Основные понятия
Антиген (АГ) (от antigen = antibody-generating
Строение молекулы антитела
Антитела (AT)
Лимфоциты
Лимфоциты
Т-лимфоциты (тимус-зависимые)
Т-лимфоциты
В-лимфоциты (бурсо-зависимые).
В-лимфоциты
Макрофаги
Нк-клетки (натуральные киллеры)
Иммунный ответ
Клеточный иммунитет
Клеточный иммунитет
а. Перфорин представляет собой особый протеин. В гранулах цитотоксических лимфоцитах он находится в виде растворимого
Гуморальный иммунитет
Гуморальный иммунитет
Лимфоцитопоэз
Вилочковая железа , или тимус
Развитие тимуса
Развитие тимуса
Тимус
T-лимфоциты, проходящие антигеннезависимую дифференцировку (тимоциты)
Гематотимусный барьер
Возрастная инволюция тимуса
6.91M
Category: medicinemedicine

Иммунная система

1.

Тема лекции:

2.

Иммунная система
Совокупность
органов,
тканей
и
клеток,
обеспечивающая иммунитет – защиту организма
от живых тел и веществ, несущих на себе
признаки генетически отличной, чем у данного
организма (чужеродной), информации.

3.

Функции иммунной системы:
1) кроветворная;
2) кроверазрушающая;
3) интегративная и регуляторная;
4) поддержание иммунного гомеостаза;
5) барьерно-защитная;
6)
регуляция деления
регенерации тканей.
и
апоптоза
клеток,

4.

Органы иммунной системы делятся на:
центральные
периферические
- красный костный мозг,
- тимус
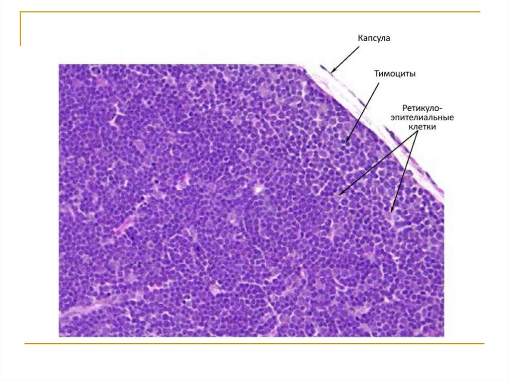
железа)
- лимфатические узлы,
- селезенка,
(вилочковая - гемолимфатические узлы
- лимфоидные структуры слизистых
оболочек пищеварительного тракта,
половой,
дыхательной
и
выделительной систем
В
центральных
органах В периферических органах происходит
лимфоциты
проходят антигензависимая дифференцировка
антигеннезависимую
после встречи с антигеном.
дифференцировку,
т.е.
приобретают рецепторы для
встречи с антигеном.

5.

Иммунокомпетентные
(иммуноциты)
иммунном

ответе
клетки
клетки,
(Т-
участвующие
и
в
В-лимфоциты,
макрофаги).
Иммунный ответ – совокупность процессов,
происходящих в иммунной системе в ответ на
введение антигена.

6. Основные понятия

Комплемент – группа белков (в сыворотке крови), которая
активизируется при связывании антитела с антигеном,
Приводит к образованию опсонинов, которые облегчают
фагоцитоз и лизис.
На всех клетках имеются антигены гистосовместимости
(МНС - major histocompatibility complex – главный комплекс
гистосовместимости) - гликопротеины, рецепторы, имеются на
всех клетках, узнаются Тц
МНС I – присутствует на поверхности всех ядросодержащих
клеток, презентует пептидные фрагменты собственных белков
для Т-киллеров;
МНС II – присутствует на поверхности макрофагов, дендритных
клеток, В-клеток и презентует чужеродные пептиды для Тхелперов, инициируя приобретенный иммунитет.

7.

Иммунитет
– это способность организма распознавать и
обезвреживать
носителей
генетической информации.
чужеродной

8. Антиген (АГ) (от antigen = antibody-generating

- чужеродные вещества сложной органической
природы, способные при попадании в организм
вызвать иммунные реакции (бактерии, вирусы,
паразиты, мутировавшие собственные клетки,
трансплантаты).

