ФГБОУ ВО ЮУГМУ Минздрава России Кафедра гистологии, цитологии и эмбриологии
Ткани внутренней среды организма
Нормальные показатели гемограммы
Лейкоцитарная формула – это процентное соотношение различных форм лейкоцитов к общему числу лейкоцитов
Эритроциты
Красный цвет крови придает гемоглобин, содержащийся в эритроцитах.
Лейкоциты
Виды лейкоцитов
Гранулоцит
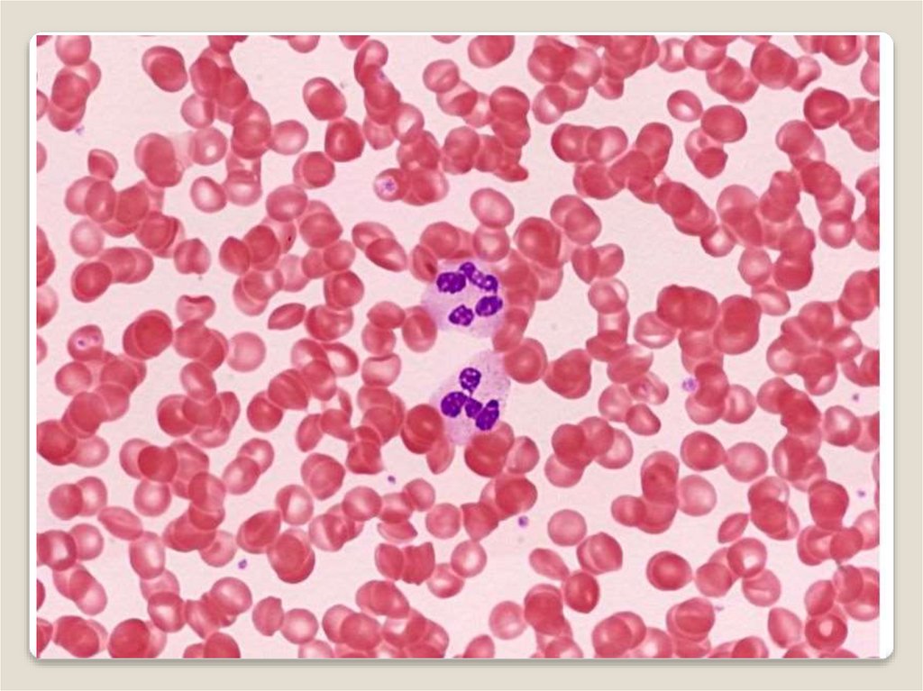
Сегментоядерный нейтрофил
Палочкоядерный нейтрофил
Эозинофил
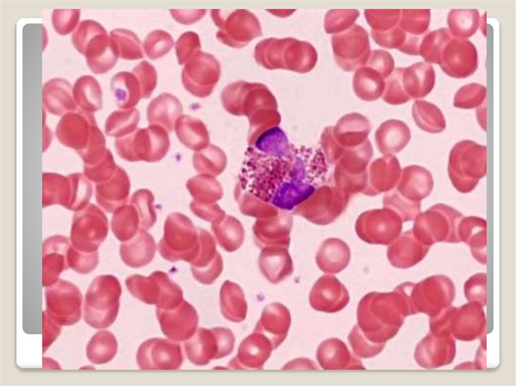
Базофил
Малый лимфоцит
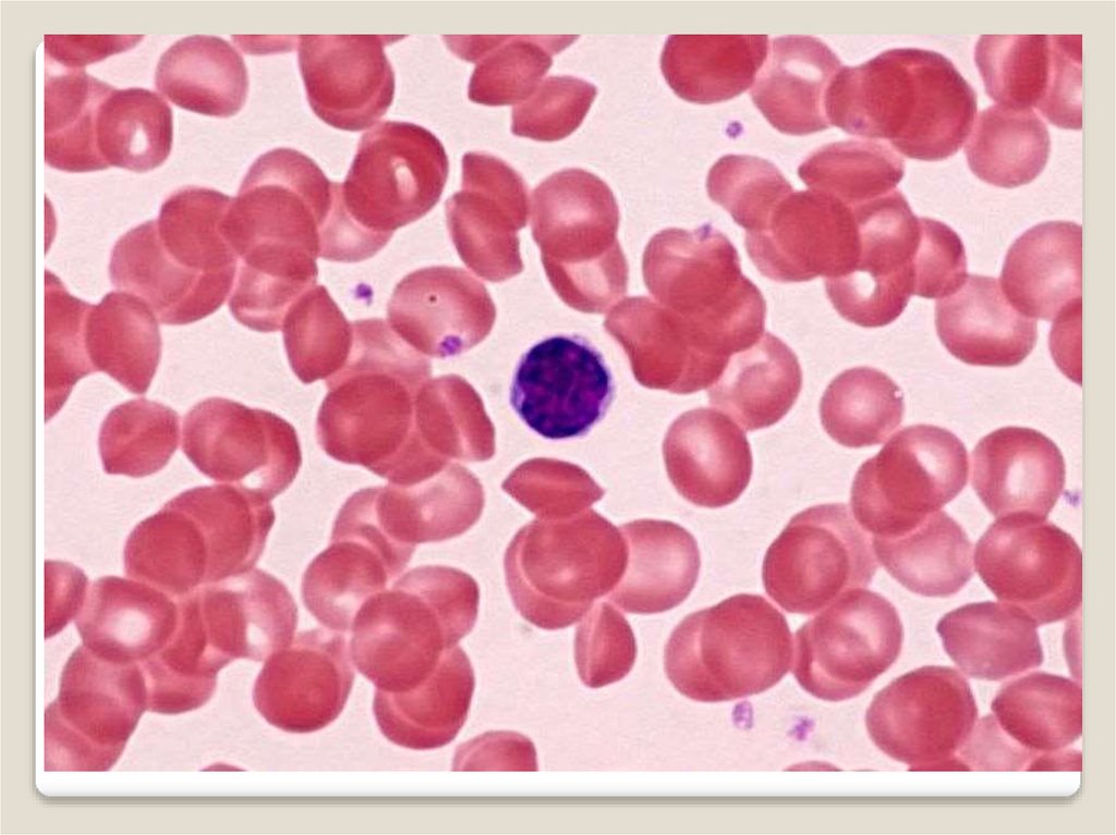
Средний лимфоцит
Механизм гуморального иммунного ответа
Моноцит
Тромбоциты
Тромб
Контроль
3.88M
Category: medicinemedicine

