25.89M
Similar presentations:
Клиновидный дефект
Клиновидный дефект
Профилактика некариозных поражений твердых тканей зубов
Некариозные поражения после прорезывания зубов. Этиология, клиника, дифференциальная диагностика, лечение
Направления в стоматологии
Выявление факторов риска возникновения некариозных поражений после прорезывания зубов. Диагностика
Врожденные расщелины верхней губы и нёба. Сроки и принципы комплексного лечения
Ретрузия резцов верхней челюсти
Клинические случаи в ортодонтии
1.
Клинические случаи в ортодонтии
Подготовил: врач-стоматолог ортодонт
Фейзуллаев Семён Маратович
2.
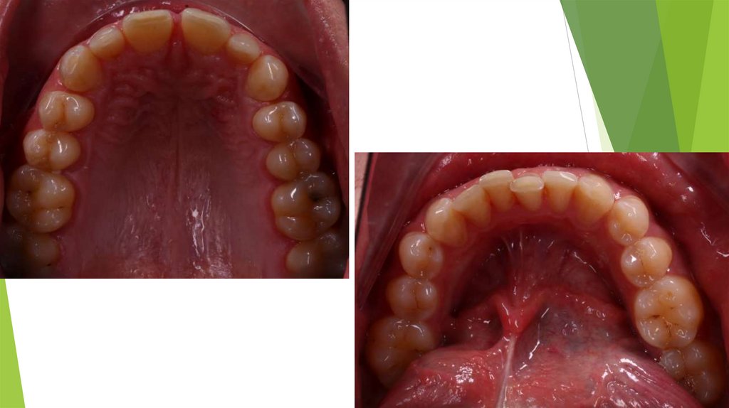
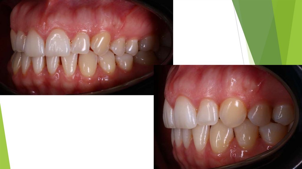
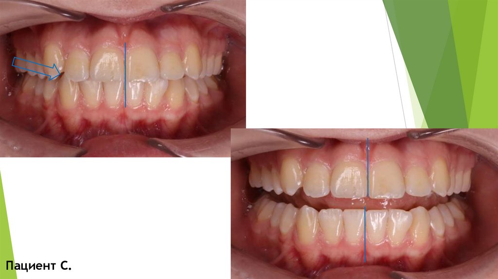
Пациент С.
3.
4.
5.
6.
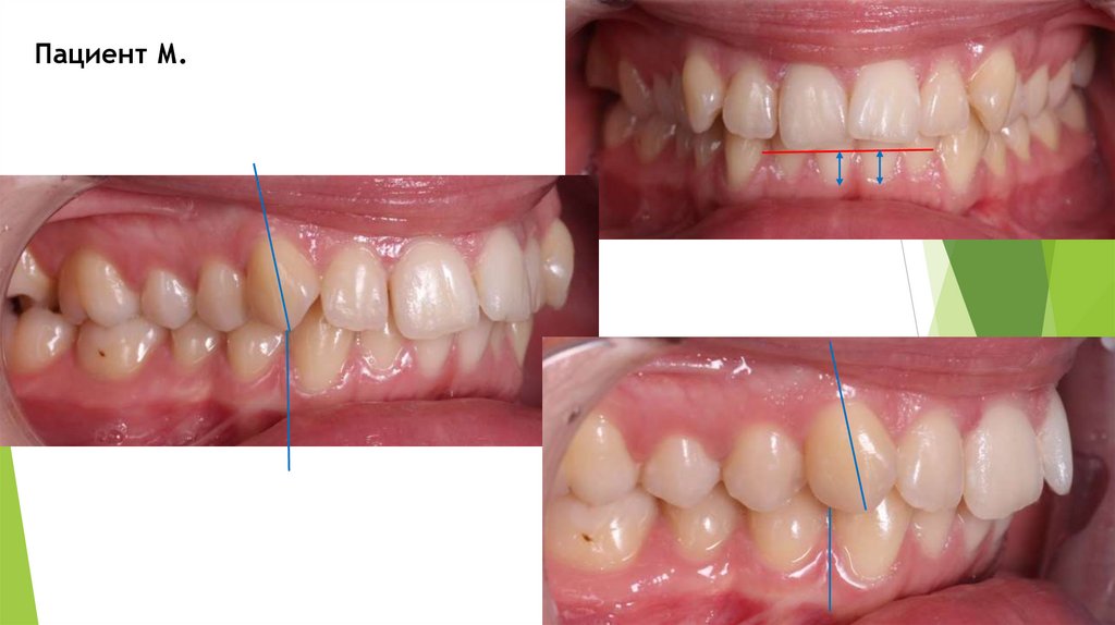
Пациент М.