9.

Антигены могут проникать в организм:
1) через дыхательные пути (воздушно-капельная
инфекция);
2) через ЖКТ (кишечные инфекции);
3) через неповрежденную и особенно через
поврежденную кожу;
4) через слизистые оболочки глаз, носа;
5) через слизистые мочеполовых путей;
6) через кровь.
Место проникновения возбудителя в организм
называется входными воротами инфекции.

10.

Антитела (АТ)
-
вещества
белковой
(иммуноглобулины),
которые
природы
образуются
в
организме в ответ на антигены, и специфически
взаимодействуя
с
ними,
уничтожают
обеспечивая гуморальный иммунитет.
их,

11.

Антитела
образуются
плазмоцитами
и
обладают специфичностью к антигенам, т.е.
связываются только с тем антигеном, на
который выработались.
Есть несколько классов иммуноглобулинов:
Ig G, IgM, IgA, IgE, IgD.

12. Строение молекулы антитела

Вариабельные области на концах:
Fab-фрагменты – антигенсвязывающие
Постоянные области:
Fc-фрагмент -связывают компоненты комплемента (рецепторы)

13. Антитела (AT)

Ig G — преобладающий класс AT , производится в
больших количествах при вторичном иммунном ответе
и защищает ткани от бактерий, вирусов и токсинов.
Циркулирует в крови и лимфе.
Ig A — обнаруживается в секретах желез (пот, слезы,
слизь, молоко, вагинальный и простатический секреты),
в слизистых оболочках, в лимфатических узлах и
селезенке.
Уровень
Ig
А
повышается
при
респираторных и кишечных инфекциях.
Ig M — находится внутри сосудов и синтезируется
плазмоцитами при первичном попадании антигена в
организм.
Ig D — является маркером В-лимфоцитов, опосредует
их созревание и специализацию.
Ig Е — взаимодействует с тучными клетками и
базофилами при действии аллергенов (пыльца
растений,
пчелиный
яд
и
др.),
моделируя
аллергическую реакцию.

14.

15. Лимфоциты

главные
клетки
иммунной
отвечают
за
специфичность
ее
системы,
и
которые
сохранение
иммунной памяти.
Лимфоциты
относятся
к
классу
лейкоцитов
составляют 20-35% от их общего числа.
и

16. Лимфоциты

Различают три основных вида:
Т-лимфоциты,
В-лимфоциты,
NK-клетки, или натуральные киллеры

17. Т-лимфоциты (тимус-зависимые)

самые многочисленные (70-90%) и долгоживущие.
Образовавшись в ККМ из стволовых клеток, они
мигрируют в тимус, где созревают и приобретают
иммунологические свойства.
Из тимуса лимфоциты попадают в кровоток и
заселяют специальные «Т-зоны» в лимфатических
узлах, селезенке, а также образуют скопления в других
органах организма.

18. Т-лимфоциты

Т-лимфоциты

это
клетки,
отвечающие
клеточный и гуморальный иммунный ответ.
Среди Т-лимфоцитов выделяют виды клеток:
1) Цитотоксическая Т-клетка (Тц), или Т-киллеры (Тк)
2) Т-хелперы (Тх)
3) Т-супрессоры (Тс)
4) Т-клетки памяти
за

19.

Т-киллеры (их еще называют CD8+ Т-лимфоциты),
которые подобно NK-клетке (натуральному киллеру),
выделяет белки перфорин и гранзим, что приводит к
лизису клетки-мишени.
Т-хелперы (от английского helper – помощник). Они
еще обозначаются как Th-клетки, CD4+ T-лимфоциты.
Активированные Т-хелперы продуцируют хемокины и
цитокины, участвующие в иммунном процессе.
Т-супрессоры (Ts) подавляют (супрессируют) реакции
В-лимфоцитов
и
блокируют
Т-хелперы.
Они
регулируют силу иммунного ответа, что позволяет
иммунной системе сдержанно и с умеренной силой
отвечать на раздражители.

20.

