647.50K
Category: medicinemedicine

лекция 1 Пневмонии, плевриты

1.

Клинико-морфологические
особенности пневмоний у детей
старшего возраста.
Нозокомиальные пневмонии.
Плевриты
Зав. кафедрой педиатрии с детскими
инфекциями и детской хирургией
проф. Б.А. Безкаравайный

2.

АКТУАЬНОСТЬ
• Согласно данным ВОЗ, ежегодно в мире
регистрируется около 155 миллионов случаев
заболевания пневмонией у детей, причем из
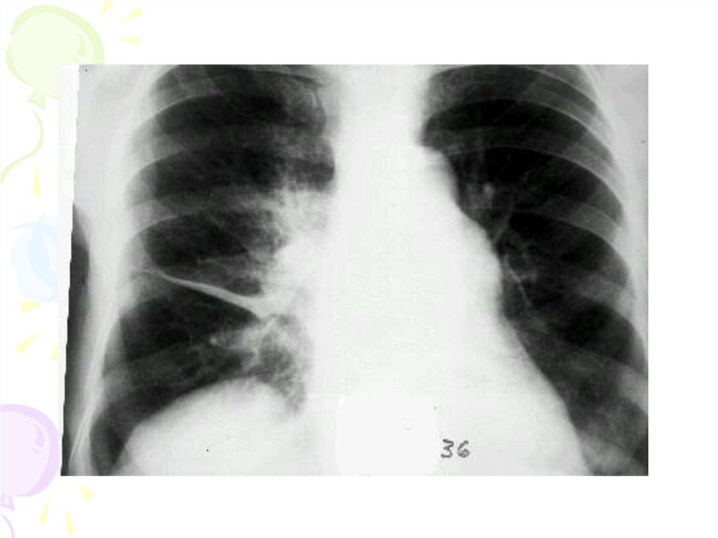
них погибает примерно 1,4 миллиона в
возрасте до пяти лет. Таким образом, это
заболевание является одной из ведущих
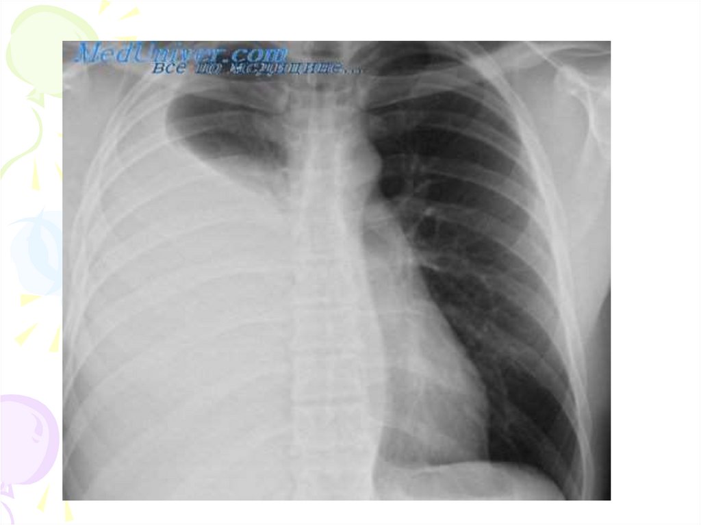
причин детской смертности во всем мире. В
подавляющем большинстве случаев эти смерти
можно предупредить. В настоящее время
пневмониями ежегодно болеют около 15-20 на
1000 детей первых трех лет жизни и примерно
5-6 на 1000 детей старше 3 лет.
• Смертность детей от болезней органов
дыхания (в т.ч. пневмонии) занимает 3-е
место в структуре причин

3.

• По статистике, примерно 1% всех
подростков переносит пневмонию.
И хотя смертность от воспаления
легких в этом возрасте невелика,
патология нередко приводит к
осложнениям. Увеличение уровня
заболеваемости в возрасте 12-16
лет связывают с перестройками в
эндокринной и иммунной системах.

4.

Определение
• Внебольничная пневмония (ВП)
(синонимы: домашняя,
амбулаторная) — острое
инфекционное заболевание различной
(преимущественно бактериальной)
природы, развившееся вне больницы
или в первые 48-72 часа
госпитализации, сопровождающееся
лихорадкой и симптомами поражения
нижних дыхательных путей (одышка,
кашель и физикальные данные), при
наличии инфильтративных изменений
на рентгенограмме.

5.

• В этиологии пневмонии у подростков
основное место занимают
стрептококк, микоплазма,
клебсиелла и гемофильная палочка.
То есть чаще всего причиной
заболевания становятся бактерии. У
больных с иммунодефицитами нередко
причиной становятся герпесвирусы, в
первую очередь, цитомегаловирус, а
также грибковая флора. Нередко
встречаются и вирусно-бактериальные
ассоциации.

6.