7.
8.
9.
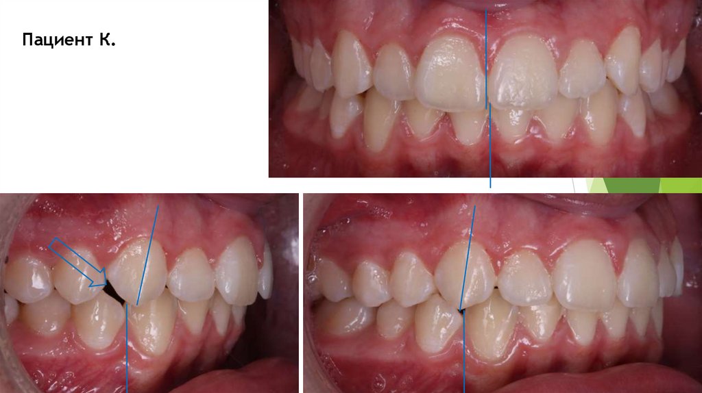
Пациент К.
10.
11.
12.
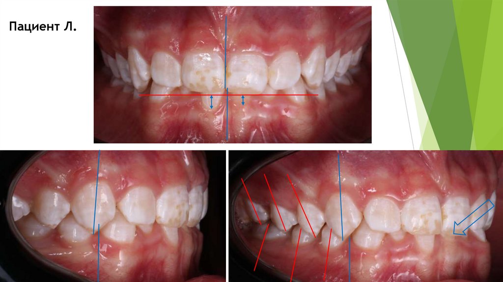
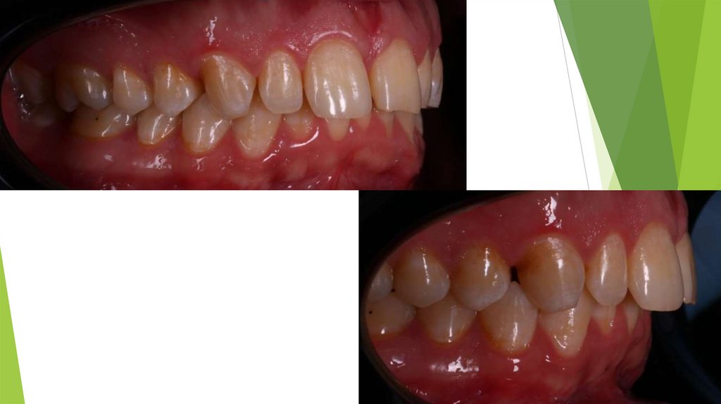
Пациент Л.
13.
14.
15.
