6.95M
Category: medicinemedicine

Ультразвуковая диагностика острого инфаркта миокарда и ее осложнений

1.

Ультразвуковая
диагностика острого
инфаркта миокарда и ее
осложнений

2.

Роль эхокардиографии при
заболеваниях коронарных
артерий
• Ишемия миокарда
• Диагностика заболеваний коронарных артерий
• Оценка тяжести заболевания (количество
пораженных сосудов, протяженность и риск)
• Оценка глобальной систолической функции
ЛЖ
• Оценка диастолической функции ЛЖ

3.

Острый инфаркт
миокарда
• Выявление нарушений локальной сократимости
• Оценка рецидивирующих загрудинных болей
после инфаркта миокарда
• Оценка терапевтического ответа на
реперфузию

4.

Осложнения острого
инфаркта миокарда
Систолическая дисфункция левого желудочка
Тромбы в полости левого желудочка
Формирование аневризмы
Острая митральная регургитация
Дефект межжелудочковой перегородки
Разрыв левого желудочка
Перикардит

5.

Поздние стадии
ишемической болезни
сердца
• Дисфункция левого желудочка и правого
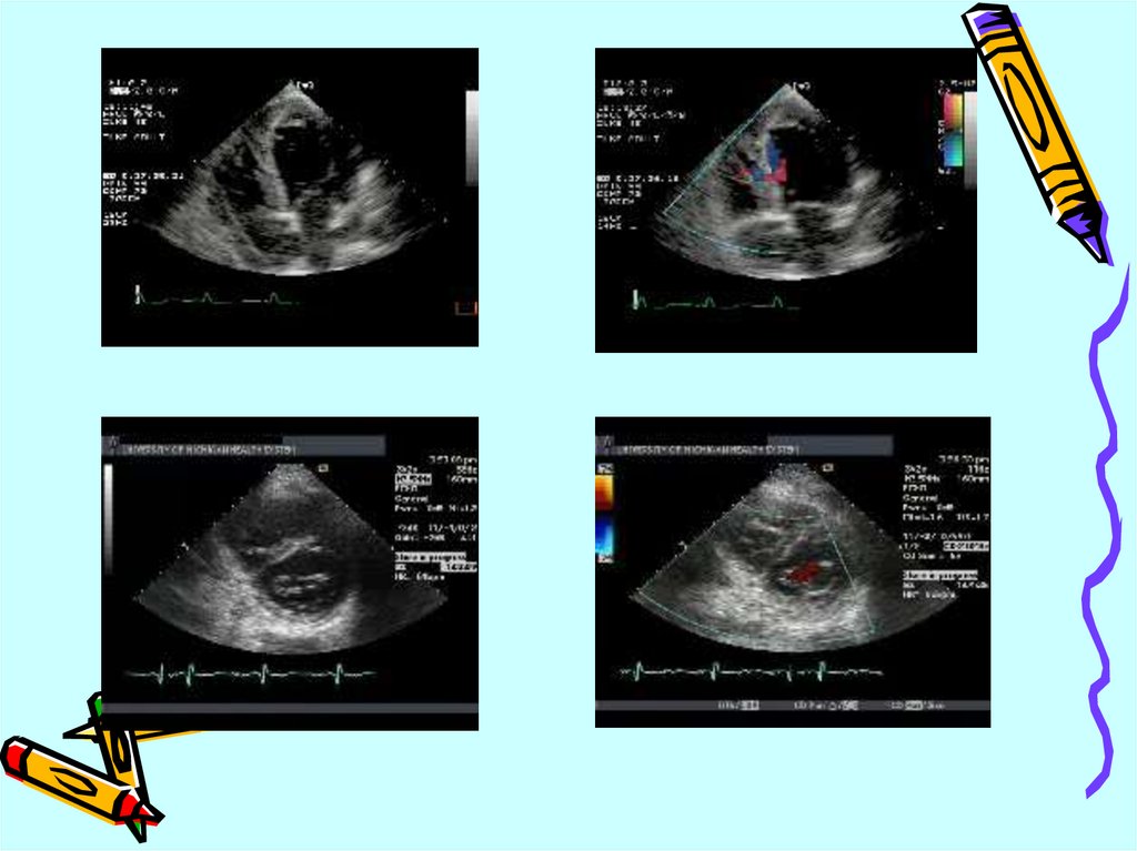
желудочка
• Относительная митральная регургитация
• Повышение давления в легочной артерии
• Тромбы в полости левого желудочка

6.

«Ишемический каскад»
Инфаркт миокарда
Боли в груди
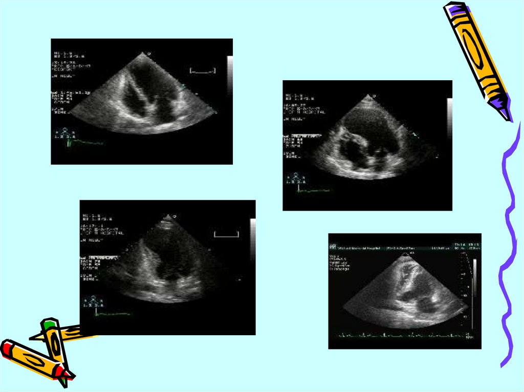
Нагрузка/время
ЭКГ изменения
Нарушение локальной
сократимости
Нарушение диастолической
функции
Нарушение перфузии и
метаболизма
Эх
оКГ
Р/н
мето
ды

7.

