31.25M
Category: medicinemedicine

МРТ и КТ тазобедренного сустава что видно? куда смотреть? на что направлять?

1.

МРТ и КТ тазобедренного сустава
что видно? куда смотреть? на что направлять?
#ячитаюмрт
Спикер:
врач-рентгенолог, к.м.н.
Власов Евгений Александрович

2.

Проведение МРТ
тазобедренного сустава

3.

Проведение МРТ тазобедренного
сустава

4.

Область исследования на МРТ
тазобедренного сустава

5.

Политика направления на КТ и МРТ
тазобедренного сустава
1.
2.
3.
4.
5.
6.
Травма (костей и мягких тканей)
Дегенеративные заболевания
Дисплазия (врождённые аномалии)
Объёмные образования (опухолей костей и мягких тканей)
Не ясный болевой синдром
Нарушение объёма движений

6.

МРТ тазобедренного сустава
Куда надо смотреть
1.
2.
3.
4.
5.
6.
Головка бедренной кости
Мягкие ткани
Кости таза (лонные кости, крылья подвздошной, седалищный бугор)
КПС
Полость малого таза
На противоположный сустав

7.

Анатомия тазобедренного сустава
на МРТ и КТ
Анатомия по МРТ подробно изложена на сайте www.rentgenogram.com
По ссылке https://rentgenogram.com/anatomy_hip/

8.

Анатомия тазобедренного сустава
на МРТ и КТ

9.

Анатомия тазобедренного сустава
на МРТ и КТ

10.

Костная патология
1.
2.
3.
4.
Перелом головки, шейки, костей таза
Лонные кости
Мягкие ткани в окрестности сустава
Органы малого таза на захваченных срезах

11.

Костная травма
тазобедренного сустава

12.

Костная травма
тазобедренного сустава

13.

Костная травма
тазобедренного сустава

14.

Костная травма
тазобедренного сустава
Скрытый перелом шейки бедра

15.

Костная травма
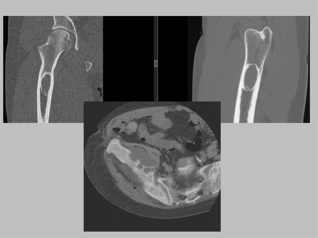
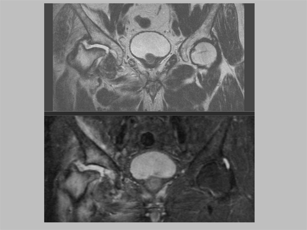
тазобедренного сустава
Скрытый перелом шейки бедра

16.

Костная травма
тазобедренного сустава

17.

Костная травма
тазобедренного сустава

18.

19.

20.

Вывих
тазобедренного сустава

21.

Перелом шейки бедра

22.

Эндопротез тазобедренного сустава

23.

Эндопротез тазобедренного сустава

24.

Эндопротез тазобедренного сустава

25.

Эндопротез тазобедренного сустава

26.

Стресс-перелом

27.

Стресс-перелом

28.

Артроз
тазобедренного сустава

29.

Артроз ТБ суставов

30.

Артроз
тазобедренного сустава

31.

Асептический некроз
Остеонекроз — это общий термин для обозначения гибели или некроза элементов
кости и костного мозга.
АВН — эпифизарный или субхондральный некроз
Инфаркт — метафизарный или диафизарный некроз
Причина: травма, кортикостероиды, серповидно-клеточная анемия, алкоголизм
Степень поражения суставов важна для прогноза. Менее 45% вовлечения объёма
имеют хороший прогноз. Более 45% поражений, связанных с нагрузкой, имеют
неблагоприятный прогноз с распространенным суставным коллапсом .

32.

Асептический некроз

33.

Асептический некроз

34.

Асептический некроз

35.

Асептический некроз

36.

Асептический некроз

37.

Травма мягких тканей
тазобедренного сустава
Места отрывных переломов в области
таза и бедра с маркировкой мышечного
происхождения

38.

Травма мягких тканей
тазобедренного сустава
Болевой синдром большого вертела
Болевой синдром большого вертела часто встречается:
• у женщин среднего и пожилого возраста,
• бегунов,
• людей, занимающихся степ-аэробикой.
Боль вызвана бурситом или разрывом сухожилий средней и малой ягодичных
мышц. Боль усиливается в положении лежа на пораженной стороне или при
подъеме по лестнице.
Анатомия большого вертела
• Передняя поверхность: место прикрепления сухожилия малой ягодичной
мышцы.
• Латеральная поверхность: место прикрепления сухожилия средней ягодичной
мышцы.
• Задняя поверхность: покрыта вертельной бурсой

39.