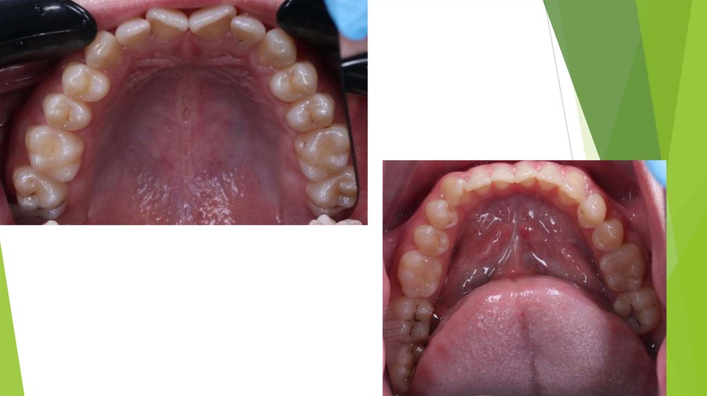
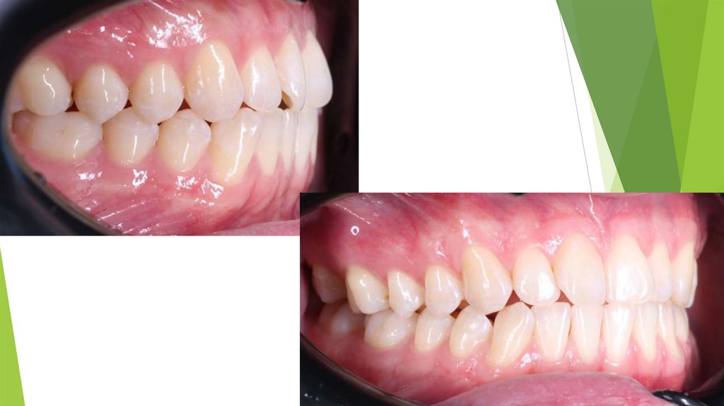
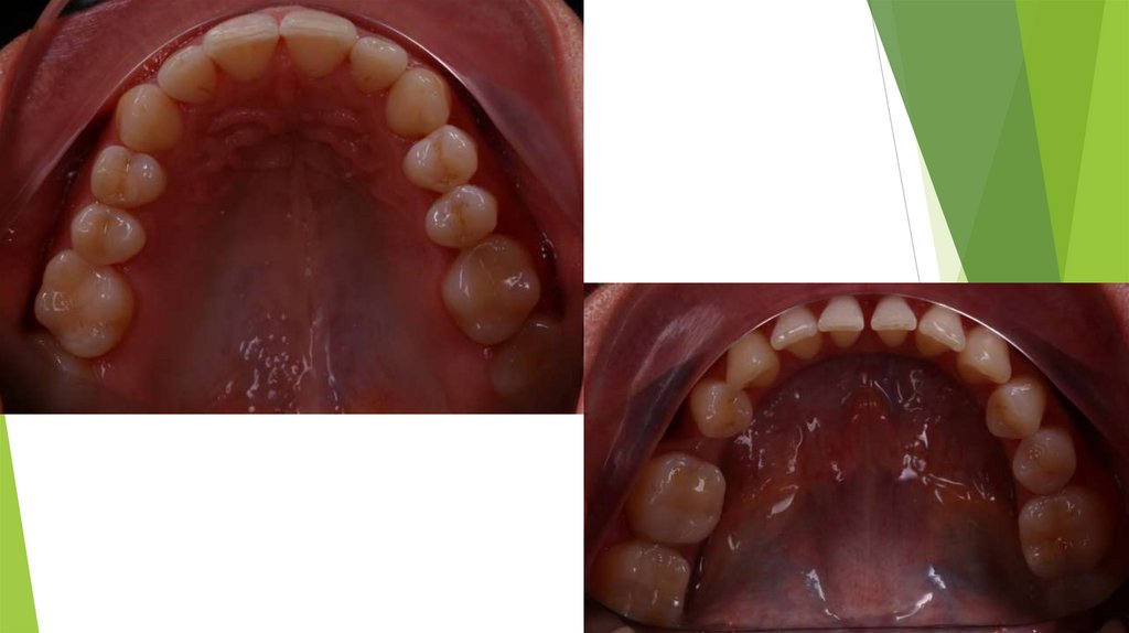
Пациент И.
16.
17.
18.
19.
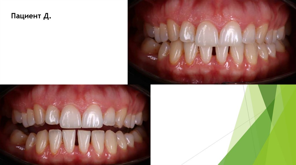
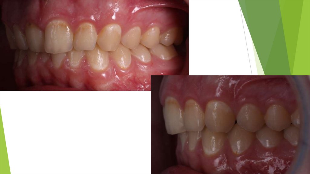
Пациент Д.
20.
21.
22.
23.
Клиновидные дефекты
24.
Клиновидные дефекты
25.
