

Изменение легочного рисунка
за счет интерстициального
компонента
нарушение крово- и лимфооттока

65.

Изменение
рентгенологической картины
корней легких
может быть обусловлено поражением
любых их структурных элементов:
сосудов
бронхов
клетчатки
лимфатических узлов

66.

Рентгенологические
органов дыхания:
синдромы,
отражающие
1) Тотальное (субтотальное) затенение легочного поля
2) Отграниченное затенение
3) Круглая тень
4) Очаги и ограниченные очаговые диссеминации
5) Обширные очаговые диссеминации
6) Воздушная полость
7) Обширное просветление
8) Изменение легочного рисунка
9) Изменение корней легких
патологию

67.

I. Тотальное( субтотальное) затенение
легочного поля
-затенение всего или большей части легочного поля
Морфологической основой является:
безвоздушность и уплотнение легочной ткани любого
происхождения
уплотнение плевры
патологическое содержимое в плевральной полости
большие новообразования любой анатомической структуры
груди
отсутствие легкого

68.

Синдром тотального ( субтотального) затенения
Положение
средостения
Характер затенения
однородный
неоднородный
Нормальное
-
Воспалительная
инфильтрация легких
Отек легких
Смещено в
сторону затенения
Ателектаз,
отсутствие
легкого
Плевральные шварты
Цирроз легкого
Смещено в
противоположную
сторону
Жидкость в
плевральной
полости,
новообразование
Диафрагмальная грыжа

69.

Жидкость в плевральной полости

70.

71.

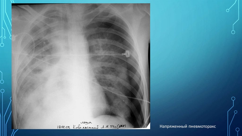
Напряженный пневмоторакс

72.

II.Ограниченное затенение
Прежде необходимо установить патологией каких
анатомических структур обусловлен данный феномен:
грудной стенки, диафрагмы, средостения, легких.
В
большинстве
случаев
это
многопроекционным Р-исследвоанием
достигается

73.

II.Ограниченное затенение
Признаки внутрилегочной локализации процесса:
Расположение патологического процесса внутри легочного поля
во всех проекциях (исключение- жидкость в междолевой щели)
Смещение патологического участка при дыхании и кашле
вместе с элементами легкого

74.

II.Ограниченное затенение
Процессы, исходящие из грудной стенки (новообразования
ребер, мягких тканей и т.д.) широко прилежат к ней во всех проекциях и
смещаются при дыхании в одном направлении с ребрами
Медиастинальные
новообразования,
выступающие
в
легочные поля, располагаются в срединной тени, не смещаются при
дыхании, оттесняют или сдавливают анатомические структуры
средостения (КТ)
Процессы, исходящие из диафрагмы
ограниченные релаксации) вплотную связаны
образования печени, диафрагмальные грыжи)
(опухоли, кисты,
с ней (объемные

75.

Патологоанатомический субстрат:
1.Воспалительные инфильтрации (в т.ч.туберк-е)
А) острые недеструктивные процессы: незначительное уменьшение размеров
измененных сегментов, субплевральная локализация, наличие просветов бронхов на
фоне затенения, быстрая изменчивость Р-картины
Б) нагноения в легких: увеличение размера пораженного сегмента, интенсивное
однородное затенение, отсутствие просвета бронхов, полость с горизонтальным уровнем
жидкости при сообщении участка некроза с бронхиальным деревом
В) Инфильтративный туберкулез – на фоне ограниченного затенения сухая
полость деструкции, наличие очаговых теней в прилежащих тканях, медленная динамика
изменений
Г) Ателектазированная доля (сегмент) – уменьшена в объеме, интенсивно
однородно затенена, смежные отделы компенсаторно вздуты, средостение м.б. смещено
в сторону поражения
Сходную картину дают цирроз и ателектатические бронхоэктазии, но
затенение при этом неоднородное
Д) Инфаркт легкого – интенсивное однородное затенение, имеющее хотя бы в
одной проекции форму треугольника, вершина которого всегда обращена в сторону
центральной зоны, основание - к периферической

76.