Травма мягких тканей
тазобедренного сустава
Болевой синдром большого вертела
На рентгене: вертельные энтезофиты (остеофиты вдоль сухожилия = «шпоры»)
обнаруживаются у 50% больных. Энтезофиты могут вызывать импинджмент.
МРТ демонстрирует:
• бурсит в 85% случаев
• частичные разрывы сухожилий
• полные разрывы сухожилий с атрофией мышц.
Лечение: консервативное с лечебными
инъекциями. Разрывы сухожилий могут
потребовать хирургического вмешательства.
Малая ягодичная

40.

Травма мягких тканей
тазобедренного сустава

41.

Травма мягких тканей
тазобедренного сустава
Разрывы губы вертлужной впадины
Верхняя губа прикрепляется к краю вертлужной впадины сзади, сверху и спереди.
Внизу сливается с поперечной связкой.
Могут встречаться отслоения и разрывы губ.
• Поражения наиболее распространены в верхнем и переднем квадрантах.
• Разрывы губ (особенно отслоения) могут быть связаны с паралабральными
кистами.
• МР-артрография является методом
• выбора для оценки губ.
норма
разрыв

42.

Травма мягких тканей
тазобедренного сустава
норма
разрыв

43.

Травма мягких тканей
тазобедренного сустава

44.

Травма мягких тканей
тазобедренного сустава
Ущемление (импиджмент) бедренно-вертлужной впадины
Различают два типа импинджмента бедренно-вертлужной впадины.
• Клещевой тип: соединение головки с шейкой бедренной кости контактирует с
краем
• вертлужной впадины. Наблюдается у пожилых женщин с глубоким тазиком или
• ретроверсией вертлужной впадины. Также разрывы или дегенерация губ.
• Кулачковый тип: аномальная морфология переднего соединения головки и шейки
• бедра. Углы более 55 градусов связаны с импинджментом. Могут быть
сопутствующие поражения хрящей или губ.

45.

Травма мягких тканей
тазобедренного сустава
ишиотибиальный импиджмент синдром

46.

Травма мягких тканей
тазобедренного сустава
ишиотибиальный импиджмент синдром

47.

Хамстринг-синдром
Причина: хроническая травматизация задней группы мышц бедра в области
прикрепления к седалищному бугру или слишком сильное сокращение мышцы

48.

Хамстринг-синдром

49.

ARS-синдром
ARS синдром – микроразрывы
сухожилий прикрепляющихся к
симфизу и лобковой кости.
Болевой синдром в паховой области у
спортсменов
Вначале имеет воспалительный,
затем - дегенеративнодистрофический характер.
ARS синдром – достаточно
распространенное заболевание среди
спортсменов.
Adduktor-Rectus-Symphysis
• приводящих мышц бедра,
• прямой мышцы живота,
• лонного сочленения.

50.

ARS-синдром

51.

Воспалительные процессы
Бурситы
Илиотибиальный бурсит
Вертельный бурсит

52.

Септический артрит

53.

Остеомиелит

54.

Ювенильный ревматоидный артрит

55.

Симфизит

56.

Симфизит

57.

Септический аркроилеит

58.

Туберкулёзный сакроилеит

59.

Ревматоидный сакроилеит

60.

Артрозо-артрит КПС

61.

Исход сакроилеита на КТ

62.

Дисплазия тазобедренного сустава
Дисплазия тазобедренного сустава
чаще встречается у женщин, чем у
мужчин (от 5:1 до 9:1 соответственно).
До 30% случаев являются
двусторонними.
Раннее выявление и компенсация
могут привести к нормальному
развитию в 95% случаев.

63.

Дисплазия тазобедренного сустава
Рентгенограммы:
• меньше ядро окостенения головки бедренной кости,
• верхнелатеральное смещение бедренной кости.
• в норме угол вертлужной впадины: 28 градусов при рождении, а далее
уменьшается к 1 году до 22 ± 5 градусов (при дисплазии тазобедренного сустава
угол увеличен).
• Линия Шентона образует плавную дугу вдоль верхней ветви лобковой кости и
шейки бедра в норме. При дисплазии тазобедренного сустава данная дуга
прерывается.
• Линия Перкина перпендикулярна линии Хильгенрайнера (линии, проходящей
через трехлучевой хрящ). Это делит бедро на квадранты. Головка бедренной
кости или медиальный метафизарный «клюв» должны располагаться в нижнемедиальном квадранте.
• Указанные признаки становятся более очевидными при взрослении ребёнка.

64.

Дисплазия тазобедренного сустава
Линия Перкина
• 28 град при рождении,
• к 1 году до 22± 5 град
Хильгенрайнера
Линия Шентона

65.

Дисплазия тазобедренного сустава

66.

Дисплазия тазобедренного сустава

67.

Дисплазия тазобедренного сустава

68.

Дисплазия тазобедренного сустава

69.

Дисплазия тазобедренного сустава

70.