Классификация
• Классификация внебольничной пневмонии: в
соответствии с МКБ-10 и «Классификацией
клинических форм бронхолегочных заболеваний у
детей».
• Пневмонии подразделяются по этиологии:
бактериальная, вирусная, грибковая,
паразитарная, хламидийная, микоплазменная,
смешанная (J12-J18).
• По морфологии выделяют очаговую, очаговосливную, сегментарную, полисегментарную,
лобарную и интерстициальную пневмонии.
• Заболевание может иметь как острое (длительность
до 6 недель), так и затяжное (более 6 недель)
течение.
• По тяжести быть средней тяжести и тяжелой.
Тяжесть ВП определяется выраженностью
клинических синдромов и наличием осложнений,
которые подразделяются на плевральные,
легочные, легочно-плевральные и внелегочные

7.

Классификация

8.

Симптомы, позволяющие
заподозрить пневмонию у
ребенка с ОРЗ
— температура выше 38,0 С более 3 дней;
— кряхтящее дыхание;
— одышка (частота дыхания в 1 минуту у детей
до 2 месяцев — более 60, у детей от 2 до 12
месяцев — более 50, у детей от 1 до 3 лет —
более 40);
— втяжение податливых мест грудной клетки;
— цианоз (посинение губ, кожи);
— полный отказ от еды;
— беспокойство или сонливость.

9.

Симптоматические проявления
пневмонии
• Первым признаком пневмонии у подростков становится
значительный подъем температуры, не характерный для
обычного ОРЗ. Фибрилитет 39 градусов и более и
удерживаться на этом уровне несколько дней без
адекватного лечения. Другим важным признаком
прневмонии является боль в грудной клетке с одной или
обеих сторон, которая будет усиливаться на вдохе и при
кашле.
• Кашель при пневмонии сначала сухой непродуктивный,
но при приеме отхаркивающих средств может появиться
мокрота ржавого или гнойного зеленоватого цвета. В
острый период болезни дыхание компенсаторно
учащается, во время дыхания наблюдается втягивание
уступчивых мест грудной клетки (над- и подключичных
ямок, межреберных промежутков). Учащается и пульс
больного.
• Такая картина симптомов характерна лишь для
классической стрептококковой пневмонии. При
атипичной микоплазменной симптомы могут быть менее
яркими.

10.

учитывая механизм происхождения
синдрома, можно выделить такие типы
дыхательной недостаточности
• Паренхиматозная или гипоксемическая. При этом понижается
количество кислорода, падает парциальное давление
кислорода в крови, это состояние с трудом корректируется
даже кислородной терапией. Чаще всего является следствие
отёка лёгких, пневмонии или дистресс-синдрома.
• Вентиляционная или гиперкапническая. При такой
разновидности заболевания в крови, прежде всего, растёт
содержание углекислого газа, одновременно уменьшается
насыщение её кислородом, но это легко можно исправить при
помощи кислородотерапии. Такой тип ДН сопровождается
слабостью дыхательной мускулатурой, часто наблюдаются
механические дефекты рёбер или грудной клетки.

11.

• Обструктивная ДН подразумевает затруднённое
движение воздуха по трахее и бронхам, что может быть
вызвано бронхитом, бронхоспазмом, сужением
воздухоносных путей, наличием инородного тела в
лёгких или злокачественной опухолью.
• Для ограничительного типа характерно ограничение
экскурсии легких, что может быть следствием
пневмоторакса, плеврита, спаек в плевральной полости
лёгкого.
• Смешанный тип сочетает в себе признаки и
ограничительной недостаточности и обструктивной, его
симптомы чаще всего проявляются при поздней степени
патологии.

12.

• Гемодинамическая ДН может возникнуть из-за
нарушения циркуляции воздуха при отсутствии
вентиляции на отдельном участке лёгкого. Привести к
такому типу заболевания может право-левое
шунтирование крови, которое осуществляется через
открытое овальное окно в сердце, что ведет к
смешиванию венозной и артериальной крови.
• Недостаточность диффузного типа возникает тогда,
когда нарушено проникновение газов в лёгкое при
утолщении капиллярно-альвеолярной мембраны.

13.

• Очаговая пневмония в 30% случаев встречается у
детей в возрасте от 1 года до 3 лет.
Сегментарная пневмония отмечается у 25%
детей, чаще дошкольников и школьников.
Характеризуется торпидным и затяжным течение с
угрозой формирования ограниченного пневмосклероза и
хронической пневмонии.
• В 75% случаев локализуется справа.
• При перкуссии – укорочение легочного звука над
пораженным сегментом.
• При аускультации выслушиваются влажные мелко-и
среднепузырчатные хрипы. Аускультативные изменения
кратковременные и исчезают через 3-5 дней. При
сегментарной пневмонии не наступает деструкции
легкого, но может формироваться ателектаз.

14.

Необходимо учитывать
следующие показатели снимка
форма и контуры затемнения;
размеры и положение;
структура и количество затемнений.
По размеру затемнения классифицируются как:
тотальные;
субтотальные;
фокусные;
распространенные;
крупноочаговые (8 – 12 мм);
среднеочаговые (3 – 7 мм);
мелкоочаговые (до 3 мм).

15.

Очаговая пневмония

16.

Очаговая пневмония

17.

Сегментарная пневмония

18.