2.Внелегочные процессы
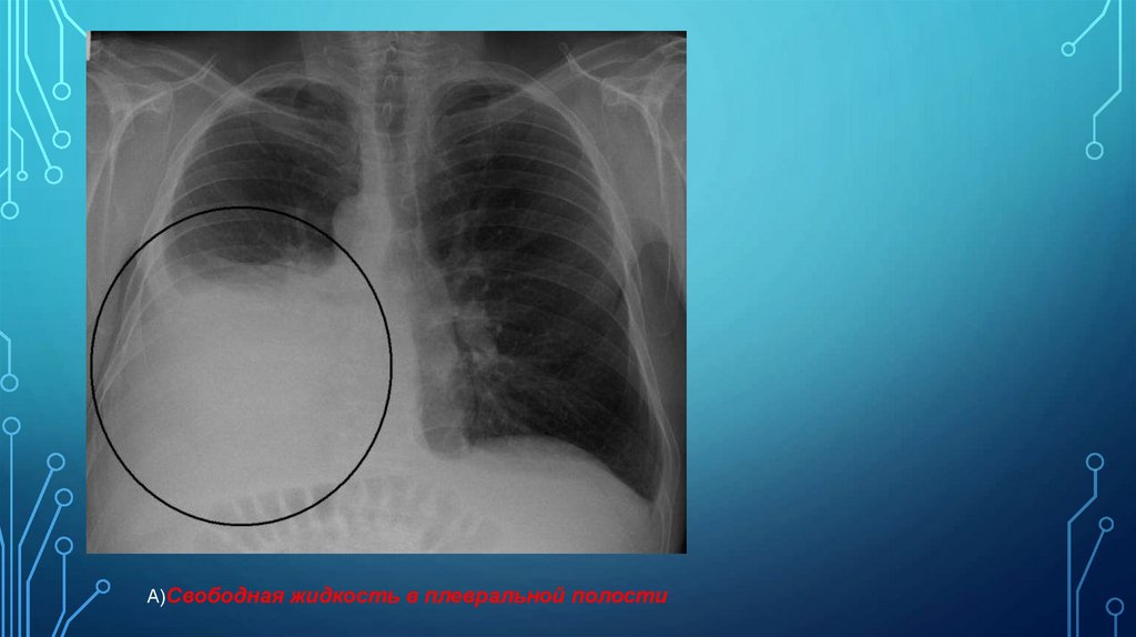
А)Свободная жидкость в плевральной полости в прямой проекции при
вертикальном положении больного проявляется однородным затененим нижне-латеральной
части легочного поля с косой верхней границей (линия Эллиса-Дамуазо), контур ее нечеткий,
при вдохе смещается вниз, при выдохе – вверх
Б)
Осумкованная жидкость (пристеночная)
в краеобразующих проекциях имеют полуовальную форму, латерально широким основанием
примыкает к внутренней поверхности грудной стенки, медиально выпуклым контуром
обращена в сторону легкого. Границы затенения с грудной стенкой плавные, с образованием
тупых углов
В) Жидкость в междолевых щелях распознается в боковых проекциях – тень
двояковыпуклой формы, расположена строго по ходу междолевой щели

77.

острые недеструктивные процессы: незначительное уменьшение размеров
измененных сегментов, субплевральная локализация

78.

нагноения в легких

79.

Инфильтративный туберкулез – на фоне ограниченного затенения сухая полость
деструкции, наличие очаговых теней в прилежащих тканях, медленная динамика
изменений

80.

Ателектазированная
доля
(сегмент)

уменьшена в объеме, интенсивно однородно
затенена, смежные отделы компенсаторно вздуты,
средостение м.б. смещено в сторону поражения
Сходную
картину
дают
цирроз
и
ателектатические бронхоэктазии, но затенение
при этом неоднородное

81.

Инфаркт легкого – интенсивное однородное
затенение, имеющее хотя бы в одной проекции форму
треугольника, вершина которого всегда обращена в
сторону центральной зоны, основание
- к
периферической

82.

