Кт диагностика от 05.11.25
Кт диагностика от 05.11.25
Кт диагностика от 05.11.25
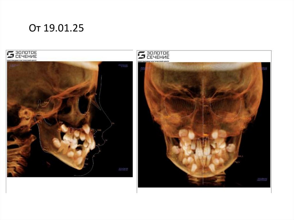
Кт диагностика от 19.01.25
От 19.01.25
10.29M

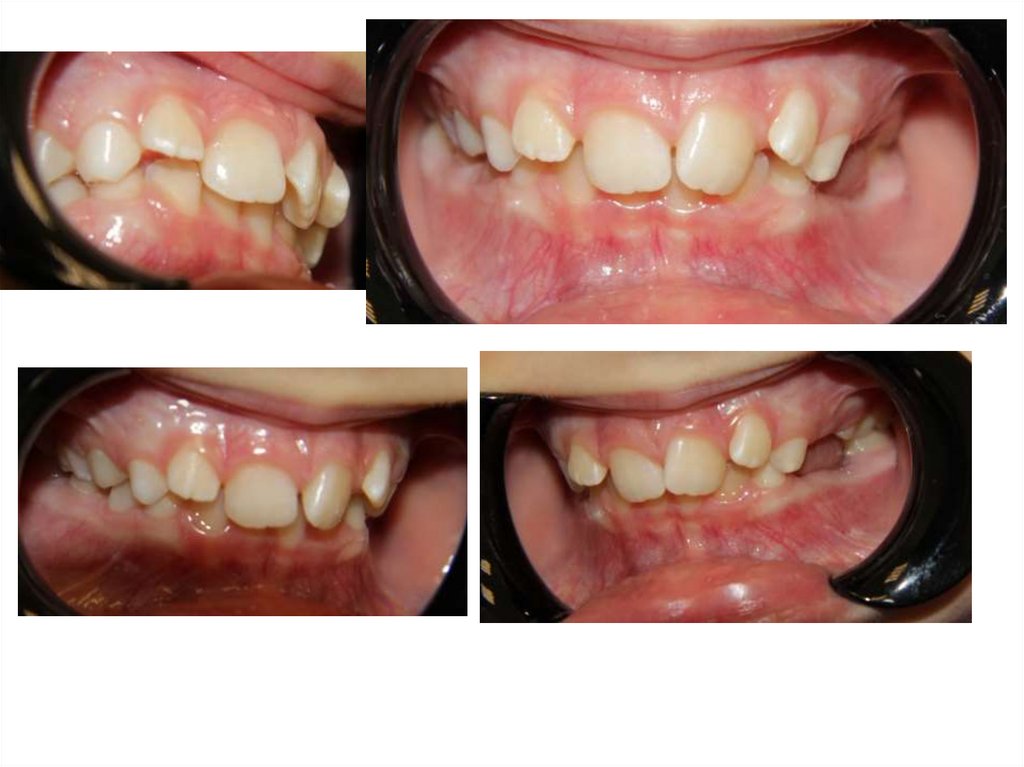
Петрова Мария

1.

ФИО пациента: Петрова Мария Ивановна
Дата рождения: 17.01.2017
Дата исследования: 05.11.2025
Жалобы:
• Неровные зубы
• Эстетика

2.

3.

4.

5.

6.

7.

8.

9.

10.

11.

12.

13.

14.

15.

16.

17.

18. Кт диагностика от 05.11.25

19. Кт диагностика от 05.11.25

20. Кт диагностика от 05.11.25

21. Кт диагностика от 19.01.25

22. От 19.01.25

English     Русский Rules