крупозная пневмония
Температура тела повышается до 39-40оС, озноб, боль в грудной
клетке, боль в правой части живота, влажный кашель (иногда со
«ржавой» мокротой), одышку.
При осмотре состояние тяжелое. Отмечаются признаки
интоксикации и дыхательной недостаточности, отставание при
дыхании пораженной стороны грудной клетки, цианоз, иногда
достигающий значительной степени. Выявляется покраснение щеки на
стороне поражения, герпетические высыпания на носу и губах.
Нередко больные принимают вынужденное положение в постели (на
больном боку).
Пальпаторно удается определить усиление голосового дрожания
на пораженной стороне.
При перкуссии выслушивается укорочение перкуторного звука,
соответствующее границам пораженной доли.
При аускультации характерно ослабление дыхания, нередко оно
становится бронхиальным. Обязательным признаком является
крепитация, которая изменяется в зависимости от стадии
заболевания. Бронхофония усилена.

19.

Клиника крупозной
пневмонии
Выявляются изменения со стороны сердца, печени,
почек, селезенки и других органов.
Рентгенологически отмечаются гомогенные
затемнения, которые занимают долю легкого. Нередко
определяются инфильтлативные изменения с нечетными
контурами.
Характерны изменения крови, лейкоцитоз со
сдвигом формулы влево, повышение СОЭ до 20 –
40мм/ч.
Различают следующие формы атипичного течения
крупозной пневмонии у детей:
- Менингеальный тип
- Абдоминальная форма
- Абортивная форма

20.

Крупозная пневмония

21.

Интерстициальная пневмония
• У детей интерстициальным воспалением легких называют
вариант инфекционных пневмоний с поражением
соединительнотканных элементов легкого и возможным
последующем вовлечением в процесс альвеол и бронхиол.
Возбудителями чаще бывают вирусы, микоплазмы. Начало
заболевания связано именно с появлением одышки, а не
с катаральными явлениями.
• Заболевание у детей протекает крайне тяжело, с высокой
температурой, которая держится до 10 дней. На этом фоне
отмечается падение давления, аритмия, проявления
дыхательной недостаточности – цианоз и одышка, которые
быстро прогрессируют. Кашель слабо выражен, мокрота
скудная серозно-геморрагическая. Часто у детей
присоединяются миокардиты, может возникнуть эмфизема и
отек легкого, что значительно ухудшает прогноз.
• Перкуторно и аускультативно при межуточной пневмонии не
всегда выслушиваются характерные изменения. На
рентгенограмме у детей типичные для пневмонии очаги
отсутствуют, наблюдается увеличение прозрачности
легочной ткани, а также подчеркнутый бронхососудистый рисунок. Симптомы поражения чаще
двусторонние.

22.

Пациенты, требующие интенсивной
терапии в условиях стационара
• возраст ребенка менее 2 месяцев вне
зависимости от тяжести и
распространенности процесса;
• возраст ребенка до 3 лет при лобарном
характере поражения легких;
• поражение двух и более долей легких
(вне зависимости от возраста);
• наличие плеврального выпота.

23.

осложнения пневмонии
- синдром ДВС (0,05-0,1% случаев);
- острая деструкция легких (1-3%);
- инфекционно-токсический шок (0,5%);
- инфекционное поражение других внутренних органов
(< 1%);
- острая сердечная и сосудистая недостаточность
различной степени выраженности (2%);
- постпневмонический пневмосклероз (1-2%);
- затяжное течение пневмонии (18%);
- полное выздоровление (96-98%);
- летальность (0,01-0,03%).

24.

Диагностика ВП
• Анамнез
• Клиническая картина
• обзорная рентгенография, компьюторная
томография, флюорография УЗИ, которые
позволят определить размер инфильтрации
легких и ее распространенность; наличие или
отсутствие плеврального выпота и деструкции
легочной паренхимы. Бронхоскопия.
• биохимические параметры крови: активность
печеночных ферментов, уровень креатинина и
мочевины, электролитов в крови, кислотноосновное состояние, С-реактивный белок,
уровень прокальцитонина.

25.

• Анализ крови не является
диагностическим для пневмонии, однако
помогает дифференцировать типичные
пневмонии (лейкоцитоз выше 15х109 у
60% больных) от атипичных (96% ниже
15х109). В этом отношении помогает и
определение СРБ (100% выше 30 мг/л
при типичных по сравнению с 23% при
атипичных) и особенно прокальцитонин
- ПКТ (96% выше 2 нг/мл при типичных
и 0,5 нг/мл – при атипичных).

26.

• этиологическая верификация ВП микробиологические тесты (посев мокроты,
крови), серодиагностика, ПЦР-диагностика,
экспресс-методики (иммунофлуоресцентный
анализ, определение антигена
микроорганизмов в моче и др.).
• инструментальные методы при диагностике ВП
по показаниям: компьютерная томография
органов грудной клетки, исследование
плеврального экссудата, фибробронхоскопия,
потовый тест, ЭКГ, УЗИ внутренних органов и
др.

27.

