Дифференциальная диагностика диссеминированных процессов в легких
КЛАССИФИКАЦИЯ ДИССЕМИНИРОВАННЫХ ПРОЦЕССОВ В ЛЕГКИХ
АЛГОРИТМ ОБСЛЕДОВАНИЯ БОЛЬНОГО С РЕНТГЕНОЛОГИЧЕСКИМ СИНДРОМОМ ЛЕГОЧНОЙ ДИССЕМИНАЦИИ
ДИССЕМИНИРОВАННЫЕ ФОРМЫ ТУБЕРКУЛЕЗА
Милиарный туберкулез
Подострый диссеминированный туберкулез
Подострый диссеминированный туберкулез
Хронический диссеминированный туберкулез
Хронические диссеминированный туберкулез
Саркоидоз
Саркоидоз
Очаговая пневмония
Очаговая пневмония
МЕТАСТАТИЧЕСКОЕ ПОРАЖЕНИЕ ЛЕГКИХ
Метастатические поражения легких
“ЗАСТОЙНОЕ ЛЕГКОЕ»
“Застойное легкое”
СИЛИКОЗ
Силикоз
2.97M
Category: medicinemedicine

Дифференциальная_диагностика_диссеминированных_процессов_в_легких

1. Дифференциальная диагностика диссеминированных процессов в легких

Арутюнян С.С. Иванова О.А

2.

Диссеминация- рассеивание, распространение.
Рентгенологический синдром легочной диссеминации – наличие множественных очаговых изменений на большой площади поражения (3 и более
бронхолегочных сегмента).
При односторонней локализации процесса отмечается распространение
очагов за пределы минимум двух межреберий, при двусторонней
локализации – очаги выходят за пределы одного межреберья с каждой
стороны.

3. КЛАССИФИКАЦИЯ ДИССЕМИНИРОВАННЫХ ПРОЦЕССОВ В ЛЕГКИХ

1) фиброзирующие альвеолиты: • идиопатический фиброзирующий альвеолит (ИФА);
• экзогенный аллергический альвеолит (ЭАА);
• токсический фиброзирующий альвеолит;
• интерстициальный фиброз, как синдром при других заболеваниях: – при диффузных болезнях соединительной ткани; – как осложнение при хроническом активном гепатите;
– при радиационных поражениях легких;
– как возможный исход «шокового легкого»;
– при недостаточности кровообращения с застоем крови в легких («кардиогенный пневмосклероз») и др.;
2) гранулематозы:
• саркоидоз легких;
• диссеминированный туберкулез легких;
• гистиоцитоз Х;
• пневмокониозы;
• пневмомикозы;

4.

3) васкулиты:
• васкулиты при коллагенозах (системная склеродермия, узелковый периартериит, системная красная волчанка, ревматоидный артрит, дерматомиозит и
др.);
• некротизирующие ангииты ( гранулематоз Вегенера и др.);
• идиопатический гемосидероз легких;
• синдром Гудпасчера;
4) болезни накопления:
• альвеолярный протеиноз;
• альвеолярный микролитиаз;
• первичный амилоидоз легких;
• остеопластическая пневмопатия;
5) диссеминации опухолевой природы:
• бронхиоло-альвеолярный рак (БАР);
• карциноматоз;
• эктопическая хорионэпителиома легких;
• лейомиоматоз (опухолевая природа подтверждается не всеми ис-следователями).

5. АЛГОРИТМ ОБСЛЕДОВАНИЯ БОЛЬНОГО С РЕНТГЕНОЛОГИЧЕСКИМ СИНДРОМОМ ЛЕГОЧНОЙ ДИССЕМИНАЦИИ

– жалобы; – начало и течение заболевания;
– анамнез;
– данные физикального обследования;
– данные лабораторных исследований;
– рентгенологические данные;
– данные иммунологического исследования;
– данные эндоскопического исследования;
– биопсию и морфологическое исследование биоптата.

