СОЕДИНИТЕЛЬНАЯ ТКАНЬ Морфофункциональные особенности, классификация, развитие
Соединительные ткани
Функции соединительной ткани
Функции соединительной ткани
Строение соединительной ткани
Фиброласты и фиброциты
Фибробласт
Разновидности фибробластов
Макрофаги (гистиоциты)
Макрофаг
Макрофагическая система
Тучные клетки (лаброциты)
Содержимое гранул тучных клеток
Функции тучных клеток
Плазматические клетки
Адипоциты
Меланоциты
Мезенхимальные стволовые клетки
Межклеточное вещество
Коллагеновые волокна
Синтез коллагеновых волокон (внутриклеточный этап)
Типы коллагена
Эластические волокна
Ретикулярные волокна
Аморфное вещество
Гликозаминогликаны (ГАГ)
Гликозаминогликаны (ГАГ)
Гликопротеины
Гликопротеины
Волокнистые ткани
Плотная волокнистая ткань
Плотная неоформленная
Ткани со специальными свойствами
Пигментная ткань
Белая жировая ткань
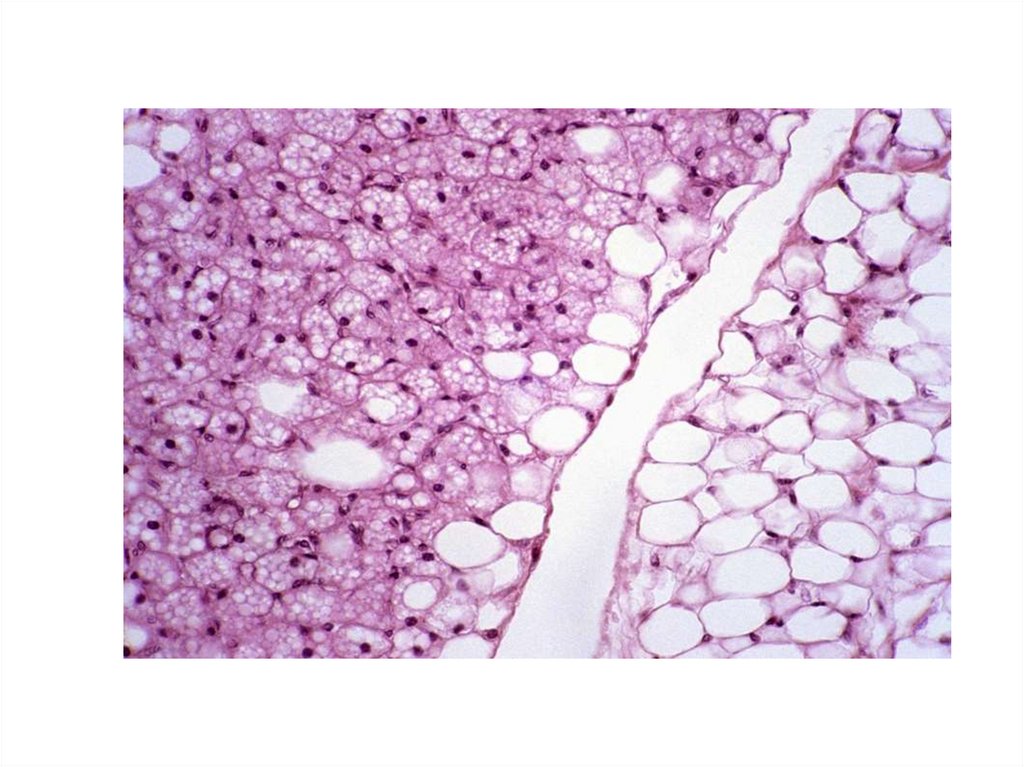
Бурая жировая ткань
Белая / Бежевая / Бурая
Спасибо за внимание!
38.91M
Categories: medicinemedicine biologybiology

