31.56M
Category: medicinemedicine

Классификация зубочелюстных аномалий. Ортодонтия

1.

1. Аномалии положения отдельных зубов, наклон
окклюзионной плоскости
Гольцова Яна Сергеевна

2.

3.

2. Расщелина твердого неба и губы односторонняя
Перекрестный прикус
Частичная первичная адентия

4.

5.

6.

7.

8.

3. Сужение зубных дуг, скученность, аномалия формы зубных
дуг

9.

10.

4. Мезиальный прикус
Перекрестный прикус
Сужение челюстей

11.

12.

13.

5. Экструзия моляров на нижней челюсти

14.

15.

6. Дистальный прикус
Сужение челюстей
Аномалии положения отдельных зубов

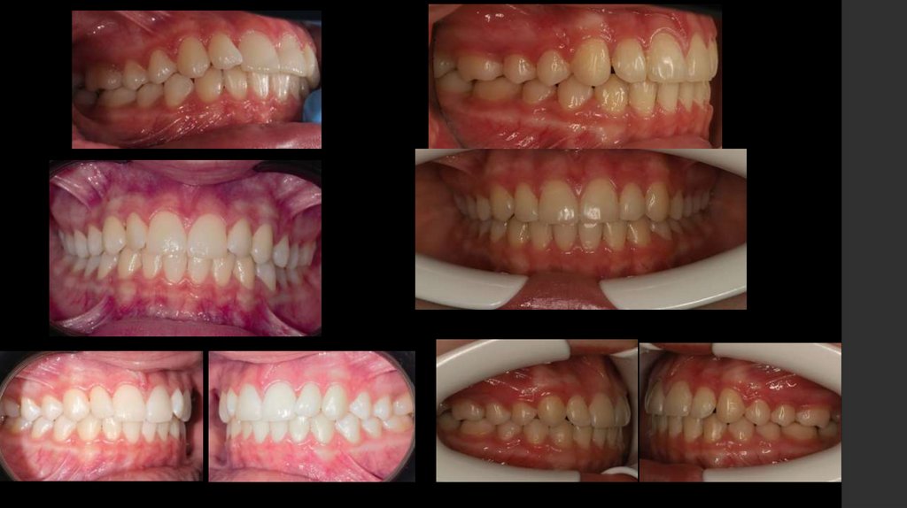
16.

Стабильность
результата через 5 лет

17.

7. Дистальный прикус 1 класс 1 подкласс

18.

19.

8. Медиальный наклон и смещение моляра нижней челюсти

20.

21.

9. Сужение челюстей

22.

23.

10. Сужение челюстей, дистальный тип смыкания

24.

25.

• 11. Бипротрузия челюстей, дисфункция ВНЧС

26.

27.

12. Обратное резцовое перекрытие

28.

29.

13. Мезиальный прикус (временный прикус)

30.

31.

32.

16. Чрезмерно-глубокий прикус по вертикали
Повышенное стирание зубов

33.

34.

• 17. Глубокий прикус. Частичная вториная
адентия

35.

36.

• 18. Односторонний 2 класс. Долечивание

37.

38.

19. Мезиальный прикус. Открытый прикус. Обратная
кривая Шпее

39.

40.

41.

42.

Дистальный прикус. Прогнатия верхней челюсти.
Горизонтальный тип роста.

43.

Проведена модификация роста лицевого скелета

44.

Сужение челюстей и верхнего отдела дыхательных
путей
English     Русский Rules