• Т-киллеры - участвуют в клеточном иммунном ответе
(уничтожает
чужеродные,
а
также
собственные
мутировавшие или пораженные вирусом клетки).
• Т-хелперы (Th, от англ. help – помогать) участвуют в
регуляции клеточного и гуморального иммунного ответа
путем
секреции
биологически
активных
веществ

цитокинов (интерлейкинов, интерферона), которые влияют
на пролиферацию и дифференцировку других лимфоцитов.

21.

• Т-супрессоры (Ts, от англ. suppress – подавлять) –
подавляют активность других клеток иммунной системы,
останавливают развитие иммунного ответа посредством
секреции цитокинов (подавляется пролиферация В-
лимфоцитов и синтез антител).
•Т-клетки памяти (Tm, от англ. memory – память) –
долгоживущие
клетки,
которые
формируются после
первой встречи с антигенами – первичного иммунного
ответа.

22. В-лимфоциты (бурсо-зависимые).

В крови количество В-лимфоцитов составляет
10-30%. Среди них преобладают короткоживущие
клетки.
В ходе развития В-лимфоциты трансформируются
в плазмоциты, которые вырабатывают антитела,
осуществляя гуморальный иммунитет.

23. В-лимфоциты

В-лимфоциты – из СКК в В-зоны периферических органов,
эффекторные – плазматические клетки.
Электронная микрофотография
плазмоцита
Плазмоциты производят антитела. Антитела называют иммуноглобулинами. Каждое
антитело выполняет определенную работу, чтобы защитить нас от микробов.

24. Макрофаги

фундаментальная
роль
макрофагов

представление антигенов лимфоцитам. Без
этой
функции
невозможно
специфическое
распознавание чужеродного антигена.
Производят ряд медиаторов иммунных реакций
(простагландины, интерлейкины и др.) и обладают
способностью свободно перемещаться в организме.

25. Нк-клетки (натуральные киллеры)

составляют 15% от всех лимфоцитов.
Нк – это большие лимфоциты (12-15 мкм), имеют
дольчатое ядро и лизосомы в цитоплазме.
Образуют первую линию защиты.
Они
уничтожают
опухолевые
инфицированные вирусами клетки.
клетки
и

26. Иммунный ответ

По
типу
взаимодействия
клеток
и
образовавшихся клеток-эффекторов принято
различать:
1)
клеточный
иммунный
ответ
эффекторные клетки –Тц (Т-киллеры)
2) гуморальный иммунный ответ –
эффекторные клетки - плазмоциты

27. Клеточный иммунитет

осуществляется
Т-киллерами
(эффекторные
клетки), которые напрямую взаимодействуют с
антигенами.
Клеточный
иммунитет
формируется
при
трансплантации органов и тканей, инфицировании
вирусами, злокачественном опухолевом росте.

28. Клеточный иммунитет

Распознавая
антиген,
Т-киллеры
вступают
в
тесный контакт с ним и выделяют специфические
медиаторы (перфорин, цитолизин и др.).
Целостность
«мишеней»
(антигенов)
повреждается, происходит их разрыв и гибель.
Т-киллеры сохраняются и способны к дальнейшему
действию.

29. а. Перфорин представляет собой особый протеин. В гранулах цитотоксических лимфоцитах он находится в виде растворимого

Осмотический лизис клетки-мишени как результат воздействия
на нее перфоринов, синтезированных цитотоксическими
лимфоцитами
а. Перфорин представляет собой особый протеин. В гранулах
цитотоксических лимфоцитах он находится в виде растворимого белкапредшественника.
б. Будучи секретирован Т-киллером, перфорин в течение нескольких секунд
полимеризуется в мембране клетки-мишени с образованием поры.
В результате клетка-мишень разрушается в результате осмотического лизиса.

30. Гуморальный иммунитет

- Это
защита от растворенных во внутренней среде
антигенов (АГ): продуктов жизнедеятельности бактерий,
метаболитов,
аллергенов,
токсинов,
от
введенных
ответе
лимфоциты
чужеродных сывороточных белков.
- При
гуморальном
иммунном
секретируют иммунные белки – иммуноглобулины (Ig),
или антитела (АТ).
-АТ связываются с АГ и нейтрализуют их.