Дифференциальный диагноз
• Дети грудного возраста:
-аспирация,
-инородное тело в бронхах,
-трахеоэзофагеальная фистула,
-гастроэзофагеальный рефлюкс,
- пороки развития легкого, сердца и крупных сосудов,
- муковисцидоз и дефицит α-антитрипсина
Дети старше 1-2 лет:
- синдром Картагенера,
-гемосидероз легких,
-неспецифический альвеолит,
-селективный иммунодефицит IgA,
-муковисцидоз
Все возрастные группы -туберкулез легких, онкопатология.

28.

Лечение ВП
• Амбулаторное лечение
• Показания к госпитализации:
Жизненные — пациенту необходима интенсивная терапия,
реанимационные мероприятия:
- ДН 2–3-й ст.,
- тяжелые и осложненные формы пневмонии;
- особенности реактивности организма ребенка, которые
могут способствовать тяжелому или затяжному течению
заболевания:
- дети раннего возраста (особенно новорожденные,
недоношенные, грудные дети);
- наличие сопутствующих заболеваний: рахит,
гипотрофия, анемия, пороки развития, хроническая
соматическая патология и т.д.;
-социальные: - дети из асоциальных семей или семей с
низким достатком;
- дети из закрытых детских коллективов;
- неудовлетворительный комплаенс и др.

29.

Лечение ВП
• Общие принципы терапии пневмонии базируются в
большинстве случаев на эмпирической
антибактериальной терапии, адекватной
оксигенотерапии при тяжелых формах и по показаниям
инфузионной терапии. При пневмонии назначение
антибиотика необходимо проводить как можно в более
ранние сроки, поскольку более позднее назначение
ухудшает прогноз заболевания (возникновение
осложнений и риска летальности).
• В амбулаторных условиях для лечения нетяжелых форм
пневмонии согласно современным рекомендациям
должны применяться антибиотики преимущественно
пероральным способом.
• При тяжелой пневмонии показана ступенчатая
антибиотикотерапия, когда в первые дни антибиотик
вводится парентерально, а при улучшении состояния
осуществляется переход на пероральный путь введения.

30.

Чувствительность возбудителей к
антибиотикам
В России пневмококки, в основном, чувствительны к βлактамам (89% к пенициллину и >99% к амоксициллину
и цефтриаксону), гемофильная палочка – к
амоксициллину на 90-95%, к
амоксициллину/клавуланату, цефалоспоринам 2-3
поколения - на 100%). Из числа макролидов в
отношении H.influenzae in vitro активен азитромицин,
возможно также кларитромицин
Чувствительность пневмококков к макролидам – 92%
(азитромицин) - 96% (джозамицин), однако в ряде
городов до 30% штаммов пневмококков нечувствительны к азитромицину, эритромицину и другим
14-членным макролидам. Устойчивость к
хлорамфениколу сохраняют 92% штаммов
пневмококков, к клиндамицину – 95,5%, имипенему и
ванкомицину – 100%. Пневмококки полностью
резистентны к гентамицину и другим аминогликозидам,
их использование для монотерапии недопустимо.
Микоплазмы и хламидии высоко чувствительны к
макролидам и тетрациклинам, а также фторхинолонам.

31.

Лечение
• Препаратами первого ряда для лечения
неосложненной пневмонии в
амбулаторных условиях являются
амоксициллин (амоксициллин/
клавуланат) и современные макролиды
при подозрении на атипичный
возбудитель или непереносимость βлактамных антибиотиков. Препаратами
второго выбора в амбулаторных
условиях являются пероральные
цефалоспорины второго и третьего
поколения.

32.

Очень тяжелая пневмония
требует парентерального введения антибиотиков на
фоне интенсивной терапии (кислород, ИВЛ, лечение
ДВС-синдрома).
В условиях России оптимально в/в введение:
- амоксициллина/клавуланата 40-50 мг/кг 2 раза в
день,
- или цефотаксима 50 мг/кг 3 раза в день
- в/в, в/м цефтриаксон 80 мг/кг 1 раз в день +
гентамицин 7,5 мг/кг (или амикацина 15 мг/кг)1 раз в
день
- цефазолина 50 мг/кг 3 раза в день + гентамицин 7,5
мг/кг (или амикацина 15 мг/кг)1 раз в день, или
У детей, получавших ранее антибиотики - в/в меропенем
20 мг/кг 2 раза в день или, при подозрении на
стафилококк – в/в ванкомицин 20 мг/кг2 раза в день.

33.

Тяжелая пневмония
Госпитализация обязательна. В условиях России
оптимально в/в введение с переходом по достижении
эффекта на оральный амоксициллин или
амоксициллин/клавуланат до общей длительности 5-7
дней:
Дети до 5 лет (опасность гемофилюса типа b):
- в/в или внутрь амоксициллин/клавуланат 25 мг/кг 2
раза в день или
- в/в (в/м > 2,5 лет) цефотаксим 50 мг/кг 3 раза в день
(или в/в, в/м цефтриаксон 80 мг/кг 1 раз в день) или
- в/в, в/м цефазолин (50 мг/кг/сут 3 раза в день) +
аминогликозид (например, гентамицин 6 мг/кг/сут).