6. ДИССЕМИНИРОВАННЫЕ ФОРМЫ ТУБЕРКУЛЕЗА

Милиарный туберкулез – острая форма гематогеннодиссеминирован-ного туберкулеза. Характеризуется
высыпанием мелких «просовидных» («милиос» – просо)
однотипных бугорков одновременно во многих ор-ганах и
тканях, чаще в легких, мозговых оболочках, реже в
почках, се-лезенке, печени.
Клиническая картина
Острое начало
Симптгмы интоксикации (внезапное
повышение температуры тела до высоких
цифр (39–40 °С), нередко с ознобами и бредом,
резкая слабость, головная боль, потливость,
потеря аппетита, адинамия)
Признаки легочной недостаточности (одышка,
цианоз)
Иногда кашель, преимущественно сухой.
Компенсаторная тахикардия.
Физкальные данные
Ослабленное голосовое дрожание
Перкуторный тон с коробочная характером
Ослабленное дыхание, иногда жесткое, на фоне
которого выслушиваются сухие рассеянный
непостоянные хрипы, редко влажные
мелкопузырчатые хрипы.
Лабораторные исследования:
Гемограмма : признаки воспаления, лимфопения
моноцитоз
В мокроте или промывных водах бронхов МБТ
отсутствуют
Данные иммунологического исследования:
Проба Манту отрицательная или сомнительная
(отрицательная анергия

7. Милиарный туберкулез

Рентгенологические данные:
В первые 5-7 дней никаких
отчётливо изменений нет
Через 7-10 дней - густая, тотальная,
двусторонняя, симметричная
диссеминация. Очаги мелкие (1-3
мм), мономорфные, продуктивные,
не сливаются. Крупнососудистый
легочный рисунок обеднен,
деформация мелкого легочного
рисунка по типу нежной мелкой
сетки

8. Подострый диссеминированный туберкулез

Подострый диссеминированный туберкулез
является результатом смешанного
распространения МБТ по кровеносным и
лимфатическим сосудам, а также по бронхам, то
есть он может быть гематогенным, лимфогенным
и смешанным по генезу.
Клиническая картина:
Постепенное начало
Симптомы интоксикации
(субфебрильная температура, которая
в дальнейшем становится
фебрильной, слабость, утомляемость,
ночная потливость, снижение аппетита
и похудание)
жалобы со стороны дыхательной
системы(кашель, сухой или с
мокротой, иногда кровохарканье, а
также боль в грудной клетке, одышка
при физической нагрузке)
Физкальные данные:
плевромышечные симптомы (симптом Воробьева –
Поттенджера)
усиление голосового дрожания и укорочение
перкуторного звука в верхних отделах обоих легочных
полей, над областями наибольшего скопления очагов
при аускультации выслушиваться сухие или влажные
мелкопузырчатые хрипы на фоне жесткого дыхания.
Лабороторные данные:
В гемограмме: умеренные признаки воспаления,
лимфопения и моноцитоз.
В мокроте: обнаруживаются МБТ (При наличии по-лостей
распада)
Иммунологичесие исследования:Туберкулиновые пробы
положительные, нормергические.

9. Подострый диссеминированный туберкулез

Рентгенологическая картина:
двусторонняя, симметричная
либо асимметричная, очаговая диссеминация, с
преимущественной
локализацией очагов в
верхнекортикальных отделах
легких. Очаги разных
размеров, в основном средних
и крупных (от 5 до 10 мм), но
примерно одинаковой
средненизкой интенсивности, с
нечеткими контурами