А)Свободная жидкость в плевральной полости

83.

Осумкованная жидкость (пристеночная)

84.

85.

III. Круглая тень - ограниченное затенение, которое во всех проекциях сохраняет форму
круга, полукруга, овала размерами более 1,5см
Внелегочные процессы, дающие синдром круглой тени:
Локализованные мезателиомы плевры
Диафрагмальные грыжи
Опухоли ребер
Внутрилегочные процессы
Опухоли (периферический рак, доброкачественные опухоли, метастазы)
Кисты (эхинококковые, ретенционные, бронхиальные)
Туберкулез (инфильтративный,туберкулома)
Аномалии (артерио-венозная аневризма, секвестрация легких)
Абсцесс легкого
При проведении дифференциального диагноза необходимо учитывать:
1)Количество круглых теней
2)Контуры,
3)Структуру
4)Динамика Р-картины

86.

Одиночную тень могут давать любые заболевания
Наличие нескольких круглых теней свойственно кистам, туберкулезу, метастазам
Множественные круглые тени, как правило, метастазы
Четкие ровные контуры характерны для кист, доброкачественных опухолей, артерио-венозных
аневризм
Нечеткие нечеткие контуры – для периферического рака, инфильтративного туберкулеза, абсцесса
Неровные, но четкие - свойственны туберкуломе, секвестрации легкого.
Диагностически значимыми особенностями структуры круглой тени является наличие обызвествлений
и просветлений.
Туберкулома характерны мелкие обызвествления в разных ее участках
Гамартома – центрально расположенные крупные кальцинаты
Эхинококковая киста – обызвествление ее хитиновой оболочки – кольцевидная тень

87.

Просветления встречаются при периферическом раке, абсцессе, инфильтративном
туберкулезе, туберкуломе, секвестрации легких
Обызвествлений
и
просветлений,
как правило, не бывает при
доброкачественных опухолях, метастазах, ретенционных и бронхиальных кистах, артериовенозных аневризмах
Обязательным моментом является
исследования с предыдущими
сравнение
данных
настоящего
Стабильность теневой картина свойственна всем доброкачественным образованиям
Изменчивость – воспалительным процессам
Быстрое увеличение – злокачественным процессам
Р-

88.

III. Круглая тень
Туберкулома

89.

III. Круглая тень
Периферический рак

90.

III. Круглая тень
Гемангиома
Гамартома

91.

III. Круглая тень
Метастазы опухоли почки

92. Пациентка М. 60л. Диагноз: Периферический рак первого сегмента верхней доли правого легкого. Метастатическое поражение легких и

ПАЦИЕНТКА М. 60Л. ДИАГНОЗ: ПЕРИФЕРИЧЕСКИЙ РАК ПЕРВОГО СЕГМЕНТА ВЕРХНЕЙ
ДОЛИ ПРАВОГО ЛЕГКОГО. МЕТАСТАТИЧЕСКОЕ ПОРАЖЕНИЕ ЛЕГКИХ И ПЛЕВРЫ.
• Рис. 10а. Рентгенограмма органов грудной
полости в прямой проекции. Прозрачность
правого легочного поля понижена. В первом
межреберье справа определяется средней
интенсивности шаровидная тень достаточно
однородной структуры, имеющая нечеткие
неровные контуры, диаметром до 7,5см. На фоне
переднего отрезка третьего ребра справа и в
четвертом межреберье слева имеются очаговые
тени 1,0 и 0,6 см соответственно. Легочный
рисунок повсеместно обогащен и деформирован
по типу «сеточки». Корни легких расширены, не
структурны, правый – смещен кверху.

93.

• Рис. 11в. Томограмма органов
грудной полости в прямой
проекции. На томограмме
визуализируется неоднородная
структура шаровидной тени. В
центре образования выявляются
высокоинтенсивные включения
неправильной формы – участки
обызвествлений.