Оценка локальной сократимости
миокарда левого желудочка
1–базальный передне-перегородочный
2 – базальный передний
3 – базальный боковой
4 – базальный задний
5 – базальный нижний
6 – базальный перегородочный
7 – средний передне-перегородочный
8 – средний передний
9 – средний боковой
10 –средний задний
11 –средний нижний
12 – средний перегородочный
13 – верхне- перегородочный
14 – верхне-передний
15 – верхне-боковой
16 – верхне-нижний

8.

Основные типы
кровоснабжения миокарда
• средний тип
Кровоснабжение левого желудочка целиком,
включая обе папиллярные мышцы, и передние
1/2 и 2/3 межжелудочковой перегородки
осуществляется через систему левой
коронарной артерии. Правый желудочек, в том
числе обе правые папиллярные мышцы и
задняя 1/2-1/3 перегородки, получает кровь из
правой коронарной артерии.

9.

• левый тип
кровоснабжение всего левого желудочка и,
кроме того, целиком всей перегородки и
частично задней стенки правого
желудочка осуществляется за счет
развитой огибающей ветви левой
коронарной артерии

10.

• правый тип
весь правый желудочек, задняя стенка
левого желудочка, задняя левая
папиллярная мышца и частично
верхушка сердца получают кровь из
правой коронарной артерии.

11.

Топография нарушений локальной
сократимости
поражение левой
передней нисходящей
артерии вызывает
нарушение сократимости
передней перегородки,
передней свободной
стенки, верхушки левого
желудочка.

12.

поражение огибающей артерии
приводит к нарушению сократимости
боковых и задних сегментов ЛЖ

13.

поражение задней нисходящей артерии приводит
к нарушению задне-перегородочной, свободной
нижней стенки и задних сегментов ЛЖ. Если
задняя нисходящая артерия является короткой,
верхушечные сегменты не поражаются. В том
случае, когда артерия достигает до верхушки, то
ее поражение приводит к выраженным
изменениям верхушки

14.

Методы оценки глобальной
сократительной функции ЛЖ
V = (7,0/ 2,4 +D) x D3,
где V – объем ЛЖ (мл или см3),
- D переднезадний размер ЛЖ в
фазы систолы или диастолы
ФВ = КДО-КСО/КДОх100%

15.

Исследование систолической
функции ЛЖ в М-режиме

16.

Анатомический Мрежим

17.

Расчет объемов, ФВ левого
желудочка по алгоритму
Симпсона

18.

Систолическая функция
ЛЖ
• измерение расстояния между пиком волны Е передней
створки митрального клапана и межжелудочковой
перегородки
Увеличение этого расстояния ассоциируется с
уменьшением фракции выброса ЛЖ. В норме
расстояние от Е-пика передней створки митрального
клапана до межжелудочковой перегородки = < 1 см
(>10 мм = < 55% ФВ )

19.

Оценка продольной
функции ЛЖ
Сокращение продольных
волокон приводит к
уменьшению длины ЛЖ
на 10-12 %, тогда как
сокращение
циркулярных волокон
уменьшает поперечный
диаметр ЛЖ примерно
на 25%, в результате
чего полость ЛЖ
становится менее
сферичной во время
систолы.
При сокращении циркулярных волокон
цилиндрическая форма нормального желудочка
восстанавливается.

20.

Систолическая функция
ЛЖ
Индекс сферичности
равен отношению
конечнодиастолического
объема к объему
сферы, диаметром
которого является
длинная ось ЛЖ в
диастолу. Этот индекс
позволяет предсказать
ремоделирование ЛЖ
со 100%
чувствительностью и
90% специфичностью

21.

Ремоделирование ЛЖ

22.

Исследование систолической
функции ЛЖ методом
тканевой допплероЭхоКГ

23.

Авторы
V.K.Gulati и
C.Pan и
соавт.,1996
соавт.,2001
Режимы ТД
Цветовой Мрежим ТД
Импульсноволнов
ой режим ТД
Значения
показателя ТД
5,4см/с
8см/с
Коэффициент
корреляции
0,86
0,97
Определяемое
значение ФВ
>50%
>50%
Чувствительность, %
88
80
Специфичность, %
97
92
Показатели ТД
Макс.средняя Sm
Макс.средняя Sm
Метод
определения ФВ
Радионуклидный
Радионуклидный
показателя ТД с ФВ

24.

Исследование региональной
функции ЛЖ

25.

26.

27.

Количественная оценка
локальной сократимости
• Шкала индекса ЛС
1 = нормокинез/гиперкинез
2 = гипокинез
3 = акинез
4 = дискинез

28.

Индекс НЛС= Сумма баллов всех
исследованных сегментов/Общее число
исследованных сегментов
В норме индекс НЛС = 1

29.