31. Гуморальный иммунитет

осуществляется по принципу трехклеточной системы
кооперации:
макрофаг — Т-хелпер — В-лимфоцит (плазмоцит).

32.

Первой клеткой, вступающей во взаимодействие с
антигеном является макрофаг.
Макрофаг «разбирает» антигены на отдельные «блоки»
и «выставляет» их на своей поверхности, которые
распознают
Т-хелперы,
а
те,
в
свою
очередь,
активируют В-лимфоциты.
Плазмоциты
(эффекторные
клетки)
секретируют
антитела (Ig), которые связываются с антигенами и
уничтожают их.

33.

В
процессе
образуются
гуморального
клетки
памяти,
иммунного
ответа
которые
помогают
организму противостоять при повторном заражении
теми же микроорганизмами.
Т-супрессоры контролируют активность Т-хелперов.

34.

35.

36. Лимфоцитопоэз

включает два этапа:
1)
АнтигенНЕзависимая
пролиферация
и
дифференцировка лимфоцитов в тимусе и
красном костном мозге;
2)
Антигензависимая
пролиферация
и
дифференцировка лимфоцитов при встрече с
антигенами в периферической лимфоидной
ткани.

37.

ЦЕНТРАЛЬНЫЕ ОРГАНЫ КРОВЕТВОРЕНИЯ
Антигеннезависимая дифференцировка и
пролиферация Т и В лимфоцитов
(встреча с антигеном исключается)
1 — красный костный мозг
(в губчатом веществе плоских костей и эпифизах
трубчатых костей; до 12—18 лет — также в диафизах
трубчатых костей)
2 — тимус (вилочковая, или зобная, железа).

38.

ПЕРИФЕРИЧЕСКИЕ ОРГАНЫ КРОВЕТВОРЕНИЯ
Антигензависимая дифференцировка и
пролиферация Т и В лимфоцитов
(только после встречи с антигеном)
1. Лимфоидная ткань слизистых оболочек.
а) Глоточное лимфоидное кольцо (кольцо Пирогова)
б) в стенке тонкой кишки
в) в стенке червеобразного отростка
г)
в
стенке
воздухоносных
путей

бронхоассоциированная лимфоидная ткань.
2. Лимфатические узлы
3. Селезенка

39.

АнтигенНЕзависимый лимфоцитопоэз
антигенНЕзависимая
пролиферация
и
дифференцировка происходит в центральных
органах
иммунитета:
Т-
лимфоцитов
в
тимусе под действием гормона тимозина и Влимфоцитов в красном костном мозге.

40.

Антигензависимый лимфоцитопоэз
антигензависимая
пролиферация
и
дифференцировка Т- и В-лимфоцитов происходит
при
встрече
органах
с
антигенами
иммунитета,
при
в
периферических
этом
образуются
эффекторные клетки:
из Т-лимфоцитов
Тц, Тх, Тс, Т-лимфоциты памяти
из В-лимфоцитов
плазматические клетки, В-
лимфоциты памяти

41.

42.

ОСОБЕННОСТИ СТРОЕНИЯ КРОВЕТВОРНЫХ
ОРГАНОВ
ГЕМОПОЭТИЧЕСКИЙ КОМПОНЕНТ
Развивающиеся форменные элементы крови
МИЕЛОИДНАЯ ТКАНЬ:
- эритроциты,
- тромбоциты,
- гранулоциты,
- моноциты
ЛИМФОИДНАЯ ТКАНЬ
- лимфоциты

43.

СТРОМАЛЬНЫЙ КОМПОНЕНТ
-
РВСТ
макрофаги
антигенпрезентирующие клетки
адипоциты
ретикулярная ткань
(эпителиоретикулярная ткань - тимус)
СОСУДИСТЫЙ КОМПОНЕНТ
-
кровеносные сосуды (артерии и вены)
соматические гемокапилляры
синусоидные гемокапилляры
венозные синусы (посткапиллярные венулы)
посткапиллярные венулы с высоким
эндотелием

44.

