Паренхиматозные диспротеинозы: гиалиново-капельная, гидропическая, роговая. Паренхиматозные липидозы. Жировая дистрофия миокарда, печени
1.84M
Category: medicinemedicine

Паренхиматозные диспротеинозы: гиалиново-капельная, гидропическая, роговая. Паренхиматозные липидозы

1. Паренхиматозные диспротеинозы: гиалиново-капельная, гидропическая, роговая. Паренхиматозные липидозы. Жировая дистрофия миокарда, печени

Паренхиматозные диспротеинозы: гиалиновокапельная, гидропическая, роговая.
Паренхиматозные липидозы. Жировая
дистрофия миокарда, печени, почек.
Парехиматозные углеводные дистрофии
(гликогенозы).
Подготовила д.м.н.
Шабдарбаева Д.М.

2.

Жировая дистрофия печени
а – капельки жира, б – гепатоциты

3.

Гиперкератоз (папиллома)
а – избыточное образование рогового вещества

4.

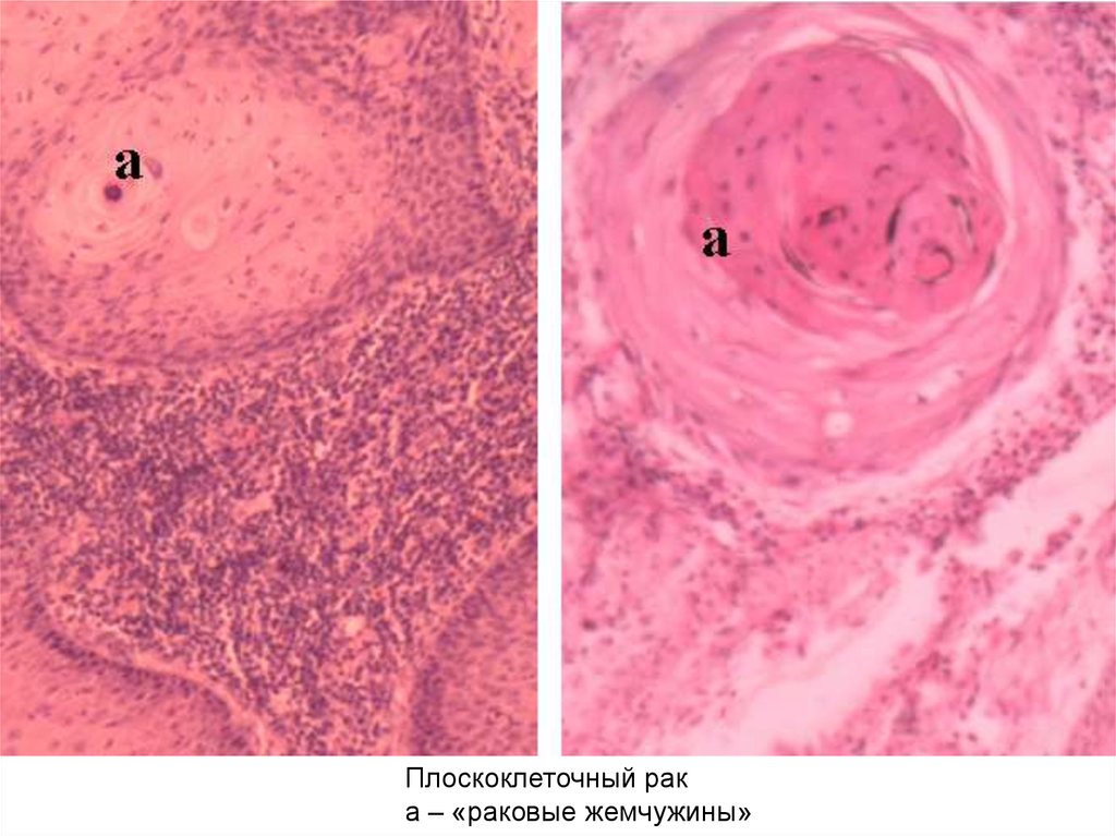
Плоскоклеточный рак
а – «раковые жемчужины»

5.

Муковисцидоз поджелудочной железы
а – разрастания соединительной ткани; б – пролиферация выводных протоков
в – скопления коллоидных масс в расширенных просветах выводных протоков
English     Русский Rules