94. Рис.20а . Пациент Т. 45 л. Диагноз: Централизация периферического рака 10 сегментарного бронха правого легкого.

РИС.20А . ПАЦИЕНТ Т. 45 Л. ДИАГНОЗ: ЦЕНТРАЛИЗАЦИЯ
ПЕРИФЕРИЧЕСКОГО РАКА 10 СЕГМЕНТАРНОГО БРОНХА ПРАВОГО
ЛЕГКОГО.

95. Рис. 20б. Пациент Т. 45 л. Диагноз: Централизация периферического рака 10 сегментарного бронха правого легкого. Томография.

РИС. 20Б. ПАЦИЕНТ Т. 45 Л. ДИАГНОЗ: ЦЕНТРАЛИЗАЦИЯ
ПЕРИФЕРИЧЕСКОГО РАКА 10 СЕГМЕНТАРНОГО БРОНХА ПРАВОГО
ЛЕГКОГО. ТОМОГРАФИЯ.

96. Рис. 26а. Пациентка К. 80 л. Диагноз: загрудинный зоб.

РИС. 26А. ПАЦИЕНТКА К. 80 Л. ДИАГНОЗ: ЗАГРУДИННЫЙ ЗОБ.
Н.С. ВОРОТЫНЦЕВА, С.С. ГОЛЬЕВ РЕНТГЕНОПУЛЬМОНОЛОГИЯ

97. Рис. 27а. Пациент С. 75 л. Диагноз: Аневризма дуги и нисходящего отдела аорты.

РИС. 27А. ПАЦИЕНТ С. 75 Л. ДИАГНОЗ: АНЕВРИЗМА ДУГИ И
НИСХОДЯЩЕГО ОТДЕЛА АОРТЫ.

98. Рис. 29. Туберкулома верхней доли правого легкого.

РИС. 29. ТУБЕРКУЛОМА ВЕРХНЕЙ ДОЛИ ПРАВОГО ЛЕГКОГО.

99. Рис. 30. Туберкулома верхней доли правого легкого

РИС. 30. ТУБЕРКУЛОМА ВЕРХНЕЙ ДОЛИ ПРАВОГО ЛЕГКОГО

100. Лёгочные диссеминации

ЛЁГОЧНЫЕ ДИССЕМИНАЦИИ

101.

IV Очаги и ограниченные очаговые
диссеминации
Очагами
в рентгенологии называются
округлые, полигональные или неправильной
формы тени размером до 1,5см
Группа
очагов

несколько
расположенных рядом друг с другом
Ограниченные
диссеминации
очагов,

множественные очаги в пределах не более двух
сегментов

102.

Наиболее часто этим синдромом
отображаются:
Очаговый туберкулез
Периферический рак
Метастазы
Дольковые ателектазы или
начинающееся нарушение
бронхиальной проходимости
Вторичные пневмонии при
аспирации пищевых масс, воды, крови

103.

Заболевания,
синдромом
диссеминацией:
сопровождающиеся
обширной
очаговой
Диссеминированный туберкулез
Саркоидоз
Пневмокониоз
Карциноматоз
При диф. диагностике следует учитывать
преимущественную лакализацию очагов, их
размеры, динамику Р-картины, клинические
проявления, профессиональный анамнез

104.

V. Обширные очаговые
диссеминации
- поражения легких, протяженность которых
превышает два сегмента
Поражение обоих легких называют диффузной
диссеминацией
По величине различают 4типа высыпаний:
Милиарные размеры очагов до 2мм
Мелкоочаговые – 3-4мм
Среднеочаговые 5-8мм
Крупноочаговые 9-15мм

105.

Пациентка К. 70 л. Диагноз:
Диссеминированный туберкулез легких.
Бронхогенная диссеминация.
Рис.1. Обзорная рентгенограмма органов
грудной полости в прямой проекции.
Грудная клетка цилиндрической формы.
Определяется тотальная мелкоочаговая
диссеминация с преимущественным
расположением очаговых теней в средних и
нижних поясах легочных полей. Корни
легких расширены, структура их сохранена.
Правый купол диафрагмы деформирован
плевродиафрагмальными спайками.
Н.С. ВОРОТЫНЦЕВА. С.С. ГОЛЬЕВ РЕНТГЕНОПУЛЬМОНОЛОГИЯ

106. Пациентка Р. 43г. Диагноз: Периферический бронхиолоальвеолярный рак верхней и средней долей правого легкого.