Красный костный мозг
имеет темно-красный цвет и полужидкую консистенцию.
Заполняет губчатое вещество плоских и трубчатых
костей.
Общая масса органа составляет ~ 5 % от массы тела
человека.
Стромой ККМ является ретикулярная ткань.

45.

Функции ККМ
В
ККМ
происходят
все
стадии
созревания
форменных
элементов
крови:
эритроцитов,
гранулоцитов,
моноцитов,
тромбоцитов
и
В-
лимфоцитов; также образуются предшественники Тлимфоцитов.
Осуществляется
антигенНЕзависимая
пролиферация и дифференцировка В-лимфоцитов.

46.

Стромальный компонент ККМ
Ретикулярные клетки:
• опорная функция (образуют 3-х мерную сеть, в петлях которой
развиваются форменные элементы)
• синтезируют ретикулярные волокна (коллаген III типа) и компоненты
основного аморфного вещества;
• синтезируют ростовые факторы, регулирующие процесс
кроветворения.
Адвентициальные клетки:
• покрывают 50% капилляров, сокращаясь, облегчают поступление
форменных элементов в кровоток
Эндотелиоциты капилляров:
• выделяют ростовые факторы.
Адипоциты:
• отвечают за энергообеспечение кроветворения.
Макрофаги:
• поглощают чужеродные и погибающие клетки;
• выделяют ростовые факторы;
• клетки-кормилки снабжают развивающиеся эритроциты Fe
(захватывая из кровотока ферритин).

47.

Сосудистый компонент ККМ
включает как обычные сосуды микроциркуляторного
русла, так и синусоидные кровеносные капилляры.
Капилляры очень широкие, что обеспечивает замедление
кровотока.
Эндотелиоциты с фенестрами, в местах соединения
имеют щели, базальная мембрана не сплошная.
Через эти промежутки в кровь проникают созревшие
форменные элементы.
Из синусов кровь собирается в центральную венулу.

48.

Гемопоэтический компонент
Развивающиеся форменные элементы размещаются
островками
Эритропоэтический островок:
• развивающиеся эритроциты располагаются вокруг
клетки-кормилки
Гранулоцитопоэтический островок:
• гранулоциты находятся по периферии костномозговой
полости
Мегакариобласты и мегакариоциты:
• находятся рядом с капилляром, часть цитоплазмы
мегакариоцита проникает в капилляр, постепенно
отделяется и в виде кровяной пластинки (тромбоцита)
попадает в кровяное русло.
Лимфоциты и моноциты:
• развиваются вблизи сосуда.

49.

Красный костный мозг

50. Вилочковая железа , или тимус

располагается в грудной полости в области
переднего средостения над сердцем.
Состоит из 2 долей в виде буквы «V», откуда
произошло второе название органа —
вилочковая железа.

51.

Развитие тимуса. Схема

52. Развитие тимуса

53. Развитие тимуса

54.

Функции тимуса:
1)
антигенНЕзависимая
дифференцировка
Т-
лимфоцитов;
2)
эндокринная

ретикулоэпителиоциты
вырабатывают тимозин, тимопоэтин, тимулин.

55.

Строение тимуса
Тимус - паренхиматозный дольчатый орган.
Покрыт соединительнотканной капсулой.
Разделен на дольки: в каждой дольке выделяют
корковое и мозговое вещество.
Строму
состоящая
образует
эпителиальная
ткань,
отростчатых
клеток
из
(эпителиоретикулоциты)

56. Тимус

1
2
4
1
1
3
1
1 – дольки; 2 - междольковая соединительная ткань (септы); 3 - корковое вещество;
4 - мозговое вещество

57.

Тимус
1 - капсула;
2 - междольковая
соединительная ткань;
3 - долька:
3.1 - корковое вещество,
3.2 - мозговое вещество,
3.2.1 - тельца Гассаля,
3.2.2 - кровеносные сосуды

58.

Долька тимуса
корковое вещество
мозговое вещество

59.