10. Хронический диссеминированный туберкулез

Хронический диссеминированный туберкулез имеет
волнообразное течение с чередованием периодов
обострений и ремиссий.
Анамнез: нередко выявляется контакт с больным
туберкулезом, выделяющим МБТ или перенесенный
в прошлом туберкулез
Клиническая картина:
постепенное развитие заболевания
умеренные симптомами интоксикации
(субфебрильная температура, слабость,
ночная потливость)
локальные жалобы (кашель, мокрота,
иногда кровохарканье, боль в грудной
клетке и одышка)
Физкальные данные:
притупление перкуторного тона,
влажные хрипы весьма умеренно выражены и определяются
преимущественно в верхних отделах легких
Лабораторные исследования:
В гемограмме: умеренные признаки воспаления, лимфопения,
моноцитоз
В мокроте: МБТ +
Иммунологические исследования: проба Манту положительная,
диаскинтест положительный;
Бронхоскопия:посттуберкулезные или активные тубер-кулезные
изменения в бронхах, катаральные неспецифические бронхиты.

11. Хронические диссеминированный туберкулез

Рентгенологическая
картина:двусторонняя, симметричная
либо несимметричная диссеминация,
преимущественно в верхних
субкортикальных отделах легких.
Число очагов убывает в
апикокаудальном направлении. Очаги
разных размеров, неправильной
формы, с начеткими контурами, с
тенденцией к слиянию. Часто
формируются инфильтраты с
полостями деструкции. Корни, как
правило, не увеличены, могут быть
включения кальция;

12. Саркоидоз

Саркоидоз – доброкачественное системное заболевание неясной
этиологии, сопровождающееся образованием в органах саркоидных
гранулем. Наиболее частая локализация – легкие и лимфатические
узлы средостения.
Клиническая картина:
Начало - бессимптомное (небольшая слабость,
потливость, иногда сухой кашель, дискомфорт за
грудиной. По мере прогрессирования заболевания
иногда может возникать одышка при физической
нагрузке)
У 15–20% острое начало (симптомы интоксикации
:повышение температуры тела, слабость, потливость,
похудание)
триада симптомов: артралгии, узловатая эритема и
увеличение лимфоузлов (ВГЛУ и периферических). Этот
симптомокомплекс получил название синдрома
Лефгрена
Физкальные данные:
увеличенние периферических лимфоузлов.
данные обследования грудной клетки весьма скудны и
не имеют большого дифференциально-диагностического
значения
Лабороторные данные:
В гемограмме:
существенных изменений, как правило, не
определяется.при синдроме Лефгрена может быть
умеренный лей-коцитоз и повышение СОЭ более 20
мм/ч.
нередко отмечаются лимфопения и моноцитоз.
В мокроте: нет МБТ. Отмечается увеличение числа
лимфоцитов в лаважной жидкости
Иммунологические исследования:Реакция Манту чаще
отрицательная или сомнительная
Бронхоскопия:часто (в 30–40% случаев) не выявляет какихлибо изменений в бронхах, отсутствуют признаки сдавления
бронхов даже при выраженной аденопатии. Однако у части
больных можно обнаружить саркоидные бугорки на слизистой
бронхов, а также густую сетку расширенных сосудов

13. Саркоидоз

Ренгенографическая картина:При саркоидозе 2-й
стадии рентгенологическое исследование органов
грудной клетки выявляет двустороннюю симметричную
диссеминацию с преимущественной локализацией очагов
в средненижних отде-лах легких, с наибольшей густотой
очагов в прикорневых зонах (симптом «крыльев
бабочки»). Очаги разных размеров. Появляется усиление
и сетчатая деформация легочного рисунка. Также
отмечается двустороннее, симметричное увеличение
бронхопульмональных лимфоузлов с полициклическими
контурами