ПАЦИЕНТКА Р. 43Г. ДИАГНОЗ: ПЕРИФЕРИЧЕСКИЙ БРОНХИОЛОАЛЬВЕОЛЯРНЫЙ РАК
ВЕРХНЕЙ И СРЕДНЕЙ ДОЛЕЙ ПРАВОГО ЛЕГКОГО.
• Рис.
3а. Рентгенограмма органов
грудной полости в прямой проекции.
Прозрачность правого легочного поля
негомогенно снижена от второго ребра.
Наиболее интенсивное затемнение
легочного поля наблюдается в третьем
– четвертом межреберьях. Легочный
рисунок
повсеместно обогащен и
деформирован. Корень правого легкого
не дифференцируется. Тень средостения
смещена вправо.

107. Пациент С. 59л. Диагноз: Периферический бронхиолоальвеолярный рак, диссеминированная (диффузная) форма.

ПАЦИЕНТ С. 59Л. ДИАГНОЗ: ПЕРИФЕРИЧЕСКИЙ БРОНХИОЛОАЛЬВЕОЛЯРНЫЙ РАК,
ДИССЕМИНИРОВАННАЯ (ДИФФУЗНАЯ) ФОРМА.
• Рис.4а. Рентгенограмма органов грудной
полости в прямой проекции. Прозрачность
обоих легочных полей неравномерно
снижена за счет множественных участков
ограниченного затемнения круглой и
неправильной формы. Наибольшее
количество теней определяется в средних и
нижних поясах легочных полей. Левый
контур сердечной тени не
дифференцируется

108.

• Рис.11б. Рентгенограмма органов
грудной полости в прямой проекции.
Отрицательная динамика: массивный
смешанный (интерстициальный и
альвеолярный) отек преимущественно
медиальных отделов легких - симптом
«крыльев бабочки». Трапециевидная
форма сердечной тени, вызванная
экссудативным перикардитом.

109. Рис. 18. Пациент М. 65л. Диагноз: Инфаркт миокарда. Перикардит. Кардиогенный отек. Синдром диффузных изменений легочного

РИС. 18. ПАЦИЕНТ М. 65Л. ДИАГНОЗ: ИНФАРКТ МИОКАРДА.
ПЕРИКАРДИТ. КАРДИОГЕННЫЙ ОТЕК. СИНДРОМ ДИФФУЗНЫХ
ИЗМЕНЕНИЙ ЛЕГОЧНОГО РИСУНКА И СИНДРОМ ДИССЕМИНАЦИИ.
СИНДРОМ ПАТОЛОГИИ КОРНЕЙ.

110. Рис. 29. Пациентка Д. 47 лет. Диагноз: Метастазы рака молочной железы в легкие. Синдром среднеочаговой диссеминации и диффузных

РИС. 29. ПАЦИЕНТКА Д. 47 ЛЕТ. ДИАГНОЗ: МЕТАСТАЗЫ РАКА
МОЛОЧНОЙ ЖЕЛЕЗЫ В ЛЕГКИЕ. СИНДРОМ СРЕДНЕОЧАГОВОЙ
ДИССЕМИНАЦИИ И ДИФФУЗНЫХ ИЗМЕНЕНИЙ ЛЕГОЧНОГО РИСУНКА.
Н.С. ВОРОТЫНЦЕВА. С.С. ГОЛЬЕВ РЕНТГЕНОПУЛЬМОНОЛОГИЯ

111. Рис. 30. Пациентка П. 61г. Диагноз: Метастазы рака молочной железы в легкие. Синдром диссеминации ( круглые, крупные, средние и