Соединительная ткань. Морфофункциональные особенности, классификация, развитие

1. СОЕДИНИТЕЛЬНАЯ ТКАНЬ Морфофункциональные особенности, классификация, развитие

СВФУ Медицинский институт: Заведующая кафедрой гистологии и
микробиологии, доцент,
к.б.н. Пшенникова Елена Виссарионовна

2. Соединительные ткани


Особенности:
Это ткани внутренней среды
Преобладание межклеточного вещества
Разнообразие клеток
Источник происхождения – мезенхима
Общая масса соединительной ткани в человеке
составляет более 85%

3. Функции соединительной ткани

Общая и местная адаптогенная - обеспечивается
высочайшей пластичностью свойств и функций всех
элементов с.т. (межклеточный информационный гель,
коллагены, эластины, клетки).
Опорно – каркасная - кости, хрящи, связки,
сухожилия, фасции являются каркасом тела
внутренних органов.
Трофическая - обеспечивается кровеносными и
лимфатическими сосудами, кровью, внутричерепной,
внутриглазной и прочими жидкостями и
соединительно - тканными клетками, которые
поддерживают гомеостаз внутренней среды
организма.

4. Функции соединительной ткани

Защитная ( барьерная ) - механический,
противомикробный, противотоксический барьер
организма, фагоцитарная деятельность макрофагов и
иммунокомпетентных клеток, участвующих в реакциях
клеточного и гуморального иммунитета.
Репаративная - восстановлении после повреждения
или в замещении дефектов органов в виде
соединительно-тканного рубца или жировой тканью.
Дыхательная - обеспечивает газообмен в других
тканях.

5.

Соединительные ткани
Кровь и
лимфа
волокнистые
Рыхлая
неоформл
енная
Оформле
нная
Собственносоединительные
Со специальными
свойствами
Плотная
Жирова
я
Пигмент
ная
Неоформле
нная
Слизис
тая
Ретикул
ярная
Скелетные
хрящева
я
костная
гиалинов
ый
грубоволо
книстая
эластиче
ский
пластинча
тая
волокнис
тый
дентин

6.

Соединительные ткани
Клетки
Фибробласты
(циты)
Межклеточное вещество
Волокна
Аморфное вещество
макрофаги
Тучные клетки
коллагеновые
эластические
Ретикулярные
(коллаген III)

7. Строение соединительной ткани

Межклеточное
вещество
Клетки
Фибробласты (циты)
Остеобласты (циты)
Ходробласты (циты)
Фиброкласты
(остеокласты)
Макрофаги
Тучные клетки
Адипоциты
Меланоцит
Плазматические клетки
Лимфоциты
др.лейкоциты
• Аморфное (основное)
вещество:
• Вода,
• Органические вещества
• Неорганические
вещества
Волокна:
Коллагеновые
Эластические
Ретикулярные

8. Фиброласты и фиброциты

Фибробласты –
основные клетки
соединительной ткани,
50% от всех клеток,
продуцируют компоненты
межклеточного вещества.
Клетки отростчатые,
размер около 20 мкм.
Хорошо развит (гр-, а- )
ЭПС, КГ, микроворсинки.
Синтез коллагеновых,
эластических белков и
гликозаминогликанов
(ГАГ) и других веществ.

9. Фибробласт

10.

11. Разновидности фибробластов

• Миофибробласты – синтезируют сократительные
белки актин и миозин, участвуют в заживлении ран.
• Фиброкласты (макрофагическая система)–
разрушают межклеточное вещество, содержат много
лизосом (коллагеназа,эластаза), препятствуют
преждевременному склерозированию ткани.
• Специализированные фибробласты :
• хондробласты (-циты),
• остеобласты (-циты),
• одонтобласты,

12. Макрофаги (гистиоциты)

• Макрофаги – 10 – 20%
• Ядро темное, в цитоплазме гранулы, вакуоли, много лизосом,
гликоген, ГАГ, окислительные и гидролитические ферменты,
кислая фосфатаза, на поверхности микроворсинки.
• На плазмолемме имеются рецепторы для опухолевых клеток и
эритроцитов, Т – и В – лимфоцитов, антигенов,
иммуноглобулинов
• Подвижные (хемотаксис).
• Размер от 12 до 25 мкм.
Функции:
Фагоцитоз инородных частиц,
обломков клеток или всей клетки,
являются санитарами организма,
Презентация антигенов
лимфоцитам (антиген-презентующие
клетки), вовлечение лимфоцитов
в иммунные реакции.