34.

Тяжелая пневмония
Дети старше 5 лет:
- в/в, в/м ампициллин 50 мг/кг 2-3 раза в день
или
- в/в цефазолин 50 мг/кг 2-3 раза в день.
При отсутствии эффекта: добавить р.о.
азитромицин 10 мг/кг/сут (или др. макролид),
при подозрении на метициллин-резистентный
стафилококк - в/в ванкомицин 40 мг/кг/сут,
при подозрении на легионеллез - в/в
азитромицин 0,5 г/сут ( >12 лет) или в/в
эритромицин 30-50 мг/кг/сут.

35.

Пневмония неосложненная
(нетяжелая)
Лечение возможно проводить на дому.
Дети <6 месяцев с афебрильной пневмонией
(С. trachomatis):
- джозамицин 20 мг/кг 2 раза в день 7 дней
или
- азитромицин 5 мг/кг 1 раз в день 5 дней.

36.

Пневмония неосложненная
(нетяжелая)
• Дети <5 лет с фебрильной пневмонией:
- внутрь амоксициллин 25 мг/кг 2 раза в день 5 дней
в группе риска (получали антибиотик раньше, посещает
ДДУ - возможная роль резистентных H. influenzae и S.
pneumoniae):
- внутрь амоксициллин/клавуланат 40-50 мг/кг 2 раза в
день 5 дней или
- цефуроксим аксетил 20-40 мг/кг 2 раза в день 5 дней
Введение детям раннего возраста в/м в качестве первой
дозы цефтриаксона (50 мг/кг), особенно у детей с
рвотой, сокращает частоту госпитализации.
При отсутствии эффекта – добавить или заменить на
макролид.

37.

Пневмония неосложненная
(нетяжелая)
• Дети старше 5 лет:
- амоксициллин 25 мг/кг 2 раза в день При
отсутствии эффекта – добавить или заменить
на макролид.
При симптомах, сопоставимых с атипичной
пневмонией:
- внутрь макролид (например, джозамицин 40
мг/кг/сут 7 дней или азитромицин 10 мг/кг в 1й день, далее 5 мг/кг 5 дней. При отсутствии
эффекта – добавить или заменить на
амоксициллин 50 мг/кг/сут

38.

• Оценка эффективности этиотропной терапии проводится
через 48 ч., а при тяжелой пневмонии — через 48-72 ч.
Необходимо ориентироваться в первую очередь на
динамику выраженности симптомов токсикоза и ДН:
снижение температуры, улучшение самочувствия и
аппетита, уменьшения одышки.
• Об отсутствии клинического эффекта свидетельствует
сохранение более 48-72 часов температуры >38С при
ухудшении состояния и/или нарастании
рентгенологических изменений. При хламидиозе и
пневмоцистозе — нарастание одышки и гипоксемии. В
такой ситуации требуется незамедлительная смена
антибиотика.
• Отмена антибактериальной терапии возможна при
достижении стойкой нормализации температуры в
течение 3 дней. Общий курс антибактериальной терапии
при неосложненной ВП в среднем составляет 5-7 дней.
При тяжелой или осложненной пневмонии необходимо
ее продлить до 10 дней, а при хламидийной и
микоплазменной — до 10-14 дней.

39.

• Жаропонижающие в начале лечения не назначают, так
как это может затруднить оценку его эффективности;
исключение – фебрильные судороги,
метапневмонический плеврит.
Гидратация оральная достаточна при неосложненной и
при большинстве осложненных пневмоний. К растворам
(Регидрон и др.) добавляют воду, чай, соки, ее объем менее полной суточной потребности, но не менее 700—
1000 мл. Ввиду опасности задержки жидкости
вследствие выброса антидиуретического гормона
инфузии при эксикозе, коллапсе, нарушении
микроциркуляции проводят объемами 20-30 мл/кг/сут,
равномерно распределенных в течение суток,
коллоидные растворы должны составлять 1/3 объема.
Введение щелочных растворов без определения КЩС
допустимо лишь как экстренная мера при ДВС-синдроме
и расстройствах микроциркуляции.
Расчет объемов жидкости больному тяжелой пневмонией
Потребность: половина исчисленного полного суточного
объема, из этого количества внутривенно вводят не
более 1/3

40.

• Оксигенотерапия должна назначаться интраназально
или лицевой маской пациентам, у которых насыщение
кислородом при вдыхании воздуха составляет менее
92%, чтобы поддерживать сатурацию выше 92%.
• Применение муколитиков и отхаркивающих препаратов
в первые дни лечения пневмонии не обосновано,
учитывая тот факт, что кашель не является главным
симптомом заболевания и не определяет тяжесть
состояния пациента, а поэтому не требует неотложного
лечения. В дальнейшем при появлении у пациента
интенсивного малопродуктивного кашля возможно
применение различных муколитических средств, не
рекомендовано применение отхаркивающих у детей
раннего возраста.
• Применение бронхолитических средств показано при
наличии бронхообструктивного синдрома
(микоплазменные, хламидийные и вирусные пневмонии)
или при развитии ВП у больного с бронхиальной астмой.
Препаратами выбора являются β2-агонисты короткого
действия как в виде монотерапии, так и в составе
комбинированных препаратов (беродуал).

