Кровь
Кровь состоит из:
Плазма крови
Гематокрит
Форменные элементы крови
Гемоглобин Hb
Норма гемоглобина Hb
Норма эритроцитов Er
Скорость оседания эритроцитов СОЭ
СОЭ увеличивается
Функции эритроцитов Er
Эритроцитоз ↑ в крови:
Эритропения ↓
Соединения с гемоглобином
Лейкоциты
Лейкоциты L
Лейкоциты L
Норма лейкоцитов L
Гранулоциты
Функция нейтрофилов
Эозинофилы
Функция Эозинофилов
Базофилы
Функции Базофилов
Агранулоциты
Лимфоциты
Т-лимфоциты
Функции лимфоцитов
Моноциты
Функции моноцитов
Лейкоцитарная формула
Лейкоцитоз ↑
Тромбоциты
Тромбоциты Tr
Тромбоциты Tr
Норма тромбоцитов Tr
Функции тромбоцитов Tr
Функции:
Функции крови
Функции крови
Функции крови
Функции крови
Функции крови
Функции крови
Функции крови
Гемопоэз
Гемопоэз
Гемопоэз
Гемопоэз
Основные физико-химические свойства крови
Лимфа
Домашнее задание
15.60M
Category: medicinemedicine

Лекция 23 Анатомия (1)

1.

Анатомия и
физиология.
Тема 23.
Понятие о
внутренней
среде
организма.
Кровь и
лимфа.
Основные
показатели
крови
1

2.

Система крови человека состоит из
• собственно крови,
• органов образования и разрушения крови - костный мозг, лимфоузлы, вилочковая железа, селезенка,
печень.
• Созревание и дифференциация клеток крови происходит в костном мозге. В нем есть стволовые клетки, из которых происходит развитие
остальных кровяных телец: эритроцитов, лейкоцитов и тромбоцитов. Затем уже эти зрелые клетки выходят в сосудистое русло и
продолжают свое существование соответственно жизненному циклу.
Сама же кровь –это жидкая соединительная ткань, состоящая
• из клеток (форменных элементов) и
• межклеточного вещества (плазмы)
Иначе говоря, кровь – это смесь жидкой части (плазмы) и кровяных телец (форменные элементы
или клетки крови)
2

3.

3

4.

Плазма
(межклеточное вещество)
Плазма крови, лишенная
фибриногена называется
сывороткой
Форменные элементы:
эритроциты, лейкоциты,
тромбоциты

5. Кровь

это жидкая соединительная ткань, состоящая из
• клеток (форменных элементов) и
• межклеточного вещества (плазмы)

6.

Жидкий орган, который расположен по всему организму.
Общее количество крови в организме взрослого человека составляет в
среднем 6 – 8% от массы тела. Около 5 - 6 литров.
• 50% циркулирует по кровеносным сосудам,
• 50% находится в депо – селезенка, печень, кожа

7. Кровь состоит из:

Плазмы ( 55-60%):
1) Вода 90%
Форменных элементов ( 40-45%):
1) Эритроциты ( красная кровь)
2) Органические вещества 9,1%
• Белки –
1. альбумины,
2. глобулины,
3. фибриноген
• Небелковые –
1. мочевина,
2. глюкоза
3) Неорганические вещества 0,9%
Соли металлов (Na, Ca, K и др.)
2) Лейкоциты ( белая кровь)
• Зернистые/ гранулоциты:
Эозинофилы
Нейтрофилы:
• юные,
• палочкоядерные,
• Сегментоядерные
Базофилы
• Незернистые/агранулоциты:
Лимфоциты
Моноциты
3)Тромбоциты

8.

04.07.2025
8

9.

04.07.2025
9

10.