РИС. 30. ПАЦИЕНТКА П. 61Г. ДИАГНОЗ: МЕТАСТАЗЫ РАКА МОЛОЧНОЙ ЖЕЛЕЗЫ В
ЛЕГКИЕ. СИНДРОМ ДИССЕМИНАЦИИ ( КРУГЛЫЕ, КРУПНЫЕ, СРЕДНИЕ И МЕЛКИЕ
ОЧАГОВЫЕ ТЕНИ).
Н.С. ВОРОТЫНЦЕВА. С.С. ГОЛЬЕВ РЕНТГЕНОПУЛЬМОНОЛОГИЯ

112. Рис. 31. Пациент Ч. 59л. Диагноз: Метастазы рака предстательной железы в легкие и лимфоузлы средостения.

РИС. 31. ПАЦИЕНТ Ч. 59Л. ДИАГНОЗ: МЕТАСТАЗЫ РАКА
ПРЕДСТАТЕЛЬНОЙ ЖЕЛЕЗЫ В ЛЕГКИЕ И ЛИМФОУЗЛЫ СРЕДОСТЕНИЯ.
Н.С. ВОРОТЫНЦЕВА. С.С. ГОЛЬЕВ РЕНТГЕНОПУЛЬМОНОЛОГИЯ

113. Кольцевидные тени

КОЛЬЦЕВИДНЫЕ ТЕНИ

114. Пациент К. 16л. Диагноз: Напряженная альвеолярная киста 6 сегмента нижней доли правого легкого, осложненная хроническим

ПАЦИЕНТ К. 16Л. ДИАГНОЗ: НАПРЯЖЕННАЯ АЛЬВЕОЛЯРНАЯ КИСТА 6 СЕГМЕНТА
НИЖНЕЙ ДОЛИ ПРАВОГО ЛЕГКОГО, ОСЛОЖНЕННАЯ ХРОНИЧЕСКИМ ВОСПАЛЕНИЕМ.
• Рис. 1а. Рентгенограмма органов
грудной полости в прямой проекции.
Справа, от первого до четвертого
межреберья, определяется участок
повышенной прозрачности овальной
формы, имеющий тонкие четкие
контуры - воздушная полость
размерами 13,0 х 7,5(см), на дне
которой имеется жидкость. Легочный
рисунок правого легочного поля
обеднен. На фоне правого легочного
поля визуализируются две дренажные
трубки.

115.

• Рис. 1б. Рентгенограмма
органов грудной полости в
правой боковой проекции.
Участок просветления
локализуется в проекции
шестого сегмента нижней
доли правого легкого.
Н.С. ВОРОТЫНЦЕВА, С.С. ГОЛЬЕВ РЕНТГЕНОПУЛЬМОНОЛОГИЯ

116. Рис. 17а. Диагноз: Абсцедирующая пневмония правого легкого.

РИС. 17А. ДИАГНОЗ: АБСЦЕДИРУЮЩАЯ ПНЕВМОНИЯ ПРАВОГО
ЛЕГКОГО.
Н.С. ВОРОТЫНЦЕВА, С.С. ГОЛЬЕВ РЕНТГЕНОПУЛЬМОНОЛОГИЯ

117. Рис.8а. Диагноз: Гангрена нижней доли правого легкого.

РИС.8А. ДИАГНОЗ: ГАНГРЕНА НИЖНЕЙ ДОЛИ ПРАВОГО ЛЕГКОГО.
Н.С. ВОРОТЫНЦЕВА, С.С. ГОЛЬЕВ РЕНТГЕНОПУЛЬМОНОЛОГИЯ

118. Рис. 11. Диагноз: Фиброзно-кавернозный туберкулез. Слева определяется гигантская полость распада.

РИС. 11. ДИАГНОЗ: ФИБРОЗНО-КАВЕРНОЗНЫЙ ТУБЕРКУЛЕЗ. СЛЕВА ОПРЕДЕЛЯЕТСЯ ГИГАНТСКАЯ
ПОЛОСТЬ РАСПАДА.
Н.С. ВОРОТЫНЦЕВА, С.С. ГОЛЬЕВ РЕНТГЕНОПУЛЬМОНОЛОГИЯ

119.