13. Макрофаг

14.

15. Макрофагическая система

По определению И.И.Мечникова (1882) относят клетки, которые
способны захватывать и ферментативно перерабатывать в своей
цитоплазме бактерии, инородные частицы, токсины и др.

16. Тучные клетки (лаброциты)

• Тучные клетки (лаброциты) –
10%
• Развиваются из ККМ
• Содержимое гранул:
• гепарин, гистамин, триптаза,
химаза, хемотаксические
факторы эозинофилов и
нейтрофилов и др.
• В составе основных белков
гранул имеются нейтральные
протеазы, кислые гидролазы,
катепсин

17. Содержимое гранул тучных клеток

• Содержимое гранул: гепарин, гистамин,
триптаза, химаза, хемотаксические факторы
эозинофилов и нейтрофилов, хондроитинсульфаты,
гиалуроновая кислота, гликопротеины и
фосфолипиды.
• В составе основных белков гранул имеются
нейтральные протеазы, кислые гидролазы, катепсин
• Гистамин – расширяет кровеносные сосуды,
повышает проницаемость капилляров, усиливает
тканевую проницаемость, ускоряет кровоток,
• Гепарин – антикоагулянт, предотвращает
свертывание крови, снижает проницаемость
основного вещества и капилляров,

18. Функции тучных клеток

Регуляция свертываемости крови и жирового
обмена;
Защитная и регуляторная. Вырабатывают
медиаторы воспаления и хемотаксические факторы
способствуют мобилизации эозинофилов и
различных эффекторных клеток, воздействуют на
рост и созревание соединительной ткани в зоне
воспаления;
Вырабатывая цитокины тучные клетки участвуют
в иммунных процессах;
Гомеостатическая. Влияет на проницаемость и
тонус сосудов;
Участвуют в развитии аллергических реакций.

19. Плазматические клетки

Образутся из В-лимфоцитов.
Округлой формы, диаметром 10 – 12 мкм.
Цитоплазма базофильная (гр-ЭПС),
Около ядра - «светлый дворик» (клеточного центра, КГ)
Ядро округлое, содержит плотный хроматин расположенный по
радиусу вид «колеса со спицами».
Плазмоциты продуцируют антитела – гамма-глобулины
(гуморальный иммунитет)

20. Адипоциты

Адипоциты - жировая клетка
крупная, диаметром от 25-30 до 250
мкм. Образуются из мезенхимы.
Однокапельный - триглицериды,
холестерин, фосфолипиды и
свободные жирные кислоты, по
периферии органелл мало.
Многокапельный адипоцит.
На плазмолемме - рецепторы к
гормонам (норадреналину, инсулину
и др.).
Основная функция –
запасание нейтральных жиров и
витаминов,
терморегуляция,
трофическая и запаса воды в
организме,
производство адипокинов.
Выработка гормонов – эстрогена,
лептина и нейропептида Y ,
депонирует витамины А, Д, Е, К и
другие.

21. Меланоциты

• Меланоциты
(пигментные) – отросчатые
клетки, плотно заполнены
гранулами меланина 15 – 25
нм. Образуются из нервного
гребня.
• Содержат биологически
активные амины, которые
вместе с тучными клетками
регулируют тонус стенок
сосудов.
• Выполняют защитную
функцию, обезвреживают
токсины, защищают от УФизлучений.