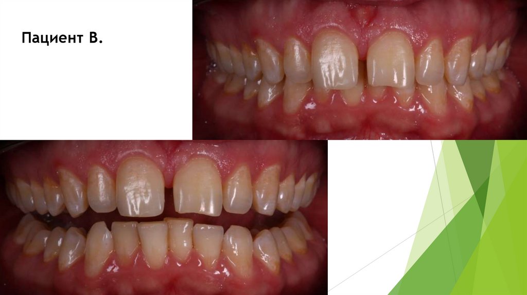
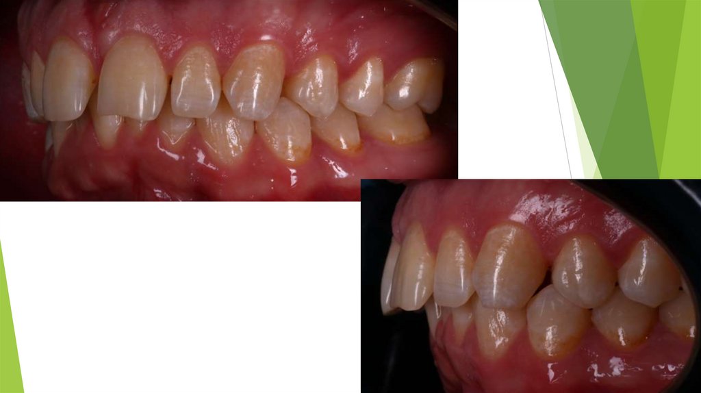
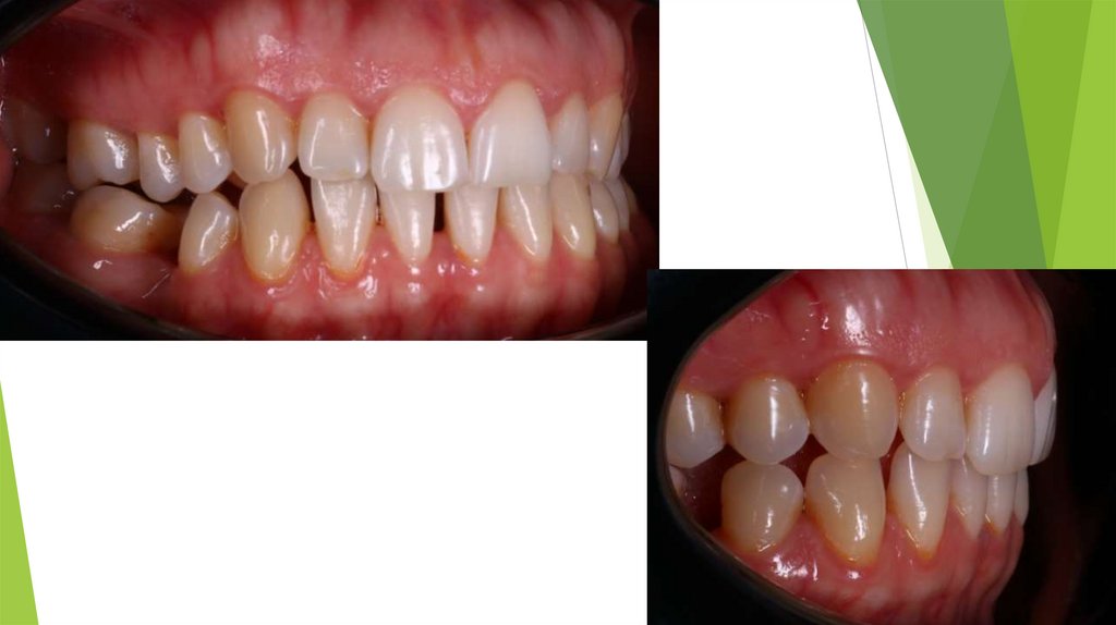
Пациент В.
26.
27.
28.
29.
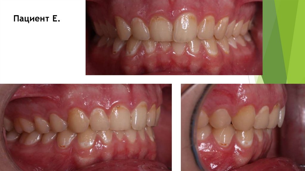
Пациент Е.
30.
31.
32.
Спасибо за внимание)
English
Русский
Rules