Исследование локальной
сократимости с помощью
тканевого допплера

30.

Стандартные эхокардиографические позиции из
апикального доступа для оценки региональной
сократимости 12 сегментов

31.

Ранние осложнения острого
инфаркта миокарда
• Разрыв сердца
Частота разрыва миокарда 2-4%
Разрыв считается ранним осложнением, если он произошел в
первые 24 часа (около 20-30%),
поздним осложнением – между третьим и пятым днем (70-80%).

32.

Острый разрыв миокарда характеризуется
• внезапной остановкой сердца, вызванной
электромеханической диссоциацией,
• вторичной тампонадой.
Лицо у пациентов становится
цианотичным, наблюдается набухание
яремных вен, бледность, потливость.

33.

Подострый разрыв характеризуется
сердечной тампонадой с гипотонией и
электромеханической диссоциацией.
В этом случае проведение срочного
перикардиоцентеза может
кратковременно стабилизировать
состояние больного до проведения
безотлагательного хирургического
вмешательства.

34.

Эхокардиографические
особенности разрыва миокарда
• перикардиальная жидкость
• выраженные нарушения локальной
сократимости стенок
• в некоторых случаях объем
перикардиальной жидкости бывает
значительным и приводит к тампонаде
сердца (коллапс предсердий,
диастолический коллапс правого
желудочка)

35.

36.

37.

38.

Разрыв межжелудочковой перегородки и
формирование дефекта межжелудочковой
перегородки
• Разрыв межжелудочковой
перегородки (МЖП) - как
осложнение острого инфаркта
миокарда встречается реже (в 1-2%),
чем разрыв свободной стенки ЛЖ (в
10-12%) и во многих случаях
является фатальным в результате
развития кардиогенного шока

39.

• Чаще всего разрыв МЖП обычно
происходит при трансмуральном
инфаркте миокарда между вторым
и седьмым днем после острого
инфаркта миокарда.

40.

Клиническая картина
• характеризуется внезапным ухудшением
состояния (меду третьим и седьмым
днем после острого инфаркта),
развитием остановки сердца и
кардиогенного шока. При аускультации
выслушивается грубый систолический
шум во всех точках аускультации, но
наиболее выраженный в области
верхушки

41.

• В 60% случаев разрыв перегородки
происходит после ее
непосредственного поражения и в
40% случаев – вследствие разрыва
задней и нижней стенок после
инфаркта этих областей

42.

Эхокардиографические
особенности разрыва
межжелудочковой перегородки
• шунт слева-направо,
• при двухмерной цветной ЭхоКГ визуализировать поток, который
проходит через межжелудочковую
перегородку

43.

Эхокардиографические
особенности разрыва
межжелудочковой перегородки
• дилатация правого желудочка,
снижение его систолической
функции и парадоксальное
движение межжелудочковой
перегородки вследствие
повышения давления в правом
желудочке

44.

45.

46.

Разрыв папиллярной
мышцы
• Частота разрыва папиллярной
мышцы после инфаркта миокарда
любой локализации составляет
приблизительно 1 %

47.

Клинические проявления
отек легких,
повышение центрального венозного давления
гипотония
При аускультации выслушивается
пансистолический шум над всей грудной
клеткой, особенно в левой подмышечной
впадине. Иногда систолический шум имеет
тенденцию к уменьшению из-за быстрого
уравновешивания давления между левым
желудочком и предсердием.

48.

Эхокардиографические
особенности
• беспорядочное, «молотящее»
движение створки митрального
клапана в левое предсердие,
пролабирование створок в течение
всей систолы

49.

50.

Поздние осложнения
острого инфаркта миокарда
• Аневризма левого желудочка
Частота развития истинной аневризмы составляет 8-22%
Формирование аневризмы связано с трансмуральным
острым инфарктом миокарда и в 90% случаев
формируется в области верхушки, вовлекая нижнебазальную область

51.

52.

Ложная аневризма ЛЖ
• Возникает при разрыве миокарда
желудочка
• Аневризматический мешок состоит из
перикарда, остатков разорвавшейся
стенки сердца и тромботических масс.
Наличие тонкого перешейка является
важным, специфичным диагностическим
критерием ложной аневризмы

53.

54.

55.

56.

Внутрижелудочковый
тромбоз
Фибрилляция
предсердий
Снижение
насосной
функции ЛЖ
Замедление
внутрижелудочкового
кровотока
Формирование
внутрижелудочкового
тромбоза
Выраженная
диссинергия
ЛЖ

57.

Тромбы могут
образоваться в
аневризматических зонах
после увеличения
инфарктной зоны.
Замедление кровотока
("slow flow") в таких
областях способствует
формированию тромбов

58.

59.

Ишемическая митральная
регургитация
• Механизмы развития
- частичный или полный разрыв
заднемедиальной или переднелатеральной
папиллярной мышцы.
-дисфункция папиллярной мышцы
вследствие фиброза папиллярной мышцы.
- расширение полости левого желудочка и
дилатации митрального кольца.
English     Русский Rules