14. Очаговая пневмония

Очаговые пневмонии имеют ряд характерных
особенностей
В анамнезе: часто отмечаются вирусные
инфекции и/или переохлаждение.
Клиническая картина:
острое начало и развитие
симптомы интоксикации с по-вышением
температуры тела до 38–38,5 °С, слабость,
познабливание, головная боль и локальные
проявления – кашель сухой или со слизистогнойной мокротой, иногда боль в грудной клетке.
Данные физикального обследования :
укорочение перкуторного тона, жесткое или
бронхиальное дыхание и сухие или влажные
хрипы в зоне поражения.
более ярко и выявляются в средненижних
отделах легких, соответственно типичной
локализации пневмонии.
Лабороторные данные:
Гемограмма: выраженные признаки воспаления:
лейкоцитоз более 12–15 тыс., СОЭ более 40 мм/ч
В мокроте: МБТ нет
Иммунологические исследования:Реакция Манту имеет
гипое.ргический или нормергический характер.
Бронхоскопия:Бронхоскопия выявляет диффузный или
локальный эндобронхит.
Важным звеном в дифференциальной диагностике
пневмонии и туберкулеза является антибактериальная
тест-терапия. Адекватная тера-пия при пневмонии, как
правило, уже через 5–6 дней дает выраженный
клинический эффект, а в течение 2–3 нед –
рассасывание изменений в легких по данным
рентгенологического исследования.

15. Очаговая пневмония

Рентгенологическая картина:наличием
очаговых и инфильтративных теней
преимущественно в средненижних отделах
одного или обоих легких, иногда с большей
густотой в прикорневых отделах. Верхушки в
большинстве случаев не поражаются. Очаги
довольно крупные, с нечеткими контурами,
имеют тенденцию к слиянию и образованию
инфильтратов. Число очаговых и
инфильтративных теней относительно
небольшое. Отмечается усиление легочного
рисунка с обеих сторон за счет
перибронхиальных и сосудистых реакций – так
называемая «гиперемия легких»

16. МЕТАСТАТИЧЕСКОЕ ПОРАЖЕНИЕ ЛЕГКИХ

Анамнез: данные о наличии онкологического
заболевания в прошлом или в настоящее время;
Клиническая картина: ведущими симптомами
которой являются интоксикация (слабость,
снижение массы тела), упорный сухой
мучительный кашель и прогрессирующая одышка;
отмечается неуклонное ухудшение состояния
больного, несмотря на проводимое лечение;
Физкальные данные:при осмотре обращает на
себя внимание бледносерый оттенок кожных
покровов, истощение; выявляет укорочение
перкуторного тона, жесткое дыхание и влажные
хрипы в нижних отделах легких;
Лабороторные данные:
Гемограмма: анемия, выраженный
лейкоцитоз и значительное повышение
СОЭ, увеличение уровня фибриногена.
В мокроте: МБТ не определяются, можно
выявить опухолевые клетки;
Иммунологические исследования:
отрицательная проба манту,
серологические пробы на
противотуберкулезные антитела также
отрицательные;

17. Метастатические поражения легких

рентгенологическое исследование:
двусторонняя симметричная очаговая
диссеминация с преимущественной
локализаци-ей очагов в средненижних отделах
легких. Количество и размеры оча-гов
увеличиваются в апико-каудальном
направлении (симптом Ленка).
Очаги имеют более округлую форму, с
довольно четкими контурами, не сливаются
между собой (симптом «рассыпанных монет»).
Размеры оча-гов при карциноматозе от 0,3 до
1,0 см, размеры фокусов при множест-венных
узловатых метастазах могут достигать
нескольких сантиметров.
Характерными признаками карциноматоза
являются плевральный вы-пот и увеличение
лимфоузлов в корнях легких и средостения.

18. “ЗАСТОЙНОЕ ЛЕГКОЕ»

Анамнез: ИБС, пороки сердца, миокардиты и
другие
Клиническая картина: Течение заболевания
хроническое, преобладают жалобы на боль в
области сердца, сердцебиение, одышку при
физической нагрузке. Симптомы интоксикации
отсутствуют
Физикальные данные:часто конституция
гиперстеника, что не характерно для больного
туберкулезом, отмечается цианоз кожных
покровов, может быть увеличение размеров
печени, отеки стоп и голеней. При обследовании
грудной клетки, кроме притупления перкуторного
тона, в нижних отделах обоих легких
выслушиваются звучные влажные «застойные»
хрипы, нередко выявляются шумы в сердце
Лабороторные данные:
Гемограмма: практически без изменений.
В мокроте МБТ отсутствуют.
Иммунологические
исследования:Пробы Манту
нормергические.