41.

Атипичная пневмония у
подростков
Термин «атипичная пневмония» означает
принадлежность возбудителя болезни к микробам,
называемым «атипичная флора». Атипичная флора – это
внутриклеточные инфекционные агенты – микоплазмы,
хламидии, легионеллы. Воспаление лёгких, вызываемое
микоплазмами, наиболее часто поражает детей,
подростков (20–30% всех пневмоний). И, напротив, у
пациентов старших возрастов атипичная пневмония
диагностируется исключительно редко.
• Атипичная микоплазменная или хламидийная инфекция
сопровождается мышечными и головными болями,
ознобом, симптомами ОРЗ. Кровохарканье и боли в груди
нехарактерны для пневмоний, вызванных атипичной
флорой.

42.

Профилактика внегоспитальной
пневмонии у детей
• Первичная и вторичная профилактика пневмоний
предусматривает комплекс неспецифических и
специфических мероприятий.
• В основе специфической профилактики лежит
вакцинопрофилактика детских капельных инфекций и
гриппа, на фоне которых развиваются бактериальные
пневмонии, а также массовая вакцинация против
пневмококковой и гемофилюсной инфекций. Кроме того,
детям высокого риска тяжелого течения РС-инфекции до
2 лет показана пассивная иммунизация
моноклональными антителами к РС-вирусу
(паливизумаб).
• Неспецифическая профилактика ВП подразумевает
проведение комплекса социально-гигиенических
мероприятий, рациональное питание, закаливание,
улучшение экологии жилища и окружающей среды,
предупреждение ОРВИ.

43.

Нозокомиальные
пневмонии
Внутрибольничными (госпитальные,
нозокомиальные) пневмониями считают
те, которые манифестировали через 4872 часа после госпитализации при
исключении инфекций, которые могли
находиться в инкубационном периоде на
момент поступления в стационар.

44.

Стафилококковая
пневмония
быстрое нарастание интоксикации, высокая лихорадка (39-40
°С), сероватый колорит кожи, вялость, плохой аппетит.
В легких перкуторно отмечается значительный участок
укорочения тона, аускультативно-ослабленное дыхание с
бронхиальным оттенком, крепитация.
Со стороны крови - значительный лейкоцитоз, нейтрофилез с
выраженным сдвигом влево и резко увеличенная СОЭ, нередко
появляется токсическая зернистость нейтрофилов.
На рентгенограмме - инфильтрат, занимающий долю с
вовлечением плевры.
Особую угрозу для жизни ребенка представляет
осложнение стафилококковой пневмонии пиопневмоторакс - прорыв сообщающегося с просветом
бронха абсцесса в плевральную полость

45.

Клебсиеллезная
пневмония
• Клебсиеллезная пневмония начинается остро. Выражены
явления интоксикации.
• В легких инфильтрация нередко имеет сливной Характер, но
не сегментарный (очагово-сливная пневмония). Укорочение
перкуторного звука выражено четко, выслушиваются
необильные, влажные мелкопузырчатые хрипы.
• На рентгенограмме интенсивная тень затемнения,
локализованная чаще в верхних отделах легких (задние
отделы верхних долей, верхние части нижних долей).
Чрезвычайно выражена склонность к абсцедированию.
Характерна очень высокая СОЭ.
• Осложнения - абсцесс легкого, эмпиема плевры,
пиелонефрит, сепсис.

46.

Пневмония, вызванная
синегнойной палочкой
Типичная госпитальная инфекция, особенно у больных с
дефектами иммунитета. Течение острое. Состояние тяжелое,
выражены интоксикация и лихорадка, цианоз и тахикардия.
• Характерно быстрое распространение очага инфильтрации и
появление новых очагов в легких.
• В бронхах и легких наблюдаются некротические
изменения, в связи с чем появляются ранние
осложнения - абсцесс легкого, плеврит.
• Со стороны крови - лейкоцитоз с нейтрофилезом,
значительное увеличение СОЭ.

47.

Пневмония, вызванная
Haemophilus influenzae
При ОРВИ выражен назофарингит, кашель без мокроты.
Температурная реакция выражена.
• Поражение легких носит очаговый характер, часто пневмония
развивается в участке ателектаза, обусловленного обтурацией
мелких бронхов. Могут быть сливные инфильтраты - очаговосливная форма пневмонии. Характерно преобладание
гнойного бронхита. Отмечается изменчивость,
«мозаичность» перкуторных и аускультативных данных.
• Со стороны крови лейкоцитоз с нейтрофилезом, увеличение
СОЭ.

48.