• Мочевина – один из конечных продуктов белкового метаболизма (образуется при распаде (катаболизме) белков), содержащий
азот.
Она синтезируется в печени из аммика (аммиак — ядовитое для человека вещество, результат катаболизма белков ,конечный
продукт обмена белков в организме человека. 60% аммиака образуется в печени, часть – в мышцах конечностей при
физической нагрузке и в тонкой кишке в процессе метаболизма, кроме того микрофлора толстой кишки разлагает белок и
мочевину, вследствие чего также образуется аммиак. Аммиак – продукт обмена в человеческом организме белков и
аминокислот. Этот обмен происходит непрерывно), для его обезвреживания, переносится кровью в почки, там фильтруется
через сосудистый клубочек, а затем выделяется из организма.
• При нарушении работы печени аммиак не выводится должным образом и вызывает сильную интоксикацию.
04.07.2025
10

11. Плазма крови

• объем плазмы составляет около 56% от общего объёма крови и у
взрослого приблизительно равен 3 литрам
• в плазме также циркулируют некоторые продукты обмена, гормоны,
медиаторы

12. Гематокрит

• это соотношение клеток крови к общему объёму крови
• у мужчин составляет 46%
• у женщин – 42%
• эта разница связана с тем, что у мужчин количество эритроцитов больше

13. Форменные элементы крови

• красные клетки
(эритроциты)
• белые клетки
(лейкоциты)
• тромбоциты

14.

Эритроциты
• они являются самыми многочисленными представителями клеток крови в ее составе.
• они имеют форму двояковогнутого диска и приличный диаметр 7-8 мкм. Такие параметры дают ему возможность для переноса на
себе различных веществ для газообмена и питания тканей организма.
• это высокоспециализированные клетки в форме двояковогнутого диска, не имеющие ядра (это способствует максимальному
контакту с кислородом)
• главная особенность эритроцитов – наличие красного пигмента – гемоглобина
14

15. Гемоглобин Hb

это сложное химическое соединение (гликопротеин), состоящее из
• 4 четырех молекул белка глобина и
• 4 четырех молекул гема – производного витамина В12, который содержит двухвалентное железо,
способное быстро соединяться с кислородом и легко отдавать его

16. Норма гемоглобина Hb

• у женщин 120-140 г/л
• у мужчин 135-155 г/л

17. Норма эритроцитов Er

• у женщин 4,5 х 1012
• у мужчин 5,0 х 1012

18. Скорость оседания эритроцитов СОЭ

• при передвижении по сосудам мембрана эритроцитов заряжается отрицательно, что не
позволяет им слипаться друг с другом и находится во взвешенном состоянии
• при отстаивании крови в специальном капилляре клеточная мембрана теряет заряд, и
эритроциты оседают на дно
• это клинический показатель и регистрируется в мм высоты столба плазмы в капилляре
за единицу времени
• СОЭ зависит от количества эритроцитов, белкового состава плазмы

19. СОЭ увеличивается

• при воспалении
• при беременности
• при онкологических заболеваниях

20. Функции эритроцитов Er

• связывание кислорода гемоглобином (оксигемоглобин HbO2)
• транспортировка кислорода от легких к тканям и клеткам
продолжительность жизни эритроцитов Er составляет 120 суток

21. Эритроцитоз ↑ в крови:

•обезвоживание организма, которое провоцируется не
только жарой, но и лихорадкой, рвотой, диареей
•опухоли почек или желез внутренней секреции
•избыток стероидных гормонов в организме
•нехватка кислорода: человек недавно вернулся из
похода в горы либо
• если он страдает заболеваниями легких и сердца,
при которых нарушается процесс транспорта
кислорода. К таким патологиям относятся хронический
бронхит, бронхиальная астма и пороки сердца

22. Эритропения ↓

• острая кровопотеря (при травме или во время операции)
• хроническая кровопотеря (обильные менструации у женщин
или скрытое кровотечение – при язве желудка или
двенадцатиперстной кишки, геморрое, раке кишечника и
других болезнях)
• недостаточное поступление в организм с пищей железа (оно
необходимо для синтеза гемоглобина) – железодефицитная
анемия
• плохое усвоение или дефицит в пище витамина В12 и
фолиевой кислоты
• избыточное употребление жидкости или введение
избыточного количества физраствора внутривенно,
посредством капельницы
• слишком быстрое разрушение красных кровяных телец
вследствие ошибки при переливании крови, из-за
наследственных заболеваний (таких как серповидноклеточная анемия), при отравлении тяжелыми металлами
или другими ядами

23. Соединения с гемоглобином

Нестойкие
соединения
Прочные
соединения
1. Оксигемоглобин
Hb + О2
2. Восстановленный
(редуцированный)
Hb - О2
3. Карбогемоглобин
Hb + СО2
4. Карбоксигемоглобин
(в 300 раз прочнее HbО2)
Hb + СО
5. Метгемоглобин
При отравлении
фенацетином, амил- и
пропилнитратами

