Инвертированная папиллома (Переходно-клеточная папиллома)
Патогенез
Клиническая картина
Диагностика
Лечение
Хирургические подходы
Лечение
1.08M
Category: medicinemedicine

Инвертированная папиллома

1. Инвертированная папиллома (Переходно-клеточная папиллома)

Инвертированная
папиллома
(Переходноклеточная
папиллома)

2.

3.

• Инвертированная
папиллома

это
доброкачественная
опухоль
эпителиального
происхождения,
однако она обладает способностью к
местнодеструктивному росту, имеет
высокую
склонность
к
рецидивированию и потенциал к
злокачественному
превращению.
Поэтому
её
часто
называют "пограничной" опухолью.

4.

Этиология
• Вирусная теория: Наиболее популярная и доказанная. У
значительного числа пациентов (до 80-100% по некоторым
исследованиям)
в
тканях
папилломы
обнаруживается вирус папилломы человека (ВПЧ), чаще
всего типов 6, 11 и реже — 16, 18, 31, 33. Последние
относятся к типам высокого онкогенного риска и чаще
ассоциированы со злокачественной трансформацией.
• Хроническое воспаление: Длительный воспалительный
процесс в полости носа (хронический риносинусит,
аллергия) рассматривается
как
предрасполагающий
фактор, который может способствовать изменению
эпителия.
• Курение: Является фактором риска, так как раздражает
слизистую оболочку и может потенцировать действие
других канцерогенов.
• Профессиональные вредности: Вдыхание древесной или
металлической пыли также считается фактором риска.

5. Патогенез


Рост вглубь ткани: В отличие от экзофитных папиллом, которые растут
наружу, эпителиальные клетки при инвертированной папилломе
начинают врастать (инвертировать) в подлежащую соединительную
ткань (строму) сквозь базальную мембрану.
Образление тяжей и инвагинатов: Это приводит к формированию
утолщенных тяжей и инвагинатов многослойного эпителия в
подслизистом слое. При микроскопии это выглядит как "пальцы"
эпителия, растущие вглубь.
Местно-деструктивный рост: Опухоль не имеет капсулы и растет,
разрушая окружающие костные структуры (стенки пазух, перегородку
носа, основание черепа).
Рецидивирование: Высокий риск рецидива (до 70% при неадекватном
удалении) связан с мультифокальным характером роста (несколько
очагов) и сложностью полного удаления всех клеток опухоли из
анатомически сложной области околоносовых пазух.
Малигнизация: В 5-15% случаев происходит злокачественная
трансформация в плоскоклеточный рак. Механизм связывают с
накоплением мутаций в клетках под влиянием, в первую очередь,
онкогенных типов ВПЧ.

6. Клиническая картина

• Симптомы неспецифичны и напоминают
хронический риносинусит:
• Односторонняя заложенность носа (самый
частый симптом).
• Односторонние
выделения
(слизистые,
гнойные, иногда с примесью крови).
• Снижение обоняния.
• Головная боль, чувство тяжести в области
лица.
• При прогрессировании: деформация носа,
слезотечение, выпячивание глазного яблока
(экзофтальм), диплопия (двоение в глазах).

7.