Легионеллезная пневмония (Legionella
pneumophila)
Возбудитель - грамотрицательная палочка, передающаяся аэрозольно
(гнездится в аэрозольных аппаратах, кондиционерах).
Заболевание начинается остро с озноба, недомогания.
Температура на 2-3-и сутки повышается до 38,5-40 С.
Отмечается головная боль, миалгии. Нередко лихорадке
предшествует диарея. Может развиться инфекционнотоксический шок. В первые дни кашель сухой, далее мокрота
становится гнойной. Отмечаются одышка и цианоз.
При объективном обследовании в легких неравномерное укорочение
перкуторного звука, при аускультации дыхание ослаблено,
выслушиваются мелко- и среднепузырчатые хрипы.
На рентгенограмме - очаговые и сливные инфильтраты, порой
захватывающие долю легкого. Со стороны сердечно-сосудистой
системы - тахикардия, ослабление тонов сердца.
В крови - лейкоцитоз, СОЭ 60-80 мм/ч и относительная или
абсолютная лимфопения.
Нередко поражение почек; при исследовании мочи
протеинурия, лейкоцитурия, эритроциты и цилиндры.

49.

Пневмоцистные пневмонии
• Пневмоцистные пневмонии относятся к паразитарным
заболеваниям. В возникновении пневмоцистоза большое
значение имеет ослабление иммунитета.У детей, получающих
глюкокортикостероиды, цитостатики, при иммунодефицитном
состоянии развивается тяжелая пневмония.
• Характерна триада симптомов: резкая одышка (до 100 и
более дыханий в 1 мин); цианоз вокруг рта и
акроцианоз; выделение пенистого содержимого и
диспноэ с выраженным кашлем. Токсикоза нет.
• На рентгенограмме легких очаговые сливные тени по
обоим легочным полям - «ватные легкие»,
интерстициальные изменения. В крови - лейкоцитоз,
нейтрофилез, увеличенная СОЭ.

50.

Плевриты у детей
Проф. Б.А.Безкаравайный

51.

Плеврит
Плеврит у детей может развиваться как
самостоятельное заболевание, но в подавляющем
большинстве случаев он является осложнением
пневмонии или абсцесса легкого и развивается либо
на фоне этих заболеваний, либо вслед за ними. Иногда
воспаление плевры у детей возникает на фоне
туберкулеза, ревматизма, сепсиса, перикардита или
перитонита.

52.

Плеврит является вторичным
заболеванием. Его могут
спровоцировать такие факторы, как:
• первичные болезни: пневмония, туберкулёз,
абсцесс лёгких, брюшной тиф, туляремия,
раковые опухоли и др.;
• грибковые поражения;
• травмы грудной клетки;
• переохлаждение организма;
• перегрев на солнце или же чрезмерное
использование кварца;
• неполноценное питание;
• хирургическое вмешательство;
• частые заболевания инфекционного характера.

53.

54.

Этиология
• Серозный и серозно-фибринозный плевриты
чаще всего (около 80%) туберкулезной
этиологии, значительно реже (15—20%) —
ревматической.
• Сухой плеврит в большинстве случаев связан с
туберкулезом.
• Гнойный плеврит возникает вследствие
деструктивных изменений в легких.
Возбудителями его являются пневмококки,
стрептококки. В последние годы
доминирующее значение в этиологии гнойного
плеврита имеет патогенный стафилококк.

55.

• У детей в подавляющем
большинстве случаев наблюдается
синпневмонический плеврит, т. е.
протекающий одновременно с
воспалением легких, и значительно
реже - метапневмонический, т. е.
возникающий вслед за
пневмонией.

56.

• Особенностью детского возраста является
большая частота гнойного плеврита:
• у детей до 5 лет он встречается в 2/3 всех
случаев выпотного плеврита, у детей от 6 до
10 лет - в 1/4 и от 11 до 15 лет - в 1/10
случаев. Около половины всех случаев
эмпиемы плевры (гнойного плеврита)
приходится на детский возраст до 2 лет.
• С 6-7 лет преобладает серозно-фибринозный и
серозный, а в старшем возрасте – серозный и
сухой плеврит.

57.

Типичные симптомы
плеврита у детей
боль при вдохе, отдающая в область живота и плечо;
повышенная температура;
лихорадка;
вздутые шейные вены;
синеватый цвет лица;
сухой, приступообразный кашель;
нарушение дыхания (особенно тяжело этот симптом
проявляется у малышей первого года жизни): одышка,
удушье, вялость с последующим коматозным
состоянием;
• озноб, тахикардия и обильное потоотделение у ребёнка
любого возраста — это симптомы гнойной формы
плеврита .

58.

Серозный плеврит
Серозный плеврит может иметь различную природу,
но чаще возникает как аллергическая реакция
на туберкулезную инфекцию. Заболевание начинается
остро с :
- повышения температуры тела, появления болей
в боку и кашля.
- Нарастают слабость, вялость, снижается аппетит,
беспокоят ночные поты, днем держится субфебрильная
температура.
- Когда в плевральной полости накапливается
значительное количество серозного экссудата боли
в грудной клетке уменьшаются и исчезают, их место
занимает дыхательная недостаточность. Ребенок дышит
часто и поверхностно, при малейшей нагрузке возникает
одышка.

59.