24. Лейкоциты

• Белые кровяные клетки d
= 6-25мкм
• Нет постоянной формы,
амебоидное движение
• Имеют ядро
• В 1 куб.мм – 4-9 тыс.
• Образуются в красном
костном мозге, селезенке,
тимусе, лимфатических
узлах
• Живут 7-10 суток
• Разрушаются в селезенке
и очагах воспаления
• Функция – защитная
(фагоцитоз, иммунитет)

25. Лейкоциты L

• это группа обычных клеток с ядром и цитоплазмой
• клетки крови белого или серого цвета с диаметром всего до 20 мкм.
• растут и созревают внутри костного мозга. После этого часть остается в резерве, а другая,
большая часть, выходит в сосудистое русло. Также лейкоциты располагаются в тканях
организма.
• обладают амебовидной подвижностью и могут проходить через эндотелий капилляров в
межклеточное пространство

26. Лейкоциты L

по строению лейкоциты делятся на две группы:
1.
гранулоциты (в цитоплазме содержат много
гранул) - 65-70%
2.
агранулоциты (не содержат гранул) - 30-35%

27.

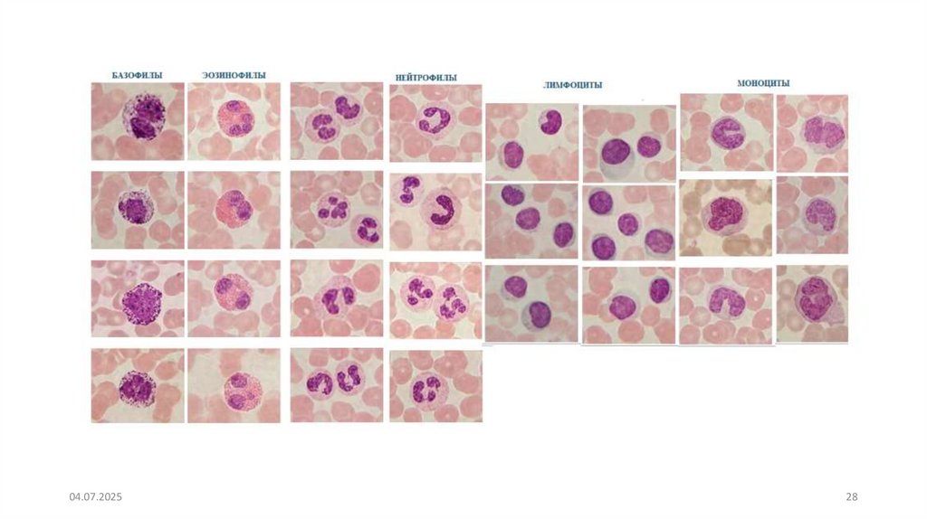
28.

04.07.2025
28

29. Норма лейкоцитов L

• 4,0– 9,0 х 109/литр
• повышение содержания L в крови называется лейкоцитоз
• пониженное содержание L – лейкопения
• продолжительность жизни лейкоцитов – 7-10 дней

30. Гранулоциты

• нейтрофилы составляют 60-70% всех L и
по степени зрелости делятся на три группы:
1.
юные (Ю)
2.
палочкоядерные (П)
3.
сегментоядерные (С)

31. Функция нейтрофилов

• защита внутренней среды от бактерий и их токсинов
• способны проникать через эндотелий капилляров
(диапедез) и обладают свойством фагоцитоза
Стенки капилляров состоят из одного слоя клеток эндотелия. Это
непрерывный монослой эпителиальных клеток, формирующих ткань.
Толщина этого слоя настолько мала, что позволяет проходить обмену
веществ между тканевой жидкостью и плазмой крови через стенки
капилляров.

32.

