Дуглас Дж. Ри Глаукома
Отток ВГЖ
ДЗН в норме и при глаукоме
Апплпнационный тонометр Гольдмана
Тонометр Шиотца
Тоно-пен
Установка гониолинзы
Гониоскопия, открытый угол
Гониоскопия, узкий угол
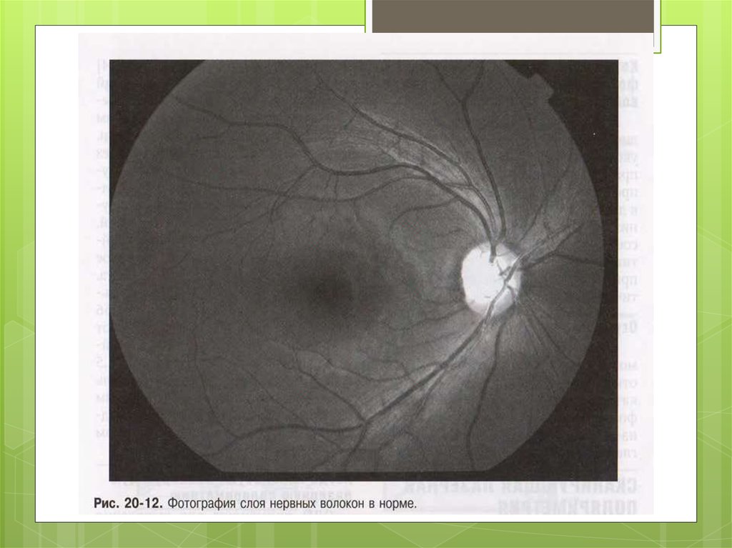
Нормальный ДЗН
Эссенциальная атрофия радужки
22.64M
Category: medicinemedicine

Дуглас Дж. Ри Глаукома

1. Дуглас Дж. Ри Глаукома

2. Отток ВГЖ

3. ДЗН в норме и при глаукоме

4. Апплпнационный тонометр Гольдмана

5. Тонометр Шиотца

6. Тоно-пен

7. Установка гониолинзы

8. Гониоскопия, открытый угол

9. Гониоскопия, узкий угол

10. Нормальный ДЗН

11.

Глаукоматозный
ДЗН
Большая
фокальная
выемка в нижней
части
Сосуды изогнуты
под острым углом

12.

Концентрическая
атрофия
Правило ISNT не
сохранено
Изгибание
сосудов,
пересекающих
НРП

13.

14.

15.

16.

17.

18.

19.

20.

21.

22.

23.

24.

25.

26. Эссенциальная атрофия радужки

English     Русский Rules