Виды эпителиоретикулоцитов:
1) Опорные клетки – составляют каркас коркового
вещества.
Окружают
сосуды
и
участвуют
в
формировании гематотимусного барьера.
2) Секреторные клетки – продуцируют тимопоэтин,
тимозин и тимулин.
3) Клетки-няньки - выполняют трофическую функцию –
имеют в своей цитоплазме глубокие инвагинации, в
которых одновременно развиваются 10-20 Т-лимфоцитов.

60.

61.

Микрофотография коркового вещества тимуса. Стрелками показаны
ядра стромальных клеток – эпителиоретикулоцитов.
Окраска гематоксилином-эозином.

62.

Корковое вещество
состоит из 2 зон: 1) субкапсулярной, или наружной
2) зоны глубокой коры.
В субкапсулярную зону из ККМ поступают пре-Тлимфоциты.
Они
под
воздействием
подвергаются
- бласттрансформации,
- пролиферации
- антигеннезависимой дифференцировке.
тимозина

63.

Бласттрансформация

это
преобразование
предшественников Т-лимфоцитов в Т-лимфобласты.
Пролиферация

это
размножение
Т-
лимфобластов при помощи митоза.
Антигеннезависимая дифференцировка – это
дифференцировка
антигена.
Т-лимфоцитов
без
участия

64. T-лимфоциты, проходящие антигеннезависимую дифференцировку (тимоциты)

В ходе развития Т-лимфоциты проходят селекцию
(отбраковку).
1. Положительная селекция (отбраковывается до 95%
тимоцитов).
2. Отрицательная (отбраковываются те лимфоциты,
которые имеют рецепторы против собственных клеток
организма).
Не прошедшие отбор тимоциты гибнут с помощью
апоптоза, либо фагоцитируются макрофагами или с
участием Т-супрессоров.

65. Гематотимусный барьер

оберегает
созревающие
лимфоциты
от
контакта
с
антигенами, находящимися в кровотоке.
В состав гематотимусного барьера входят:
эндотелий
капилляров
с
непрерывной
базальной
мембраной,
периваскулярное пространство,
опорные эпителиоретикулоциты плоской формы и их
базальная мембрана.

66.

Мозговое вещество
Располагается в центре дольки, более светлое.
Содержит
соединительнотканную
строму,
ретикулоэпителиальную основу и лимфоциты (35% от всех лимфоцитов тимуса).
Концентрические (слоистые) тельца Гассаля –
образованы
наслоенными
эпителиоцитами.
друг
на
друга

67.

Мозговое вещество
Лимфоциты
возвращаться
могут
в
циркулировать
мозговое
по
организму
вещество
и
тимуса
(рециркулирующий пул лимфоцитов).
В
мозговом
веществе
присутствуют
макрофаги
и
дендритные клетки.
Здесь
происходит
дальнейшая
дифференцировка
тимоцитов (отрицательная селекция).
Прошедшие дифференцировку Т лимфоциты поступают
в посткапиллярые венулы на границе коркового и
мозгового вещества.

68.

Тельце Гассаля в мозговом веществе
В мозговом веществе
содержатся:
1 — рециркулирующие Тлимфоциты (попадают в тимус
повторно из крови);
2 — ретикулоэпителиальные
клетки: опорные и секреторные;
3
3 — тельца Гассаля, или слоистые
эпителиальные тельца
(концентрические наслоения
эпителиоретикулоцитов).
Периодически фагоцитируются макрофагами. Секретируют цитокины.

69. Возрастная инволюция тимуса

после 20 лет происходит уменьшение размера
тимуса, его обратное развитие (инволюция).
В
органе уменьшается число лимфоцитов,
лимфоидная ткань замещается жировой.

70.

Акцидентальная (случайная) инволюция
Установлено, что самые различные стрессовые
воздействия приводят к тому, что масса тимуса
уменьшается.
Происходит массовая гибель лимфоцитов.
После
окончания
стресс-факторов
тимуса вновь восстанавливается.
структура

71.

Из тимуса и ККМ
выходят наивные
(девственные) Т-и В –
лимфоциты, они
готовы к встрече с
антигеном.
Мигрируют из
центральных органов
кроветворения в
периферические

72.

Спасибо за внимание
English     Русский Rules