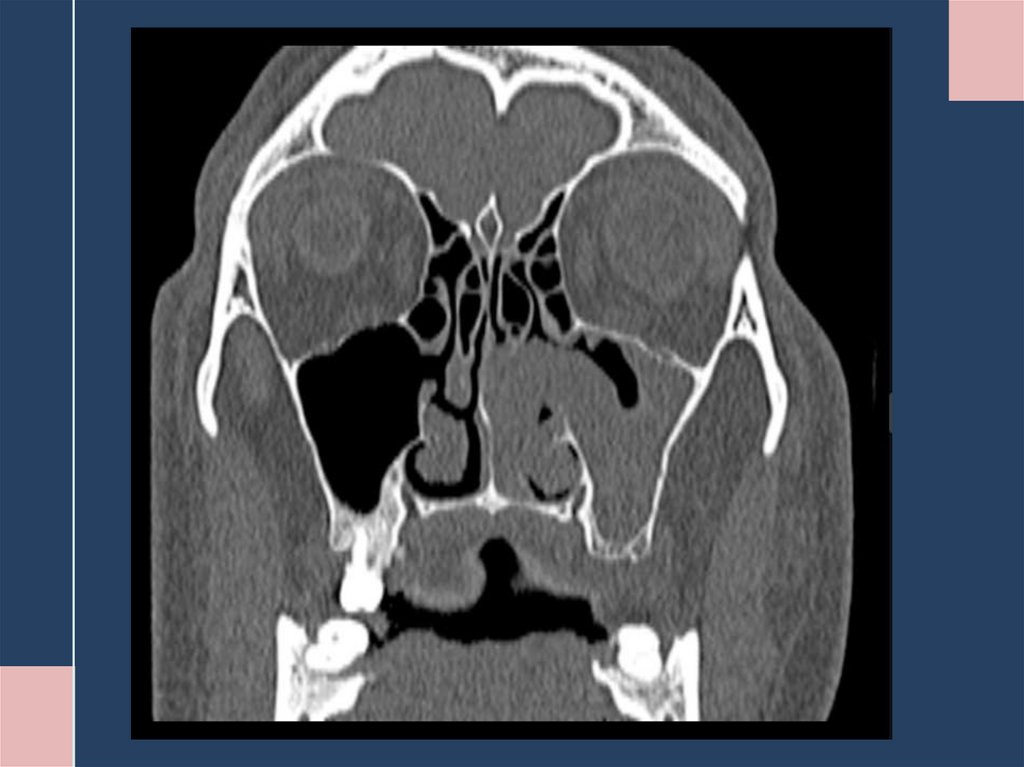
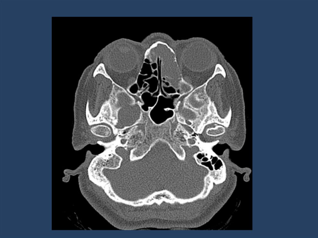
8. Диагностика


1. Эндоскопия (Риноскопия):
Золотой стандарт первичной диагностики. Врач-оториноларинголог видит характерное
образование:
– Одностороннее, чаще исходящее из латеральной стенки носа (область среднего носового
хода, решетчатый лабиринт, верхнечелюстная пазуха).
– Цвет: бледно-розовый, сероватый, похож на слизистую оболочку.
– Консистенция: плотная, бугристая, при дотрагивании зондом легко кровоточит.
2. Лучевая диагностика:
Компьютерная томография (КТ) — метод выбора.
– Позволяет оценить костную деструкцию.
– Определяет точную локализацию и распространенность процесса.
– Характерные признаки: одностороннее затемнение пазухи, гомогенное образование
мягкотканной плотности, иногда с очагами обызвествления. Важный признак — симптом
"контралатерального отклонения" перегородки носа.
Магнитно-резонансная
томография
(МРТ)

используется
для
дифференциальной
диагностики.
– Помогает отличить папиллому от воспалительного процесса, полипа или злокачественной
опухоли.
– Папиллома на T2-взвешенных изображениях и после контрастирования имеет характерный
"извитой" вид (симптом "сосочков" или "мозговых извилин").
3. Гистологическое исследование:
Окончательный диагноз ставится только после биопсии и изучения ткани под микроскопом.
Патоморфологи видят характерные тяжи многослойного плоского или переходноклеточного
эпителия, врастающие в подлежащую строму.

9. Лечение

Единственным радикальным методом лечения является
хирургическое удаление.
Цели хирургического лечения:
• Полное удаление опухоли.
• Достижение низкого процента рецидивов.
• Минимизация травматичности и сохранение нормальных анатомических
структур.

10.

11. Хирургические подходы


1. Эндоскопическая эндоназальная хирургия (ЭЭХ) — современный
"золотой стандарт".
– Операция проводится через нос без внешних разрезов.
– Преимущества:
малая
травматичность,
отличная
визуализация,
короткий период восстановления, минимальный риск осложнений.
– Методика: Опухоль удаляется единым блоком с подлежащей костью
(субпериостальная резекция) в пределах здоровых тканей. Обязательно
удаляется место прикрепления (ножка) опухоли.
2. Открытые операции (например, операция по Денкеру, боковая
ринотомия).
– Применяются реже, в сложных случаях:
• Гигантские папилломы с массивной деструкцией кости.
• Рецидивные опухоли, недоступные для эндоскопического удаления.
• Сочетание с инвазивным раком.
– Недостатки: большая травматичность, внешние рубцы, более длительное
восстановление

12. Лечение

Послеоперационное наблюдение:
• Из-за высокого риска рецидива необходимо пожизненное
наблюдение.
• Первый год — эндоскопический осмотр каждые 3-4 месяца,
затем 1-2 раза в год.
• Периодическое проведение КТ или МРТ по показаниям.
Адъювантная терапия:
• При
выявлении
злокачественной
трансформации
(плоскоклеточный рак) после хирургического удаления может
потребоваться лучевая терапия.
English     Русский Rules