VI. Воздушная полость
Скиалогически синдром воздушной
полости имеет вид замкнутого кольца,
сохраняющегося во всех проекциях

120.

Процессы,
сопровождающиеся
воздушной полости:
картиной
Истинные и ложные кисты
Кистозная гипоплазия
Эмфизематозные буллы
Абсцессы
Деструктивные формы туберкулеза
Полостная форма периферического
рака, эхинококковая опорожнившаяся
киста
Аспергилема

121.

VI. Воздушная полость
Наиболее частые внелегочные
процессы, сопровождающиеся картиной
воздушной полости:
Ограниченный
пневмоторакс
(пиопневмоторакс)
Диафрагмальные грыжи
Состояние
после
пластики
пищевода желудком или кишкой

122.

VI. Воздушная полость

123.

VII.Обширное просветление
повышение прозрачности обоих
легочных полей, всего одного или
большей части легочного поля, не
ограниченное кольцевидной тенью
-

124.

VII.Обширное просветление
Внутрилегочные патологические
процессы
Целесообразно оценить их распространенность
Тотальное двухстороннее
(эмфизема легких, гиповолемия малого круга
– врожденные пороки со стенозом легочной
артерии- группа пороков Фалло)

125.

VII.Обширное просветление
Тотальное
одностороннее
(клапанные
нарушения проходимости главного бронха, компенсаторное
вздутие одного легкого при ателектазе или отсутствии другого,
ТЕЛА главных ветвей ЛА)
Субтотальное
одностороннее
и
двухстороннее (клапанное нарушение проходимости
главного бронха компенсаторное вздутие одного легкого при
ателектазе или отсутствии другого, ТЕЛА главных ветвей ЛА)

126.

Внелегочный патологический процесс–
тотальный пневмоторакс, который
характеризуется:
Значительным
просветлением
периферической
части гемиторакса
Полным отсутствием в этой зоне легочного рисунка
Пневматизация спавшегося легкого уменьшена
Легкое уменьшено и смещено к корню, благодаря
чему хорошо виден его латеральный контур
(Картина более наглядна в фазе выдоха)
При
напряженном
пневмотораксе
средостение
смещается в противоположную сторону, а диафрагма
вниз

127.

VII.Обширное просветление

128.

VII.Обширное просветление

129.

VIII. Изменение легочного рисунка
Отклонение от рентгеновской
нормального легочного рисунка
картины
Три фактора:
Нарушение кровообращения в малом круге
Нарушение лимфооттока
Фиброз межуточной ткани
Эти патологические состояния отражаются
двумя
скиалогическими
вариантами
изменения легочного рисунка: усилением
и обеднением

130.

Усиление
легочного
рисунка
характеризуется увеличением колибра и
числа его элементов в единице площади
легочного поля
Обеднение – противоположное изменение
Деформация
легочного
рисунка
характеризуется изменением нормального
хода, формы и неровностью контуров его
элементов
Сетчатый
вид
деформации обусловлен
уплотнением
междольковых
перегородок,
тяжистый

вследствие
уплотнения
перибронхиальной и периваскулярной ткани

131.

VIII. Изменение легочного рисунка
Тотальное двухстороннее усиление
легочного рисунка может быть обусловлено:
1) Артериальным
врожденных
полнокровием
пороках
(дефекты
легких
перегородок,
при
открытый
артериальный проток)
2) Застойным полнокровием
(митральные
пороки,
сердечная недостаточность)
3) Интерстициальным отеком вследствие растройства
обмена тканевой жидкостью различного генеза
4) Лимфангитом при блокаде внутригрудных л/у
5) Диффузным интерстициальным фиброзом
при хр. бронхите, пневмокониозах, саркоидозе 2ст, коллагенозах,
альвеолитах, лейомиоматозе

132.