22. Мезенхимальные стволовые клетки

• МСК – мультипотентные клетки соединительной
ткани
• Способны дифференцироваться в остеобласты,
адипоциты, хондробласты
• Обладают адгезией к пластику
• Специфическая экспрессия поверхностных антигенов
• Перспективный источник регенеративной клеточной
терапии

23. Межклеточное вещество

• Состоит из волокон и основного аморфного
вещества.
• Образуется клетками соединительной ткани и из
плазмы крови.
• Функции:
• обеспечение архитектоники, физико – химических и
механических свойств ткани;
• участие в создании микроокружения для клеток;
• объединение в единую систему всех клеток и
обеспечение передачи информации между ними;
• воздействие на функции различных клеток пролиферацию, дифференцировку, подвижность и
т.п.

24. Коллагеновые волокна

• Коллагеновые волокна (от
греч. Kolla – клей и genes
рождающий) самые
многочисленные в организме
(составляют 25 – 30 % от
общего количества белков в
теле человека ).
• Толстые неразветвленные с
оксифильными свойствами
• Маркерные ферменты –
гидроксипролин,
гидроксилизин
• Они придают тканям
механическую прочность,
• Удерживают воду в тканях

25. Синтез коллагеновых волокон (внутриклеточный этап)

1. Препроколлаген
образуется на рибосомах
2. В грЭПС пролин и лизин
подвергаются
гидроксилированию
(кофактор витамин С)
3. Образуется тройная
спираль из полипептидных
цепочек – проколлаген
4. Проколлаген поступает в
КГ и экспортируется из
клетки

26.

5. Путем отщепления
концевых участков
образуется тропоколлаген
6. Самосборка
тропоколлагена в фибриллы
– фибриллогенез, при
участии ГАГ и
протеогликанов
формируются фибриллы
толщиной 50 – 100 нм,
7. Затем образуются волокна
диам. 1 – 3 мкм и толстые
пучки

27.

Коллагеновые волокна обладают поперечной исчерченностью, т.к.
молекулы тропоколлагена в коллагеновом волокне ориентированы
продольно и сдвинуты друг относительно друга на ¼ своей длины. В
связи с этим в волокне определяется поперечная исчерченность в 64
– 70 нм.

28. Типы коллагена

Коллагеновые прочные, малорастяжимые
В настоящее время изучено 19 типов коллагена, но может быть и 1000.
Наиболее часто встречаются 5 типов:
I тип - в дерме коже, сухожилиях, костях, роговице глаза, склере,
стенке артерий. Самые прочные, ахиллово сухожилие выдерживает
вес в 500 кг, устойчивы к растяжению. Вырабатываются :
фибробластами, остеобластами, гладкомышечными клетками,
некоторыми эпителиями.
II тип- в хрящах, стекловидном теле, роговице. Производит
сопротивление давлению. Вырабатывают хондробласты.
III тип - Ретикулярные волокна хорошо окрашиваются солями
серебра, поэтому их еще называют аргирофильными или
аргентофильными волокнами. Вырабатываются фибробластами и
гладкомышечными клетками.
IV тип - базальные мембраны и капсулу хрусталика, оксилизина
гидрооксипролина. Эти волокна не имеют исчерченности.
V тип - встречается в хорионе, амнионе, эндомизии, перимизии, коже,
вокруг фибробластов и эндотелиальных и гладкомышечных клеток,
остеобластов.

29. Эластические волокна

Тонкие разветвленные от 0,2 до 1 мкм
Состоят из глобулярного белка
эластина (синтезируют фибробласты,
гладкие мышечные клетки,
хондробласты).
Маркерные аминокислоты десмозин,
изодесмозин
Зрелые эластические волокна
содержат 90 % аморфного компонента
(эластин) в центре, а по периферии –
микрофибриллы.
Поперечной исчерченности
эластические волокна не имеют
В состоянии покоя молекулы эластина
имеют форму скрученных нитей,
при растяжении они распрямляются .
Обеспечивают эластические свойства
(аорта, ушные раковины)

30.

31.

32. Ретикулярные волокна

• Тонкие разветвленные с
аргирофильными
свойствами
• Состоят из коллагена III
типа, называют
аргирофильными
• Находятся в
лимфоидных органах

33. Аморфное вещество

Гелеобразная субстанция, заполняет промежутки
между волокнами и клетками.
В состав входят:
• белки плазмы крови,
• липиды,
• вода,
• неорганические ионы,
• продукты метаболизма паренхиматозных клеток,
• растворимые предшественники коллагена и
эластина, протеогликаны, гликопротеины и
образованные ими комплексы

34.