19. “Застойное легкое”

Рентгенологически выявляются множественные
очаговоподобные тени в средненижних отделах обоих легких,
расположенные большей частью симметрично в обоих легких
на фоне усиленного тяжистого и крупносетчатого
деформированного легочного рисунка. Очаги располагаются
гуще в медиальных прикорневых и базальных участках
легочных полей. Корни легких массивны, расширены за счет
переполнения сосудов кровью. Размеры сердца увеличены
влево

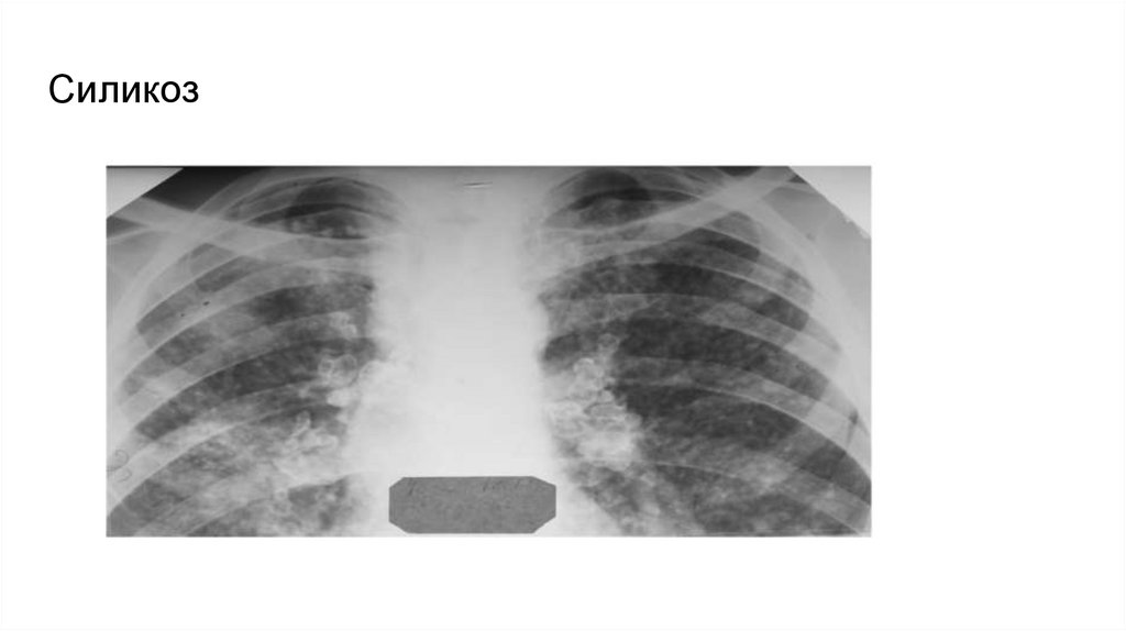
20. СИЛИКОЗ

профессиональный анамнез; к пылеопасным профессиям относят-ся специальности в горнорудной отрасли (проходчики,
забойщики и др.), литейной промышленности (формовщики, пескоструйщики и др.) и фарфоро-фаянсового производства;
незаметное начало заболевания, длительное бессимптомное тече-ние, отставание клинической картины от
рентгенологических измене-ний в легких на годы
отсутствие симптомов интоксикации (нормальная температура тела) и нормальные показатели крови, а также отсутствие МБТ
в мокроте;
рентгенологически: локализация диссеминации и фиброзных изменений преимущественно в средненижних отделах легких;
более мономорфный (однотипный) характер узелков при силикозе, которые имеют примерно одинаковые мелкие и средние
размеры (до 5 мм), бо-лее высокую интенсивность и очерченность, чем очаги при туберкулезе; изменения в корнях легких по
типу «яичной скорлупы»

21. Силикоз

English     Русский Rules