04.07.2025
32

33. Эозинофилы

• 1 -4% от общего количества лейкоцитов
• круглые клетки с двудольным ядром

34. Функция Эозинофилов

• адсорбируют на своей поверхности антигены - токсины белковой природы, разрушают и
обезвреживают их
• принимают участие в аллергических реакциях (обладают антигистаминным действием)

35. Базофилы

• составляют не более 0,5% всех лейкоцитов
• круглые клетки с трехдольным ядром

36. Функции Базофилов

• синтезируют гепарин, играющий важную роль в противосвертывающей системе крови
• участвуют в синтезе ряда БАВ: гистамин, серотонин и ферментов: фосфатаза, липаза

37. Агранулоциты

• составляют 30 – 35% всех белых клеток и включают в
себя лимфоциты и моноциты
• клетки агранулоцитов не содержат включений в виде
гранул

38. Лимфоциты

• составляют 30 -35% белых клеток крови
и состоят из двух групп клеток
• В-лимфоциты синтезируются в
селезенке и лимфатических узлах
• Т-лимфоциты синтезируются в
тимусе (вилочковой железе)

39. Т-лимфоциты

• Т - киллеры (клетки-убийцы)
• Т-хелперы (клеткипомощники)
• Т-супрессоры (клетки
подавляющие избыточную реакцию
на вторжение чужеродных агентов)

40. Функции лимфоцитов

• обеспечение иммунных реакций
• в отличии от других лейкоцитов они могут не только выходить за
пределы сосудов, но и возвращаться обратно в кровь
• продолжительность жизни лимфоцитов десятки лет

41. Моноциты

• составляют 6-8% от клеток белой крови
• круглые клетки с большим количеством
лизосом и фагасом в цитоплазме
• выходят из сосудистого русла в ткани и
трансформируются в макрофаги

42. Функции моноцитов

• обладают высокой фагоцитарной активностью,
• поглощают и утилизируют погибшие клетки и ткани,
• обезвреживают токсины, образующиеся в очагах воспаления,
• представляют антигены лимфоцитам и
• играют важную роль в иммунных реакциях,
• участвуют в синтезе антител

43.

44. Лейкоцитарная формула

процентное содержание белых клеток в периферической крови

45. Лейкоцитоз ↑

Физиологический лейкоцитоз может возникнуть
практически у любого человека.
Повышение лейкоцитов у новорожденного может быть
реакцией на новый прикорм,
у взрослых людей количество иммунных клеток растет
после длительного пребывания на солнце,
в результате стресса,
тяжелой физической нагрузки или
смены часовых поясов и даже
перемены погоды.
У женщин лейкоциты могут быть повышены во время
беременности, в первом или втором триместрах, или
при менструации.

46.

04.07.2025
46

47.

• Лейкопения ↓ означает, что организм не в состоянии бороться с болезнетворными агентами.
Наблюдается при:
• нарушений функций костного мозга
• радиационное облучение
• недостаток нужных веществ для создания молодых клеток,
• Интоксикации, бактериальной инфекции, тяжелых формах гриппа или гепатита - лейкоциты бросаются на
борьбу с токсином или инфекцией и погибают

48. Тромбоциты

• Кровяные пластинки
• Нет ядра
• Округлой или овальной формы
• Размеры – 2-5 мкм
• В 1 куб.мм крови – 180-320 тыс.
• Образуются в костном мозге
• Живут 2 -3 суток
• Разрушаются в селезенке
• Функции – свертывание крови,
восстановление сосудов

49. Тромбоциты Tr

• это мелкие безъядерные кровяные
пластинки, обладающие амебовидной
подвижностью
• обладают высокой метаболической
активностью

50. Тромбоциты Tr

• на мембране тромбоциты содержат рецепторы для факторов свертывания крови
• обладают уникальными свойствами
1.
адгезия (прилипание) – способности фиксироваться в местах повреждения
сосудов и
2.
агрегация – способности склеиваться друг с другом

51. Норма тромбоцитов Tr

• 250 х 109/литр
• снижение тромбоцитов в крови называется тромбоцитопения
• повышение содержания тромбоцитов в крови называется
тромбоцитоз
• продолжительность жизни тромбоцитов составляет 5 – 12 дней

52. Функции тромбоцитов Tr

• тромбоциты играют ведущую роль в свертывании
крови

53.

• Физиологический тромбоцитоз при
• мышечной работе,
принятии пищи,
беременности
• Тромбоцитопения ↓может наблюдаться при
гепатите,
циррозе,
поражении костного мозга,
гипертиреозе,
гипотиреозе,
при некоторых видах лейкоза,
мегалобластной анемии,
алкоголизме
и других болезнях
• Тромбоцитоз ↑ может свидетельствовать о
туберкулезе,
лейкозе,
лимфогранулематозе,
раке печени и почек

54.