Ткани внутренней среды. Кровь. Практическое занятие

1. ФГБОУ ВО ЮУГМУ Минздрава России Кафедра гистологии, цитологии и эмбриологии

Практическое занятие
Тема: Ткани внутренней среды. Кровь

2. Ткани внутренней среды организма

А)кровь и лимфа
Б) соединительные ткани
В)хрящевые и костные
Ткани внутренней среды
организма

3.

4. Нормальные показатели гемограммы

Эритроциты:
у мужчин – 3,9-5,5 ×1012/литр
у женщин – 3,5-4,9 ×1012/литр
Ретикулоциты – 2-15 ‰ (промилле)
Лейкоциты – 4-9 ×109/литр
Тромбоциты – 150-350 ×1012/литр
Гемоглобин:
у мужчин – 130-160 г/л
у женщин – 3,5 г/л
Цветовой показатель – 0,86-1,05 ед
Нормальные показатели
гемограммы

5. Лейкоцитарная формула – это процентное соотношение различных форм лейкоцитов к общему числу лейкоцитов

Лейкоциты – 4-9 ×109/литр (100%)
Нейтрофилы – 55-75%
Юные нейтрофилы – 0-0,5 %
Палочкоядерные нейтрофилы – 2-5%
Сегментоядерные - 55-65 %
Эозинофилы – 2-5%
Базофилы – 0,5-1%
Моноциты – 5-8 %
Лимфоциты – 20-35%
В-лимфоциты – 20-25%
Т-лимфоциты – 70-75%
Лейкоцитарная формула – это процентное
соотношение различных форм лейкоцитов к
общему числу лейкоцитов

6.

Рис.: Форменные
элементы крови
человека в мазке:
1 – эритроцит,
2 – тромбоциты
(кровяные
пластинки).
3 – сегментоядерный
нейтрофильный
гранулоцит,
4 – палочкоядерный
нейтрофильный
гранулоцит,
5 – средний лимфоцит
6 – базофильный
гранулоцит,
7 – эозинофильный
гранулоцит
8 – малый лимфоцит,
9 – моноцит

7. Эритроциты

8.

9. Красный цвет крови придает гемоглобин, содержащийся в эритроцитах.

Гемоглобин является
сложным белком,
состоящим из белка
глобина и четырех
молекул небелковой
группы – гема. Гем имеет
в своем составе атом
железа, способный
присоединять или
отдавать молекулу
кислорода
Красный цвет крови придает
гемоглобин, содержащийся в
эритроцитах.

10.

11.

Стоматоциты
Эхиноциты
Сфероциты

12. Лейкоциты

13.

Признаки сравнения
Лейкоциты
1. Форма
Форма различна. Ядерные клетки, способные к
активному
перемещению.
Подразделяются
на
гранулоциты (эозинофилы, базофилы и нейтрофилы)
и агранулоциты (лимфоциты и моноциты)
2. Место образования
Красный костный мозг, селезенка, лимфатические
узлы
3. Продолжительность
жизни
от 1 дня до нескольких лет
4.Функции
1.
2.
Защитная функция
Иммунная функция
3.
Секреция БАВ

14. Виды лейкоцитов

15. Гранулоцит

Размеры гранулоцитов таковы:
нейтрофилы – 8-10 мкм, базофилы – 810 мкм, эозинофилы – 10-12мкм.
При это гранулоциты имеют два
характерных признака:
-специфическую зернистость в
цитоплазме(чем и обусловлено их
название);
-а также обычно сегментированное ядро.
Гранулоцит

16.

17. Сегментоядерный нейтрофил

18. Палочкоядерный нейтрофил

19. Эозинофил

20. Базофил

21. Малый лимфоцит

22. Средний лимфоцит

23.

24. Механизм гуморального иммунного ответа

25. Моноцит

26. Тромбоциты

27. Тромб

28.

29.

30. Контроль

English     Русский Rules