Аморфный компонент
Протеогликаны =
Гликозаминогликаны+серцевинный
белок
Сульфатированные
Кератансульфат
Гепарансульфат
Хондроитинсульфат
Несульфатированные
Гиалуроновая
кислота
Гликопротеины
(мультиадгезивные
белки)
Фибронектин
Ламинин
Фибриллин
Остеопонтин

35.

36. Гликозаминогликаны (ГАГ)

ГАГ участвуют в формировании волокнистых структур
соединительной ткани, в регуляции роста и
дифференцировке клеток.
Сульфатированные ГАГ –
хондроитинсульфаты ( в хряще, коже, роговице),
дерматансульфат (в коже, сухожилиях, в стенке
кровеносных сосудов и др.),
кератансульфат,
гепарансульфат (входит в состав базальных
мембран),
гепаринсульфат в состав гликокаликса, он усиливает
адгезию клеток и способен распознавать клетки,
соединяясь с белками образуют протеогликаны (10 %
белка и 90 % углеводов).

37. Гликозаминогликаны (ГАГ)

Несульфатированные ГАГ
присутствует в виде гиалуроновой кислоты, длинная
молекула с диаметром 400 нм.
Молекулы ГАГ содержат много гидроксильных,
карбоксильных и сульфатных групп, имеющих
отрицательный заряд, легко присоединяют молекулы
воды и ионы (Na+) .
Они связывают межклеточную воду, регулируют
осмотическое давление и ионный состав основного
вещества .

38. Гликопротеины

Гликопротеины – класс соединений белков с
олигосахаридами, входящие в состав аморфного
вещества и волокон.
К наиболее важным структурным гликопротеинам
относят:
фибронектин,
хондронектин,
остеонектин,
гиалуронектин,
ламинин,
энтактин/ нидоген.

39. Гликопротеины

• Фибронектин – синтезируется фибробластами,
эндотелиальными клетками, астроглией,
обеспечивает организацию компонентов
межклеточного вещества: взаимодействует с ГАГ,
связывается с коллагеном и опосредует
прикрепление к нему тромбоцитов, фибробластов и
других клеток, влияет на их функции (адгезию,
подвижность, рост, синтез и секреторную активность).
• Ламинин –входит в состав базальных мембран,
связывается с молекулами коллагена IV типа и с
рецепторами на поверхности клеток.
• Энтактин / нидоген связывается с коллагеном IV
типа и ламинином, входит в состав плотной
пластинки базальной мембраны.

40.

41. Волокнистые ткани

Рыхлая неоформленная –
самая распространенная,
имеется во всех органах,
сопровождает сосуды и нервы
Характеризуется
преобладанием в
межклеточном веществе
аморфного вещества и
разнообразным клеточным
составом (фибробласты,
макрофаги, тучные клетки и др.)
Функции – трофическая,
регуляторная, иммунная,
опорная, депо воды, липидов,
витаминов, репаративная

42.

43.

44. Плотная волокнистая ткань

• Плотная
соединительная
ткань состоит
преимущественно из
волокон.
• В плотной
оформленной
соединительной
ткани волокна
располагаются
параллельно друг
другу (сухожилия,
связки, фиброзные
мембраны)

45. Плотная неоформленная

• В плотной
неоформленной
волокнистой
соединительной ткани
волокна располагаются
неупорядоченно
(глубокий - сетчатый
слой дермы, капсулы
различных органов).