04.07.2025
54

55.

55

56.

56

57. Функции:

1)
2)
3)
4)
5)
6)
7)
8)
Гомеостатическая
Транспортная
Дыхательная
Питательная
Выделительная
Регуляторная
Защитная
Терморегуляция

58. Функции крови

• Транспортная функция крови заключается в
переносе всех необходимых для
жизнедеятельности организма веществ
(питательных веществ, газов, гормонов,
ферментов, метаболитов, электролитов)

59. Функции крови

• Дыхательная функция связана с транспортом
кислорода в виде оксигемоглобина эритроцитов от
легких к клеткам и тканям, а углекислого газа в
виде бикарбонатных ионов (НСО2)

60. Функции крови

• Трофическая (питательная) функция крови связана
с транспортом аминокислот, жиров, липидов,
витаминов, минеральных веществ от органов
пищеварения до клеток и тканей

61. Функции крови

• Выделительная функция направлена на перенос
продуктов обмена (аммиак, вода, мочевина,
креатинин, соли, мочевая кислота и др.) от мест их
образования к органам выделения (почки, легкие,
потовые и слюнные железы)

62. Функции крови

• Терморегуляторная функция обеспечивается
участием крови в переносе тепла от органов и
тканей, в которых оно вырабатывается к органам,
отдающим тепло, что и поддерживает постоянную
температуру тела

63. Функции крови

• Защитная функция крови имеет несколько
значений:
формирование иммунитета
способность свертываться при повреждении
сосудов
способность поддерживать свое жидкое
состояние

64. Функции крови

• Регуляторная функция крови заключается в
доставке гормонов и других БАВ к органаммишеням

65. Гемопоэз

• это процесс образования, развития и созревания клеток крови
• он осуществляется в органах кроветворения (красный костный мозг, селезенка,
вилочковая железа, лимфатические узлы) из клетки предшественницы – стволовой
клетки

66. Гемопоэз

• в красном костном мозге образуются все клетки крови
• эритроциты в начальной стадии своего развития имеют ядро и называются
ретикулоцитами

67. Гемопоэз

• лимфоциты, кроме красного костного мозга образуются в селезенке, лимфатических
узлах, пейеровых бляшках кишечника
• созревание и специализация лимфоцитов происходит в тимусе (Т-зависимые) и в
лимфоидных бляшках кишечника – пейеровых бляшках (В-зависимые)

68. Гемопоэз

• погибают клетки крови в селезенке и печени
• гемопоэз регулируется центральной и вегетативной нервной системой, гормонами и
гемопоэтинами (в почках ЮГА)

69. Основные физико-химические свойства крови

1.
Относительная плотность 1,052-1,064
2.
Вязкость
3.
Осмотическое давление (за счет NaCl) вода в клетках
4.
Онкотическое давление (белки плазмы) в-ва в клетках
5.
рН 7,35 - 7,36 нейтральная
6.
Суспензионные свойства крови – взвешенное состояние

70.

04.07.2025
70

71.

Изотонический раствор
NaCl 0,9%
осмотическое давление =
давлению крови
осмотическое давление выше, чем
Гипертонический раствор
давление крови
Er сморщиваются
осмотическое давление ниже, чем
Гипотонический раствор
давление крови
Er набухают и лопаются

72. Лимфа

• Количество 1500 мл
• Состоит из плазмы и форменных элементов (лимфоциты,
моноциты, эозинофилы)
Функции:
• Проводниковая. Лимфатические сосуды возвращают
жидкость в кровь, то есть является своеобразной дренажной
системой, удаляющей избыток жидкости из тканей
• Барьерная. Оттекающая жидкость от тканей проходит по
пути в вены через биологические фильтры – лимфатические
узлы. Здесь происходит задержка и уничтожение чужеродных
веществ и микроорганизмов
• Обменная. Всасывание и перенос из пищеварительного
тракта пищевых веществ, крупные частицы которых не могут
всосаться в кровеносные капилляры и осуществляются их
транспорт
• Кроветворная. В лимфоузлах образуются лимфоциты и
антитела
• При патологии по лимфатической системе переносятся
микроорганизмов и клеток злокачественной опухолей
Лимфа

73. Домашнее задание

1. Учебник с.197-203, 209- 213;
2. Конспект.
English     Русский Rules