Серозный плеврит
-Кожные покровы и слизистых становятся
сухими, бледными с цианотичным оттенком,
- пульс частый даже в покое, шейные вены
набухают.
-Вынужденное положение - сидячее.
-Межреберные промежутки выпячиваются
при дыхании,
- больная половина грудной клетки отстает
от здоровой.

60.

61.

62.

Гнойный плеврит
Гнойный плеврит протекает тяжело и характеризуется:
- выраженными симптомами интоксикации,
дыхательной и сердечной недостаточностью,
гипертермией.
- Ребенок полусидит в постели, дышит часто
и поверхностно. Кожа бледная, губы синюшные, по мере
нарастания кислородной недостаточности кожа
и слизистые приобретают землистый оттенок
с желтоватым отливом, обусловленным разрушением
эритроцитов крови.
-Тяжелая интоксикация сопровождается поражением
печени, увеличением селезенки, нарушением функции
почек. Состояние ребенка становится критическим,
угрожающим жизни. Требуется немедленная
интенсивная терапия и хирургическая помощь.

63.

64.

Невозможно различить серозно-фибринозный и
гнойный плевриты без микроскопического
исследования жидкости.
В первом случае она прозрачна или слегка
мутная, в ней содержатся относительно небольшое
число лейкоцитов и иногда эритроцитов.
Уровень белка, превышающий 30 г/л,
свидетельствует об экссудате, связанном с
инфекционным процессом. На выпот указывает и
уровень лактатдегидрогеназы, превышающий 200
МЕ/л.
Серозно-фибринозная жидкость может быстро
перейти в гнойную; она может быть различной в
зависимости от того, на какой стадии процесса был
произведен торакоцентез.

65.

Сухой плеврит у детей:
симптомы
Сухой плеврит чаще развивается на фоне пневмонии,
поэтому ее проявления выступают на первый план,
и обнаружить воспаление плевры довольно сложно.
Признаками сухого плеврита являются:
- сухой навязчивый кашель и боли в грудной клетке,
которые усиливаются при кашле и глубоком дыхании.
-Ребенок, как правило, лежит на больном боку,
потому что это облегчает боль благодаря ограничению
экскурсии грудной клетки. Температура тела
субфебрильная.
-При аускультации больной половины грудной клетки,
можно слышать шум трения плевры, больная часть
грудной клетки отстает в дыхании от здоровой.

66.

67.

Лечение плеврита
• требует дифференцированного
комплексного подхода. Терапия
определяется характером течения
заболевания и назначается
индивидуально каждому ребенку
в зависимости от вида заболевания
и предполагаемого возбудителя
инфекции, наличия или отсутствия
осложнений и состояния больного.

68.

Лечение сухого плеврита
• На первом плане стоит терапия основного
заболевания.
• При затяжном течении сухого плеврита у детей
и отсутствии туберкулезной инфекции, для
ликвидации воспаления назначают
физиотерапевтические процедуры, например,
диатермию, УВЧ.
• Показана лечебная дыхательная гимнастика,
прием общеукрепляющих средств, витаминноминеральных комплексных препаратов,
иммуномодуляторов и адаптогенов.

69.

лечение экссудативного плеврита
• Основой лечения плеврита у детей является
антибактериальная терапия, назначаемая
с учетом характера заболевания.
• Терапия дополняется общеукрепляющими
средствами, препаратами, уменьшающими
проницаемость и укрепляющими стенки
кровеносных сосудов, витаминами С, РР,
группы В. Для улучшения дыхательной
функции легких и профилактики сращений
плевры показан массаж и дыхательная
гимнастика.
• Плевральная пункция

70.

Лечение гнойного плеврита
Основной задачей терапии является эвакуация гноя
из плевральной полости. Плевральная пункция
выполняется либо большим шприцем, либо аппаратом
Потена. После извлечения гноя между листками плевры
вводится антибиотик. Пункции повторяют по мере
необходимости для полного очищения плевральной
полости. При отсутствии эффекта от них показано
оперативное вмешательство.
• Общая антибактериальная терапия назначается с учетом
чувствительности возбудителя инфекции
к антибиотикам. Для того чтобы повысить реактивность
организма, прибегают к иммунотерапии .
• На всем протяжении лечения ребенок нуждается
в усиленном уходе, рациональном питании,
аэротерапии. В период выздоровления назначают
физиотерапевтические рассасывающие процедуры,
массаж и лечебную гимнастику.

71.

прогноз
• Прогноз плеврита у детей зависит от характера
заболевания и эффективности терапии.
• Сухой и серозный плеврит при адекватной терапии
и достаточной реактивности организма
заканчиваются выздоровлением.
• Гнойный плеврит протекает наиболее тяжело,
нередко требует радикальной операции.
• Последствиями гнойного плеврита могут стать
спайки в плевральной полости, деформация
грудной клетки и позвоночника, пневмосклероз,
бронхоэктазы, формирование легочного сердца и,
в конечном итоге, инвалидность ребенка. Исход
гнойного плеврита зависит, прежде всего,
от своевременной, как можно более ранней
диагностики и грамотного лечения.
English     Русский Rules