Болезнь Легга-Кальве-Пертеса
Болезнь Легга-Кальве-Пертеса представляет собой ишемическое заболевание
головки бедренной кости (15% двусторонние поражение), обычно
наблюдаемое у мальчиков в возрасте от 3 до 12 лет.
Рентген: начальные признаки включают небольшой эпифиз головки бедренной
кости и расширение суставной щели. На следующей стадии происходит коллапс
и фрагментация головки бедренной кости. Далее - репаративная стадия с
возвращением к нормальной плотности костной ткани и ремоделированием
головки бедра с шейки.

71.

Болезнь Легга-Кальве-Пертеса

72.

Нарушения вращения / ориентации:
Coxa Vara и Coxa Valga
Нормальный угол между шейкой бедра и диафизом
при рождении составляет 150 градусов.
Угол уменьшается до 120-135 градусов у взрослых.
Coxa vara уменьшение шейно-диафизарного угла
(врожденный, приобретенный в результате травмы,
опухоли, дисплазии и остеопений).
Coxa valga — увеличенный шейно-диафизарный угол
(обычно является результатом нервно-мышечных
заболеваний, например, полиомиелита,
церебрального паралича).

73.

Нарушения вращения / ориентации:
Coxa Vara и Coxa Valga

74.

Нарушения вращения / ориентации:
Coxa Vara и Coxa Valga
Coxa Vara
Coxa Valga

75.

Нарушения вращения / ориентации:
Coxa Vara и Coxa Valga

76.

Нарушения вращения / ориентации:
Coxa Vara и Coxa Valga

77.

Нарушения вращения / ориентации:
Coxa Vara и Coxa Valga

78.

Особые случаи, видные тока на МРТ
1. Транзиторный отёк костного мозга
2. Стресс-переломы

79.

Стресс-переломы

80.

Транзиторный отёк головки
бедренной кости
Транзиторный отек костного мозга (может быть самым ранним признаком АВН
или разрешаться без последствий).
Рентгенограммы демонстрируют остеопению в течение 8 недель после появления
симптомов.
При радионуклидном сканировании наблюдается повышенное поглощение
Технеция.
МРТ: ↓Т1 и ↑Stir головки и шейки бедренной кости. Типичным является отсутствие
прогрессирования на МРТ в течение 6–12 недель. ↓Т2 указывает на
прогрессирование.
Другие причины отёка костного мозга:
• Ранний АВН
• Транзиторный остеопороз тазобедренного сустава
• Инфекционное заболевание
• Новообразование

81.

Транзиторный отёк головки
бедренной кости

82.

Транзиторный отёк головки
бедренной кости

83.

Транзиторный отёк головки
бедренной кости

84.

Транзиторный отёк головки
бедренной кости

85.

Опухоли в области
тазобедренного сустава
Костные
Доброкачественные
• Остеома
• Остеохондрома
• Энхондрома
Злокачественные
• Остеосаркома
• Саркома Юинга
Не опухоли
• Эностоз
• Костные кисты
• Фиброзная дисплазия
Мягкотканные
Доброкачественные
• Липома
• Десмоидная
• Гибернома
• Гемангиома
Злокачественные
• Липосаркома
• Мезенхимома
• Саркома
Не опухоли
• Гематома
• Гамартома

86.

Липома

87.

Липома

88.

Липома

89.

Десмоидная опухоль

90.

Десмоидная опухоль

91.

Десмоидная опухоль и Липома
с контрастом

92.

Миксоидная липосаркома

93.

Дерматофибросаркома

94.

Гибернома

95.

Липосаркома

96.

Липосаркома

97.

Злокачественная фиброзная
гистиоцитома

98.

Злокачественная мезенхимома

99.

?

100.

?

101.

Внутримышечная гематома

102.

Отрыв полуперепочнчатой мышцы

103.

Разрыв большой приводящей
мышцы

104.

Старая гематома 4-главой мышцы
(месячной давности)

105.

Костные опухоли в области
тазобедренного сустава

106.

Энхондрома

107.

Энхондрома

108.

Метастазы

109.

Опухоли костей тазобедренного
сустава

110.

111.

Опухоли костей тазобедренного
сустава

112.

Опухоли костей тазобедренного
сустава

113.

Опухоли костей тазобедренного
сустава

114.

Опухоли костей тазобедренного
сустава

115.

116.

117.

Опухоли костей тазобедренного
сустава

118.

Остеосаркома

119.

Остеоид-остеома

120.

Редкая патология тазобедренного
сустава
1. Остеопойкилия
2. Синовиальный хондроматоз
3. Фиброзная дисплазия

121.

Редкая патология тазобедренного
сустава

122.

123.

124.

Остеопойкилия

125.

Дерматомиозит

126.

Миодистрофия
English     Русский Rules