46. Ткани со специальными свойствами

• Пигментная – преобладают меланоциты, защита от
ультрафиолета
• Ретикулярная – строма кроветворных органов,
опорная функция и выработка гемопоэтинов
• Слизистая – в эмбриональном периоде,
фибробластоподобные клетки (мукоциты)
вырабатывают слизь (муцин), аморфное вещество
содержит гиалуроновую кислоту
• Жировая (белая, бурая) – клетки адипоциты
(однокапельный, многокапельный)

47. Пигментная ткань

• Развивается из нервного
• гребня
• Представляет собой
рыхлую волокнистую
соединительную ткань,
содержащую большое
количество пигментных
клеток.
• Меланоциты –
отростчатые клетки с
большим числом гранул
(меланосом), заполненных
пигментом меланин.
• Защищают от УФ-излучения

48.

• Развивается из
мезенхимы
• Формирует строму (3D
каркас) и микроокружение
для кроветворных
элементов органов
кроветворения.
• Состоит из клеток и
ретикулярных волокон.
• Ретикулярные клетки
характеризуются крупным
светлым ядром и
отросчатой цитоплазмой.
Соприкасаясь своими
отростками они образуют
сеть.

49.

• Развивается из мезенхимы
• Эмбриональная форма
рыхлой волокнистой
соединительной ткани.
• Преобладает аморфное
межклеточное вещество,
богатое гиалуроновой
кислотой, которая
удерживает большое
количество воды,
создающий тургор ткани.
• Клеточный состав:
фибробластоподобные
клетки с большим
содержанием гликогена,
встречаются макрофаги,
тучные клетки и лимфоциты.
• Образует пуповину.

50.

• Белая жировая ткань
• Развивается из
мезенхимы
• Состоит из долек,
разделенных тонкими
прослойками рыхлой
волокнистой
соединительной ткани,
несущие кровеносные
сосуды и нервы.
• Однокапельный
адипоцит, мало
митоходрий
• Локализация - под кожей,
в сальнике, брыжейке и
других жировых депо.
• Функции - депо воды,
энергии, жирорасворимых
витаминов, термоизоляция,
опорная

51. Белая жировая ткань


Жировая ткань обладает высокой метаболистической активностью, а
запасы ее липидов непрерывно динамично обновляются через
липогенез и липолиз. Жировая ткань у среднего человека содержит
80% энергетических запасов тела. Она обеспечивает примерно 40дневную потребность в энергии.
Жировая ткань вырабатывает гормоны адипокины – ключевые
регуляторы массы тела, воспаления, метаболизма глюкозы и др.
процессов. Поэтому ожирение ассоциируется в сахарным диабетом,
атеросклерозом, гипертонией и раком.
Адипоциты накапливают и вырабатывают женский половой гормон
эстроген.
Лептин (в 1994) - оказывает действие на уровне гипоталамуса,
вызывает ощущение сытости и снижает потребление пищи (подавляет
прием пищи).
Адипонектин – регулирует уровень глюкозы и расщепление жирных
кислот

52.


Бурая жировая ткань
Многокапельный адипоцит
Много митохондрий
У всех животных и человека,
особенно в молодом
возрасте.
Локализуется
преимущественно вдоль –
вокруг магистральных
сосудов и вблизи жизненно
важных органов: сердца,
почек и особенно головного
мозга.
С возрастом у многих
животных и человека
количество БЖТ
уменьшается, у пожилых
людей отсутствует.
Основная функция теплопродукция

53. Бурая жировая ткань

• У новорожденных детей
составляет 2 – 5% массы тела.
• Локализация - под кожей
затылочной части головы, вокруг
сонных артерий, яремных вен,
глубоких мыщц шеи, в
аксиллярных областях
перикарда, между пищеводом и
трахеей, в области корня легкого.
• В средостении располагается в
близи от аорты, крупных вен и
симпатической цепочки,
распространяется книзу к почкам,
покрывает надпочечники,
почечные и повздошные вены,
Обнаруживается в паховой
области и в подколеной ямке,
вокруг сосудисто-нервного пучка
и лимфатических узлов.

54.

55. Белая / Бежевая / Бурая

• Бежевые клетки – индуцируемые бурые адипоциты,
образующиеся в белом жире в ответ на холод, стресс и др.
раздражители

56. Спасибо за внимание!

English     Русский Rules