VIII. Изменение легочного рисунка
Тотальное
одностороннее
усиление
легочного рисунка обусловлено:
1) Полнокровием одного легкого
при
ателектазе,
циррозе или отсутсвиии второго
2) Агенезией главной ветви легочной артерии
3) Прорастанием главной ветви легочной
артерии опухолью или сдавление ее аневризмой аорты
Ограниченное
усиление
рисунка характерно для
легочного
локальных
пневмосклерозов,
бронхоэктазий,
гиповентиляции сегмента (доли)

133.

VIII. Изменение легочного рисунка
Тотальное двухстороннее обеднение
легочного рисунка является следствием:
1) Гиповолемии малого круга
кровообращения при врожденных пороках
сердца со стенозом легочной артерии
(изолированный стеноз, группа Фалло)
2) Высокой легочной гипертензии при
митральном стенозе
3) Эмфиземы легких

134.

VIII. Изменение легочного рисунка
Тотальное одностороннее обеднение
легочного рисунка: ТЭЛА, агенезия главной
ветви ЛА, ее сдавление опухолью,
аневризмой аорты, клапанное нарушение
проходимости главного бронха
Ограниченное обеднение легочного
рисунка: ТЭ долевой артерии, врожденная
лобарная эмфизема

135.

VIII. Изменение легочного рисунка

136.

VIII. Изменение легочного рисунка

137.

VIII. Изменение легочного рисунка

138.

IX. Изменение корней
К
этому синдрому принято относить те
случаи, когда изменение корней является
единственным и основным в Р-картине
Морфологическая основа:
1) Лимфаденопатии
2) Патологическое изменение сосудов
3) Поражение бронхов
4) Растройства обмена тканевой жидкости
5) Склеротические процессы

139.

IX. Изменение корней
Контуры корня могут быть различного вида:
Полицикличный контур характерен для
увеличения группы л/у
Бугристый – для центрального рака легкого
Единичное локальное выбухание – для
аневризмы легочной артерии или
увеличением одного л/у
Нечеткость контуров свойственна отеку
Неровность контуров – фиброзу

140.

IX. Изменение корней
Нужно помнить, что нечеткость и неровность
корней, снижение их структурности на
обзорных
Р-граммах
легких
могут
симулироваться проекционным наслоением
измененного легочного рисунка!

141.

Расширение
и
деформация
корней
происходят за счет увеличения л/узлов, расширения
сосудов и развития новообразований
Узкие корни характерны для агенезии легочной
артерии
и
гиповолемии
кровообращения
малого
круга
Ухудшение структурности обусловлены
отеком или фиброзом отдельных элементов корня.
Значимое повышение плотности корня обусловлено
обызвествлением
л/у
(туберкулез,
силикотуберкулез)

142.

IX. Изменение корней
При
дифференциации
изменений необходимо учитывать:
патологических
одно- или двухсторонние изменения
Одностороннее поражение характерно для
туберкулезного бронхоаденита
Двухстороннее - для саркоидоза 1ст.
При остальных заболеваниях возможно как
одно- так и двухстороннее поражение

143.

IX. Изменение корней
Изменения сосудов корней легких
Одностороннее локальное расширение –
аневризма ЛА
Одностороннее сужение – агенезия ЛА
Двухстороннее расширение главных и долевых
ветвей ЛА –артериальная гиперволемия при
врожденных ( дефекты перегородок, открытый
артериальный проток) или митральный стеноз
Двухстороннее сужение корней легких –
артериальная гиповолемия при врожд. пороках
(изолированный стеноз, пороки группы Фалло)

144.

IX. Изменение корней
Среди
заболеваний
бронхов
синдромом
изменения
корней
отображается только экзобронхиальный рак,
дающий одностороннее расширение с
бугристым контуром

145.

IX. Изменение корней

146.

IX. Изменение корней
2-х стороннее расширение корней легких

147.

IX. Изменение корней
Одностороннее расширение правого корня с бугристым контуром
English     Русский Rules